相关产品推荐更多 >

Cytokeratin 19 Mouse mAb, AP conjugated(bsm-33057M-AP)-100ul
¥2980
Anti-human MSPR / RON / CD136 (Narnatumab Biosimilar)(BIO0256SM)-1mg/5mg/20mg
¥3200
connexin 30 Rabbit pAb(bs-6474R)-50ul/100ul/200ul
¥1180
BRSK2 Rabbit pAb(bs-11810R)-50ul/100ul/200ul
¥1180
TBX3 Rabbit pAb, APC conjugated(bs-10266R-APC)-100ul
¥2980
万千商家帮你免费找货
0 人在求购买到急需产品
- 详细信息
- 文献和实验
- 技术资料
- 应用范围:
产品信息以Bioss网站为准
- 规格:
50ul/100ul/200ul
| 规格: | 50ul | 产品价格: | ¥1180.0 |
|---|---|---|---|
| 规格: | 100ul | 产品价格: | ¥1980.0 |
| 规格: | 200ul | 产品价格: | ¥2800.0 |
| 产品编号 | bs-0200R |
| 英文名称 | PACAP-38 Rabbit pAb |
| 中文名称 | 腺苷酸环化酶激活肽-38抗体 |
| 英文别名 | HSPC190; Proapoptotic Caspase Adaptor Protein; PACAP; pERp1; Plasma cell-induced ER protein 1; Plasma cell-induced resident endoplasmic reticulum protein; Plasma cell-induced resident ER protein; Proapoptotic caspase adapter protein; pituitary adenylate cyclase activating polypeptide; PRP-48; PACAP-related peptide; Pituitary adenylate cyclase-activating polypeptide 38; Pituitary adenylate cyclase-activating polypeptide 38; PACAP38; PACA_HUMAN. |
| 产品应用 | WB=1:500-2000, IHC-P=1:100-500, IHC-F=1:100-500, IF=1:100-500 Not yet tested in other applications. |
| 交叉反应 | Human, Mouse, Rat, 肾, 肾, 肾, 肾, intestine, intestine, Cerebrum, Cerebrum, Cerebrum, Cerebrum (Pig, Cow, Sheep) |
| 抗体来源 | Rabbit |
| 免疫原 | KLH conjugated synthetic peptide derived from human PACAP-38 |
| 亚型 | IgG |
| 性状 | Liquid |
| 纯化方法 | affinity purified by Protein A |
| 克隆类型 | Polyclonal |
| 理论分子量 | 5 kDa |
| 浓度 | 1mg/ml |
| 储存液 | 0.01M TBS (pH7.4) with 1% BSA, 0.02% Proclin300 and 50% Glycerol. |
| 研究领域 | Cell Biology > Apoptosis > Intracellular > Associated Proteins Cell Biology > Apoptosis > Intracellular > Caspases etc > Caspases Neuroscience > Neurotransmitter > Neuropeptides > Hormones |
| 亚基 | Interacts with ADCYAP1R1 (via N-terminal extracellular domain). |
| 亚细胞定位 | Extracellular region or secreted |
| 相似性 | Belongs to the glucagon family. |
| 功能 | Binding to its receptor activates G proteins and stimulates adenylate cyclase in pituitary cells. Promotes neuron projection development through the RAPGEF2/Rap1/B-Raf/ERK pathway. In chromaffin cells, induces long-lasting increase of intracellular calcium concentrations and neuroendocrine secretion. Involved in the control of glucose homeostasis, induces insulin secretion by pancreatic beta cells. |
| 保存条件 | Shipped at 4℃. Store at -20℃ for one year. Avoid repeated freeze/thaw cycles. |
| 注意事项 | This product as supplied is intended for research use only, not for use in human, therapeutic or diagnostic applications. |
| 背景资料 | This gene encodes a secreted proprotein that is further processed into multiple mature peptides. These peptides stimulate adenylate cyclase and increase cyclic adenosine monophosphate (cAMP) levels, resulting in the transcriptional activation of target genes. The products of this gene are key mediators of neuroendocrine stress responses. Alternative splicing results in multiple transcript variants. [provided by RefSeq, Feb 2013] |
| 应用 | 推荐稀释比例 |
| {WB} | {1:500-2000} |
| {IHC-P} | {1:100-500} |
| {IHC-F} | {1:100-500} |
| {IF} | {1:100-500} |

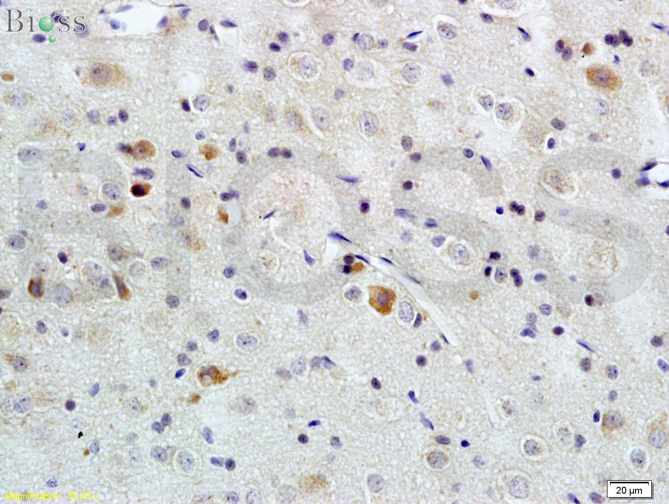
Antigen retrieval: citrate buffer ( 0.01M, pH 6.0 ), Boiling bathing for 15min; Block endogenous peroxidase by 3% Hydrogen peroxide for 30min; Blocking buffer (normal goat serum,C-0005) at 37℃ for 20 min;
Incubation: Anti-PACAP-38 Polyclonal Antibody, Unconjugated(bs-0200R) 1:200, overnight at 4°C, followed by conjugation to the secondary antibody(SP-0023) and DAB(C-0010) staining

Antigen retrieval: citrate buffer ( 0.01M, pH 6.0 ), Boiling bathing for 15min; Blocking buffer (normal goat serum,C-0005) at 37℃ for 20 min;
Incubation: Anti-PACAP-38 Polyclonal Antibody, Unconjugated(bs-0200R) 1:200, overnight at 4°C; The secondary antibody was Goat Anti-Rabbit IgG, Cy3 conjugated(bs-0295G-Cy3)used at 1:200 dilution for 40 minutes at 37°C. DAPI(5ug/ml,blue,C-0033) was used to stain the cell nuclei

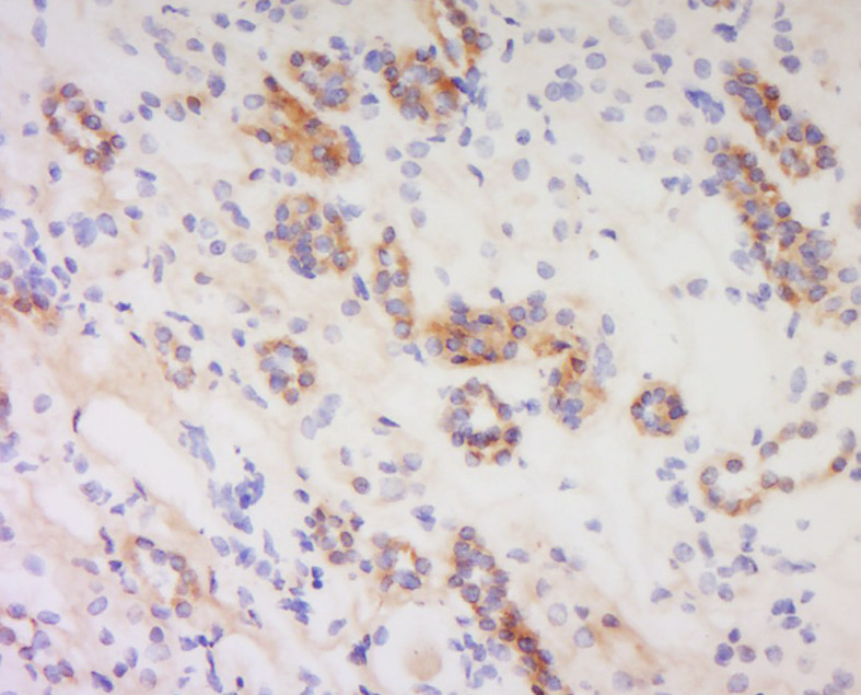
Antigen retrieval: citrate buffer ( 0.01M, pH 6.0 ), Boiling bathing for 15min; Block endogenous peroxidase by 3% Hydrogen peroxide for 30min; Blocking buffer (normal goat serum,C-0005) at 37℃ for 20 min;
Incubation: Anti-PACPA Polyclonal Antibody, Unconjugated(bs-0200R) 1:200, overnight at 4°C, followed by conjugation to the secondary antibody(SP-0023) and DAB(C-0010) staining

Lane 1: Mouse Pituitary Lysates
Primary: Anti-PACAP-38 (bs-0200R) at 1/1000 dilution
Secondary: IRDye800CW Goat Anti-Rabbit IgG at 1/20000 dilution
Predicted band size: 5kDa
Observed band size: 19kDa
风险提示:丁香通仅作为第三方平台,为商家信息发布提供平台空间。用户咨询产品时请注意保护个人信息及财产安全,合理判断,谨慎选购商品,商家和用户对交易行为负责。对于医疗器械类产品,请先查证核实企业经营资质和医疗器械产品注册证情况。
文献和实验[IF={{ 9.58 }}] {Ernest Y. Lee. et al. PACAP is a pathogen-inducible resident antimicrobial neuropeptide affording rapid and contextual molecular host defense of the brain. P Natl Acad Sci Usa. 2021 Jan;118(1):} {IHC} {Mouse}
[IF={{ 8.039 }}] {Yifan Zhu. et al. Discovery of Selective P2Y6R Antagonists with High Affinity and In Vivo Efficacy for Inflammatory Disease Therapy. J MED CHEM. 2023;XXXX(XXX):XXX-XXX} {WB} {Mouse}
[IF={{ 0.7 }}] {Ming XU. et al. Underlying mechnism of electroacupuncture for treating detrusor hyperreflexia after suprasacral spinal cord injury through the PACAP-cAMP signaling pathway: 基于PACAP-cAMP. WORLD J ACUPUNCT-MOX. 2023 Jun;:} {IHC,WB} {Rat}
[IF={{ 0 }}] {PENG Y et al. Effect of electroacupuncture on urodynamics, PACAP-38 and PAC1R of spinal cord in rats with neurogenic bladder ✰. World Journal of Acupuncture - Moxibustion,2018 28(1), 50–54.} {WB} {Rat}
家兔(Rabbit,Oryctolagus curiculus)
家兔(Rabbit,Oryctolagus curiculus) 一、生物学特性和解剖生理特点 1.家兔属于哺乳纲、啮齿目、兔科、草食性哺乳动性。 2.家兔体小力弱、胆小怕惊、怕热、怕潮,喜欢安静、清洁、干燥、凉爽的环境,不能忍受污秽的条件。 3.是食草类(Herbivorous)单胃动物。饲养原则是以青粗食米为主,精饲料为辅。喜欢独居,白天活动少,都处于假眠或休息状态,夜间活动大,吃食多。有啃木、扒土的习惯
家兔(Rabbit,Oryctolagus curiculus)--生物学特性和解剖生理特点
网络 第五节 家兔(Rabbit,Oryctolagus curiculus) 一、生物学特性和解剖生理特点 1.家兔属于哺乳纲、啮齿目、兔科、草食性哺乳动性。 2.家兔体小力弱、胆小怕惊、怕热、怕潮,喜欢安静、清洁、干燥、凉爽的环境,不能忍受污秽的条件。 3.是食草类(Herbivorous)单胃动物。饲养原则是以青粗食米为主
= NAL), appears to form upon oxidative cyclization of the nonfluorescent 2:1 lysine-HNE Michael adduct-Schiff base cross-link (Scheme 1). Polyclonal antibody (PAb) to the NAL-HNE fluorophore was raised in rabbit and found to be highly specific
技术资料暂无技术资料 索取技术资料






