相关产品推荐更多 >
万千商家帮你免费找货
0 人在求购买到急需产品
- 详细信息
- 文献和实验
- 技术资料
- 应用范围:
产品信息以Bioss网站为准
- 规格:
50ul/100ul/200ul
| 规格: | 50ul | 产品价格: | ¥1180.0 |
|---|---|---|---|
| 规格: | 100ul | 产品价格: | ¥1980.0 |
| 规格: | 200ul | 产品价格: | ¥2800.0 |
| 产品编号 | bs-2364R |
| 英文名称 | PITX3 Rabbit pAb |
| 中文名称 | PITX3抗体 |
| 英文别名 | Homeobox protein PITX 3; Homeobox protein PITX3; MGC12766; Paired like homeodomain transcription factor 3; Paired-like homeodomain transcription factor 3; Pituitary homeobox 3; PITX 3; Pitx3; PITX3_HUMAN; PTX 3; PTX3. |
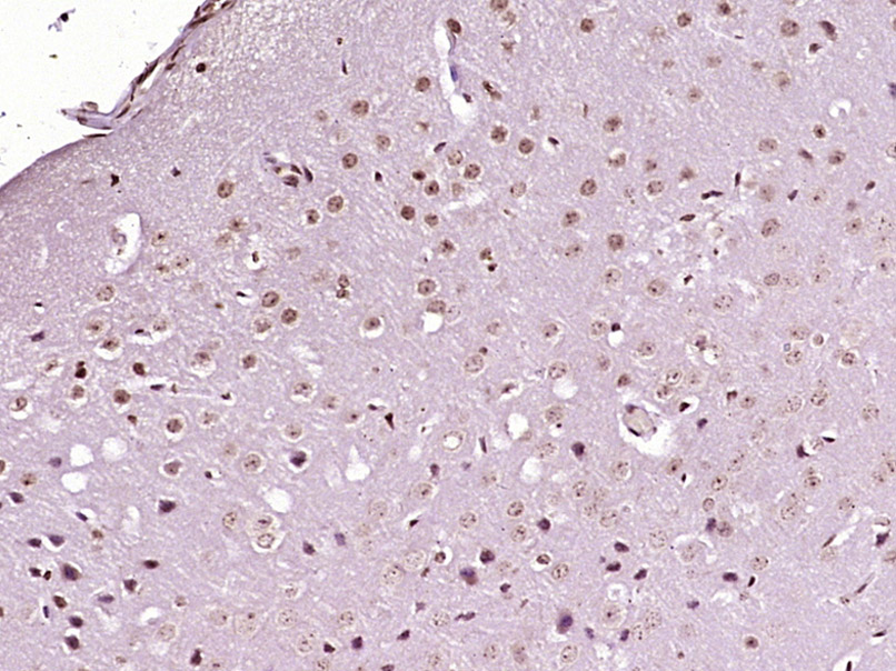
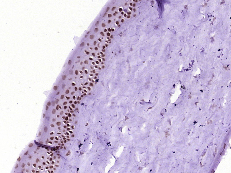
| 产品应用 | WB=1:500-2000, IHC-P=1:100-500, IHC-F=1:100-500, ICC/IF=1:100-500, IF=1:100-500, Flow-Cyt=2ug/Test Not yet tested in other applications. |
| 交叉反应 | Human, Mouse, Rat, Cow (Chicken, Dog, Pig, Horse, Rabbit) |
| 抗体来源 | Rabbit |
| 免疫原 | KLH conjugated synthetic peptide derived from human PITX3 |
| 亚型 | IgG |
| 性状 | Liquid |
| 纯化方法 | affinity purified by Protein A |
| 克隆类型 | Polyclonal |
| 理论分子量 | 32 kDa |
| 浓度 | 1mg/ml |
| 储存液 | 0.01M TBS (pH7.4) with 1% BSA, 0.02% Proclin300 and 50% Glycerol. |
| 研究领域 | Epigenetics and Nuclear Signaling > Transcription > Domain Families > Developmental Families Neuroscience > Neurology process > Neurodegenerative disease > Parkinson's disease Neuroscience > Neurology process > Neurogenesis |
| 亚基 | Interacts with SFPQ. |
| 亚细胞定位 | Nucleus. |
| 组织特异性 | Highly expressed in developing eye lens. |
| 相似性 | Belongs to the paired homeobox family. Bicoid subfamily. Contains 1 homeobox DNA-binding domain. |
| 功能 | Transcriptional regulator which is important for the differentiation and maintenance of meso-diencephalic dopaminergic (mdDA) neurons during development. In addition to its importance during development, it also has roles in the long-term survival and maintenance of the mdDA neurons. Activates NR4A2/NURR1-mediated transcription of genes such as SLC6A3, SLC18A2, TH and DRD2 which are essential for development of mdDA neurons. Acts by decreasing the interaction of NR4A2/NURR1 with the corepressor NCOR2/SMRT which acts through histone deacetylases (HDACs) to keep promoters of NR4A2/NURR1 target genes in a repressed deacetylated state. Essential for the normal lens development and differentiation. Plays a critical role in the maintenance of mitotic activity of lens epithelial cells, fiber cell differentiation and in the control of the temporal and spatial activation of fiber cell-specific crystallins. Positively regulates FOXE3 expression and negatively regulates PROX1 in the anterior lens epithelium, preventing activation of CDKN1B/P27Kip1 and CDKN1C/P57Kip2 and thus maintains lens epithelial cells in cell cycle. |
| 保存条件 | Shipped at 4℃. Store at -20℃ for one year. Avoid repeated freeze/thaw cycles. |
| 注意事项 | This product as supplied is intended for research use only, not for use in human, therapeutic or diagnostic applications. |
| 背景资料 | The transcription factor PITX3 is expressed selectively in the midbrain and regulates the differentiation and survival of dopaminergic neurons. Lack of this factor results in a degeneration similar to that seen in Parkinson's disease. PITX3 is also important in eye developement; mutations of the PITX3 gene have been associated with a familial form of cataracts. |
| 应用 | 推荐稀释比例 |
| {WB} | {1:500-2000} |
| {IHC-P} | {1:100-500} |
| {IHC-F} | {1:100-500} |
| {ICC/IF} | {1:100-500} |
| {IF} | {1:100-500} |
| {Flow-Cyt} | {2ug/Test} |



Primary: Anti-PITX3 (bs-2364R) at 1/300 dilution
Secondary: HRP conjugated Goat-Anti-rabbit IgG (bs-0295G-HRP) at 1/5000 dilution
Predicted band size: 32 kD
Observed band size: 32 kD


Primary Antibody (green line): Rabbit Anti-PITX3 antibody (bs-2364R)
Dilution:2ug/Test;
Secondary Antibody(white blue line): Goat anti-rabbit IgG-FITC
Dilution: 0.5ug/Test.
Isotype control(orange line): Normal Rabbit IgG
Protocol
The cells were fixed with 4% PFA (10min at room temperature)and then permeabilized with 90% ice-cold methanol for 20 min at -20℃, The cells were then incubated in 5%BSA to block non-specific protein-protein interactions for 30 min at room temperature .Cells stained with Primary Antibody for 30 min at room temperature. The secondary antibody used for 40 min at room temperature. Acquisition of 20,000 events was performed.
风险提示:丁香通仅作为第三方平台,为商家信息发布提供平台空间。用户咨询产品时请注意保护个人信息及财产安全,合理判断,谨慎选购商品,商家和用户对交易行为负责。对于医疗器械类产品,请先查证核实企业经营资质和医疗器械产品注册证情况。
文献和实验[IF={{ 5.546 }}] {Gao X et al. MicroRNA-21-5p targets PDCD4 to modulate apoptosis and inflammatory response to Clostridium perfringens beta2 toxin infection in IPEC-J2 cells. Dev Comp Immunol. 2020 Sep 1;114:103849.} {WB} {mouse}
[IF={{ 4.522 }}] {He X et al. Activation of CB2R with AM1241 ameliorates neurodegeneration via the Xist/miR‐133b‐3p/Pitx3 axis. J Cell Physiol. 2020 Jan 28.} {WB} {Mouse}
= NAL), appears to form upon oxidative cyclization of the nonfluorescent 2:1 lysine-HNE Michael adduct-Schiff base cross-link (Scheme 1). Polyclonal antibody (PAb) to the NAL-HNE fluorophore was raised in rabbit and found to be highly specific
GE Healthcare Benzamidine Sepharose™ 6B is p-aminobenzamidine covalently attached to Sepharose 6B by the epoxy coupling method. p-Aminobenzamidine (PAB), is a synthetic inhibitor of trypsin-like serine protease. Trypsin and trypsin
Nucleic Acid Programmable Protein Arrays: Versatile Tools for Array‐Based Functional Protein Studies
.g., Sigma) 50 mg/ml bis‐sulfosuccinimdylsuberate (BS3 ;Pierce, cat. no. PI 21580) in dimethylsulfoxide (DMSO) 5 mg/ml
技术资料暂无技术资料 索取技术资料










