相关产品推荐更多 >

TERT Rabbit pAb, AP conjugated(bs-0233R-AP)-100ul
¥2980
Anti-human SIRPa / CD172a (Hospital for Sick Children patent Anti-SIRPA Biosimilar)(BIO0262SM)-1mg/5mg/20mg
¥3200
ZDHHC3 Rabbit pAb, AP conjugated(bs-24751R-AP)-100ul
¥2980
NLGN2 Rabbit pAb, PerCP-Cy5.5 conjugated(bs-11098R-PerCP-Cy5.5)-100ul
¥2980
SHOX2 Rabbit pAb, AP conjugated(bs-17471R-AP)-100ul
¥2980
万千商家帮你免费找货
0 人在求购买到急需产品
- 详细信息
- 文献和实验
- 技术资料
- 应用范围:
产品信息以Bioss网站为准
- 规格:
50ul/100ul/200ul
| 规格: | 50ul | 产品价格: | ¥1180.0 |
|---|---|---|---|
| 规格: | 100ul | 产品价格: | ¥1980.0 |
| 规格: | 200ul | 产品价格: | ¥2800.0 |
| 产品编号 | bs-1229R |
| 英文名称 | AATF Rabbit pAb |
| 中文名称 | 拮抗凋亡转录因子抗体 |
| 英文别名 | Apoptosis antagonizing transcription factor; CHE1; DED; AATF_HUMAN; Apoptosis-antagonizing transcription factor; Rb-binding protein Che-1; Protein AATF; Rb binding protein Che 1. |
| 产品应用 | IHC-P=1:100-500, IHC-F=1:100-500, IF=1:100-500 Not yet tested in other applications. |
| 交叉反应 | Human (Mouse, Rat, Pig, Cow, Horse, Rabbit, GuineaPig) |
| 抗体来源 | Rabbit |
| 免疫原 | KLH conjugated synthetic peptide derived from human AATF |
| 亚型 | IgG |
| 性状 | Liquid |
| 纯化方法 | affinity purified by Protein A |
| 克隆类型 | Polyclonal |
| 理论分子量 | 63 kDa |
| 浓度 | 1mg/ml |
| 储存液 | 0.01M TBS (pH7.4) with 1% BSA, 0.02% Proclin300 and 50% Glycerol. |
| 研究领域 | Cell Biology > Apoptosis > Intracellular > Survivin / IAPs Epigenetics and Nuclear Signaling > Transcription > Other factors |
| 亚基 | Binds PAWR, POLR2J, RB1/RB, RBL1/P107, RBL2/P130, and SP1. May also bind MAPT. |
| 亚细胞定位 | Nucleus, nucleolus. |
| 组织特异性 | Ubiquitously expressed. Expressed at high levels in brain, heart, kidney, placenta and thymus. |
| 翻译后修饰 | Hyperphosphorylated during the G1/S phase transition. |
| 相似性 | Belongs to the AATF family. |
| 功能 | May function as a general inhibitor of the histone deacetylase HDAC1. Binding to the pocket region of RB1 may displace HDAC1 from RB1/E2F complexes, leading to activation of E2F target genes and cell cycle progression. Conversely, displacement of HDAC1 from SP1 bound to the CDKN1A promoter leads to increased expression of this CDK inhibitor and blocks cell cycle progression. Also antagonizes PAWR mediated induction of aberrant amyloid peptide production in Alzheimer disease (presenile and senile dementia), although the molecular basis for this phenomenon has not been described to date. |
| 保存条件 | Shipped at 4℃. Store at -20℃ for one year. Avoid repeated freeze/thaw cycles. |
| 注意事项 | This product as supplied is intended for research use only, not for use in human, therapeutic or diagnostic applications. |
| 背景资料 | The protein encoded by this gene was identified on the basis of its interaction with MAP3K12/DLK, a protein kinase known to be involved in the induction of cell apoptosis. This gene product contains a leucine zipper, which is a characteristic motif of transcription factors, and was shown to exhibit strong transactivation activity when fused to Gal4 DNA binding domain. Overexpression of this gene interfered with MAP3K12 induced apoptosis. [provided by RefSeq, Jul 2008] |
| 应用 | 推荐稀释比例 |
| {IHC-P} | {1:100-500} |
| {IHC-F} | {1:100-500} |
| {IF} | {1:100-500} |

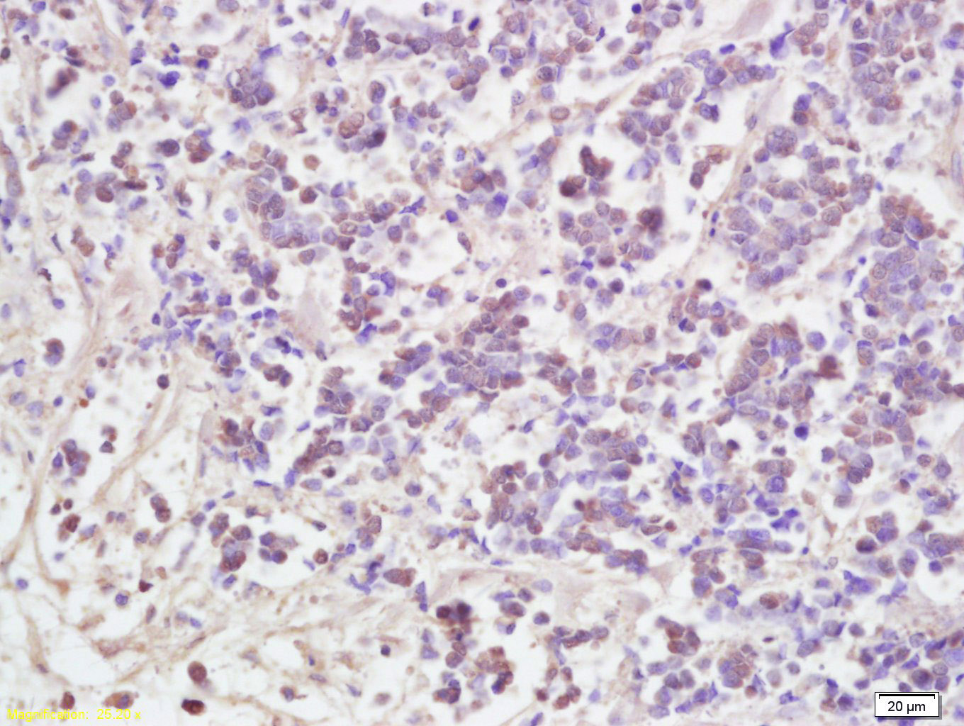
Antigen retrieval: citrate buffer ( 0.01M, pH 6.0 ), Boiling bathing for 15min; Block endogenous peroxidase by 3% Hydrogen peroxide for 30min; Blocking buffer (normal goat serum,C-0005) at 37℃ for 20 min;
Incubation: Anti-AATF Polyclonal Antibody, Unconjugated(bs-1229R) 1:200, overnight at 4°C, followed by conjugation to the secondary antibody(SP-0023) and DAB(C-0010) staining
风险提示:丁香通仅作为第三方平台,为商家信息发布提供平台空间。用户咨询产品时请注意保护个人信息及财产安全,合理判断,谨慎选购商品,商家和用户对交易行为负责。对于医疗器械类产品,请先查证核实企业经营资质和医疗器械产品注册证情况。
文献和实验= NAL), appears to form upon oxidative cyclization of the nonfluorescent 2:1 lysine-HNE Michael adduct-Schiff base cross-link (Scheme 1). Polyclonal antibody (PAb) to the NAL-HNE fluorophore was raised in rabbit and found to be highly specific
GE Healthcare Benzamidine Sepharose™ 6B is p-aminobenzamidine covalently attached to Sepharose 6B by the epoxy coupling method. p-Aminobenzamidine (PAB), is a synthetic inhibitor of trypsin-like serine protease. Trypsin and trypsin
Nucleic Acid Programmable Protein Arrays: Versatile Tools for Array‐Based Functional Protein Studies
.g., Sigma) 50 mg/ml bis‐sulfosuccinimdylsuberate (BS3 ;Pierce, cat. no. PI 21580) in dimethylsulfoxide (DMSO) 5 mg/ml
技术资料暂无技术资料 索取技术资料






