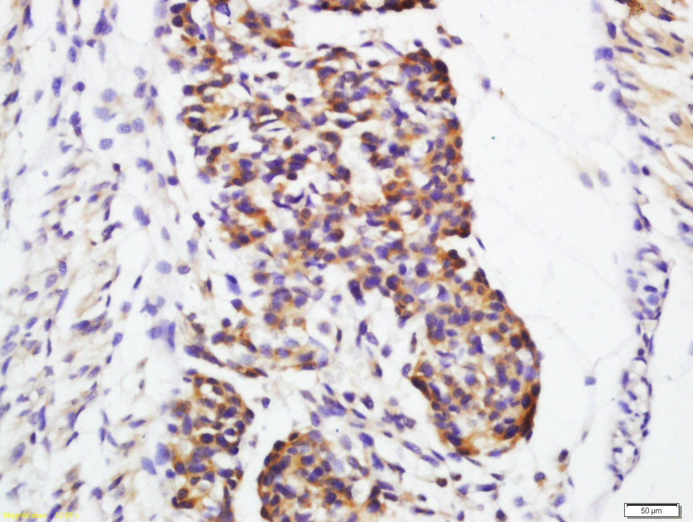
Tissue/cell: mouse embryo tissue; 4% Paraformaldehyde-fixed and paraffin-embedded;
Antigen retrieval: citrate buffer ( 0.01M, pH 6.0 ), Boiling bathing for 15min; Block endogenous peroxidase by 3% Hydrogen peroxide for 30min; Blocking buffer (normal goat serum,C-0005) at 37℃ for 20 min;
Incubation: Anti-Galectin-1 Polyclonal Antibody, Unconjugated(bs-6594R) 1:200, overnight at 4°C, followed by conjugation to the secondary antibody(SP-0023) and DAB(C-0010) staining
相关产品推荐更多 >

CD46 Rabbit pAb, APC-Cy7 conjugated(bs-1529R-APC-Cy7)-100ul
¥2980
ELAC2/HPC2 Rabbit pAb(bs-4276R)-50ul/100ul/200ul
¥1180
phospho-Jak1 (Tyr1034 + Tyr1035) Rabbit pAb, PE conjugated(bs-3238R-PE)-100ul
¥2980
FREAC3 Rabbit pAb, APC-Cy5.5 conjugated(bs-6642R-APC-Cy5.5)-100ul
¥2980
TMEM132D Rabbit pAb, Biotin conjugated(bs-19953R-Bio)-100ul
¥2980
万千商家帮你免费找货
0 人在求购买到急需产品
- 详细信息
- 文献和实验
- 技术资料
- 应用范围:
产品信息以Bioss网站为准
- 规格:
50ul/100ul/200ul
| 规格: | 50ul | 产品价格: | ¥1180.0 |
|---|---|---|---|
| 规格: | 100ul | 产品价格: | ¥1980.0 |
| 规格: | 200ul | 产品价格: | ¥2800.0 |
| 产品编号 | bs-6594R |
| 英文名称 | Galectin 1 Rabbit pAb |
| 中文名称 | 半乳糖凝集素1抗体 |
| 英文别名 | 14 kDa laminin-binding protein; 14 kDa lectin; beta galactoside binding lectin; beta galactoside binding lectin L 14 I; beta galactoside binding protein; beta-galactoside-binding lectin L-14-I; Gal 1; Gal-1; Galaptin; Galbp; Galectin; Galectin-1; Galectin1; GBP; HBL; HLBP14; HPL; L 14.5; L-14.5; L14; Lactose binding lectin 1; Lactose-binding lectin 1; Lect14; Lectin galactoside binding soluble 1; Lectin galactoside-binding soluble 1; LEG1_HUMAN; LGALS 1; LGALS1; Lgals1 lectin galactose binding soluble 1; MAPK activating protein MP12; Putative MAPK activating protein MP12; Putative MAPK-activating protein PM12; S Lac lectin 1; S-Lac lectin 1. |
| 产品应用 | WB=1:500-2000, IHC-P=1:100-500, IHC-F=1:100-500, IF=1:100-500 Not yet tested in other applications. |
| 交叉反应 | Mouse (Human, Rat, Pig, Cow, Horse, Sheep) |
| 抗体来源 | Rabbit |
| 免疫原 | KLH conjugated synthetic peptide derived from human Galectin 1 |
| 亚型 | IgG |
| 性状 | Liquid |
| 纯化方法 | affinity purified by Protein A |
| 克隆类型 | Polyclonal |
| 理论分子量 | 15 kDa |
| 浓度 | 1mg/ml |
| 储存液 | 0.01M TBS (pH7.4) with 1% BSA, 0.02% Proclin300 and 50% Glycerol. |
| 研究领域 | Cancer > Cell Death > Apoptosis > Receptors > Associated Proteins Cell Biology > Apoptosis > Receptors > Associated Proteins Cell Biology > Cell Cycle > Cell differentiation |
| 亚基 | Homodimer. Binds LGALS3BP. Interacts with CD2, CD3, CD4, CD7, CD43 and CD45. Interacts with laminin (via poly-N-acetyllactosamine). |
| 亚细胞定位 | Secreted, extracellular space, extracellular matrix. |
| 组织特异性 | Expressed in placenta, maternal decidua and fetal membranes. Within placenta, expressed in trophoblasts, stromal cells, villous endothelium, syncytiotrophoblast apical membrane and villous stroma. Within fetal membranes, expressed in amnion, chorioamniotic mesenchyma and chorion (at protein level). Expressed in cardiac, smooth, and skeletal muscle, neurons, thymus, kidney and hematopoietic cells. |
| 相似性 | Contains 1 galectin domain. |
| 功能 | May regulate apoptosis, cell proliferation and cell differentiation. Binds beta-galactoside and a wide array of complex carbohydrates. Inhibits CD45 protein phosphatase activity and therefore the dephosphorylation of Lyn kinase. |
| 保存条件 | Shipped at 4℃. Store at -20℃ for one year. Avoid repeated freeze/thaw cycles. |
| 注意事项 | This product as supplied is intended for research use only, not for use in human, therapeutic or diagnostic applications. |
| 背景资料 | The galectins are a family of beta-galactoside-binding proteins implicated in modulating cell-cell and cell-matrix interactions. This gene product may act as an autocrine negative growth factor that regulates cell proliferation. [provided by RefSeq, Jul 2008]. |
| 应用 | 推荐稀释比例 |
| {WB} | {1:500-2000} |
| {IHC-P} | {1:100-500} |
| {IHC-F} | {1:100-500} |
| {IF} | {1:100-500} |


Sample:
NIH/3T3(Mouse) Cell Lysate at 30 ug
Primary: Anti-Galectin 1 (bs-6594R) at 1/1000 dilution
Secondary: IRDye800CW Goat Anti-Rabbit IgG at 1/20000 dilution
Predicted band size: 15 kD
Observed band size: 14 kD
NIH/3T3(Mouse) Cell Lysate at 30 ug
Primary: Anti-Galectin 1 (bs-6594R) at 1/1000 dilution
Secondary: IRDye800CW Goat Anti-Rabbit IgG at 1/20000 dilution
Predicted band size: 15 kD
Observed band size: 14 kD
风险提示:丁香通仅作为第三方平台,为商家信息发布提供平台空间。用户咨询产品时请注意保护个人信息及财产安全,合理判断,谨慎选购商品,商家和用户对交易行为负责。对于医疗器械类产品,请先查证核实企业经营资质和医疗器械产品注册证情况。
文献和实验该产品被引用文献
[IF={{ 3.345 }}] {Xu et al. Morphological and proteomic analyses reveal that unsaturated guluronate oligosaccharide modulates multiple functional pathways in murine macrophage RAW264.7 cells. (2015) Mar.Drug. 13:1798-818} {WB} {Mouse}
技术资料暂无技术资料 索取技术资料
文献支持
Galectin 1 Rabbit pAb(bs-6594R)-50ul/100ul/200ul
¥1180 - 2800





