相关产品推荐更多 >

LPA2 Rabbit pAb, PE-Cy5.5 conjugated(bs-10368R-PE-Cy5.5)-100ul
¥2980
Apolipoprotein E4 Rabbit pAb(bs-5038R)-50ul/100ul/200ul
¥1180
p75 NGF Receptor Rabbit pAb, HRP conjugated(bs-7122R-HRP)-100ul
¥2980
VEGFR1 Rabbit pAb, HRP conjugated(bs-0170R-HRP)-100ul
¥2980
phospho-ERK1/ERK2(phospho-T202/T185) Recombinant Rabbit mAb(bsm-54491R)-50ul/100ul
¥1400
万千商家帮你免费找货
0 人在求购买到急需产品
- 详细信息
- 文献和实验
- 技术资料
- 应用范围:
产品信息以Bioss网站为准
- 规格:
50ul/100ul/200ul
| 规格: | 50ul | 产品价格: | ¥1180.0 |
|---|---|---|---|
| 规格: | 100ul | 产品价格: | ¥1980.0 |
| 规格: | 200ul | 产品价格: | ¥2800.0 |
| 产品编号 | bs-1824R |
| 英文名称 | Mitofilin Rabbit pAb |
| 中文名称 | 线粒体内膜蛋白抗体 |
| 英文别名 | Cell proliferation inducing protein 52; Cell proliferation-inducing gene 4/52 protein; HMP; IMMT; IMMT_HUMAN; Inner membrane protein mitochondrial; Inner mitochrondial membrane; MINOS2; Mitochondrial inner membrane organizing system 2; Mitochondrial inner membrane protein; Mitofilin; Motor protein; p87; p87/89; p89; pig4; PIG52; Proliferation-inducing gene 4; MICOS complex subunit MIC60. |
| 产品应用 | WB=1:500-2000, IHC-P=1:100-500, IHC-F=1:100-500, ICC/IF=1:100-500, IF=1:100-500 Not yet tested in other applications. |
| 交叉反应 | Human, Mouse, Rat (Dog, Cow) |
| 抗体来源 | Rabbit |
| 免疫原 | KLH conjugated synthetic peptide derived from human Mitofilin |
| 亚型 | IgG |
| 性状 | Liquid |
| 纯化方法 | affinity purified by Protein A |
| 克隆类型 | Polyclonal |
| 理论分子量 | 84 kDa |
| 浓度 | 1mg/ml |
| 储存液 | 0.01M TBS (pH7.4) with 1% BSA, 0.02% Proclin300 and 50% Glycerol. |
| 研究领域 | Cardiovascular > Heart > Cardiac metabolism Metabolism > Pathways and Processes > Mitochondrial Metabolism > Mitochondrial markers Signal Transduction > Metabolism > Mitochondrial |
| 亚基 | Interacts with OPA1, preferentially with the soluble OPA1 form. Component of the MINOS/MitOS complex, that includes IMMT, HSPA9 and CHCHD3 and associates with mitochondrial outer membrane proteins SAMM50, MTX1 and MTX2. Interacts with CHCHD6; the interaction is direct. |
| 亚细胞定位 | Mitochondrion inner membrane. |
| 保存条件 | Shipped at 4℃. Store at -20℃ for one year. Avoid repeated freeze/thaw cycles. |
| 注意事项 | This product as supplied is intended for research use only, not for use in human, therapeutic or diagnostic applications. |
| 背景资料 | Mitochondria are the center of cellular energy production and essential metabolic reactions. As double membrane-bound organelles, mitochondria from different species, tissues, and metabolic states are highly polymorphic in nature, yet exhibit common structural features. The ultrastructural variations in mitochondrial architecture occur mainly due to the differences in the amount and shape of cristae. Abundant cristae are found in mitochondria from tissues where energy demand is high. Analysis of the human heart mitochondrial proteome shows that mitofilin is one of the most abundant mitochondrial proteins. It appears to play an important role in the maintenance of cristae morphology. Mitofilin was originally described as heart muscle protein (HMP) because of its high expression in the heart. |
| 应用 | 推荐稀释比例 |
| {WB} | {1:500-2000} |
| {IHC-P} | {1:100-500} |
| {IHC-F} | {1:100-500} |
| {ICC/IF} | {1:100-500} |
| {IF} | {1:100-500} |





A673(Human) Cell Lysate at 30 ug
Primary: Anti-Mitofilin (bs-1824R) at 1/300 dilution
Secondary: IRDye800CW Goat Anti-Rabbit IgG at 1/20000 dilution
Predicted band size: 68 kD
Observed band size: 68 kD
风险提示:丁香通仅作为第三方平台,为商家信息发布提供平台空间。用户咨询产品时请注意保护个人信息及财产安全,合理判断,谨慎选购商品,商家和用户对交易行为负责。对于医疗器械类产品,请先查证核实企业经营资质和医疗器械产品注册证情况。
文献和实验[IF={{ 7.1 }}] {Lei Wang. et al.Adipose-derived stem cells attenuate rheumatoid arthritis by restoring CX3CR1+ synovial lining macrophage barrier.stem cell research & therapy.2025 Mar 5;16(1):111.} {IF} {Mouse}
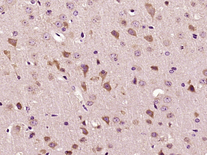
[IF={{ 2.752 }}] {Yuliang Wen. et al. Changes in the Mitochondrial Dynamics and Functions Together with the mRNA/miRNA Network in the Heart Tissue Contribute to Hypoxia Adaptation in Tibetan Sheep. Animals-Basel. 2022 Jan;12(5):583} {IHC} {Sheep}
[IF={{ 2.323 }}] {Guan Wang. et al. Effects of Aging on Expression of Mic60 and OPA1 and Mitochondrial Morphology in Myocardium of Tibetan Sheep. Animals-Basel. 2020 Nov;10(11):2160} {IHC} {Sheep}
= NAL), appears to form upon oxidative cyclization of the nonfluorescent 2:1 lysine-HNE Michael adduct-Schiff base cross-link (Scheme 1). Polyclonal antibody (PAb) to the NAL-HNE fluorophore was raised in rabbit and found to be highly specific
GE Healthcare Benzamidine Sepharose™ 6B is p-aminobenzamidine covalently attached to Sepharose 6B by the epoxy coupling method. p-Aminobenzamidine (PAB), is a synthetic inhibitor of trypsin-like serine protease. Trypsin and trypsin
Nucleic Acid Programmable Protein Arrays: Versatile Tools for Array‐Based Functional Protein Studies
.g., Sigma) 50 mg/ml bis‐sulfosuccinimdylsuberate (BS3 ;Pierce, cat. no. PI 21580) in dimethylsulfoxide (DMSO) 5 mg/ml
技术资料暂无技术资料 索取技术资料





