相关产品推荐更多 >

Anti-human AMHR2 (Murlentamab-MMAE Biosimilar)(BIO0897SM)-1mg/5mg/20mg
¥3200
IL13 Rabbit pAb, AP conjugated(bs-0560R-AP)-100ul
¥2980
Endomucin Rabbit pAb, AP conjugated(bs-5884R-AP)-100ul
¥2980
Cyclin B1 Rabbit pAb, APC conjugated(bs-0572R-APC)-100ul
¥2980
KGF Rabbit pAb, PE-Cy5 conjugated(bs-0734R-PE-Cy5)-100ul
¥2980
万千商家帮你免费找货
0 人在求购买到急需产品
- 详细信息
- 文献和实验
- 技术资料
- 应用范围:
产品信息以Bioss网站为准
- 规格:
50ul/100ul/200ul
| 规格: | 50ul | 产品价格: | ¥1180.0 |
|---|---|---|---|
| 规格: | 100ul | 产品价格: | ¥1980.0 |
| 规格: | 200ul | 产品价格: | ¥2800.0 |
| 产品编号 | bs-15511R |
| 英文名称 | CLCA4 Rabbit pAb |
| 中文名称 | 钙激活氯离子通道4蛋白抗体 |
| 英文别名 | CaCC-2; Calcium-activated chloride channel family member 4; Calcium-activated chloride channel protein 2; Calcium-activated chloride channel regulator 4; Clca4; CLCA4_HUMAN; hCaCC-2; hCLCA4; calcium-activated chloride channel regulator 4 precursor; Parturition-related protein PRP3; Clca6; Prp3. |
| 产品应用 | IHC-P=1:100-500, IHC-F=1:100-500, IF=1:100-500 Not yet tested in other applications. |
| 交叉反应 | Rat (Human, Mouse, Dog, Pig, Cow, Horse, Sheep) |
| 抗体来源 | Rabbit |
| 免疫原 | KLH conjugated synthetic peptide derived from human CLCA4 |
| 亚型 | IgG |
| 性状 | Liquid |
| 纯化方法 | affinity purified by Protein A |
| 克隆类型 | Polyclonal |
| 理论分子量 | 99、101 kDa |
| 浓度 | 1mg/ml |
| 储存液 | 0.01M TBS (pH7.4) with 1% BSA, 0.02% Proclin300 and 50% Glycerol. |
| 研究领域 | Signal Transduction > Metabolism > Plasma Membrane > Channels |
| 亚细胞定位 | Cell membrane; Single-pass membrane protein. Apical cell membrane. Secreted. Note=The C-terminus 30 kDa form is anchored to the membrane. The N-terminus 110 kDa form is released from the membrane triggered by an unknown stimulus. Associated with the microvilli of non-goblet cell enterocytes in the small and large intestine. Co-localizes with CFTR. |
| 组织特异性 | Primarily expressed in the digestive tract, mainly in colon. Detected in smaller amounts in brain, urogenital organs, testis, and salivary and mammary glands. Highly expressed in the epithelial layer and submucosal gland of the inferior turbinate mucosa. Lower levels in the epithelial layer of nasal polyp. |
| 翻译后修饰 | N-Glycosylated.
Processed at a monobasic residue to yield a larger N-terminal and a smaller C-terminal cleavage products of 90 to 110 and 30 to 35 kDa, respectively. |
| 相似性 | Belongs to the CLCR family.
Contains 1 VWFA domain. |
| 功能 | May be involved in mediating calcium-activated chloride conductance. |
| 保存条件 | Shipped at 4℃. Store at -20℃ for one year. Avoid repeated freeze/thaw cycles. |
| 注意事项 | This product as supplied is intended for research use only, not for use in human, therapeutic or diagnostic applications. |
| 背景资料 | The protein encoded by this gene belongs to the calcium sensitive chloride conductance protein family. To date, all members of this gene family map to the same site on chromosome 1p31-p22 and share high degrees of homology in size, sequence and predicted structure, but differ significantly in their tissue distributions. Alternative splicing results in multiple transcript variants, only one of which is thought to be protein coding. [provided by RefSeq, Dec 2008] |
| 应用 | 推荐稀释比例 |
| {IHC-P} | {1:100-500} |
| {IHC-F} | {1:100-500} |
| {IF} | {1:100-500} |

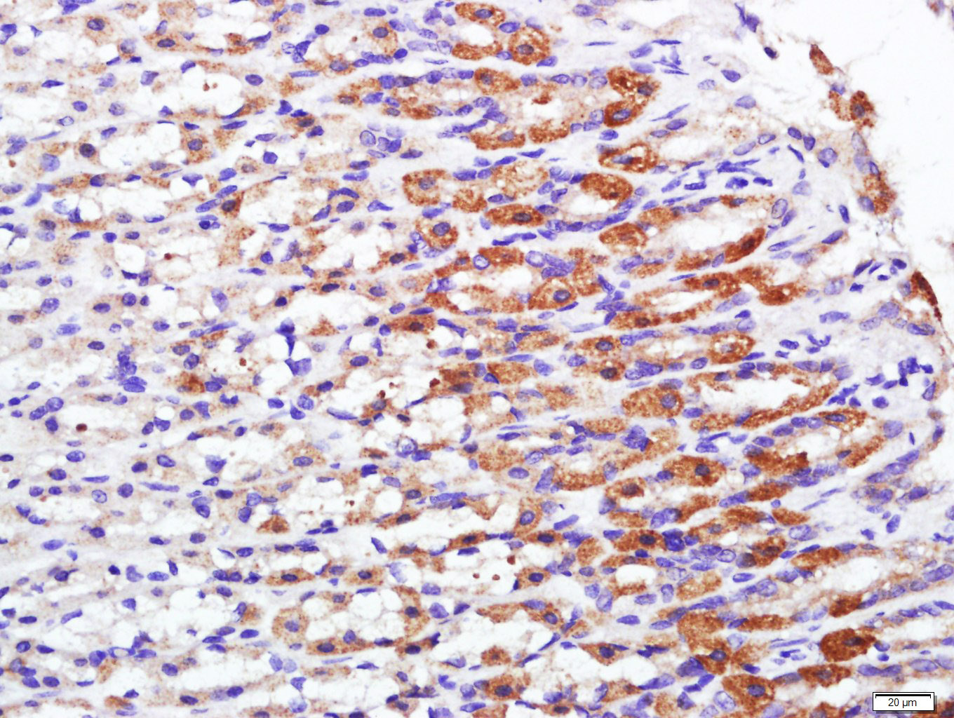
Antigen retrieval: citrate buffer ( 0.01M, pH 6.0 ), Boiling bathing for 15min; Block endogenous peroxidase by 3% Hydrogen peroxide for 30min; Blocking buffer (normal goat serum,C-0005) at 37℃ for 20 min;
Incubation: Anti-CLCA4 Polyclonal Antibody, Unconjugated(bs-15511R) 1:500, overnight at 4°C, followed by conjugation to the secondary antibody(SP-0023) and DAB(C-0010) staining
风险提示:丁香通仅作为第三方平台,为商家信息发布提供平台空间。用户咨询产品时请注意保护个人信息及财产安全,合理判断,谨慎选购商品,商家和用户对交易行为负责。对于医疗器械类产品,请先查证核实企业经营资质和医疗器械产品注册证情况。
文献和实验= NAL), appears to form upon oxidative cyclization of the nonfluorescent 2:1 lysine-HNE Michael adduct-Schiff base cross-link (Scheme 1). Polyclonal antibody (PAb) to the NAL-HNE fluorophore was raised in rabbit and found to be highly specific
GE Healthcare Benzamidine Sepharose™ 6B is p-aminobenzamidine covalently attached to Sepharose 6B by the epoxy coupling method. p-Aminobenzamidine (PAB), is a synthetic inhibitor of trypsin-like serine protease. Trypsin and trypsin
Nucleic Acid Programmable Protein Arrays: Versatile Tools for Array‐Based Functional Protein Studies
.g., Sigma) 50 mg/ml bis‐sulfosuccinimdylsuberate (BS3 ;Pierce, cat. no. PI 21580) in dimethylsulfoxide (DMSO) 5 mg/ml
技术资料暂无技术资料 索取技术资料






