相关产品推荐更多 >

ADORA1 Rabbit pAb, Cy3 conjugated(bs-4235R-Cy3)-100ul
¥2980
NRH2 Rabbit pAb(bs-7672R)-50ul/100ul/200ul
¥1180
Beta tubulin Recombinant Rabbit mAb, BF647 conjugated(bsm-33034R-BF647)-100ul
¥3200
WNT4 Rabbit pAb(bs-20786R)-50ul/100ul/200ul
¥1180
phospho-IRS1 (Tyr632) Rabbit pAb, PerCP conjugated(bs-8707R-PerCP)-100ul
¥2980
万千商家帮你免费找货
0 人在求购买到急需产品
- 详细信息
- 文献和实验
- 技术资料
- 应用范围:
产品信息以Bioss网站为准
- 规格:
50ul/100ul/200ul
| 规格: | 50ul | 产品价格: | ¥1180.0 |
|---|---|---|---|
| 规格: | 100ul | 产品价格: | ¥1980.0 |
| 规格: | 200ul | 产品价格: | ¥2800.0 |
| 产品编号 | bs-7714R |
| 英文名称 | NUF2 Rabbit pAb |
| 中文名称 | 细胞分裂周期相关蛋白1抗体 |
| 英文别名 | NUF2_HUMAN; Kinetochore protein Nuf2; CDCA1; NUF2R; hNuf2; hNuf2R; hsNuf2; Cell division cycle-associated protein 1; CT106; NUF2 component of NDC80 kinetochore complex; |
| 产品应用 | IHC-P=1:100-500, IHC-F=1:100-500, ICC/IF=1:100-500, IF=1:100-500, Flow-Cyt=1ug/Test Not yet tested in other applications. |
| 交叉反应 | Human, Mouse (Rat, Dog, Pig, Cow, Horse, Rabbit) |
| 抗体来源 | Rabbit |
| 免疫原 | KLH conjugated synthetic peptide derived from human NUF2 |
| 亚型 | IgG |
| 性状 | Liquid |
| 纯化方法 | affinity purified by Protein A |
| 克隆类型 | Polyclonal |
| 理论分子量 | 51 kDa |
| 浓度 | 1mg/ml |
| 储存液 | 0.01M TBS (pH7.4) with 1% BSA, 0.02% Proclin300 and 50% Glycerol. |
| 研究领域 | Cell Biology > Cell Cycle > Cell Division > Centromere |
| 亚基 | Component of the NDC80 complex, which consists of NDC80/HEC1, CDCA1, SPBC24 and SPBC25. The NDC80 complex is formed by two subcomplexes composed of NDC80/HEC1-CDCA1 and SPBC24-SPBC25. Each subcomplex is formed by parallel interactions through the coiled-coil domains of individual subunits. Formation of a tetrameric complex is mediated by interactions between the C-terminal regions of both subunits of the NDC80/HEC1-CDCA1 subcomplex and the N-terminal regions of both subunits of the SPBC24-SPBC25 complex. The tetrameric NDC80 complex has an elongated rod-like structure with globular domains at either end. May interact with AURKB/Aurora-B. Directly interacts with CENPE; this interaction determines CENPE kinetochore localization. |
| 亚细胞定位 | Nucleus. Chromosome, centromere, kinetochore. Localizes to kinetochores from late prophase to anaphase. Localizes specifically to the outer plate of the kinetochore. |
| 翻译后修饰 | Can be phosphorylated by AURKA and AURKB. |
| 相似性 | Belongs to the NUF2 family. |
| 功能 | Acts as a component of the essential kinetochore-associated NDC80 complex, which is required for chromosome segregation and spindle checkpoint activity. Required for kinetochore integrity and the organization of stable microtubule binding sites in the outer plate of the kinetochore. |
| 保存条件 | Shipped at 4℃. Store at -20℃ for one year. Avoid repeated freeze/thaw cycles. |
| 注意事项 | This product as supplied is intended for research use only, not for use in human, therapeutic or diagnostic applications. |
| 背景资料 | This gene encodes a protein that is highly similar to yeast Nuf2, a component of a conserved protein complex associated with the centromere. Yeast Nuf2 disappears from the centromere during meiotic prophase when centromeres lose their connection to the spindle pole body, and plays a regulatory role in chromosome segregation. The encoded protein is found to be associated with centromeres of mitotic HeLa cells, which suggests that this protein is a functional homolog of yeast Nuf2. Alternatively spliced transcript variants that encode the same protein have been described. [provided by RefSeq, Jul 2008] |
| 应用 | 推荐稀释比例 |
| {IHC-P} | {1:100-500} |
| {IHC-F} | {1:100-500} |
| {ICC/IF} | {1:100-500} |
| {IF} | {1:100-500} |
| {Flow-Cyt} | {1ug/Test} |

Primary Antibody (green line): Rabbit Anti-CDCA1 antibody (bs-7714R)
Dilution: 1μg /10^6 cells;
Isotype Control Antibody (orange line): Rabbit IgG .
Secondary Antibody (white blue line): Goat anti-rabbit IgG-AF647
Dilution: 1μg /test.
Protocol
The cells were fixed with 4% PFA (10min at room temperature)and then permeabilized with 90% ice-cold methanol for 20 min at room temperature. The cells were then incubated in 5%BSA to block non-specific protein-protein interactions for 30 min at room temperature .Cells stained with Primary Antibody for 30 min at room temperature. The secondary antibody used for 40 min at room temperature. Acquisition of 20,000 events was performed.

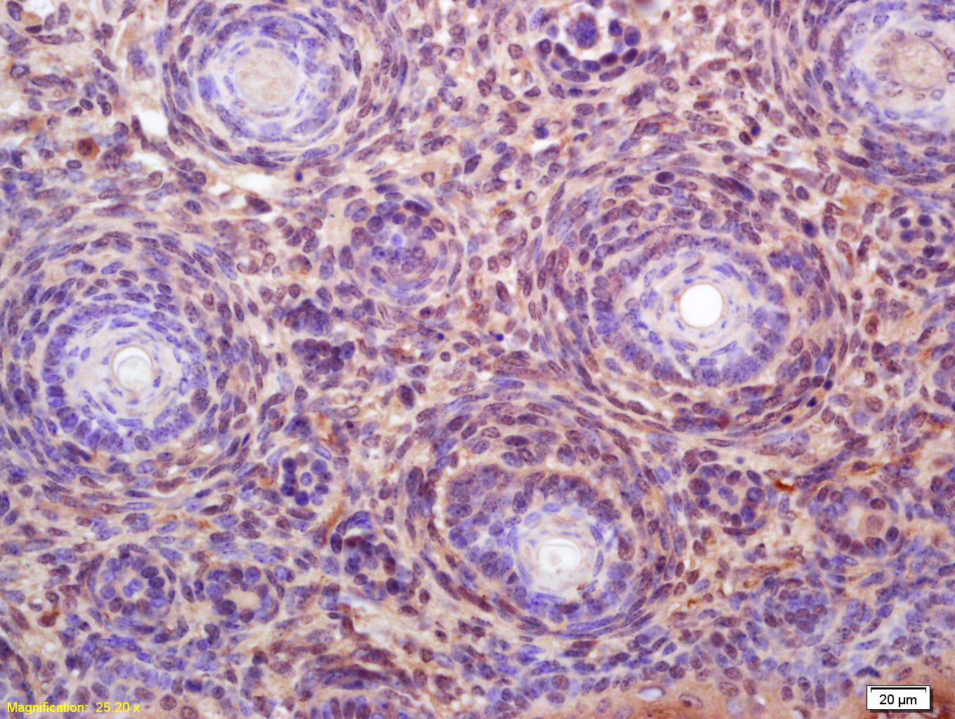
Antigen retrieval: citrate buffer ( 0.01M, pH 6.0 ), Boiling bathing for 15min; Block endogenous peroxidase by 3% Hydrogen peroxide for 30min; Blocking buffer (normal goat serum,C-0005) at 37℃ for 20 min;
Incubation: Anti-CDCA1/Nuf2 Polyclonal Antibody, Unconjugated(bs-7714R) 1:200, overnight at 4°C, followed by conjugation to the secondary antibody(SP-0023) and DAB(C-0010) staining

Primary Antibody (green line): Rabbit Anti-CDCA1 antibody (bs-7714R)
Dilution:1ug/Test;
Secondary Antibody(white blue line): Goat anti-rabbit IgG-AF488
Dilution: 0.5ug/Test.
Isotype control(orange line): Normal Rabbit IgG
Protocol
The cells were fixed with 4% PFA (10min at room temperature)and then permeabilized with 90% ice-cold methanol for 20 min at -20℃, The cells were then incubated in 5%BSA to block non-specific protein-protein interactions for 30 min at room temperature .Cells stained with Primary Antibody for 30 min at room temperature. The secondary antibody used for 40 min at room temperature. Acquisition of 20,000 events was performed.

风险提示:丁香通仅作为第三方平台,为商家信息发布提供平台空间。用户咨询产品时请注意保护个人信息及财产安全,合理判断,谨慎选购商品,商家和用户对交易行为负责。对于医疗器械类产品,请先查证核实企业经营资质和医疗器械产品注册证情况。
文献和实验[IF={{ 5.7 }}] {Zhou Mingxuan. et al. Identification of immune-related genes and small-molecule drugs in hypertension-induced left ventricular hypertrophy based on machine learning algorithms and molecular docking. FRONT IMMUNOL. 2024 Jun;15:} {IF,WB} {Mouse}
[IF={{ 2.9 }}] {Wei Ding. et al. Roles of the CDCA gene family in breast carcinoma. SCI PROGRESS-UK. ;():} {WB,IHC} {Human}
[IF={{ 2.3 }}] {Xiaodan Yu. et al. NDC80 Kinetochore Complex Serves as a Potential Prognostic Predictor and Correlates with Immune Infiltrates in Epithelial Ovarian Cancer Patients. INT J GEN MED. 2024 五月 01} {IHC} {Human}
[IF={{ 2.25 }}] {Tokuzumi, Aki, et al. "Cell division cycle‐associated protein 1 as a new melanoma‐associated antigen." The Journal of Dermatology (2016).} {IHC} {="Human"}
= NAL), appears to form upon oxidative cyclization of the nonfluorescent 2:1 lysine-HNE Michael adduct-Schiff base cross-link (Scheme 1). Polyclonal antibody (PAb) to the NAL-HNE fluorophore was raised in rabbit and found to be highly specific
GE Healthcare Benzamidine Sepharose™ 6B is p-aminobenzamidine covalently attached to Sepharose 6B by the epoxy coupling method. p-Aminobenzamidine (PAB), is a synthetic inhibitor of trypsin-like serine protease. Trypsin and trypsin
Nucleic Acid Programmable Protein Arrays: Versatile Tools for Array‐Based Functional Protein Studies
.g., Sigma) 50 mg/ml bis‐sulfosuccinimdylsuberate (BS3 ;Pierce, cat. no. PI 21580) in dimethylsulfoxide (DMSO) 5 mg/ml
技术资料暂无技术资料 索取技术资料






