相关产品推荐更多 >

CD53 Rabbit pAb, AP conjugated(bs-13625R-AP)-100ul
¥2980
MAPKAP Kinase 2 Rabbit pAb, HRP conjugated(bs-2908R-HRP)-100ul
¥2980
LRRC3 Rabbit pAb(bs-18376R)-50ul/100ul/200ul
¥1180
CCL26 Rabbit pAb, BF405 conjugated(bs-15513R-BF405)-100ul
¥2980
DICER1 Rabbit pAb, PerCP-Cy7 conjugated(bs-6697R-PerCP-Cy7)-100ul
¥2980
万千商家帮你免费找货
0 人在求购买到急需产品
- 详细信息
- 文献和实验
- 技术资料
- 应用范围:
产品信息以Bioss网站为准
- 规格:
50ul/100ul/200ul
| 规格: | 50ul | 产品价格: | ¥1180.0 |
|---|---|---|---|
| 规格: | 100ul | 产品价格: | ¥1980.0 |
| 规格: | 200ul | 产品价格: | ¥2800.0 |
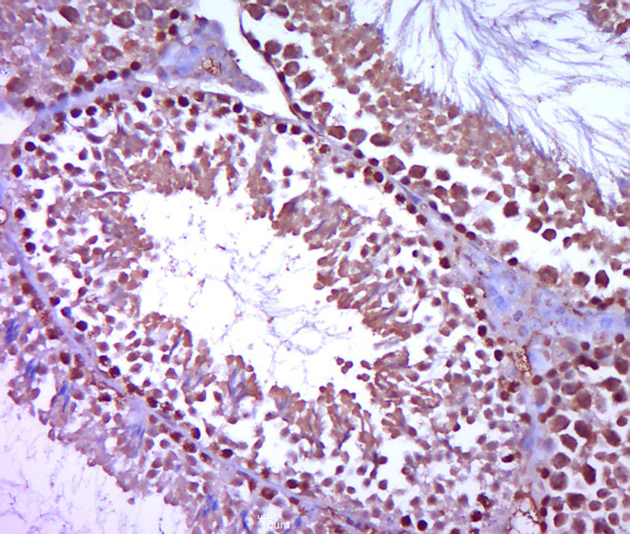
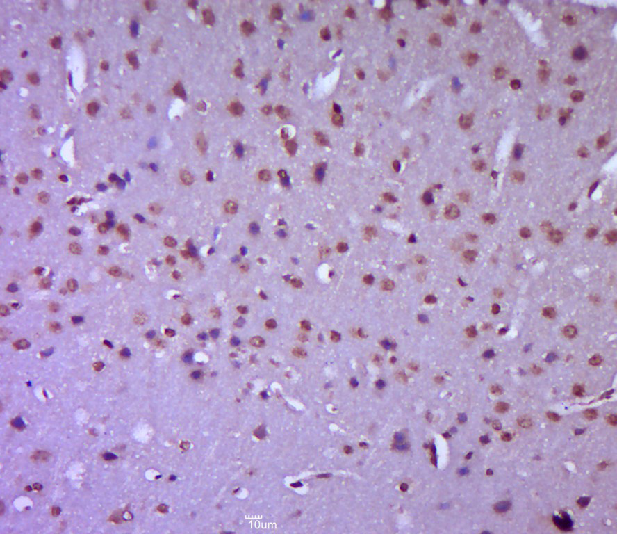
| 产品编号 | bs-5971R |
| 英文名称 | Plzf Rabbit pAb |
| 中文名称 | 早幼粒细胞白血病锌指蛋白抗体 |
| 英文别名 | Promyelocytic leukemia zinc finger protein; ZBT16_HUMAN; ZBTB16; Zfp145; Zinc finger and BTB domain containing 16; Zinc finger and BTB domain-containing protein 16; Zinc finger protein 145(Kruppel like expressed in promyelocytic leukemia); Zinc finger protein 145; Zinc finger protein PLZF; Znf145. |
| 产品应用 | IHC-P=1:100-500, IHC-F=1:100-500, IF=1:100-500, Flow-Cyt=1ug/Test Not yet tested in other applications. |
| 交叉反应 | Human, Mouse (Rat, Dog, Cow, Horse) |
| 抗体来源 | Rabbit |
| 免疫原 | KLH conjugated synthetic peptide derived from human Plzf |
| 亚型 | IgG |
| 性状 | Liquid |
| 纯化方法 | affinity purified by Protein A |
| 克隆类型 | Polyclonal |
| 理论分子量 | 74 kDa |
| 浓度 | 1mg/ml |
| 储存液 | 0.01M TBS (pH7.4) with 1% BSA, 0.02% Proclin300 and 50% Glycerol. |
| 亚基 | Binds EPN1. Interacts with ZBTB32 and CUL3. |
| 亚细胞定位 | Nucleus. |
| 组织特异性 | Within the hematopoietic system, PLZF is expressed in bone marrow, early myeloid cell lines and peripheral blood mononuclear cells. Also expressed in the ovary, and at lower levels, in the kidney and lung. |
| 相似性 | Belongs to the krueppel C2H2-type zinc-finger protein family. Contains 1 BTB (POZ) domain. Contains 9 C2H2-type zinc fingers. |
| 功能 | Probable transcription factor. May play a role in myeloid maturation and in the development and/or maintenance of other differentiated tissues. Probable substrate-recognition component of an E3 ubiquitin-protein ligase complex which mediates the ubiquitination and subsequent proteasomal degradation of target proteins. |
| 保存条件 | Shipped at 4℃. Store at -20℃ for one year. Avoid repeated freeze/thaw cycles. |
| 注意事项 | This product as supplied is intended for research use only, not for use in human, therapeutic or diagnostic applications. |
| 背景资料 | Probable transcription factor. May play a role in myeloid maturation and in the development and/or maintenance of other differentiated tissues. Probable substrate-recognition component of an E3 ubiquitin-protein ligase complex which mediates the ubiquitination and subsequent proteasomal degradation of target proteins. |
| 应用 | 推荐稀释比例 |
| {IHC-P} | {1:100-500} |
| {IHC-F} | {1:100-500} |
| {IF} | {1:100-500} |
| {Flow-Cyt} | {1ug/Test} |



Primary Antibody (green line): Rabbit Anti-PLZF antibody (bs-5971R)
Dilution: 1μg /10^6 cells;
Isotype Control Antibody (orange line): Rabbit IgG .
Secondary Antibody : Goat anti-rabbit IgG-PE
Dilution: 1μg /test.
Protocol
The cells were fixed with 4% PFA (10min at room temperature)and then permeabilized with PBST for 20 min at room temperature. The cells were then incubated in 5%BSA to block non-specific protein-protein interactions for 30 min at at room temperature .Cells stained with Primary Antibody for 30 min at room temperature. The secondary antibody used for 40 min at room temperature. Acquisition of 20,000 events was performed.
风险提示:丁香通仅作为第三方平台,为商家信息发布提供平台空间。用户咨询产品时请注意保护个人信息及财产安全,合理判断,谨慎选购商品,商家和用户对交易行为负责。对于医疗器械类产品,请先查证核实企业经营资质和医疗器械产品注册证情况。
文献和实验[IF={{ 6.975 }}] {Meng-Fei Zhang. et al. Transcription factor Dmrt1 triggers the SPRY1-NF-κB pathway to maintain testicular immune homeostasis and male fertility. ZOOL RES. 2023 May 18; 44(3): 505–521} {IF} {Mouse}
[IF={{ 6.208 }}] {Baohui Yao. et al. Reproductive Suppression Caused by Spermatogenic Arrest: Transcriptomic Evidence from a Non-Social Animal. INT J MOL SCI. 2023 Jan;24(5):4611} {IHC} {Zokor}
[IF={{ 5.076 }}] {Feng T et al. Melatonin Protects Goat Spermatogonial Stem Cells against Oxidative Damage during Cryopreservation by Improving Antioxidant Capacity and Inhibiting Mitochondrial Apoptosis PathwayOxid Med Cell Longev.2020 Dec 31;2020:5954635.} {IF} {Goat}
[IF={{ 4.8 }}] {Meng-fei ZHANG. et al. MiR-21-5p ameliorates Busulfan-induced testicular dysfunction and maintains spermatogenesis1. J INTEGR AGR. 2024 Feb;:} {IF} {Goat}
[IF={{ 3.26 }}] {Niu, Zhiwei, et al. "Ras/ERK1/2 pathway regulates the self-renewal of dairy goat spermatogonia stem cells." Reproduction 149.5 (2015): 445-452.} {Other} {="Goat"}
= NAL), appears to form upon oxidative cyclization of the nonfluorescent 2:1 lysine-HNE Michael adduct-Schiff base cross-link (Scheme 1). Polyclonal antibody (PAb) to the NAL-HNE fluorophore was raised in rabbit and found to be highly specific
GE Healthcare Benzamidine Sepharose™ 6B is p-aminobenzamidine covalently attached to Sepharose 6B by the epoxy coupling method. p-Aminobenzamidine (PAB), is a synthetic inhibitor of trypsin-like serine protease. Trypsin and trypsin
Nucleic Acid Programmable Protein Arrays: Versatile Tools for Array‐Based Functional Protein Studies
.g., Sigma) 50 mg/ml bis‐sulfosuccinimdylsuberate (BS3 ;Pierce, cat. no. PI 21580) in dimethylsulfoxide (DMSO) 5 mg/ml
技术资料暂无技术资料 索取技术资料






