相关产品推荐更多 >

LPA2 Rabbit pAb, PE-Cy5 conjugated(bs-10368R-PE-Cy5)-100ul
¥2980
PPAR Gamma Rabbit pAb, PerCP conjugated(bs-4590R-PerCP)-100ul
¥2980
Anti-RSV-F (Palivizumab Biosimilar)(BIO0958SM)-1mg/5mg/20mg
¥3200
AFAP1L2 Rabbit pAb, PerCP-Cy5.5 conjugated(bs-11020R-PerCP-Cy5.5)-100ul
¥2980
CD32 Rabbit pAb, BF594 conjugated(bs-2573R-BF594)-100ul
¥2980
万千商家帮你免费找货
0 人在求购买到急需产品
- 详细信息
- 文献和实验
- 技术资料
- 应用范围:
产品信息以Bioss网站为准
- 规格:
50ul/100ul
| 规格: | 50ul | 产品价格: | ¥1180.0 |
|---|---|---|---|
| 规格: | 100ul | 产品价格: | ¥1980.0 |
| 产品编号 | bs-5729R |
| 英文名称 | LGALS3BP Rabbit pAb |
| 中文名称 | 可溶性半乳糖凝集素3结合蛋白抗体 |
| 英文别名 | Mac 2 binding protein; MAC2BP; Tumor associated antigen 90K; 90K; 90K MAC 2 BP; Basement membrane autoantigen p105; Galectin 3 binding protein; L3 antigen; Lectin galactoside binding soluble 3 binding protein; M2BP; Mac 2 BP; Serum protein 90K; LG3BP_HUMAN. |
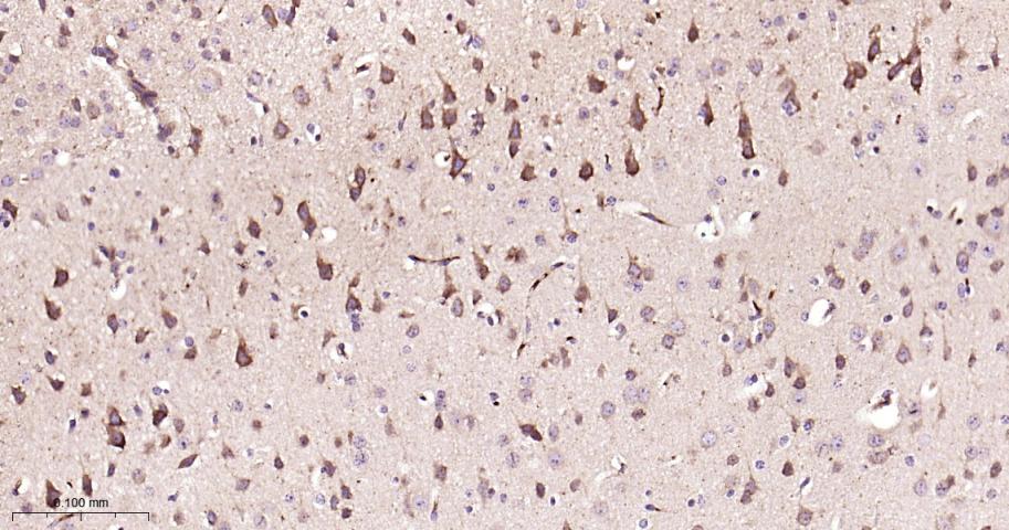
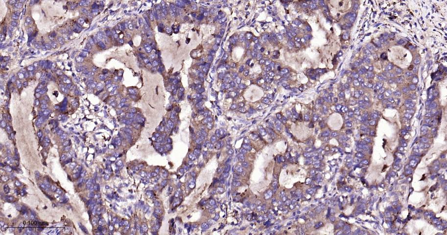
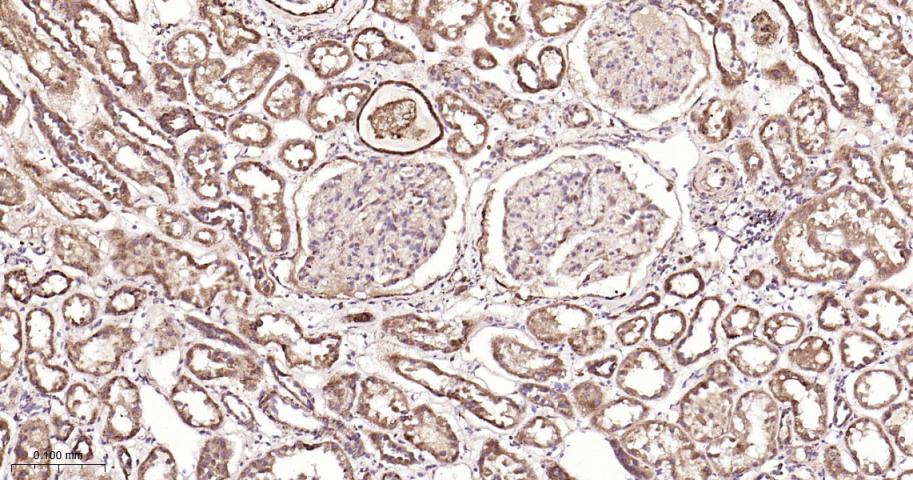
| 产品应用 | WB=1:500-2000, IHC-P=1:100-500, IHC-F=1:100-500, IF=1:100-500, ELISA=1:5000-10000 Not yet tested in other applications. |
| 交叉反应 | Human, Mouse |
| 抗体来源 | Rabbit |
| 免疫原 | KLH conjugated synthetic peptide derived from human LGALS3BP |
| 亚型 | IgG |
| 性状 | Liquid |
| 纯化方法 | affinity purified by Protein A |
| 克隆类型 | Polyclonal |
| 理论分子量 | 63 kDa |
| 浓度 | 1mg/ml |
| 储存液 | 0.01M TBS (pH7.4) with 1% BSA, 0.02% Proclin300 and 50% Glycerol. |
| 研究领域 | Cancer > Cell cycle > Cell division Cancer > Tumor biomarkers > Oncoproteins |
| 亚基 | Homodimers and homomultimers. |
| 亚细胞定位 | Secreted. Secreted, extracellular space, extracellular matrix. |
| 组织特异性 | Ubiquitous. Detected in body fluids such as semen, milk, serum, tears, saliva and urine. Expressed by keratinocytes and fibroblasts. |
| 相似性 | Contains 1 BACK (BTB/Kelch associated) domain. Contains 1 BTB (POZ) domain. Contains 1 SRCR domain. |
| 功能 | Promotes intergrin-mediated cell adhesion. May stimulate host defense against viruses and tumor cells. |
| 保存条件 | Shipped at 4℃. Store at -20℃ for one year. Avoid repeated freeze/thaw cycles. |
| 注意事项 | This product as supplied is intended for research use only, not for use in human, therapeutic or diagnostic applications. |
| 背景资料 | LGALS3BP is a ligand of galectin 3, and has been suggested to influence tumor proliferation and metastasis formation. Galectins and their ligands have been implicated in cell transformation and cancer metastasis, and found to have prognostic value. LGALS3BP also known as Mac 2 BP,and as 90K, is a highly glycosylated, secreted protein extensively studied in human cancer, which binds galectin 1, galectin 3 and galectin 7. High expression levels of this molecule are associated with a shorter survival, the occurrence of metastasis or a reduced response to chemotherapy in patients with different types of malignancy. The mechanisms underlying the prognostic significance of 90K and galectins in cancer are far from being understood, although they may be related to the ability of these proteins to interact and, to some extent, modulate cell cell and cell matrix adhesion and apoptosis. |
| 应用 | 推荐稀释比例 |
| {WB} | {1:500-2000} |
| {IHC-P} | {1:100-500} |
| {IHC-F} | {1:100-500} |
| {IF} | {1:100-500} |
| {ELISA} | {1:5000-10000} |






风险提示:丁香通仅作为第三方平台,为商家信息发布提供平台空间。用户咨询产品时请注意保护个人信息及财产安全,合理判断,谨慎选购商品,商家和用户对交易行为负责。对于医疗器械类产品,请先查证核实企业经营资质和医疗器械产品注册证情况。
文献和实验= NAL), appears to form upon oxidative cyclization of the nonfluorescent 2:1 lysine-HNE Michael adduct-Schiff base cross-link (Scheme 1). Polyclonal antibody (PAb) to the NAL-HNE fluorophore was raised in rabbit and found to be highly specific
GE Healthcare Benzamidine Sepharose™ 6B is p-aminobenzamidine covalently attached to Sepharose 6B by the epoxy coupling method. p-Aminobenzamidine (PAB), is a synthetic inhibitor of trypsin-like serine protease. Trypsin and trypsin
Nucleic Acid Programmable Protein Arrays: Versatile Tools for Array‐Based Functional Protein Studies
.g., Sigma) 50 mg/ml bis‐sulfosuccinimdylsuberate (BS3 ;Pierce, cat. no. PI 21580) in dimethylsulfoxide (DMSO) 5 mg/ml
技术资料暂无技术资料 索取技术资料





