相关产品推荐更多 >
万千商家帮你免费找货
0 人在求购买到急需产品
- 详细信息
- 文献和实验
- 技术资料
- 应用范围:
产品信息以Bioss网站为准
- 规格:
50ul/100ul/200ul
| 规格: | 50ul | 产品价格: | ¥1180.0 |
|---|---|---|---|
| 规格: | 100ul | 产品价格: | ¥1980.0 |
| 规格: | 200ul | 产品价格: | ¥2800.0 |
| 产品编号 | bs-4512R |
| 英文名称 | TUBB3 (Neuronal Marker) Rabbit pAb |
| 中文名称 | 神经细胞特异性微管蛋白抗体 |
| 英文别名 | Neuron specific beta III Tubulin; beta 4; MC1R; TBB3_HUMAN; TUBB 3; TUBB 4; TUBB3; TUBB4; Tubulin beta 3 chain; Tubulin beta 4; Tubulin beta III; Tubulin beta-3 chain; Tubulin beta-4 chain; Tubulin beta-III; beta tubulin III; Neuron specific beta III Tubulin. |
| 中文别名 | TUJ1 |
| 产品应用 | WB=1:500-2000, IHC-P=1:100-500, IHC-F=1:100-500, ICC/IF=1:100-500, IF=1:200-800, Flow-Cyt=1μg/Test Not yet tested in other applications. |
| 交叉反应 | Human, Mouse, Rat (Dog, Rabbit) |
| 抗体来源 | Rabbit |
| 免疫原 | KLH conjugated synthetic peptide derived from human beta III Tubulin |
| 亚型 | IgG |
| 性状 | Liquid |
| 纯化方法 | affinity purified by Protein A |
| 克隆类型 | Polyclonal |
| 理论分子量 | 50-55 kDa |
| 浓度 | 1mg/ml |
| 储存液 | 0.01M TBS (pH7.4) with 1% BSA, 0.02% Proclin300 and 50% Glycerol. |
| 研究领域 | Neuroscience > Cell Adhesion Proteins > Cytoskeletal Proteins > Microtubules Signal Transduction > Cytoskeleton / ECM > Cytoskeleton > Microtubules > Tubulin Tags & Cell Markers > Cell Type Markers > Neuroscience Markers > Neuronal |
| 亚基 | Dimer of alpha and beta chains. |
| 亚细胞定位 | Cytoplasm, cytoskeleton. |
| 组织特异性 | Expression is primarily restricted to centraland peripheral nervous system. Greatly increased expression in mostcancerous tissues. |
| 翻译后修饰 | Some glutamate residues at the C-terminus arepolyglutamylated. This modification occurs exclusively on glutamateresidues and results in polyglutamate chains on the gamma-carboxylgroup. Also monoglycylated but not polyglycylated due to theabsence of functional TTLL10 in human. Monoglycylation is mainlylimited to tubulin incorporated into axonemes (cilia and flagella)whereas glutamylation is prevalent in neuronal cells, centrioles,axonemes, and the mitotic spindle. Both modifications can coexiston the same protein on adjacent residues, and lowering glycylationlevels increases polyglutamylation, and reciprocally. The precisefunction of such modifications is still unclear but they regulatethe assembly and dynamics of axonemal microtubules (Probable).
Phosphorylated on Ser-172 by CDK1 during the cell cycle, frommetaphase to telophase, but not in interphase. This phosphorylationinhibits tubulin incorporation into microtubules. |
| 相似性 | Belongs to the tubulin family. |
| 功能 | Tubulin is the major constituent of microtubules. Itbinds two moles of GTP, one at an exchangeable site on the betachain and one at a non-exchangeable site on the alpha chain. TUBB3plays a critical role in proper axon guidance and mantainance. |
| 保存条件 | Shipped at 4℃. Store at -20℃ for one year. Avoid repeated freeze/thaw cycles. |
| 注意事项 | This product as supplied is intended for research use only, not for use in human, therapeutic or diagnostic applications. |
| 背景资料 | Neuronal MarkerBeta III tubulin is abundant in the central and peripheral nervous systems (CNS and PNS) where it is prominently expressed during fetal and postnatal development. As exemplified in cerebellar and sympathoadrenal neurogenesis, the distribution of beta III is neuron-associated, exhibiting distinct temporospatial gradients according to the regional neuroepithelia of origin. However, transient expression of this protein is also present in the subventricular zones of the CNS comprising putative neuronal- and/or glial precursor cells, as well as in Kulchitsky neuroendocrine cells of the fetal respiratory epithelium. This temporally restricted, potentially non-neuronal expression may have implications in the identification of presumptive neurons derived from embryonic stem cells. |
| 应用 | 推荐稀释比例 |
| {WB} | {1:500-2000} |
| {IHC-P} | {1:100-500} |
| {IHC-F} | {1:100-500} |
| {ICC/IF} | {1:100-500} |
| {IF} | {1:200-800} |
| {Flow-Cyt} | {1μg/Test} |

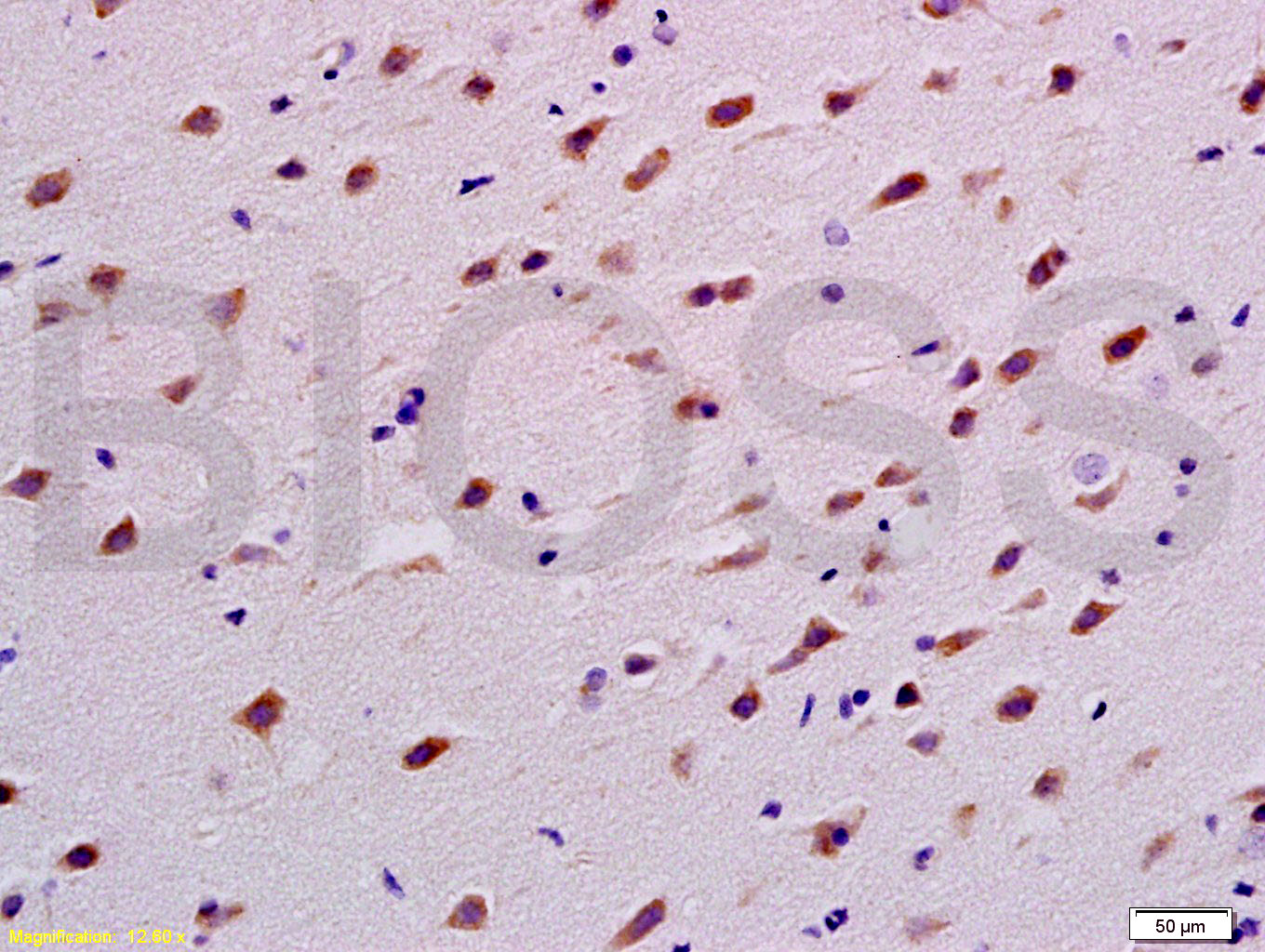
Antigen retrieval: citrate buffer ( 0.01M, pH 6.0 ), Boiling bathing for 15min; Block endogenous peroxidase by 3% Hydrogen peroxide for 30min; Blocking buffer (normal goat serum,C-0005) at 37℃ for 20 min;
Incubation: Anti-TUBB3/beta III Tubulin(Neuronal Marker) Polyclonal Antibody, Unconjugated(bs-4512R) 1:200, overnight at 4°C, followed by conjugation to the secondary antibody(SP-0023) and DAB(C-0010) staining







U251(Human) Cell Lysate at 30 ug
Primary: Anti-TUBB3 (Neuronal Marker) (bs-4512R) at 1/1000 dilution
Secondary: IRDye800CW Goat Anti-Rabbit IgG at 1/20000 dilution
Predicted band size: 50-55 kD
Observed band size: 50 kD

BV-2(Rat) Cell Lysate at 30 ug
Primary: Anti-TUBB3 (Neuronal Marker) (bs-4512R) at 1/1000 dilution
Secondary: IRDye800CW Goat Anti-Rabbit IgG at 1/20000 dilution
Predicted band size: 50-55 kD
Observed band size: 50 kD
风险提示:丁香通仅作为第三方平台,为商家信息发布提供平台空间。用户咨询产品时请注意保护个人信息及财产安全,合理判断,谨慎选购商品,商家和用户对交易行为负责。对于医疗器械类产品,请先查证核实企业经营资质和医疗器械产品注册证情况。
文献和实验[IF={{ 4.46 }}] {Song, Zhi‐Qi, et al. "Overexpression of BAT3 Alleviates Prion Protein Fragment PrP106‐126‐Induced Neuronal Apoptosis." CNS Neuroscience & Therapeutics (2014).} {ICC} {Human&Rat}
[IF={{ 2.21 }}] {Can Sezer. et al. Neuroprotective Effects of Milrinone on Acute Traumatic Brain İnjury. WORLD NEUROSURG. 2022 Nov;:} {IHC} {Mouse}
[IF={{ 2.1 }}] {Gökten Murat. et al. Beyond expectations: safinamide’s unprecedented neuroprotective impact on acute spinal cord injury. EUR J TRAUMA EMERG S. 2024 Apr;:1-9} {IHC} {Rat}
[IF={{ 11.036 }}] {Yanhong Wang. et al. Programming of Regulatory T Cells In Situ for Nerve Regeneration and Long-Term Patency of Vascular Grafts. Research. 2022 Jul 19;2022:9826426} {IF} {Rat}
[IF={{ 1.26 }}] {Bugueño, Juan, et al. "Canine mesenchymal stem cell bone regenerative capacity is regulated by site-specific multi-lineage differentiation." Oral Surgery, Oral Medicine, Oral Pathology and Oral Radiology (2016).} {IF} {="Dog"}
Models and Analysis of Atherosclerosis, Restenosis, and Aneurysm Formation in the Mouse
Cells Marker Antibody Application
技术资料暂无技术资料 索取技术资料









