相关产品推荐更多 >
万千商家帮你免费找货
0 人在求购买到急需产品
- 详细信息
- 文献和实验
- 技术资料
- 应用范围:
产品信息以Bioss网站为准
- 规格:
50ul/100ul/200ul
| 规格: | 50ul | 产品价格: | ¥1180.0 |
|---|---|---|---|
| 规格: | 100ul | 产品价格: | ¥1980.0 |
| 规格: | 200ul | 产品价格: | ¥2800.0 |
| 产品编号 | bs-12922R |
| 英文名称 | Cytohesin 2 Rabbit pAb |
| 中文名称 | 胞粘蛋白2抗体 |
| 英文别名 | ARF exchange factor; ARF nucleotide binding site opener; Arno; ARNO protein; CLM2; CTS18; CTS18.1; Cyth2; Cytohesin 2; MGC137537; MGC80440; PH, SEC7 and coiled-coil domain-containing protein 2; Pleckstrin homology Sec7 and coiled coil domains 2; Pleckstrin homology Sec7 and coiled coil domains protein 2; PSCD2; PSCD2L; PSCD2L, formerly; Sec7; SEC7 homolog B; Sec7B; SEC7L; Sec7p L; Sec7p-like; Sec7pL; CYH2_HUMAN. |
| 产品应用 | IHC-P=1:100-500, IHC-F=1:100-500, IF=1:100-500 Not yet tested in other applications. |
| 交叉反应 | Human, Rat (Mouse, Chicken, Dog, Pig, Horse, Sheep) |
| 抗体来源 | Rabbit |
| 免疫原 | KLH conjugated synthetic peptide derived from human Cytohesin 2 |
| 亚型 | IgG |
| 性状 | Liquid |
| 纯化方法 | affinity purified by Protein A |
| 克隆类型 | Polyclonal |
| 理论分子量 | 47 kDa |
| 浓度 | 1mg/ml |
| 储存液 | 0.01M TBS (pH7.4) with 1% BSA, 0.02% Proclin300 and 50% Glycerol. |
| 研究领域 | Signal Transduction > Cytoskeleton / ECM > Cytoskeleton > Microfilaments > Actin etc > Actin Assembly Signal Transduction > Signaling Pathway > G Protein Signaling > Small G Proteins > Ras Family |
| 亚基 | Heteromer. Composed of GRASP, CYTH2 and at least one GRM1 (By similarity). Interacts with ARRB1. Interacts with ARL4D; the interaction is direct. |
| 亚细胞定位 | Cell membrane. Cytoplasm. Note=Both isoform 1 and isoform 2 are recruited to the cell membrane through its association with ARL4A, ARL4C and ARL4D. Requires also interaction with phosphoinositides for targeting to plasma membrane. |
| 组织特异性 | Ubiquitous. |
| 相似性 | Contains 1 PH domain. Contains 1 SEC7 domain. |
| 功能 | Acts as a guanine-nucleotide exchange factor (GEF). Promotes guanine-nucleotide exchange on ARF1, ARF3 and ARF6. Promotes the activation of ARF factors through replacement of GDP with GTP. The cell membrane form, in association with ARL4 proteins, recruits ARF6 to the plasma membrane. |
| 保存条件 | Shipped at 4℃. Store at -20℃ for one year. Avoid repeated freeze/thaw cycles. |
| 注意事项 | This product as supplied is intended for research use only, not for use in human, therapeutic or diagnostic applications. |
| 背景资料 | The ADP-ribosylation factor (Arf) family comprises a group of structurally and functionally conserved 21 kDa proteins, which are members of the Ras superfamily of regulatory GTP-binding proteins. Arf is involved in intracellular protein traffic to and within the Golgi complex. Arf has a number of disparate activities including maintenance of organelle integrity, assembly of coat proteins, as a co-factor for cholera toxin and as an activator of phospholipase D. Like other small GTPases, Arf is found to be active when bound to GTP and inactive when bound to GDP. Arf’s activation is dependent upon guanine nucleotide exchange factors (GEFs) which increase the rate of exchange of bound GDP with GTP. All GEFs have a highly conserved Sec7 domain. GEF activity lies in the Sec7 domain and this activity has been shown to be inhibited by the fungal metabolite brefeldin-A (BFA). A small group of GEFs which are insensitive to brefeldin-A (BFA) include cytohesin-1 (B2-1), cytohesin-2 (ARNO), cytohesin-3 (ARNO3), and cytohesin-4. All cytohesins function in the cell periphery and contain a pleckstrin homology (PH) domain. The PH domain has been shown to interact with phosphatidylinositol 3,4,5-triphosphate and is believed to promote membrane targeting of the cytohesins. Recruitment of the cytohesins to the membranes can occur in response to tyrosine kinase receptor activation. This response appears to require the activation of phosphatidylinositol 3-kinase (PI 3-kinase). |
| 应用 | 推荐稀释比例 |
| {IHC-P} | {1:100-500} |
| {IHC-F} | {1:100-500} |
| {IF} | {1:100-500} |

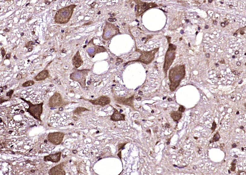
Paraformaldehyde-fixed, paraffin embedded (rat brain); Antigen retrieval by boiling in sodium citrate buffer (pH6.0) for 15min; Block endogenous peroxidase by 3% hydrogen peroxide for 20 minutes; Blocking buffer (normal goat serum) at 37°C for 30min; Antibody incubation with (Cytohesin 2) Polyclonal Antibody, Unconjugated (bs-12922R) at 1:200 overnight at 4°C, followed by operating according to SP Kit(Rabbit) (sp-0023) instructionsand DAB staining.

Paraformaldehyde-fixed, paraffin embedded (Human stomach); Antigen retrieval by boiling in sodium citrate buffer (pH6.0) for 15min; Block endogenous peroxidase by 3% hydrogen peroxide for 20 minutes; Blocking buffer (normal goat serum) at 37°C for 30min; Antibody incubation with (Cytohesin 2) Polyclonal Antibody, Unconjugated (bs-12922R) at 1:200 overnight at 4°C, followed by operating according to SP Kit(Rabbit) (sp-0023) instructionsand DAB staining.
风险提示:丁香通仅作为第三方平台,为商家信息发布提供平台空间。用户咨询产品时请注意保护个人信息及财产安全,合理判断,谨慎选购商品,商家和用户对交易行为负责。对于医疗器械类产品,请先查证核实企业经营资质和医疗器械产品注册证情况。
文献和实验该产品被引用文献
[IF={{ 4.192 }}] {Chaochao Luo. et al. Glutamine Regulates Cell Growth and Casein Synthesis through the CYTHs/ARFGAP1-Arf1-mTORC1 Pathway in Bovine Mammary Epithelial Cells. J Agr Food Chem. 2021;XXXX(XXX):XXX-XXX} {WB} {Bovine}
技术资料暂无技术资料 索取技术资料
文献支持
Cytohesin 2 Rabbit pAb(bs-12922R)-50ul/100ul/200ul
¥1180 - 2800










