相关产品推荐更多 >

Di-Methyl-Histone H3 (Lys79) Recombinant Mouse mAb(bsm-60094M)-50ul/100ul/25ul
¥800
Transglutaminase-1 Rabbit pAb, PE-Cy7 conjugated(bs-6690R-PE-Cy7)-100ul
¥2980
Anti-human CXCL12 / SDF1a (Genentech Anti-CXCL12 Biosimilar)(BIO0545SM)-1mg/5mg/20mg
¥3200
Uteroglobin Rabbit pAb(bs-4760R)-50ul/100ul/200ul
¥1180
MYB Rabbit pAb(bs-25011R)-50ul/100ul/200ul
¥1180
万千商家帮你免费找货
0 人在求购买到急需产品
- 详细信息
- 文献和实验
- 技术资料
- 应用范围:
产品信息以Bioss网站为准
- 规格:
50ul/100ul/200ul
| 规格: | 50ul | 产品价格: | ¥1180.0 |
|---|---|---|---|
| 规格: | 100ul | 产品价格: | ¥1980.0 |
| 规格: | 200ul | 产品价格: | ¥2800.0 |
| 产品编号 | bs-2756R |
| 英文名称 | CYLD Rabbit pAb |
| 中文名称 | 微管结合蛋白CYLD抗体 |
| 英文别名 | CDMT; cylindromatosis(turban tumor syndrome); cylindromatosis 1; Deubiquitinating enzyme CYLD; EAC; HSPC057; KIAA0849; turban tumor syndrome; Ubiquitin thiolesterase CYLD; Ubiquitin-specific processing protease CYLD; CYLD_HUMAN; Ubiquitin carboxyl-terminal hydrolase CYLD; CYLD; BRSS; CDMT; CYLD1; CYLDI; EAC; MFT; MFT1; SBS; TEM; USPL2. |
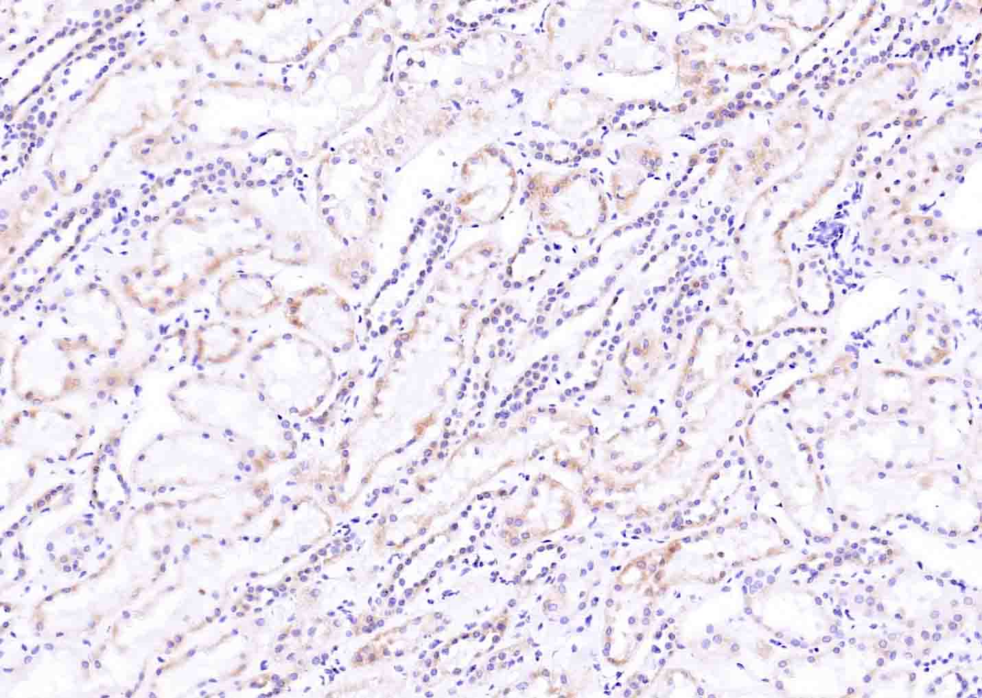
| 产品应用 | WB=1:500-2000, IHC-P=1:100-500, IHC-F=1:100-500, IF=1:100-500, Flow-Cyt=2ug/Test Not yet tested in other applications. |
| 交叉反应 | Human, Mouse, Rat, 肾, 肾, 肾, 肾 (Chicken, Cow, Horse) |
| 抗体来源 | Rabbit |
| 免疫原 | KLH conjugated synthetic peptide derived from human cylindromatosis 1 |
| 亚型 | IgG |
| 性状 | Liquid |
| 纯化方法 | affinity purified by Protein A |
| 克隆类型 | Polyclonal |
| 理论分子量 | 105 kDa |
| 浓度 | 1mg/ml |
| 储存液 | 0.01M TBS (pH7.4) with 1% BSA, 0.02% Proclin300 and 50% Glycerol. |
| 研究领域 | Cancer > Oncoproteins/suppressors > Tumor suppressors Cell Biology > Proteolysis / Ubiquitin > Proteasome / Ubiquitin > Deubiquitination Epigenetics and Nuclear Signaling > Ubiquitin & Ubiquitin Like Modifiers > Deubiquitination Tags & Cell Markers > Cell Type Markers > Tumor Associated |
| 亚基 | Interacts (via CAP-Gly domain) with IKBKG/NEMO (via proline-rich C-terminal region). Interacts with TRAF2 and TRIP. Interacts with PLK1, DVL1, DVL3, MAVS, TBK1, IKKE and DDX58. Interacts (via CAP-Gly domain) with microtubules. Interacts with HDAC6 and BCL3. Interacts with SQSTM1 and MAP3K7. Identified in a complex with TRAF6 and SQSTM1 (By similarity). |
| 亚细胞定位 | Cytoplasm. Cytoplasm, perinuclear region. Cytoplasm, cytoskeleton. Cell membrane; Peripheral membrane protein; Cytoplasmic side. Note=Detected at the microtubule cytoskeleton during interphase. Detected at the midbody during telophase. |
| 组织特异性 | Detected in fetal brain, testis, and skeletal muscle, and at a lower level in adult brain, leukocytes, liver, heart, kidney, spleen, ovary and lung. Isoform 2 is found in all tissues except kidney. |
| 翻译后修饰 | Phosphorylated on several serine residues by IKKA and/or IKKB in response to immune stimuli. Phosphorylation requires IKBKG. Phosphorylation abolishes TRAF2 deubiquitination, interferes with the activation of Jun kinases, and strongly reduces CD40-dependent gene activation by NF-kappa-B. |
| 相似性 | Belongs to the peptidase C67 family.
Contains 3 CAP-Gly domains. |
| 功能 | Protease that specifically cleaves 'Lys-63'-linked polyubiquitin chains. Has endodeubiquitinase activity. Plays an important role in the regulation of pathways leading to NF-kappa-B activation. Contributes to the regulation of cell survival, proliferation and differentiation via its effects on NF-kappa-B activation. Negative regulator of Wnt signaling. Inhibits HDAC6 and thereby promotes acetylation of alpha-tubulin and stabilization of microtubules. Plays a role in the regulation of microtubule dynamics, and thereby contributes to the regulation of cell proliferation, cell polarization, cell migration, and angiogenesis. Required for normal cell cycle progress and normal cytokinesis. Inhibits nuclear translocation of NF-kappa-B. Plays a role in the regulation of inflammation and the innate immune response, via its effects on NF-kappa-B activation. Dispensable for the maturation of intrathymic natural killer cells, but required for the continued survival of immature natural killer cells. Negatively regulates TNFRSF11A signaling and osteoclastogenesis. |
| 保存条件 | Shipped at 4℃. Store at -20℃ for one year. Avoid repeated freeze/thaw cycles. |
| 注意事项 | This product as supplied is intended for research use only, not for use in human, therapeutic or diagnostic applications. |
| 背景资料 | Defects in CYLD are the cause of familial cylindromatosis (CYLD) also known as turban tumor syndrome or dermal eccrine cylindromatosis. CYLD is an autosomal dominant and highly tumor type-specific disorder. The tumors (known as cylindromas because of their characteristic microscopic architecture) are believed to arise from or recapitulate the appearance of the eccrine or apocrine cells of the skin that secrete sweat and scent respectively. Cylindromas arise predominantly in hairy parts of the body with approximately 90% on the head and neck. The development of a confluent mass which may ulcerate or become infected has led to the designation "turban tumor syndrome". The skin tumors show differentiation in the direction of hair structures, hence the synonym trichoepithelioma. CYLD has deubiquitinating activity. |
| 应用 | 推荐稀释比例 |
| {WB} | {1:500-2000} |
| {IHC-P} | {1:100-500} |
| {IHC-F} | {1:100-500} |
| {IF} | {1:100-500} |
| {Flow-Cyt} | {2ug/Test} |


Cerebrum (Mouse) Lysate at 40 ug
Primary: Anti-CYLD (bs-2756R) at 1/500 dilution
Secondary: IRDye800CW Goat Anti-Rabbit IgG at 1/20000 dilution
Predicted band size: 105 kD
Observed band size: 105 kD

Primary Antibody (green line): Rabbit Anti-CYLD antibody (bs-2756R)
Dilution: 2μg /10^6 cells;
Isotype Control Antibody (orange line): Rabbit IgG .
Secondary Antibody : Goat anti-rabbit IgG-PE
Dilution: 1μg /test.
Protocol
The cells were fixed with 4% PFA (10min at room temperature)and then permeabilized with 0.1% PBST for 20 min at room temperature.The cells were then incubated in 5%BSA to block non-specific protein-protein interactions for 30 min at room temperature .Cells stained with Primary Antibody for 30 min at room temperature. The secondary antibody used for 40 min at room temperature. Acquisition of 20,000 events was performed.

风险提示:丁香通仅作为第三方平台,为商家信息发布提供平台空间。用户咨询产品时请注意保护个人信息及财产安全,合理判断,谨慎选购商品,商家和用户对交易行为负责。对于医疗器械类产品,请先查证核实企业经营资质和医疗器械产品注册证情况。
文献和实验= NAL), appears to form upon oxidative cyclization of the nonfluorescent 2:1 lysine-HNE Michael adduct-Schiff base cross-link (Scheme 1). Polyclonal antibody (PAb) to the NAL-HNE fluorophore was raised in rabbit and found to be highly specific
GE Healthcare Benzamidine Sepharose™ 6B is p-aminobenzamidine covalently attached to Sepharose 6B by the epoxy coupling method. p-Aminobenzamidine (PAB), is a synthetic inhibitor of trypsin-like serine protease. Trypsin and trypsin
Nucleic Acid Programmable Protein Arrays: Versatile Tools for Array‐Based Functional Protein Studies
.g., Sigma) 50 mg/ml bis‐sulfosuccinimdylsuberate (BS3 ;Pierce, cat. no. PI 21580) in dimethylsulfoxide (DMSO) 5 mg/ml
技术资料暂无技术资料 索取技术资料






