相关产品推荐更多 >

Vinculin Rabbit pAb, PerCP-Cy5.5 conjugated(bs-6640R-PerCP-Cy5.5)-100ul
¥2980
phospho-DDX5 (Tyr593) Rabbit pAb, Biotin conjugated(bs-8005R-Bio)-100ul
¥2980
TRF2 Rabbit pAb, AP conjugated(bs-22935R-AP)-100ul
¥2980
HIAT1 Rabbit pAb, Biotin conjugated(bs-8042R-Bio)-100ul
¥2980
phospho-beta Actin (Tyr53) Rabbit pAb, HRP conjugated(bs-12581R-HRP)-100ul
¥2980
万千商家帮你免费找货
0 人在求购买到急需产品
- 详细信息
- 文献和实验
- 技术资料
- 应用范围:
产品信息以Bioss网站为准
- 规格:
50ul/100ul/200ul
| 规格: | 50ul | 产品价格: | ¥1180.0 |
|---|---|---|---|
| 规格: | 100ul | 产品价格: | ¥1980.0 |
| 规格: | 200ul | 产品价格: | ¥2800.0 |
| 产品编号 | bs-10216R |
| 英文名称 | SOD1 Rabbit pAb |
| 中文名称 | 超氧化物歧化酶1(铜/锌过氧化物歧化酶SOD抗体 |
| 英文别名 | Superoxide Dismutase 1; ALS 1; ALS; ALS1; Amyotrophic lateral sclerosis 1 adult; Amyotrophic lateral sclerosis 1; Cu/Zn SOD; Cu/Zn superoxide dismutase; Homodimer; Indophenoloxidase A; IPOA; Mn superoxide dismutase; SOD 1; SOD; SOD soluble; SOD2; SODC; Soluble indophenoloxidase A; Superoxide dismutase 1; Superoxide dismutase 1 soluble; Superoxide dismutase Cu Zn; Superoxide dismutase cystolic; SODC_HUMAN; Superoxide dismutase [Cu-Zn]; hSod1; Ipo1; SODC; Ipo-1; Sod-1; CuZnSOD; Cu/Zn-SOD; MGC107553; B430204E11Rik; superoxide-dimutase-1. |
| 产品应用 | WB=1:500-2000, IHC-P=1:100-500, IHC-F=1:100-500, IF=1:100-500, Flow-Cyt=1ug/test Not yet tested in other applications. |
| 交叉反应 | Human, Mouse, Rat (Pig, Cow, Horse) |
| 抗体来源 | Rabbit |
| 免疫原 | KLH conjugated synthetic peptide derived from human SOD1 |
| 亚型 | IgG |
| 性状 | Liquid |
| 纯化方法 | affinity purified by Protein A |
| 克隆类型 | Polyclonal |
| 理论分子量 | 17 kDa |
| 浓度 | 1mg/ml |
| 储存液 | 0.01M TBS (pH7.4) with 1% BSA, 0.02% Proclin300 and 50% Glycerol. |
| 亚基 | Homodimer; non-disulfide linked. Homodimerization may take place via the ditryptophan cross-link at Trp-33. The pathogenic variants ALS1 Arg-38, Arg-47, Arg-86 and Ala-94 interact with RNF19A, whereas wild-type protein does not. The pathogenic variants ALS1 Arg-86 and Ala-94 interact with MARCH5, whereas wild-type protein does not. |
| 亚细胞定位 | Cytoplasm. Note=The pathogenic variants ALS1 Arg-86 and Ala-94 gradually aggregates and accumulates in mitochondria. |
| 翻译后修饰 | Unlike wild-type protein, the pathogenic variants ALS1 Arg-38, Arg-47, Arg-86 and Ala-94 are polyubiquitinated by RNF19A leading to their proteasomal degradation. The pathogenic variants ALS1 Arg-86 and Ala-94 are ubiquitinated by MARCH5 leading to their proteasomal degradation.
The ditryptophan cross-link at Trp-33 is responsible for the non-disulfide-linked homodimerization. Such modification might only occur in extreme conditions and additional experimental evidence is required. |
| 相似性 | Belongs to the Cu-Zn superoxide dismutase family. |
| 功能 | Destroys radicals which are normally produced within the cells and which are toxic to biological systems. |
| 保存条件 | Shipped at 4℃. Store at -20℃ for one year. Avoid repeated freeze/thaw cycles. |
| 注意事项 | This product as supplied is intended for research use only, not for use in human, therapeutic or diagnostic applications. |
| 背景资料 | The protein encoded by this gene binds copper and zinc ions and is one of two isozymes responsible for destroying free superoxide radicals in the body. The encoded isozyme is a soluble cytoplasmic protein, acting as a homodimer to convert naturally-occuring but harmful superoxide radicals to molecular oxygen and hydrogen peroxide. The other isozyme is a mitochondrial protein. Mutations in this gene have been implicated as causes of familial amyotrophic lateral sclerosis. Rare transcript variants have been reported for this gene. [provided by RefSeq, Jul 2008] |
| 应用 | 推荐稀释比例 |
| {WB} | {1:500-2000} |
| {IHC-P} | {1:100-500} |
| {IHC-F} | {1:100-500} |
| {IF} | {1:100-500} |
| {Flow-Cyt} | {1ug/test} |


Lane 1: Liver (Mouse) Lysate at 40 ug
Lane 2: Cerebrum (Rat) Lysate at 40 ug
Lane 3: Kidney (Rat) Lysate at 40 ug
Lane 4: Liver (Rat) Lysate at 40 ug
Primary: Anti-SOD1 (bs-10216R) at 1/1000 dilution
Secondary: IRDye800CW Goat Anti-Rabbit IgG at 1/20000 dilution
Predicted band size: 17 kD
Observed band size: 19 kD

Primary Antibody (green line): Rabbit Anti-SOD1 antibody (bs-10216R)
Dilution: 1ug/Test;
Secondary Antibody : Goat anti-rabbit IgG-FITC
Dilution: 0.5ug/Test.
Protocol
The cells were fixed with 4% PFA (10min at room temperature)and then permeabilized with 0.1% PBST for 20 min at room temperature.The cells were then incubated in 5%BSA to block non-specific protein-protein interactions for 30 min at room temperature .Cells stained with Primary Antibody for 30 min at room temperature. The secondary antibody used for 40 min at room temperature. Acquisition of 20,000 events was performed.

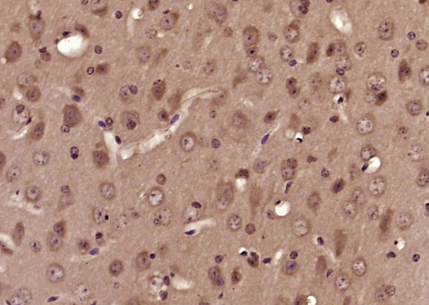
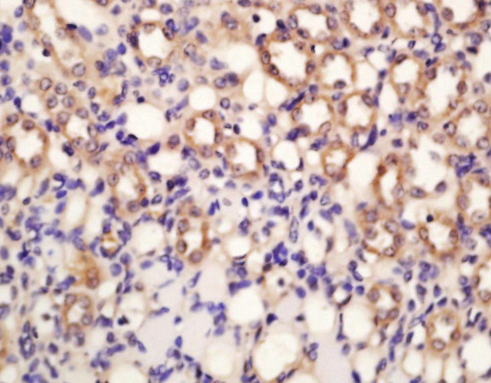
Antigen retrieval: citrate buffer ( 0.01M, pH 6.0 ), Boiling bathing for 15min; Block endogenous peroxidase by 3% Hydrogen peroxide for 30min; Blocking buffer (normal goat serum,C-0005) at 37℃ for 20 min;
Incubation: Anti-SOD1 Polyclonal Antibody, Unconjugated(bs-10216R) 1:200, overnight at 4°C, followed by conjugation to the secondary antibody(SP-0023) and DAB(C-0010) staining

Primary Antibody (green line): Rabbit Anti-SOD1 antibody (bs-10216R)
Dilution: 1μg /10^6 cells;
Isotype Control Antibody (orange line): Rabbit IgG .
Secondary Antibody : Goat anti-rabbit IgG-PE
Dilution: 1μg /test.
Protocol
The cells were fixed with 4% PFA (10min at room temperature)and then permeabilized with PBST for 20 min at room temperature. The cells were then incubated in 5%BSA to block non-specific protein-protein interactions for 30 min at at room temperature .Cells stained with Primary Antibody for 30 min at room temperature. The secondary antibody used for 40 min at room temperature. Acquisition of 20,000 events was performed.
风险提示:丁香通仅作为第三方平台,为商家信息发布提供平台空间。用户咨询产品时请注意保护个人信息及财产安全,合理判断,谨慎选购商品,商家和用户对交易行为负责。对于医疗器械类产品,请先查证核实企业经营资质和医疗器械产品注册证情况。
文献和实验[IF={{ 9.986 }}] {Jiyoung Hwang. et al. SOD1 suppresses pro-inflammatory immune responses by protecting against oxidative stress in colitis. Redox Biol. 2020 Oct;37:101760} {WB} {Human}
[IF={{ 8.8 }}] {Jiajun Chen. et al. Integrating UHPLC-MS/MS quantitative analysis and exogenous purine supplementation to elucidate the antidepressant mechanism of Chaigui granules by regulating purine metabolism. J PHARM ANAL. 2023 Aug;:} {WB} {Rat}
[IF={{ 8.3 }}] {Yitong Yuan. et al. Nanozyme Hydrogels Promote Nerve Regeneration in Spinal Cord Injury by Reducing Oxidative Stress. ACS APPL MATER INTER. 2024;16(44):59949–59961} {IF} {Mouse}
[IF={{ 8.025 }}] {Huihui Sun. et al. Study of anti-fatigue activity of polysaccharide from fruiting bodies of Armillaria gallica. INT J BIOL MACROMOL. 2023 Apr;:124611} {IHC} {Mouse}
[IF={{ 7.9 }}] {Hongwei Duan. et al. The mechanism of curcumin to protect mouse ovaries from oxidative damage by regulating AMPK/mTOR mediated autophagy. PHYTOMEDICINE. 2024 Feb;:155468} {WB} {Mouse}
= NAL), appears to form upon oxidative cyclization of the nonfluorescent 2:1 lysine-HNE Michael adduct-Schiff base cross-link (Scheme 1). Polyclonal antibody (PAb) to the NAL-HNE fluorophore was raised in rabbit and found to be highly specific
GE Healthcare Benzamidine Sepharose™ 6B is p-aminobenzamidine covalently attached to Sepharose 6B by the epoxy coupling method. p-Aminobenzamidine (PAB), is a synthetic inhibitor of trypsin-like serine protease. Trypsin and trypsin
Nucleic Acid Programmable Protein Arrays: Versatile Tools for Array‐Based Functional Protein Studies
.g., Sigma) 50 mg/ml bis‐sulfosuccinimdylsuberate (BS3 ;Pierce, cat. no. PI 21580) in dimethylsulfoxide (DMSO) 5 mg/ml
技术资料暂无技术资料 索取技术资料





