相关产品推荐更多 >

NXT2 Rabbit pAb(bs-4412R)-50ul/100ul/200ul
¥1180
MLCK Rabbit pAb, BF647 conjugated(bs-4705R-BF647)-100ul
¥2980
Caveolin-1 Rabbit pAb, HRP conjugated(bs-23173R-HRP)-100ul
¥2980
GLUT12 Rabbit pAb, Cy5.5 conjugated(bs-2540R-Cy5.5)-100ul
¥2980
Muscarinic Acetylcholine receptor M3 Rabbit pAb(bs-1289R)-50ul/100ul/200ul
¥1180
万千商家帮你免费找货
0 人在求购买到急需产品
- 详细信息
- 文献和实验
- 技术资料
- 应用范围:
产品信息以Bioss网站为准
- 规格:
50ul/100ul/200ul
| 规格: | 50ul | 产品价格: | ¥1180.0 |
|---|---|---|---|
| 规格: | 100ul | 产品价格: | ¥1980.0 |
| 规格: | 200ul | 产品价格: | ¥2800.0 |
| 产品编号 | bs-6003R |
| 英文名称 | DAL1/EPB41L3 Rabbit pAb |
| 中文名称 | 细胞骨架4.1蛋白家族DAL1抗体 |
| 英文别名 | Differentially expressed in adenocarcinoma of the lung protein 1; 4.1B; Band 4.1 like protein 3; DAL 1; DAL1; EPB41L3; Erythrocyte membrane protein band 4.1 like 3; HGNC:3380; KIAA0987; E41L3_HUMAN. |
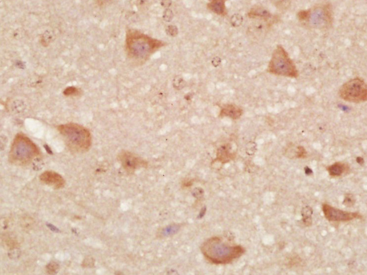
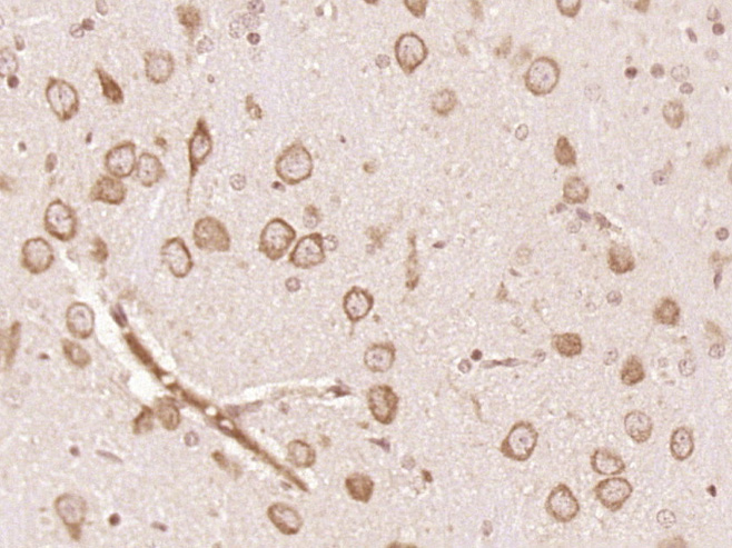
| 产品应用 | WB=1:500-2000, IHC-P=1:100-500, IHC-F=1:100-500, IF=1:100-500 Not yet tested in other applications. |
| 交叉反应 | Human, Mouse, Rat (Chicken, Dog, Pig, Cow, Horse, Rabbit, Sheep) |
| 抗体来源 | Rabbit |
| 免疫原 | KLH conjugated synthetic peptide derived from human DAL1/EPB41L3 |
| 亚型 | IgG |
| 性状 | Liquid |
| 纯化方法 | affinity purified by Protein A |
| 克隆类型 | Polyclonal |
| 理论分子量 | 120 kDa |
| 浓度 | 1mg/ml |
| 储存液 | 0.01M TBS (pH7.4) with 1% BSA, 0.02% Proclin300 and 50% Glycerol. |
| 研究领域 | Cancer > Oncoproteins/suppressors > Tumor suppressors Signal Transduction > Cytoskeleton / ECM > Cytoskeleton > Microfilaments > Actin etc > Actin Binding Proteins |
| 亚基 | Interacts with CADM1. |
| 亚细胞定位 | Cytoplasm, cytoskeleton |
| 组织特异性 | Expressed at high levels in brain, with lower levels in kidney, intestine, and testis. |
| 相似性 | ontains 1 FERM domain. |
| 功能 | Critical growth regulator in the pathogenesis of meningiomas. |
| 保存条件 | Shipped at 4℃. Store at -20℃ for one year. Avoid repeated freeze/thaw cycles. |
| 注意事项 | This product as supplied is intended for research use only, not for use in human, therapeutic or diagnostic applications. |
| 背景资料 | EPB41L3 is an actin-binding protein originally identified as a molecule whose expression is down-regulated in lung adenocarcinoma. EPB41L3 is a member of the protein 4.1 superfamily, which encompasses structural proteins that play important roles in membrane processes via interactions with actin, spectrin, and the cytoplasmic domains of integral membrane proteins. The gene for EPB41L3 is thought to function as a tumor suppressor and localizes within chromosomal region 18p11.3, which is affected by loss of heterozygosity (LOH) in various adult tumors. |
| 应用 | 推荐稀释比例 |
| {WB} | {1:500-2000} |
| {IHC-P} | {1:100-500} |
| {IHC-F} | {1:100-500} |
| {IF} | {1:100-500} |



Lane 1: Human HUVEC cell lysates
Lane 2: Human U-2 OS cell lysates
Primary: Anti-DAL1/EPB41L3 (bs-6003R) at 1/1000 dilution
Secondary: IRDye800CW Goat Anti-Rabbit IgG at 1/20000 dilution
Predicted band size: 120 kDa
Observed band size: 120 kDa
风险提示:丁香通仅作为第三方平台,为商家信息发布提供平台空间。用户咨询产品时请注意保护个人信息及财产安全,合理判断,谨慎选购商品,商家和用户对交易行为负责。对于医疗器械类产品,请先查证核实企业经营资质和医疗器械产品注册证情况。
文献和实验= NAL), appears to form upon oxidative cyclization of the nonfluorescent 2:1 lysine-HNE Michael adduct-Schiff base cross-link (Scheme 1). Polyclonal antibody (PAb) to the NAL-HNE fluorophore was raised in rabbit and found to be highly specific
. Retrieved 2010-11-29. ^ Nielsen BS, Jørgensen S, Fog JU, Søkilde R, Christensen IJ, Hansen U, Brünner N, Baker A, Møller S, Nielsen HJ (October 2010). "High levels of microRNA-21 in the stroma of colorectal cancers predict short disease-free survival
+oieSKeKcgxGinlRPl7uja5iYeDdc+K3eZhXhIOHOy+p9cxrGU9WCTkVcT5iRR/BsR+N0IDPSu3x0pXo0IRAQiAhGBiEBE4ABCwPnwbu0wGmW8ULj7NRb20DLRYqFW1Up6ODBube+wknwaZ5w/y92bXLbV5K3CJ+hhzKwdSHCmVrada2Qy0eyxvi0r7Lkl99ukcaOkRe60Sj82E8qgnmxNtzHGRRyZQtf1g41GIMau5W7ITlqbiDRR0CA3tPhIsEdmP5hZ
技术资料暂无技术资料 索取技术资料






