Sample:
Jurkat (Human) Cell Lysate at 40 ug
Primary: Anti-Dopamine beta Hydroxylase (bs-0596R) at 1/300 dilution
Secondary: IRDye800CW Goat Anti-Rabbit IgG at 1/20000 dilution
Predicted band size: 70 kD
Observed band size: 70 kD
相关产品推荐更多 >

HMGB1 Rabbit pAb, BF405 conjugated(bs-0664R-BF405)-100ul
¥2980
phospho-VEGFR2 (Tyr1175) Rabbit pAb, AP conjugated(bs-3468R-AP)-100ul
¥2980
CCR-1/CD191 Rabbit pAb(bs-1169R)-50ul/100ul/200ul
¥1180
RBKS Rabbit pAb, AP conjugated(bs-8705R-AP)-100ul
¥2980
Caspase-1 P10 Rabbit pAb, FITC conjugated(bs-0169R-FITC)-100ul
¥2980
万千商家帮你免费找货
0 人在求购买到急需产品
- 详细信息
- 技术资料
- 应用范围:
产品信息以Bioss网站为准
- 规格:
50ul/100ul/200ul
| 规格: | 50ul | 产品价格: | ¥1180.0 |
|---|---|---|---|
| 规格: | 100ul | 产品价格: | ¥1980.0 |
| 规格: | 200ul | 产品价格: | ¥2800.0 |
| 产品编号 | bs-0596R |
| 英文名称 | Dopamine beta Hydroxylase Rabbit pAb |
| 中文名称 | 多巴胺β羟化酶抗体 |
| 英文别名 | DBH; DBM; Dopamine beta hydroxylase; Dopamine-beta-Hydroxylase; Dopamine beta monooxygenase; DOPO_RAT; DOPO_HUMAN. |
| 产品应用 | WB=1:500-2000, IHC-P=1:100-500, IHC-F=1:100-500, IF=1:100-500, Flow-Cyt=1ug/Test Not yet tested in other applications. |
| 交叉反应 | Human, Rat (Mouse) |
| 抗体来源 | Rabbit |
| 免疫原 | KLH conjugated synthetic peptide derived from human DBH |
| 亚型 | IgG |
| 性状 | Liquid |
| 纯化方法 | affinity purified by Protein A |
| 克隆类型 | Polyclonal |
| 理论分子量 | 70 kDa |
| 浓度 | 1mg/ml |
| 储存液 | 0.01M TBS (pH7.4) with 1% BSA, 0.02% Proclin300 and 50% Glycerol. |
| 研究领域 | Cancer > Cancer Metabolism > Metabolic signaling pathway > Hormone biosynthesis Metabolism > Pathways and Processes > Endocrine metabolism > Hormone biosynthesis Neuroscience > Neurotransmitter > Biogenic Amines > Dopamine |
| 亚基 | Homotetramer composed of two non-covalently bound disulfide-linked dimers (By similarity). |
| 亚细胞定位 | Soluble dopamine beta-hydroxylase: Cytoplasmic vesicle, secretory vesicle lumen (By similarity). Cytoplasmic vesicle, secretory vesicle, chromaffin granule lumen (By similarity). Cytoplasmic vesicle, secretory vesicle membrane; Single-pass type II membrane protein (By similarity). Cytoplasmic vesicle, secretory vesicle, chromaffin granule membrane; Single-pass type II membrane protein (By similarity). |
| 组织特异性 | Chromaffin granules of the adrenal medulla and synaptic vesicles of the sympathetic nervous system. |
| 相似性 | Belongs to the copper type II ascorbate-dependent monooxygenase family. Contains 1 DOMON domain. |
| 功能 | Conversion of dopamine to noradrenaline. |
| 保存条件 | Shipped at 4℃. Store at -20℃ for one year. Avoid repeated freeze/thaw cycles. |
| 注意事项 | This product as supplied is intended for research use only, not for use in human, therapeutic or diagnostic applications. |
| 背景资料 | Dopamine-beta-Hydroxylase (DBH), Dopamine can be transformed into Noradrenalin. Conversion of dopamine to noradrenaline. [SUBUNIT] Homotetramer composed of two non-covalently bound disulfide-linked dimers. [SUBCELLULAR LOCATION] Soluble dopamine beta-hydroxylase: Cytoplasmic vesicle, secretory vesicle lumen. Cytoplasmic vesicle, secretory vesicle, chromaffin granule lumen. Cytoplasmic vesicle, secretory vesicle membrane; Single-pass type II membrane protein. Cytoplasmic vesicle, secretory vesicle, chromaffin granule membrane; Single-pass type II membrane protein (Potential). Belongs to the copper type II ascorbate-dependent monooxygenase family. |
| 应用 | 推荐稀释比例 |
| {WB} | {1:500-2000} |
| {IHC-P} | {1:100-500} |
| {IHC-F} | {1:100-500} |
| {IF} | {1:100-500} |
| {Flow-Cyt} | {1ug/Test} |


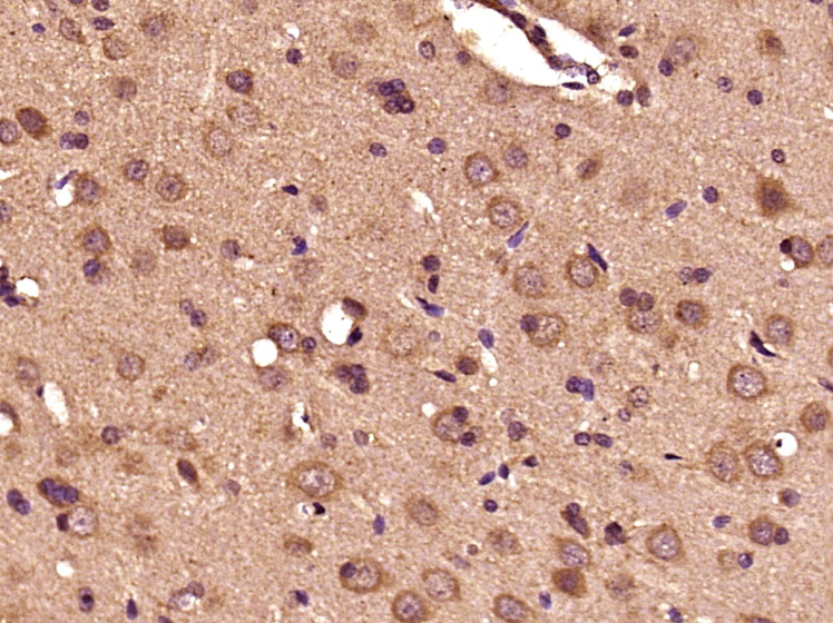
Paraformaldehyde-fixed, paraffin embedded (Rat brain); Antigen retrieval by boiling in sodium citrate buffer (pH6.0) for 15min; Block endogenous peroxidase by 3% hydrogen peroxide for 20 minutes; Blocking buffer (normal goat serum) at 37°C for 30min; Antibody incubation with (DOPO) Polyclonal Antibody, Unconjugated (bs-0596R) at 1:400 overnight at 4°C, followed by operating according to SP Kit(Rabbit) (sp-0023) instructionsand DAB staining.

Blank control(black line):SH-SY5Y.
Primary Antibody (green line): Rabbit Anti-Dopamine beta Hydroxylase antibody (bs-0596R)
Dilution:1ug/Test;
Secondary Antibody(white blue line): Goat anti-rabbit IgG-AF488
Dilution: 0.5ug/Test.
Isotype control(orange line): Normal Rabbit IgG
Protocol
The cells were fixed with 4% PFA (10min at room temperature)and then permeabilized with 90% ice-cold methanol for 20 min at -20℃, The cells were then incubated in 5%BSA to block non-specific protein-protein interactions for 30 min at room temperature .Cells stained with Primary Antibody for 30 min at room temperature. The secondary antibody used for 40 min at room temperature. Acquisition of 20,000 events was performed.
Primary Antibody (green line): Rabbit Anti-Dopamine beta Hydroxylase antibody (bs-0596R)
Dilution:1ug/Test;
Secondary Antibody(white blue line): Goat anti-rabbit IgG-AF488
Dilution: 0.5ug/Test.
Isotype control(orange line): Normal Rabbit IgG
Protocol
The cells were fixed with 4% PFA (10min at room temperature)and then permeabilized with 90% ice-cold methanol for 20 min at -20℃, The cells were then incubated in 5%BSA to block non-specific protein-protein interactions for 30 min at room temperature .Cells stained with Primary Antibody for 30 min at room temperature. The secondary antibody used for 40 min at room temperature. Acquisition of 20,000 events was performed.
风险提示:丁香通仅作为第三方平台,为商家信息发布提供平台空间。用户咨询产品时请注意保护个人信息及财产安全,合理判断,谨慎选购商品,商家和用户对交易行为负责。对于医疗器械类产品,请先查证核实企业经营资质和医疗器械产品注册证情况。
技术资料暂无技术资料 索取技术资料
Dopamine beta Hydroxylase Rabbit pAb(bs-0596R)-50ul/100ul/200ul
¥1180 - 2800





