相关产品推荐更多 >

Histone H3 (tri methyl K36) Rabbit pAb, PerCP-Cy5.5 conjugated(bs-3768R-PerCP-Cy5.5)-100ul
¥2980
TNFAIP5 Rabbit pAb, Biotin conjugated(bs-5783R-Bio)-100ul
¥2980
phospho-Tau (Ser739) Rabbit pAb(bs-10107R)-50ul/100ul/200ul
¥1180
CEBP-alpha Rabbit pAb(bs-1630R)-50ul/100ul/200ul
¥1180
PCDHB12 Rabbit pAb, HRP conjugated(bs-11153R-HRP)-100ul
¥2980
万千商家帮你免费找货
0 人在求购买到急需产品
- 详细信息
- 文献和实验
- 技术资料
- 应用范围:
产品信息以Bioss网站为准
- 规格:
50ul/100ul/200ul
| 规格: | 50ul | 产品价格: | ¥1180.0 |
|---|---|---|---|
| 规格: | 100ul | 产品价格: | ¥1980.0 |
| 规格: | 200ul | 产品价格: | ¥2800.0 |
| 产品编号 | bs-3333R |
| 英文名称 | phospho-PKC alpha (Thr638) Rabbit pAb |
| 中文名称 | 磷酸化蛋白激酶C α/β2抗体 |
| 英文别名 | PKC alpha(phospho T638); phospho-PKC beta II(Thr641); PKC(phospho-Thr641); phospho-PKC alpha/beta II(Thr638/641); phospho-PKC alpha/beta II(Thr638+641); PKC alpha; AAG6; Aging associated gene 6; PICK 1; PKC A; PKC alpha; PKCA; PRKACA; PRKC A; PRKCA; Protein Kinase C alpha; Protein kinase C alpha type; KPCB_HUMAN; PKC α. |
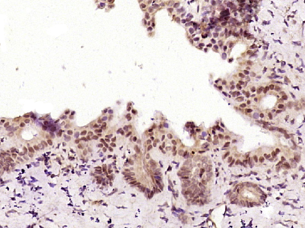
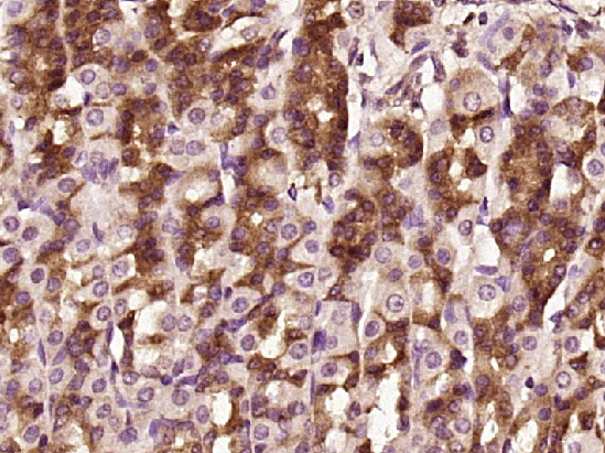
| 产品应用 | WB=1:500-2000, IHC-P=1:100-500, IHC-F=1:100-500, IF=1:100-500 Not yet tested in other applications. |
| 交叉反应 | Mouse, Rat (Human, Chicken, Dog, Cow, Horse) |
| 抗体来源 | Rabbit |
| 免疫原 | KLH conjugated synthesised phosphopeptide derived from human PKC alpha around the phosphorylation site of Thr638 |
| 亚型 | IgG |
| 性状 | Liquid |
| 纯化方法 | affinity purified by Protein A |
| 克隆类型 | Polyclonal |
| 理论分子量 | 77 kDa |
| 浓度 | 1mg/ml |
| 储存液 | 0.01M TBS (pH7.4) with 1% BSA, 0.02% Proclin300 and 50% Glycerol. |
| 研究领域 | Cancer > Signal transduction > Protein phosphorylation > Serine/threonine kinases Cardiovascular > Heart > Hypertrophy Signal Transduction > Protein Phosphorylation > Ser / Thr Kinases > PKC |
| 亚基 | Recruited in a circadian manner into a nuclear complex which also includes BMAL1 and GNB2L1/RACK1 (By similarity). Interacts with ADAP1/CENTA1, CSPG4 and PRKCABP. Binds to SDPR in the presence of phosphatidylserine. Interacts with PICK1 (via PDZ domain). Interacts with TRIM41. |
| 亚细胞定位 | Cytoplasm. Cell membrane; Peripheral membrane protein. Mitochondrion membrane; Peripheral membrane protein (Probable). Nucleus. |
| 翻译后修饰 | Phosphorylation on Thr-500 within the activation loop renders it competent to autophosphorylate. Subsequent autophosphorylation of Thr-642 maintains catalytic competence, and autophosphorylation on Ser-661 appears to release the kinase into the cytosol. Autophosphorylation on other sites i.e. in the N-terminal and hinge regions have no effect on enzyme activity. Phosphorylation at Tyr-662 by SYK induces binding with GRB2 and contributes to the activation of MAPK/ERK signaling cascade. |
| 相似性 | Belongs to the protein kinase superfamily. AGC Ser/Thr protein kinase family. PKC subfamily. Contains 1 AGC-kinase C-terminal domain. Contains 1 C2 domain. Contains 2 phorbol-ester/DAG-type zinc fingers. Contains 1 protein kinase domain. |
| 功能 | Calcium-activated, phospholipid- and diacylglycerol (DAG)-dependent serine/threonine-protein kinase involved in various cellular processes such as regulation of the B-cell receptor (BCR) signalosome, oxidative stress-induced apoptosis, androgen receptor-dependent transcription regulation, insulin signaling and endothelial cells proliferation. Plays a key role in B-cell activation by regulating BCR-induced NF-kappa-B activation. Mediates the activation of the canonical NF-kappa-B pathway (NFKB1) by direct phosphorylation of CARD11/CARMA1 at 'Ser-559', 'Ser-644' and 'Ser-652'. Phosphorylation induces CARD11/CARMA1 association with lipid rafts and recruitment of the BCL10-MALT1 complex as well as MAP3K7/TAK1, which then activates IKK complex, resulting in nuclear translocation and activation of NFKB1. Plays a direct role in the negative feedback regulation of the BCR signaling, by down-modulating BTK function via direct phosphorylation of BTK at 'Ser-180', which results in the alteration of BTK plasma membrane localization and in turn inhibition of BTK activity. Involved in apoptosis following oxidative damage: in case of oxidative conditions, specifically phosphorylates 'Ser-36' of isoform p66Shc of SHC1, leading to mitochondrial accumulation of p66Shc, where p66Shc acts as a reactive oxygen species producer. Acts as a coactivator of androgen receptor (ANDR)-dependent transcription, by being recruited to ANDR target genes and specifically mediating phosphorylation of 'Thr-6' of histone H3 (H3T6ph), a specific tag for epigenetic transcriptional activation that prevents demethylation of histone H3 'Lys-4' (H3K4me) by LSD1/KDM1A. In insulin signaling, may function downstream of IRS1 in muscle cells and mediate insulin-dependent DNA synthesis through the RAF1-MAPK/ERK signaling cascade. May participate in the regulation of glucose transport in adipocytes by negatively modulating the insulin-stimulated translocation of the glucose transporter SLC2A4/GLUT4. Under high glucose in pancreatic beta-cells, is probably involved in the inhibition of the insulin gene transcription, via regulation of MYC expression. In endothelial cells, activation of PRKCB induces increased phosphorylation of RB1, increased VEGFA-induced cell proliferation, and inhibits PI3K/AKT-dependent nitric oxide synthase (NOS3/eNOS) regulation by insulin, which causes endothelial dysfunction. Also involved in triglyceride homeostasis. |
| 保存条件 | Shipped at 4℃. Store at -20℃ for one year. Avoid repeated freeze/thaw cycles. |
| 注意事项 | This product as supplied is intended for research use only, not for use in human, therapeutic or diagnostic applications. |
| 背景资料 | Protein Kinase c alpha (PKC alpha) is an 77 kDa member of the conventional group (cPKCs: sensitive to calcium, diacylglycerol, phosphatidylserine and phorbol esters) of the PKC family of serine/ threonine kinases that are involved in a wide range of physiological processes including mitogenesis, cell survival and transcriptional regulation. PKC alpha is an ubiquitously expressed PKC isozyme that has been implicated in the regulation of a broad range of cellular functions including proliferation, differentiation, development, migration, cell cell adhesion, cell extracellular matrix adhesion, and solute transport. The activation loop threonine (threonine 497 in PKC alpha) of conventional PKCs is phosphorylated by phosphoinositide dependent kinase 1 (PDK1). This phosphorylation is necessary for the autophosphorylation of threonine 638 in the carboxy terminus of PKC alpha, a step that is critical for regulating the rate of PKC alpha dephosphorylation and inactivation. |
| 应用 | 推荐稀释比例 |
| {WB} | {1:500-2000} |
| {IHC-P} | {1:100-500} |
| {IHC-F} | {1:100-500} |
| {IF} | {1:100-500} |



NIH/3T3(Mouse) Cell Lysate at 30 ug
Primary: Anti-Phospho-PKC alpha/beta II (Thr638/641) (bs-3333R) at 1/1000 dilution
Secondary: IRDye800CW Goat Anti-Rabbit IgG at 1/20000 dilution
Predicted band size: 77 kD
Observed band size: 77 kD
风险提示:丁香通仅作为第三方平台,为商家信息发布提供平台空间。用户咨询产品时请注意保护个人信息及财产安全,合理判断,谨慎选购商品,商家和用户对交易行为负责。对于医疗器械类产品,请先查证核实企业经营资质和医疗器械产品注册证情况。
文献和实验[IF={{ 6.117 }}] {Minghui Zhang. et al. Selenomethionine promotes ANXA2 phosphorylation for proliferation and protein synthesis of myoblasts and skeletal muscle growth. J NUTR BIOCHEM. 2023 Feb;:109277} {WB} {Mouse}
[IF={{ 5.195 }}] {Jiawei Wang. et al. Validation of MAPK signalling pathway as a key role of paeoniflorin in the treatment of intrahepatic cholestasis of pregnancy based on network pharmacology and metabolomics. EUR J PHARMACOL. 2022 Nov;935:175331} {WB} {Rat}
[IF={{ 4.473 }}] {Xin Jin. et al. GPRC6A is a key mediator of palmitic acid regulation of lipid synthesis in bovine mammary epithelial cells. CELL BIOL INT. 2022 Aug;:} {WB} {Bovine}
[IF={{ 3.881 }}] {Rui Ding. et al. Endoplasmic reticulum stress and oxidative stress contribute to neuronal pyroptosis caused by cerebral venous sinus thrombosis in rats: Involvement of TXNIP/peroxynitrite-NLRP3 inflammasome activation. Neurochem Int. 2020 Dec;141:104856} {WB,IF} {Rat}
[IF={{ 3.69 }}] {Edens et al. PKC-mediated phosphorylation of nuclear lamins at a single serine residue regulates interphase nuclear size in Xenopus and mammalian cells. (2017) Mol.Biol.Cel. 28:1389-1399} {IF} {}
(Ser473)(193H12)Rabbit mAb,1:300,稀释,二抗是驴抗兔,1:2000,我是实验室的新手,刚呆俩月,受 此挫折,一头雾水,请过来人或者有经验的同学帮忙解答怎样解决,非常感谢! 碧峤 pAkt有两个位点,Ser473和Thr308,其中Ser473相对容易显色。如果显色失败,可能的原因:1 上样量过少,我们一般都是30μg;2 一抗孵育时间过短,我们一般24h~48h;3 一抗是否工作有待排除 米宝
v468. chapter 4 WNT 细胞通路 检测细胞GSK3活性与表达水平
4 ). 2. Other antibodies used were b-catenin (phospho-Thr41/Ser37/Ser33) (#9561; Cell Signaling Technology), b-catenin (#9562;Cell Signaling Technology), CRMP2 (pT514/509) (#PB-043; Kinasource, Dundee, Scotland) and CRMP2 (#AB-042;Kinasource). 3. Blocking buffer
antibody dilution buffer: TBS-T supplemented with2% (w/v) BSA. 6. Antibodies: Phospho-b-catenin Ser33/Ser37/Thr41, phospho-glycogen synthase Ser641, and glycogen synthase (CellSignaling Technologies, Beverly, MA); b-catenin and GSK-3b(BD PharMingen, San
技术资料暂无技术资料 索取技术资料






