相关产品推荐更多 >

p75 NGF Receptor Rabbit pAb, BF350 conjugated(bs-7122R-BF350)-100ul
¥2980
Nucleostemin Rabbit pAb, HRP conjugated(bs-6846R-HRP)-100ul
¥2980
Livin Rabbit pAb(bs-0738R)-50ul/100ul/200ul
¥1180
CD68 Rabbit pAb, HRP conjugated(bs-20403R-HRP)-100ul
¥2980
Estrogen receptor alpha Rabbit pAb, PerCP-Cy5.5 conjugated(bs-0254R-PerCP-Cy5.5)-100ul
¥2980
万千商家帮你免费找货
0 人在求购买到急需产品
- 详细信息
- 文献和实验
- 技术资料
- 应用范围:
产品信息以Bioss网站为准
- 规格:
50ul/100ul/200ul
| 规格: | 50ul | 产品价格: | ¥1180.0 |
|---|---|---|---|
| 规格: | 100ul | 产品价格: | ¥1980.0 |
| 规格: | 200ul | 产品价格: | ¥2800.0 |
| 产品编号 | bs-1933R |
| 英文名称 | WNT9A Rabbit pAb |
| 中文名称 | 信号通路Wnt9a抗体 |
| 英文别名 | wingless-type MMTV integration site 9A; MGC124412; Protein Wnt 9b precursor; Wingless type MMTV integration site 9B; Wingless type MMTV integration site family member 15; Wingless type MMTV integration site family member 9B; Wnt 14b; Wnt-15; Wnt14b; Wnt15; Wnt9b wingless type MMTV integration site family member 9B; WNT14; WNT9A_HUMAN. |
| 产品应用 | IHC-P=1:100-500, IHC-F=1:100-500, IF=1:100-500 Not yet tested in other applications. |
| 交叉反应 | Human (Mouse, Rat, Pig, Cow, Horse) |
| 抗体来源 | Rabbit |
| 免疫原 | KLH conjugated synthetic peptide derived from human WNT9A |
| 亚型 | IgG |
| 性状 | Liquid |
| 纯化方法 | affinity purified by Protein A |
| 克隆类型 | Polyclonal |
| 理论分子量 | 37 kDa |
| 浓度 | 1mg/ml |
| 储存液 | 0.01M TBS (pH7.4) with 1% BSA, 0.02% Proclin300 and 50% Glycerol. |
| 研究领域 | Cancer > Oncoproteins/suppressors > Tumor suppressors > PTC & Wnt pathway Stem Cells > Signaling Pathways > Wnt > Secreted |
| 亚细胞定位 | Secreted, extracellular space, extracellular matrix. |
| 组织特异性 | Expressed in adult brain, lung, skeletal muscle, heart, and 17-day embryo. |
| 相似性 | Belongs to the Wnt family. |
| 功能 | Ligand for members of the frizzled family of seven transmembrane receptors. Probable developmental protein. May be a signaling molecule which affects the development of discrete regions of tissues. Is likely to signal over only few cell diameters (By similarity). |
| 保存条件 | Shipped at 4℃. Store at -20℃ for one year. Avoid repeated freeze/thaw cycles. |
| 注意事项 | This product as supplied is intended for research use only, not for use in human, therapeutic or diagnostic applications. |
| 背景资料 | Wnt9b is a member of the WNT family and is a ligand for members of the frizzled family of seven transmembrane receptors. The WNT gene family consists of structurally related genes that encode secreted signaling proteins. Wnt9b is expressed in the inductive epithelia and is essential for the development of mesonephric and metanephric tubules and caudal extension of the Müllerian duct. Wnt9b plays a central role in the regulation of mesenchymal to epithelial transitions underlying organogenesis of the mammalian urogenital system. The gene is clustered with WNT3, another family member, in the chromosome 17q21 region. |
| 应用 | 推荐稀释比例 |
| {IHC-P} | {1:100-500} |
| {IHC-F} | {1:100-500} |
| {IF} | {1:100-500} |

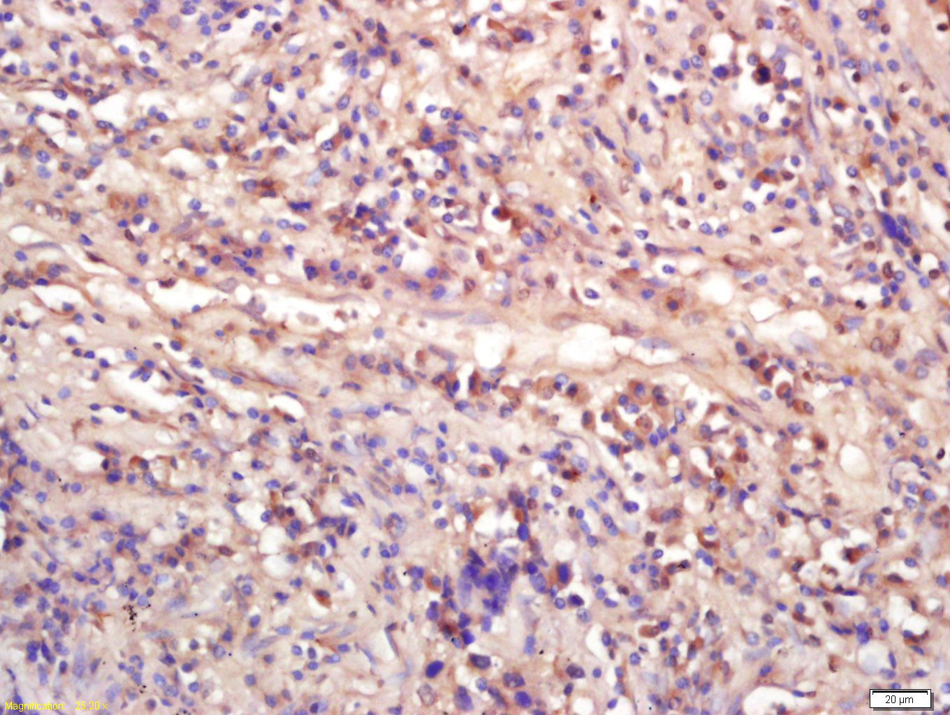
Antigen retrieval: citrate buffer ( 0.01M, pH 6.0 ), Boiling bathing for 15min; Block endogenous peroxidase by 3% Hydrogen peroxide for 30min; Blocking buffer (normal goat serum,C-0005) at 37℃ for 20 min;
Incubation: Anti-WNT9A Polyclonal Antibody, Unconjugated(bs-1933R) 1:200, overnight at 4°C, followed by conjugation to the secondary antibody(SP-0023) and DAB(C-0010) staining
风险提示:丁香通仅作为第三方平台,为商家信息发布提供平台空间。用户咨询产品时请注意保护个人信息及财产安全,合理判断,谨慎选购商品,商家和用户对交易行为负责。对于医疗器械类产品,请先查证核实企业经营资质和医疗器械产品注册证情况。
文献和实验[IF={{ 3.9 }}] {He Huabin. et al. Identification of ATRNL1 and WNT9A as novel key genes and drug candidates in hypertrophic cardiomyopathy: integrative bioinformatics and experimental validation. FRONT MOL BIOSCI. 2024 Sep;11:} {IHC} {Mouse}
= NAL), appears to form upon oxidative cyclization of the nonfluorescent 2:1 lysine-HNE Michael adduct-Schiff base cross-link (Scheme 1). Polyclonal antibody (PAb) to the NAL-HNE fluorophore was raised in rabbit and found to be highly specific
GE Healthcare Benzamidine Sepharose™ 6B is p-aminobenzamidine covalently attached to Sepharose 6B by the epoxy coupling method. p-Aminobenzamidine (PAB), is a synthetic inhibitor of trypsin-like serine protease. Trypsin and trypsin
Nucleic Acid Programmable Protein Arrays: Versatile Tools for Array‐Based Functional Protein Studies
.g., Sigma) 50 mg/ml bis‐sulfosuccinimdylsuberate (BS3 ;Pierce, cat. no. PI 21580) in dimethylsulfoxide (DMSO) 5 mg/ml
技术资料暂无技术资料 索取技术资料






