相关产品推荐更多 >

C19orf61 Rabbit pAb, HRP conjugated(bs-13792R-HRP)-100ul
¥2980
phospho-IKB alpha (Ser36) Rabbit pAb, PerCP-Cy5.5 conjugated(bs-18129R-PerCP-Cy5.5)-100ul
¥2980
FREM1 Rabbit pAb(bs-13213R)-50ul/100ul/200ul
¥1180
G-CSF Mouse mAb, Biotin conjugated(bsm-10808M-Bio)-100ul
¥2980
RORC Rabbit pAb, PE conjugated(bs-6217R-PE)-100ul
¥2980
万千商家帮你免费找货
0 人在求购买到急需产品
- 详细信息
- 文献和实验
- 技术资料
- 应用范围:
产品信息以Bioss网站为准
- 规格:
50ul/100ul/200ul
| 规格: | 50ul | 产品价格: | ¥1180.0 |
|---|---|---|---|
| 规格: | 100ul | 产品价格: | ¥1980.0 |
| 规格: | 200ul | 产品价格: | ¥2800.0 |
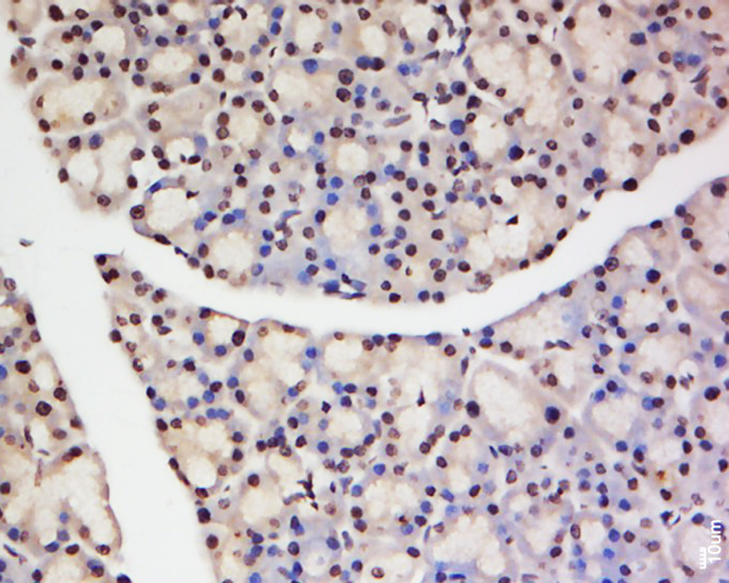
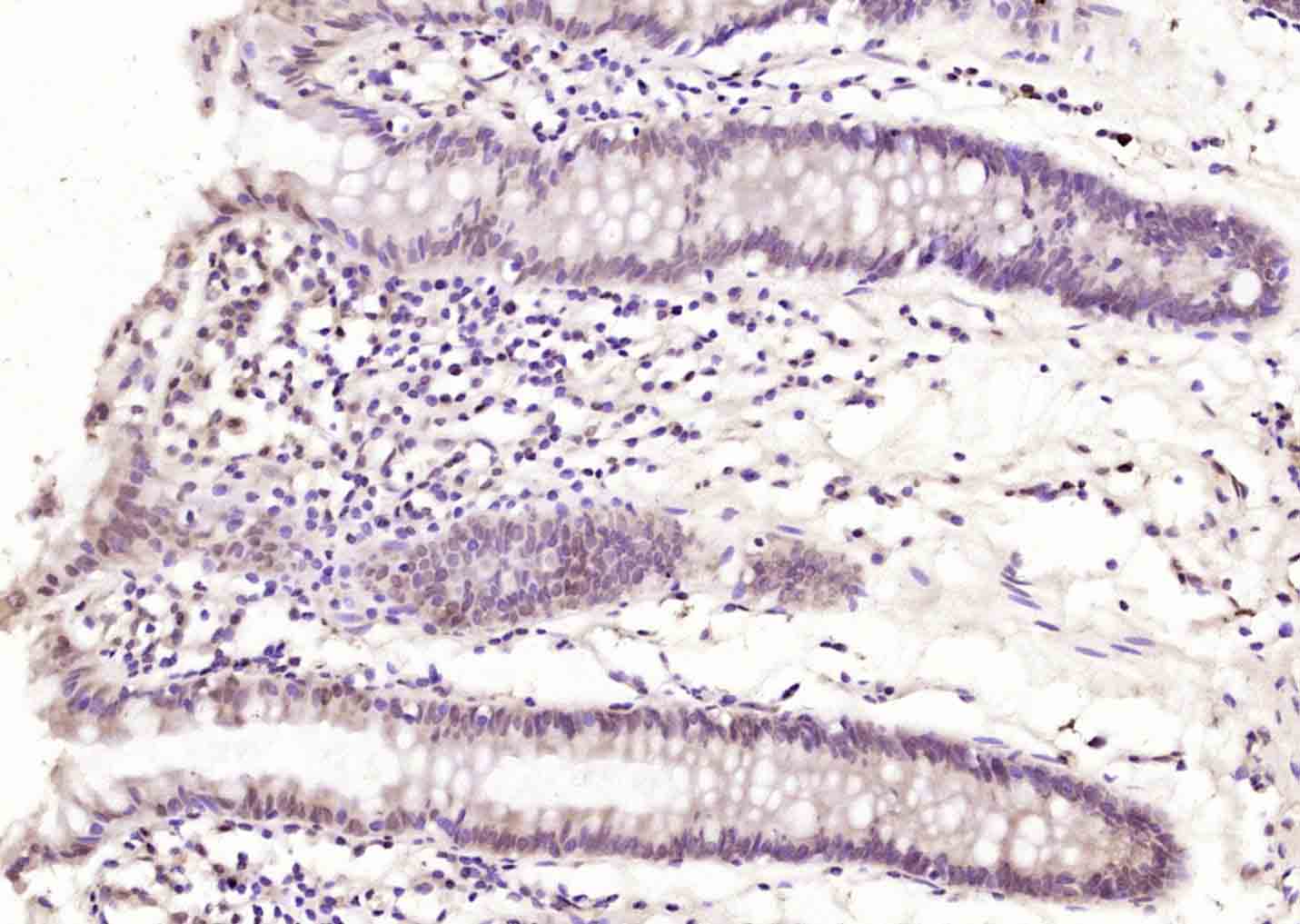
| 产品编号 | bs-2104R |
| 英文名称 | TNFAIP1 Rabbit pAb |
| 中文名称 | 肿瘤坏死因子α诱导蛋白1抗体 |
| 英文别名 | tumor necrosis factor, alpha-induced protein 1-like; Tumor necrosis factor-alpha-induced protein 1; Tumor necrosis factor alpha induced protein 1(endothelial); BACD2_HUMAN; BTB/POZ domain-containing adapter for CUL3-mediated RhoA degradation protein 2; BTB/POZ domain-containing protein TNFAIP1; endothelial; hBACURD2; Protein B12; tnfaip1; Tumor necrosis factor alpha induced protein 1; TNF-IP 1; TNF-IP-1; TNF-IP1. |
| 产品应用 | IHC-P=1:100-500, IHC-F=1:100-500, IF=1:100-500 Not yet tested in other applications. |
| 交叉反应 | Human, Mouse, Rat |
| 抗体来源 | Rabbit |
| 免疫原 | KLH conjugated synthetic peptide derived from human TNFAIP1 |
| 亚型 | IgG |
| 性状 | Liquid |
| 纯化方法 | affinity purified by Protein A |
| 克隆类型 | Polyclonal |
| 理论分子量 | 35 kDa |
| 浓度 | 1mg/ml |
| 储存液 | 0.01M TBS (pH7.4) with 1% BSA, 0.02% Proclin300 and 50% Glycerol. |
| 研究领域 | Tags & Cell Markers > Cell Type Markers > Epi / Endo-thelial |
| 亚细胞定位 | Cytoplasm. Nucleus. Endosome. Colocalizes with RHOB in endosomes. |
| 翻译后修饰 | Phosphorylation at Ser-280 by CK2 facilitates the nucleus localization and increases interaction with PCNA. |
| 相似性 | Belongs to the BACURD family. Contains 1 BTB (POZ) domain. |
| 功能 | Substrate-specific adapter of a BCR (BTB-CUL3-RBX1) E3 ubiquitin-protein ligase complex involved in regulation of cytoskeleton structure. The BCR(BACURD2) E3 ubiquitin ligase complex mediates the ubiquitination of RHOA, leading to its degradation by the proteasome, thereby regulating the actin cytoskeleton and cell migration. Its interaction with RHOB may regulate apoptosis. May enhance the PCNA-dependent DNA polymerase delta activity. |
| 保存条件 | Shipped at 4℃. Store at -20℃ for one year. Avoid repeated freeze/thaw cycles. |
| 注意事项 | This product as supplied is intended for research use only, not for use in human, therapeutic or diagnostic applications. |
| 背景资料 | This gene was identified as a gene whose expression can be induced by the tumor necrosis factor alpha (TNF) in umbilical vein endothelial cells. Studies of a similar gene in mouse suggest that the expression of this gene is developmentally regulated in a tissue-specific manner. [provided by RefSeq, Jul 2008]. |
| 应用 | 推荐稀释比例 |
| {IHC-P} | {1:100-500} |
| {IHC-F} | {1:100-500} |
| {IF} | {1:100-500} |

Antigen retrieval: citrate buffer ( 0.01M, pH 6.0 ), Boiling bathing for 15min; Block endogenous peroxidase by 3% Hydrogen peroxide for 30min; Blocking buffer (normal goat serum,C-0005) at 37℃ for 20 min;
Incubation: Anti-TNFAIP1 Polyclonal Antibody, Unconjugated(bs-2104R) 1:200, overnight at 4°C, followed by conjugation to the secondary antibody(SP-0023) and DAB(C-0010) staining


风险提示:丁香通仅作为第三方平台,为商家信息发布提供平台空间。用户咨询产品时请注意保护个人信息及财产安全,合理判断,谨慎选购商品,商家和用户对交易行为负责。对于医疗器械类产品,请先查证核实企业经营资质和医疗器械产品注册证情况。
文献和实验= NAL), appears to form upon oxidative cyclization of the nonfluorescent 2:1 lysine-HNE Michael adduct-Schiff base cross-link (Scheme 1). Polyclonal antibody (PAb) to the NAL-HNE fluorophore was raised in rabbit and found to be highly specific
GE Healthcare Benzamidine Sepharose™ 6B is p-aminobenzamidine covalently attached to Sepharose 6B by the epoxy coupling method. p-Aminobenzamidine (PAB), is a synthetic inhibitor of trypsin-like serine protease. Trypsin and trypsin
Nucleic Acid Programmable Protein Arrays: Versatile Tools for Array‐Based Functional Protein Studies
.g., Sigma) 50 mg/ml bis‐sulfosuccinimdylsuberate (BS3 ;Pierce, cat. no. PI 21580) in dimethylsulfoxide (DMSO) 5 mg/ml
技术资料暂无技术资料 索取技术资料






