相关产品推荐更多 >
万千商家帮你免费找货
0 人在求购买到急需产品
- 详细信息
- 文献和实验
- 技术资料
- 应用范围:
产品信息以Bioss网站为准
- 规格:
50ul/100ul/200ul
| 规格: | 50ul | 产品价格: | ¥1180.0 |
|---|---|---|---|
| 规格: | 100ul | 产品价格: | ¥1980.0 |
| 规格: | 200ul | 产品价格: | ¥2800.0 |
| 产品编号 | bs-10696R |
| 英文名称 | BMP2 Rabbit pAb |
| 中文名称 | 骨形态发生蛋白2抗体 |
| 英文别名 | Bone morphogenetic protein 2; BMP 2; BMP 2A; BMP2A; BMP-2; BMP2_HUMAN. |
| 产品应用 | WB=1:500-2000, IHC-P=1:100-500, IHC-F=1:100-500, IF=1:100-500 Not yet tested in other applications. |
| 交叉反应 | Human, Mouse, Rat (Chicken, Dog, Pig, Cow, Horse, GuineaPig) |
| 抗体来源 | Rabbit |
| 免疫原 | KLH conjugated synthetic peptide derived from human BMP2 |
| 亚型 | IgG |
| 性状 | Liquid |
| 纯化方法 | affinity purified by Protein A |
| 克隆类型 | Polyclonal |
| 理论分子量 | 13/44 kDa |
| 浓度 | 1mg/ml |
| 储存液 | 0.01M TBS (pH7.4) with 1% BSA, 0.02% Proclin300 and 50% Glycerol. |
| 研究领域 | Cancer > Growth factors > TGF Cardiovascular > Angiogenesis > Growth Factors > TGF Signal Transduction > Cytoskeleton / ECM > Extracellular Matrix > Structures > Bone Signal Transduction > Growth Factors/Hormones > TGF Stem Cells > Neural Stem Cells > Extracellular Stem Cells > Signaling Pathways > TGF beta > Secreted |
| 亚基 | Homodimer; disulfide-linked. Interacts with SOSTDC1. Interacts with GREM2, RGMA, RGMB and RGMC. Interacts with ASPN. |
| 亚细胞定位 | Secreted. |
| 组织特异性 | Particularly abundant in lung, spleen and colon and in low but significant levels in heart, brain, placenta, liver, skeletal muscle, kidney, pancreas, prostate, ovary and small intestine. |
| 相似性 | Belongs to the TGF-beta family. |
| 功能 | Induces cartilage and bone formation. |
| 保存条件 | Shipped at 4℃. Store at -20℃ for one year. Avoid repeated freeze/thaw cycles. |
| 注意事项 | This product as supplied is intended for research use only, not for use in human, therapeutic or diagnostic applications. |
| 背景资料 | BMP2 belongs to the transforming growth factor-beta (TGFB) superfamily of secreted growth factors. It is a disulfide-linked homodimer and induces bone and cartilage formation. In addition to its osteogenic activity, BMP2 plays an important role in cardiac morphogenesis and is expressed in a variety of tissues including lung, spleen, brain, liver, prostate ovary and small intestine. The functional form of BMP2 is a 26 kDa protein composed of two identical 114 amino acid polypeptide chains linked by a single disulfide bond. BMPs control fundamental events in early embryonic development, organogenesis and adult tissue homeostasis. |
| 应用 | 推荐稀释比例 |
| {WB} | {1:500-2000} |
| {IHC-P} | {1:100-500} |
| {IHC-F} | {1:100-500} |
| {IF} | {1:100-500} |

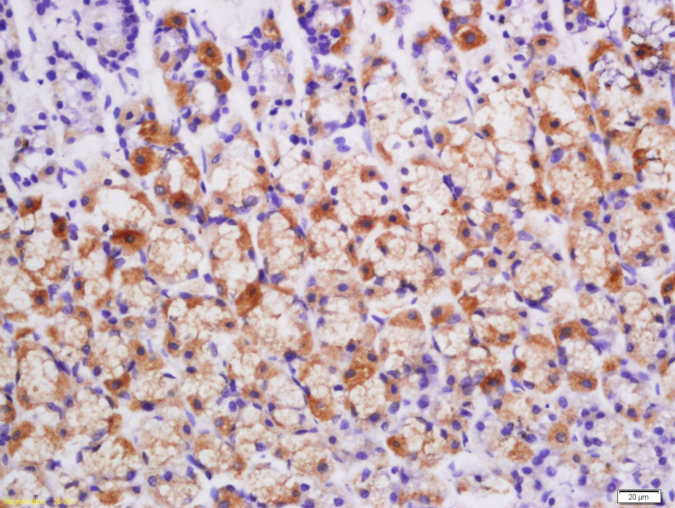
Antigen retrieval: citrate buffer ( 0.01M, pH 6.0 ), Boiling bathing for 15min; Block endogenous peroxidase by 3% Hydrogen peroxide for 30min; Blocking buffer (normal goat serum,C-0005) at 37∩ for 20 min;
Incubation: Anti-BMP2 Polyclonal Antibody, Unconjugated(bs-10696R) 1:200, overnight at 4∑C, followed by conjugation to the secondary antibody(SP-0023) and DAB(C-0010) staining

A431(Human) Cell Lysate at 30 ug
Hela(Human) Cell Lysate at 30 ug
Primary: Anti-BMP2 (bs-10696R) at 1/300 dilution
Secondary: IRDye800CW Goat Anti-Rabbit IgG at 1/20000 dilution
Predicted band size: 13/44 kD
Observed band size: 64 kD

Stomach (Mouse) Lysate at 40 ug
Primary: Anti-BMP2 (bs-10696R) at 1/300 dilution
Secondary: IRDye800CW Goat Anti-Rabbit IgG at 1/20000 dilution
Predicted band size: 13/44 kD
Observed band size: 59 kD
风险提示:丁香通仅作为第三方平台,为商家信息发布提供平台空间。用户咨询产品时请注意保护个人信息及财产安全,合理判断,谨慎选购商品,商家和用户对交易行为负责。对于医疗器械类产品,请先查证核实企业经营资质和医疗器械产品注册证情况。
文献和实验[IF={{ 10.7 }}] {Yingqi Chen. et al.Biofunctional supramolecular injectable hydrogel with spongy-like metal-organic coordination for effective repair of critical-sized calvarial defects.asian j pharm sci.2025 Feb;20(1):100988.} {IHC} {Rat}
[IF={{ 10.2 }}] {Li Fu-Xing-Zi. et al. Cold exposure protects against medial arterial calcification development via autophagy. J NANOBIOTECHNOL. 2023 Dec;21(1):1-22} {WB} {Mouse}
[IF={{ 10.2 }}] {Zheng Ming-Hui. et al. Vascular wall microenvironment: exosomes secreted by adventitial fibroblasts induced vascular calcification. J NANOBIOTECHNOL. 2023 Dec;21(1):1-21} {WB,IHC} {Mouse}
= NAL), appears to form upon oxidative cyclization of the nonfluorescent 2:1 lysine-HNE Michael adduct-Schiff base cross-link (Scheme 1). Polyclonal antibody (PAb) to the NAL-HNE fluorophore was raised in rabbit and found to be highly specific
GE Healthcare Benzamidine Sepharose™ 6B is p-aminobenzamidine covalently attached to Sepharose 6B by the epoxy coupling method. p-Aminobenzamidine (PAB), is a synthetic inhibitor of trypsin-like serine protease. Trypsin and trypsin
Nucleic Acid Programmable Protein Arrays: Versatile Tools for Array‐Based Functional Protein Studies
.g., Sigma) 50 mg/ml bis‐sulfosuccinimdylsuberate (BS3 ;Pierce, cat. no. PI 21580) in dimethylsulfoxide (DMSO) 5 mg/ml
技术资料暂无技术资料 索取技术资料









