相关产品推荐更多 >

GLUT1 Rabbit pAb, FITC conjugated(bs-0472R-FITC)-100ul
¥2980
MAGEB3 Rabbit pAb(bs-6823R)-50ul/100ul/200ul
¥1180
phospho-PERK (Thr980) Rabbit pAb, APC-Cy7 conjugated(bs-3330R-APC-Cy7)-100ul
¥2980
TNFSF13B Rabbit pAb, BF750 conjugated(bs-2431R-BF750)-100ul
¥2980
BCMP11 Rabbit pAb, BF594 conjugated(bs-6508R-BF594)-100ul
¥2980
万千商家帮你免费找货
0 人在求购买到急需产品
- 详细信息
- 文献和实验
- 技术资料
- 应用范围:
产品信息以Bioss网站为准
- 规格:
50ul/100ul/200ul
| 规格: | 50ul | 产品价格: | ¥1180.0 |
|---|---|---|---|
| 规格: | 100ul | 产品价格: | ¥1980.0 |
| 规格: | 200ul | 产品价格: | ¥2800.0 |
| 产品编号 | bs-9471R |
| 英文名称 | MESP1 Rabbit pAb |
| 中文名称 | 心血管发育中胚层相关蛋白1抗体 |
| 英文别名 | bHLHc5; Class C basic helix-loop-helix protein 5; Mesoderm posterior 1; Mesoderm posterior 1 homolog; Mesoderm posterior protein 1; MESP 1; Mesp1; MESP1_HUMAN. |
| 产品应用 | WB=1:500-2000, IHC-P=1:100-500, IHC-F=1:100-500, IF=1:100-500 Not yet tested in other applications. |
| 交叉反应 | Mouse, Rat (Human, Chicken, Dog, Pig, Cow) |
| 抗体来源 | Rabbit |
| 免疫原 | KLH conjugated synthetic peptide derived from human MESP1 |
| 亚型 | IgG |
| 性状 | Liquid |
| 纯化方法 | affinity purified by Protein A |
| 克隆类型 | Polyclonal |
| 理论分子量 | 30 kDa |
| 浓度 | 1mg/ml |
| 储存液 | 0.01M TBS (pH7.4) with 1% BSA, 0.02% Proclin300 and 50% Glycerol. |
| 研究领域 | Cardiovascular > Heart > Cardiogenesis > Transcription factors/regulators Epigenetics and Nuclear Signaling > Transcription > Domain Families > HLH / Leucine Zipper > HLH Epigenetics and Nuclear Signaling > Transcription > Transcription Factors |
| 亚细胞定位 | Nucleus. |
| 相似性 | Contains 1 basic helix-loop-helix (bHLH) domain. |
| 功能 | Transcription factor. Plays a role in the epithelialization of somitic mesoderm and in the development of cardiac mesoderm. Defines the rostrocaudal patterning of the somites by participating in distinct Notch pathways. |
| 保存条件 | Shipped at 4℃. Store at -20℃ for one year. Avoid repeated freeze/thaw cycles. |
| 注意事项 | This product as supplied is intended for research use only, not for use in human, therapeutic or diagnostic applications. |
| 背景资料 | MESP1, also known as bHLHc5, is a 268 amino acid protein that contains one basic helix-loop-helix (bHLH) domain, a motif that mediates protein dimerization and can bind to the E-box sequence of DNA. Localized to the nucleus, MESP1 functions as a transcription factor that, via its bHLH domain, participates in the epithelialization and the development of the cardiac and somitic mesoderm. MESP1 is highly expressed during gastrulation and somitogenesis and is necessary for the formation of single heart tubes during cardiac maturation. Early detection of MESP1 may be an indicator of the formation of cardiac precursor cells in developing embryos. Additionally, MESP1 plays a role in the rostrocaudal patterning of the somites, an event that influences select Notch signaling pathways. |
| 应用 | 推荐稀释比例 |
| {WB} | {1:500-2000} |
| {IHC-P} | {1:100-500} |
| {IHC-F} | {1:100-500} |
| {IF} | {1:100-500} |

Testis (Mouse) Lysate at 40 ug
Primary: Anti-MESP1 (bs-9471R) at 1/500 dilution
Secondary: IRDye800CW Goat Anti-Rabbit IgG at 1/20000 dilution
Predicted band size: 30 kD
Observed band size: 30 kD


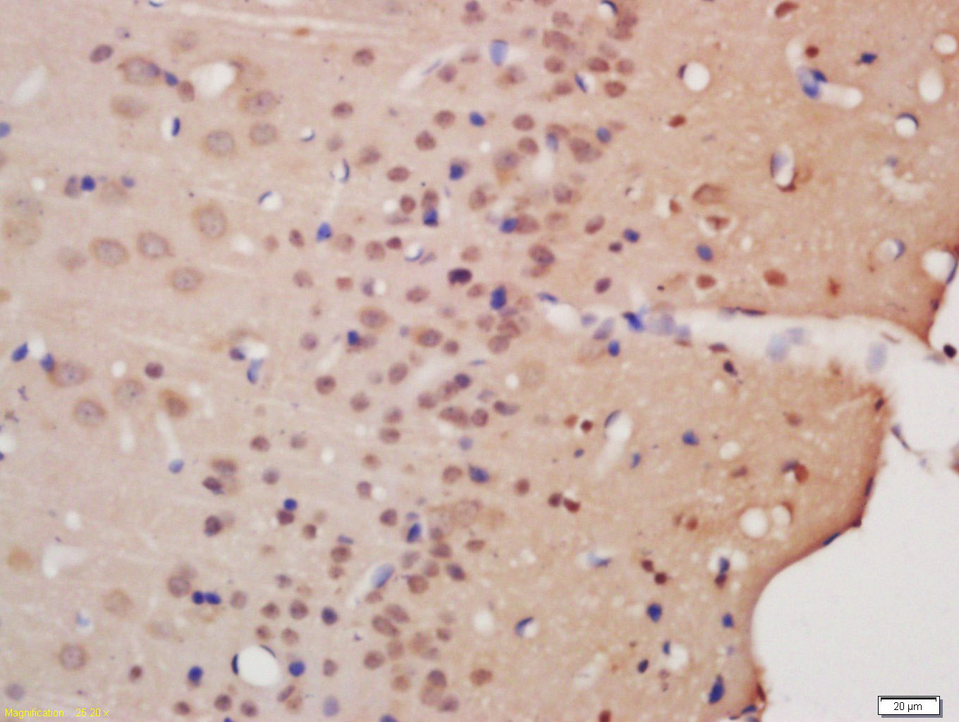
Antigen retrieval: citrate buffer ( 0.01M, pH 6.0 ), Boiling bathing for 15min; Block endogenous peroxidase by 3% Hydrogen peroxide for 30min; Blocking buffer (normal goat serum,C-0005) at 37℃ for 20 min;
Incubation: Anti-MESP1 Polyclonal Antibody, Unconjugated(bs-9471R) 1:200, overnight at 4°C, followed by conjugation to the secondary antibody(SP-0023) and DAB(C-0010) staining

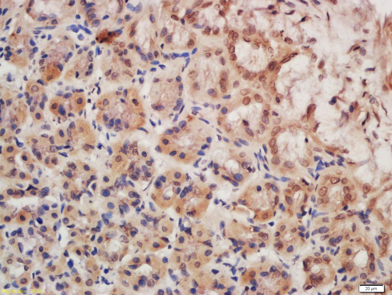
Antigen retrieval: citrate buffer ( 0.01M, pH 6.0 ), Boiling bathing for 15min; Block endogenous peroxidase by 3% Hydrogen peroxide for 30min; Blocking buffer (normal goat serum,C-0005) at 37℃ for 20 min;
Incubation: Anti-MESP1 Polyclonal Antibody, Unconjugated(bs-9471R) 1:200, overnight at 4°C, followed by conjugation to the secondary antibody(SP-0023) and DAB(C-0010) staining

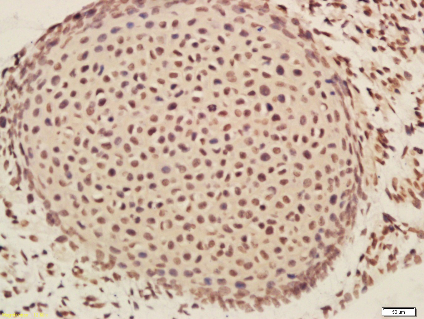
Antigen retrieval: citrate buffer ( 0.01M, pH 6.0 ), Boiling bathing for 15min; Block endogenous peroxidase by 3% Hydrogen peroxide for 30min; Blocking buffer (normal goat serum,C-0005) at 37℃ for 20 min;
Incubation: Anti-MESP1 Polyclonal Antibody, Unconjugated(bs-9471R) 1:200, overnight at 4°C, followed by conjugation to the secondary antibody(SP-0023) and DAB(C-0010) staining
风险提示:丁香通仅作为第三方平台,为商家信息发布提供平台空间。用户咨询产品时请注意保护个人信息及财产安全,合理判断,谨慎选购商品,商家和用户对交易行为负责。对于医疗器械类产品,请先查证核实企业经营资质和医疗器械产品注册证情况。
文献和实验= NAL), appears to form upon oxidative cyclization of the nonfluorescent 2:1 lysine-HNE Michael adduct-Schiff base cross-link (Scheme 1). Polyclonal antibody (PAb) to the NAL-HNE fluorophore was raised in rabbit and found to be highly specific
GE Healthcare Benzamidine Sepharose™ 6B is p-aminobenzamidine covalently attached to Sepharose 6B by the epoxy coupling method. p-Aminobenzamidine (PAB), is a synthetic inhibitor of trypsin-like serine protease. Trypsin and trypsin
Nucleic Acid Programmable Protein Arrays: Versatile Tools for Array‐Based Functional Protein Studies
.g., Sigma) 50 mg/ml bis‐sulfosuccinimdylsuberate (BS3 ;Pierce, cat. no. PI 21580) in dimethylsulfoxide (DMSO) 5 mg/ml
技术资料暂无技术资料 索取技术资料






