相关产品推荐更多 >
万千商家帮你免费找货
0 人在求购买到急需产品
- 详细信息
- 文献和实验
- 技术资料
- 应用范围:
产品信息以Bioss网站为准
- 规格:
50ul/100ul/200ul
| 规格: | 50ul | 产品价格: | ¥1180.0 |
|---|---|---|---|
| 规格: | 100ul | 产品价格: | ¥1980.0 |
| 规格: | 200ul | 产品价格: | ¥2800.0 |
| 产品编号 | bs-3033R |
| 英文名称 | phospho-ATF2 (Thr69/71) Rabbit pAb |
| 中文名称 | 磷酸化活化复制因子2抗体 |
| 英文别名 | ATF2(phospho T69+T71); ATF2(phospho Thr69+Thr71); p-ATF2(T69+T71); p-ATF2(Thr69+Thr71); CREB 2; HB 16; Activating Transcription Factor 2; ATF 2; Atf-2; ATF2 protein; cAMP Response Element Binding Protein 2; cAMP response element binding protein CRE BP1; cAMP-dependent transcription factor ATF-2; cAMP-responsive element-binding protein 2; CRE BP1; CRE-BP; CREB 2; CREB2; CREBP1; Cyclic AMP dependent transcription factor ATF 2; Cyclic AMP-responsive; ATF2_HUMAN. |
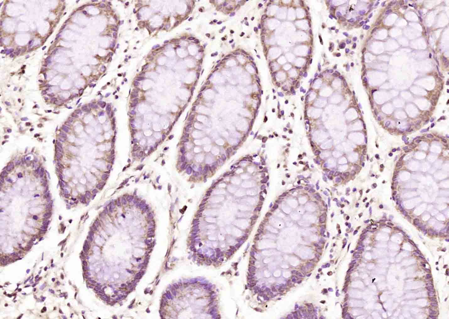
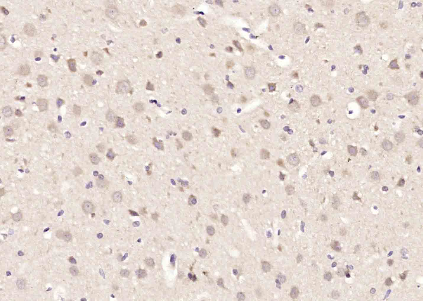
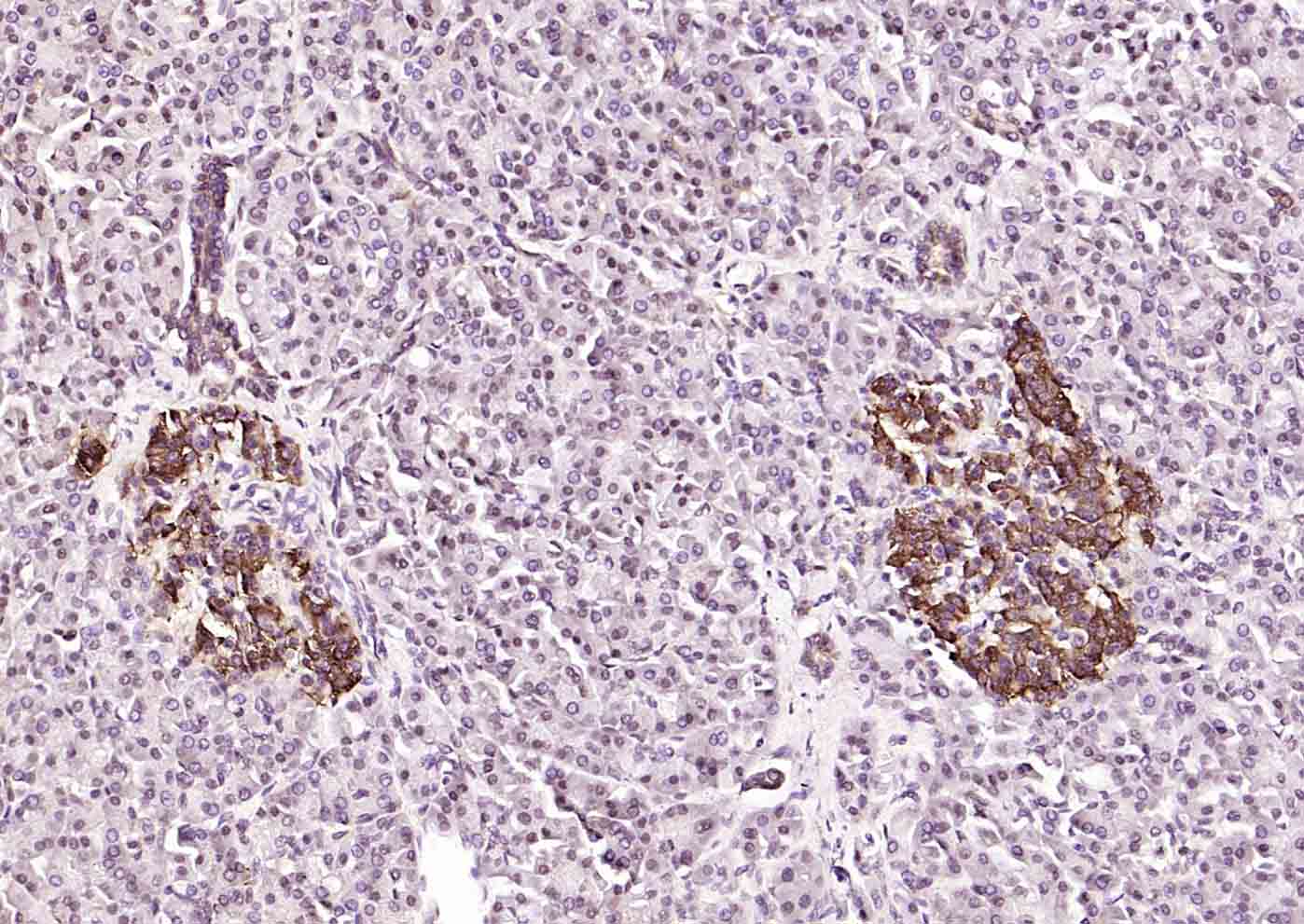
| 产品应用 | IHC-P=1:100-500, IHC-F=1:100-500, IF=1:50-200, Flow-Cyt=2ug/Test Not yet tested in other applications. |
| 交叉反应 | Human, Mouse, Rat (Cow, Horse, Rabbit) |
| 抗体来源 | Rabbit |
| 免疫原 | KLH conjugated Synthesised phosphopeptide derived from human ATF2 around the phosphorylation site of Thr69/71 |
| 亚型 | IgG |
| 性状 | Liquid |
| 纯化方法 | affinity purified by Protein A |
| 克隆类型 | Polyclonal |
| 理论分子量 | 45 kDa |
| 浓度 | 1mg/ml |
| 储存液 | 0.01M TBS (pH7.4) with 1% BSA, 0.02% Proclin300 and 50% Glycerol. |
| 研究领域 | Epigenetics and Nuclear Signaling > ChIP assays > ChIP antibodies Epigenetics and Nuclear Signaling > Transcription > Domain Families > HLH / Leucine Zipper > Leucine Zipper Immunology > Innate Immunity > TLR Signaling |
| 亚基 | Binds DNA as a dimer and can form a homodimer in the absence of DNA. Can form a heterodimer with JUN. Interacts with SMAD3 and SMAD4. Binds through its N-terminal region to UTF1 which acts as a coactivator of ATF2 transcriptional activity. |
| 亚细胞定位 | Nucleus. |
| 组织特异性 | Abundant expression seen in the brain. |
| 翻译后修饰 | Phosphorylation of Thr-69 by MAPK14 and MAPK11, and at Thr-71 by MAPK1/ERK2, MAPK3/ERK1, MAPK11, MAPK12 and MAPK14 in response to external stimulus like insulin causes increased transcriptional activity. Phosphorylated by PLK3 following hyperosmotic stress. Also phosphorylated and activated by JNK and CaMK4. |
| 相似性 | Belongs to the bZIP family. ATF subfamily. Contains 1 bZIP domain. Contains 1 C2H2-type zinc finger. |
| 功能 | Transcriptional activator, probably constitutive, which binds to the cAMP-responsive element (CRE) (consensus: 5'-GTGACGT[AC][AG]-3'), a sequence present in many viral and cellular promoters. Interaction with JUN redirects JUN to bind to CRES preferentially over the 12-O-tetradecanoylphorbol-13-acetate response elements (TRES) as part of an ATF2/JUN complex. |
| 保存条件 | Shipped at 4℃. Store at -20℃ for one year. Avoid repeated freeze/thaw cycles. |
| 注意事项 | This product as supplied is intended for research use only, not for use in human, therapeutic or diagnostic applications. |
| 背景资料 | ATF2 is a member of the ATF/CREB family of basic region leucine zipper DNA binding proteins that regulates transcription by binding to a consensus cAMP response element (CRE) in the promoter of various viral and cellular genes. Many of these genes are important in cell growth and differentiation, and in stress and immune responses. ATF2 is a nuclear protein that binds DNA as a dimer and can form dimers with members of the ATF/CREB and Jun/Fos families. It is a stronger activator as a heterodimer with cJun than as a homodimer. Several isoforms of ATF2 arise by differential splicing. The stable native full length ATF2 is transcriptionally inactive as a result of an inhibitory direct intramolecular interaction of its carboxy terminal DNA binding domain with the amino terminal transactivation domain. Following dimerization ATF2 becomes a short lived protein that undergoes ubiquitination and proteolysis, seemingly in a protein phosphatase-dependent mechanism. Stimulation of the transcriptional activity of ATF2 occurs following cellular stress induced by several genotoxic agents, inflammatory cytokines, and UV irradiation. This activation requires phosphorylation of two threonine residues in ATF2 by both JNK/SAP kinase and p38 MAP kinase. ATF2 is abundantly expressed in brain. |
| 应用 | 推荐稀释比例 |
| {IHC-P} | {1:100-500} |
| {IHC-F} | {1:100-500} |
| {IF} | {1:50-200} |
| {Flow-Cyt} | {2ug/Test} |



Primary Antibody (green line): Rabbit Anti-THEMIS antibody (bs-3033R)
Dilution: 2μg /10^6 cells;
Isotype Control Antibody (orange line): Rabbit IgG .
Secondary Antibody : Goat anti-rabbit IgG-AF488
Dilution: 1μg /test.
Protocol
The cells were fixed with 4% PFA (10min at room temperature)and then permeabilized with 90% ice-cold methanol for 20 min at-20℃. The cells were then incubated in 5%BSA to block non-specific protein-protein interactions for 30 min at room temperature .Cells stained with Primary Antibody for 30 min at room temperature. The secondary antibody used for 40 min at room temperature. Acquisition of 20,000 events was performed.

风险提示:丁香通仅作为第三方平台,为商家信息发布提供平台空间。用户咨询产品时请注意保护个人信息及财产安全,合理判断,谨慎选购商品,商家和用户对交易行为负责。对于医疗器械类产品,请先查证核实企业经营资质和医疗器械产品注册证情况。
文献和实验[IF={{ 3.8 }}] {Sun Jia. et al. ANKRD49 promotes the metastasis of NSCLC via activating JNK-ATF2/c-Jun-MMP-2/9 axis. BMC CANCER. 2023 Dec;23(1):1-18} {WB} {Human}
secondary antibody review -- data from 99 publications
IgG Alexa Fluor 488 1:250 Molecular Probes 10 goat Cy3 immunocytochemistry detect NMDA receptors in HEK293 cells Jackson ImmunoResearch Laboratories 10 FITC immunocytochemistry 1:100 detect phospho-CREB in human colonic
技术资料暂无技术资料 索取技术资料









