相关产品推荐更多 >

Beta tubulin Rabbit pAb, BF350 conjugated(bs-4511R-BF350)-100ul
¥2980
LRRC59 Rabbit pAb, Biotin conjugated(bs-8361R-Bio)-100ul
¥2980
N acetylglucosamine kinase Rabbit pAb(bs-7916R)-50ul/100ul/200ul
¥1180
NSP3 Rabbit pAb(bs-13657R)-50ul/100ul/200ul
¥1180
GSTP1 Rabbit pAb, Biotin conjugated(bs-23151R-Bio)-100ul
¥2980
万千商家帮你免费找货
0 人在求购买到急需产品
- 详细信息
- 文献和实验
- 技术资料
- 应用范围:
产品信息以Bioss网站为准
- 规格:
50ul/100ul/200ul
| 规格: | 50ul | 产品价格: | ¥1180.0 |
|---|---|---|---|
| 规格: | 100ul | 产品价格: | ¥1980.0 |
| 规格: | 200ul | 产品价格: | ¥2800.0 |
| 产品编号 | bs-0298R |
| 英文名称 | IGBP1 Rabbit pAb |
| 中文名称 | 免疫球蛋白结合蛋白-1抗体 |
| 英文别名 | alpha 4; B cell signal transduction molecule alpha 4; B-cell signal transduction molecule alpha 4; bA351K23.1; CD79a binding protein 1; CD79a-binding protein 1; IBP 1; IBP1; IGBP 1; Igbp1; IGBP1_HUMAN; Immunoglobulin(CD79A) binding protein 1; Immunoglobulin binding protein 1; Immunoglobulin-binding protein 1; Protein alpha 4; Protein alpha-4; Protein phosphatase 2A regulatory subunit alpha 4; Renal carcinoma antigen NY REN 16; Renal carcinoma antigen NY-REN-16. |
| 产品应用 | IHC-P=1:100-500, IHC-F=1:100-500, IF=1:100-500, Flow-Cyt=1μg/Test Not yet tested in other applications. |
| 交叉反应 | Human, Rat (Mouse, Pig, Cow, GuineaPig) |
| 抗体来源 | Rabbit |
| 免疫原 | KLH conjugated synthetic peptide derived from human Immunoglobulin binding protein 1 |
| 亚型 | IgG |
| 性状 | Liquid |
| 纯化方法 | affinity purified by Protein A |
| 克隆类型 | Polyclonal |
| 理论分子量 | 44 kDa |
| 浓度 | 1mg/ml |
| 储存液 | 0.01M TBS (pH7.4) with 1% BSA, 0.02% Proclin300 and 50% Glycerol. |
| 研究领域 | Signal Transduction > Protein Phosphorylation > Ser / Thr Phosphatases |
| 亚基 | Associates with PP2A-alpha and PP2A-beta catalytic subunits, and with PP4 and PP6. Interacts with MID1 and MID2. Interacts with Ubiquitin. |
| 亚细胞定位 | Cytoplasm (Potential). |
| 组织特异性 | Ubiquitously expressed with highest levels in heart, skeletal muscle and pancreas. |
| 翻译后修饰 | Phosphorylated.
Monoubiquitination by MID1 triggers calpain-mediated cleavage and switches IGBP1 activity from protective to destructive. |
| 相似性 | Belongs to the IGBP1/TAP42 family.
Contains 1 UIM (ubiquitin-interacting motif) repeat. |
| 功能 | Associated to surface IgM-receptor; may be involved in signal transduction. Involved in regulation of the catalytic activity of PP2A, PP4 and PP6 phosphatases catalytic subunits by protecting them from degradative polyubiquitination until they associate with regulatory subunits. |
| 保存条件 | Shipped at 4℃. Store at -20℃ for one year. Avoid repeated freeze/thaw cycles. |
| 注意事项 | This product as supplied is intended for research use only, not for use in human, therapeutic or diagnostic applications. |
| 背景资料 | The proliferation and differentiation of B cells is dependent upon a B-cell antigen receptor (BCR) complex. Binding of antigens to specific B-cell receptors results in a tyrosine phosphorylation reaction through the BCR complex and leads to multiple signal transduction pathways. [provided by RefSeq, Jul 2008]. |
| 应用 | 推荐稀释比例 |
| {IHC-P} | {1:100-500} |
| {IHC-F} | {1:100-500} |
| {IF} | {1:100-500} |
| {Flow-Cyt} | {1μg/Test} |

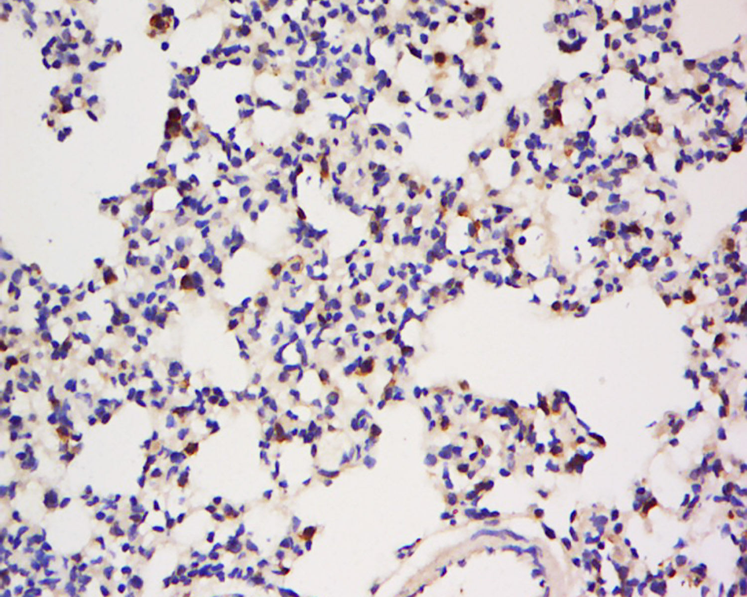
Antigen retrieval: citrate buffer ( 0.01M, pH 6.0 ), Boiling bathing for 15min; Block endogenous peroxidase by 3% Hydrogen peroxide for 30min; Blocking buffer (normal goat serum,C-0005) at 37℃ for 20 min;
Incubation: Anti-IGBP1 Polyclonal Antibody, Unconjugated(bs-0298R) 1:200, overnight at 4°C, followed by conjugation to the secondary antibody(SP-0023) and DAB(C-0010) staining

Primary Antibody (green line): Rabbit Anti-IGBP1 antibody (bs-0298R)
Dilution:1ug/Test;
Secondary Antibody(white blue line): Goat anti-rabbit IgG-AF488
Dilution: 0.5ug/Test.
Isotype control(orange line): Normal Rabbit IgG
Protocol
The cells were fixed with 4% PFA (10min at room temperature)and then permeabilized with 90% ice-cold methanol for 20 min at -20℃, The cells were then incubated in 5%BSA to block non-specific protein-protein interactions for 30 min at room temperature .Cells stained with Primary Antibody for 30 min at room temperature. The secondary antibody used for 40 min at room temperature. Acquisition of 20,000 events was performed.
风险提示:丁香通仅作为第三方平台,为商家信息发布提供平台空间。用户咨询产品时请注意保护个人信息及财产安全,合理判断,谨慎选购商品,商家和用户对交易行为负责。对于医疗器械类产品,请先查证核实企业经营资质和医疗器械产品注册证情况。
文献和实验[IF={{ 5.9 }}] {Duliurui Huang. et al. Analysis of the heterogeneity and complexity of murine extraorbital lacrimal gland via single-cell RNA sequencing. OCUL SURF. 2024 Jun;:} {IF} {Mouse}
[IF={{ 4.21 }}] {Luo, Guangying, et al. "Paternal bisphenol a diet changes prefrontal cortex proteome and provokes behavioral dysfunction in male offspring." Chemosphere (2017).} {WB} {="Mouse"}
[IF={{ 2.515 }}] {Li T et al. Digital gene expression analyses of mammary glands from meat ewes naturally infected with clinical mastitis. R. Soc. open sci. 2019,6: 181604.} {IHC} {Sheep}
= NAL), appears to form upon oxidative cyclization of the nonfluorescent 2:1 lysine-HNE Michael adduct-Schiff base cross-link (Scheme 1). Polyclonal antibody (PAb) to the NAL-HNE fluorophore was raised in rabbit and found to be highly specific
GE Healthcare Benzamidine Sepharose™ 6B is p-aminobenzamidine covalently attached to Sepharose 6B by the epoxy coupling method. p-Aminobenzamidine (PAB), is a synthetic inhibitor of trypsin-like serine protease. Trypsin and trypsin
Nucleic Acid Programmable Protein Arrays: Versatile Tools for Array‐Based Functional Protein Studies
.g., Sigma) 50 mg/ml bis‐sulfosuccinimdylsuberate (BS3 ;Pierce, cat. no. PI 21580) in dimethylsulfoxide (DMSO) 5 mg/ml
技术资料暂无技术资料 索取技术资料






