相关产品推荐更多 >
万千商家帮你免费找货
0 人在求购买到急需产品
- 详细信息
- 文献和实验
- 技术资料
- 应用范围:
产品信息以Bioss网站为准
- 规格:
50ul/100ul/200ul
| 规格: | 50ul | 产品价格: | ¥1180.0 |
|---|---|---|---|
| 规格: | 100ul | 产品价格: | ¥1980.0 |
| 规格: | 200ul | 产品价格: | ¥2800.0 |
| 产品编号 | bs-3390R |
| 英文名称 | phospho-SATB1 (Ser47) Rabbit pAb |
| 中文名称 | 磷酸化核基质结合区结合蛋白1抗体 |
| 英文别名 | DNA binding protein SATB1; DNA-binding protein SATB1; SATB homeobox 1; SATB1; SATB1_HUMAN; Special AT rich sequence binding protein 1(binds to nuclear matrix/scaffold associating DNA); Special AT rich sequence binding protein 1; Special AT-rich sequence-binding protein 1. |
| 产品应用 | IHC-P=1:100-500, IHC-F=1:100-500, IF=1:100-500, Flow-Cyt=1ug/test Not yet tested in other applications. |
| 交叉反应 | Human, Mouse (Chicken, Dog, Pig, Cow, Rabbit) |
| 抗体来源 | Rabbit |
| 免疫原 | KLH conjugated Synthesised phosphopeptide derived from human SATB1 around the phosphorylation site of Ser47 |
| 亚型 | IgG |
| 性状 | Liquid |
| 纯化方法 | affinity purified by Protein A |
| 克隆类型 | Polyclonal |
| 理论分子量 | 86 kDa |
| 浓度 | 1mg/ml |
| 储存液 | 0.01M TBS (pH7.4) with 1% BSA, 0.02% Proclin300 and 50% Glycerol. |
| 研究领域 | Epigenetics and Nuclear Signaling > Chromatin Binding Proteins > DNA / RNA binding Epigenetics and Nuclear Signaling > Transcription > Co-factors Epigenetics and Nuclear Signaling > Transcription > Other factors |
| 亚基 | Interacts (via DNA-binding domains) with CUX1; leading to inhibit the attachment to DNA (By similarity). Homodimer. Part of the nuclear protein complex gamma-globin promoter and enhancer binding factor (gamma-PE) composed at least by SATB1 and HOXB2. Interaction with CtBP1 when not acetylated stabalizes attachment to DNA and promotes transcription repression. Interacts with PCAF. Interacts with sumoylated PML, HDAC1 and HIV-1 Tat via the PDZ-like dimerization domain. Interacts also with DYNLT3 and POLR2J2. Binds to EP300. |
| 亚细胞定位 | Nucleus matrix. Nucleus, PML body. Note=Organized into a cage-like network anchoring loops of heterochromatin and tethering specialized DNA sequences. When sumoylated, localized in promyelocytic leukemia nuclear bodies (PML NBs). |
| 组织特异性 | Expressed predominantly in thymus. |
| 翻译后修饰 | Sumoylated. Sumoylation promotes cleavage by caspases. Phosphorylated by PKC. Acetylated by PCAF. Phosphorylated form interacts with HDAC1, but unphosphorylated form interacts with PCAF. DNA binding properties are activated by phosphorylation and inactivated by acetylation. In opposition, gene expression is down-regulated by phosphorylation but up-regulated by acetylation. Cleaved at Asp-254 by caspase-3 and caspase-6 during T-cell apoptosis in thymus and during B-cell stimulation. The cleaved forms can not dimerize and lose transcription regulation function because of impaired DNA and chromatin association. |
| 相似性 | Belongs to the CUT homeobox family. Contains 2 CUT DNA-binding domains. Contains 1 homeobox DNA-binding domain. |
| 功能 | Crucial silencing factor contributing to the initiation of X inactivation mediated by Xist RNA that occurs during embryogenesis and in lymphoma (By similarity). Binds to DNA at special AT-rich sequences, the consensus SATB1-binding sequence (CSBS), at nuclear matrix- or scaffold-associated regions. Thought to recognize the sugar-phosphate structure of double-stranded DNA. Transcriptional repressor controlling nuclear and viral gene expression in a phosphorylated and acetylated status-dependent manner, by binding to matrix attachment regions (MARs) of DNA and inducing a local chromatin-loop remodeling. Acts as a docking site for several chromatin remodeling enzymes (e.g. PML at the MHC-I locus) and also by recruiting corepressors (HDACs) or coactivators (HATs) directly to promoters and enhancers. Modulates genes that are essential in the maturation of the immune T-cell CD8SP from thymocytes. Required for the switching of fetal globin species, and beta- and gamma-globin genes regulation during erythroid differentiation. Plays a role in chromatin organization and nuclear architecture during apoptosis. Interacts with the unique region (UR) of cytomegalovirus (CMV). Alu-like motifs and SATB1-binding sites provide a unique chromatin context which seems preferentially targeted by the HIV-1 integration machinery. Moreover, HIV-1 Tat may overcome SATB1-mediated repression of IL2 and IL2RA (interleukin) in T-cells by binding to the same domain than HDAC1. Delineates specific epigenetic modifications at target gene loci, directly up-regulating metastasis-associated genes while down-regulating tumor-suppressor genes. Reprograms chromatin organization and the transcription profiles of breast tumors to promote growth and metastasis. |
| 保存条件 | Shipped at 4℃. Store at -20℃ for one year. Avoid repeated freeze/thaw cycles. |
| 注意事项 | This product as supplied is intended for research use only, not for use in human, therapeutic or diagnostic applications. |
| 背景资料 | This gene encodes a matrix protein which binds nuclear matrix and scaffold-associating DNAs through a unique nuclear architecture. The protein recruits chromatin-remodeling factors in order to regulate chromatin structure and gene expression. Multiple transcript variants encoding different isoforms have been found for this gene. [provided by RefSeq, Sep 2010] |
| 应用 | 推荐稀释比例 |
| {IHC-P} | {1:100-500} |
| {IHC-F} | {1:100-500} |
| {IF} | {1:100-500} |
| {Flow-Cyt} | {1ug/test} |

Antigen retrieval: citrate buffer ( 0.01M, pH 6.0 ), Boiling bathing for 15min; Block endogenous peroxidase by 3% Hydrogen peroxide for 30min; Blocking buffer (normal goat serum,C-0005) at 37℃ for 20 min;
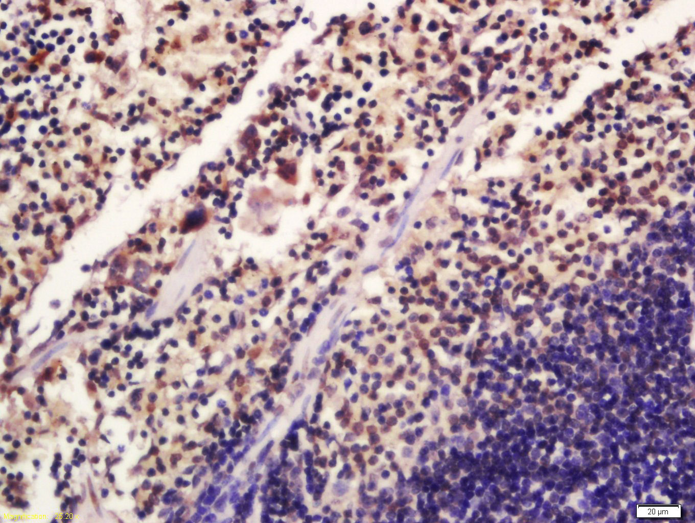
Incubation: Anti-Phospho-SATB1 (Ser47) Polyclonal Antibody, Unconjugated(bs-3390R) 1:200, overnight at 4°C, followed by conjugation to the secondary antibody(SP-0023) and DAB(C-0010) staining

Primary Antibody (green line): Rabbit Anti-Phospho-SATB1 (Ser47) antibody (bs-3390R)
Dilution: 1μg /10^6 cells;
Isotype Control Antibody (orange line): Rabbit IgG .
Secondary Antibody : Goat anti-rabbit IgG-AF647
Dilution: 1μg /test.
Protocol
The cells were fixed with 4% PFA (10min at room temperature)and then permeabilized with 90% ice-cold methanol for 20 min at-20℃. The cells were then incubated in 5%BSA to block non-specific protein-protein interactions for 30 min at at room temperature .Cells stained with Primary Antibody for 30 min at room temperature. The secondary antibody used for 40 min at room temperature. Acquisition of 20,000 events was performed.
风险提示:丁香通仅作为第三方平台,为商家信息发布提供平台空间。用户咨询产品时请注意保护个人信息及财产安全,合理判断,谨慎选购商品,商家和用户对交易行为负责。对于医疗器械类产品,请先查证核实企业经营资质和医疗器械产品注册证情况。
文献和实验[IF={{ 8 }}] {Huo FC et al. PAK5 promotes the migration and invasion of cervical cancer cells by phosphorylating SATB1. Cell Death Differ. 2019 Jun;26(6):994-1006. } {WB,ICC} {Human}
[IF={{ 6.04 }}] {Han, S., et al. "Phosphorylated SATB1 is associated with the progression and prognosis of glioma." Cell Death & Disease 4.10 (2013): e901.} {IHC} {="Human"}
:使用 Anti-phospho-Akt (Ser473) Rabbit mAb 对石蜡包埋的人乳腺癌组织进行免疫组织化学分析。(图 A)使用免疫组化试剂盒M&R HRP/DAB Detection IHC Kit,抗体 1:100 稀释;(图 B) 采用普通免疫组化试剂盒,抗体 1:25 稀释。 图 6 免疫组化实验检测 Erk1/2 表达 注:使用 Anti-Erk1/2 Mouse mAb与p44/42 MAPK (Erk1/2)Rabbit mAb 对正常小鼠心脏组织进行免疫
at 10, 25, and 50 μM). At 24 h post-treatment, celllysates were obtained; SDS-PAGE and Western blotting were performed as described in Section 3, Methods. AR-A014418dose-dependent decreases of phospho-β-catenin (Ser33/37) and phospho-glycogen synthase
(Ser473)(193H12)Rabbit mAb,1:300,稀释,二抗是驴抗兔,1:2000,我是实验室的新手,刚呆俩月,受 此挫折,一头雾水,请过来人或者有经验的同学帮忙解答怎样解决,非常感谢! 碧峤 pAkt有两个位点,Ser473和Thr308,其中Ser473相对容易显色。如果显色失败,可能的原因:1 上样量过少,我们一般都是30μg;2 一抗孵育时间过短,我们一般24h~48h;3 一抗是否工作有待排除 米宝
技术资料暂无技术资料 索取技术资料







