相关产品推荐更多 >

Mast Cell Tryptase Rabbit pAb(bs-2725R)-50ul/100ul/200ul
¥1180
RNA polymerase II CTD repeat YSPTSPS (phospho S2) Rabbit pAb, BF488 conjugated(bs-6581R-BF488)-100ul
¥2980
WRB Rabbit pAb, APC-Cy5.5 conjugated(bs-11774R-APC-Cy5.5)-100ul
¥2980
FOXP3 Rabbit pAb, PerCP conjugated(bs-10211R-PerCP)-100ul
¥2980
SLC22A4 Rabbit pAb(bs-21213R)-50ul/100ul/200ul
¥1180
万千商家帮你免费找货
0 人在求购买到急需产品
- 详细信息
- 文献和实验
- 技术资料
- 应用范围:
产品信息以Bioss网站为准
- 规格:
50ul/100ul/200ul
| 规格: | 50ul | 产品价格: | ¥1180.0 |
|---|---|---|---|
| 规格: | 100ul | 产品价格: | ¥1980.0 |
| 规格: | 200ul | 产品价格: | ¥2800.0 |
| 产品编号 | bs-1196R |
| 英文名称 | PAR4 Rabbit pAb |
| 中文名称 | 蛋白酶活化受体4抗体 |
| 英文别名 | F2RL3; F2R Like Thrombin/Trypsin Receptor 3; Coagulation Factor II(Thrombin) Receptor-Like 3; Thrombin Receptor-Like 3; PAR-4; Coagulation Factor II Receptor-Like 3; Proteinase-Activated Receptor-4; Proteinase-Activated Receptor 4; Protease-Activated Receptor-4; PAR4_HUMAN; |
| 产品应用 | WB=1:500-2000 Not yet tested in other applications. |
| 交叉反应 | Human, Mouse, Rat |
| 抗体来源 | Rabbit |
| 免疫原 | KLH conjugated synthetic peptide derived from human Proteinase-activated receptor 4 |
| 亚型 | IgG |
| 性状 | Liquid |
| 纯化方法 | affinity purified by Protein A |
| 克隆类型 | Polyclonal |
| 理论分子量 | 41 kDa |
| 浓度 | 1mg/ml |
| 储存液 | 0.01M TBS (pH7.4) with 1% BSA, 0.02% Proclin300 and 50% Glycerol. |
| 研究领域 | Signal Transduction > Signaling Pathway > G Protein Signaling > GPCR |
| 亚细胞定位 | Cell membrane; Multi-pass membrane protein. |
| 组织特异性 | Widely expressed, with highest levels in lung, pancreas, thyroid, testis and small intestine. Not expressed in brain, kidney, spinal cord and peripheral blood leukocytes. Also detected in platelets. |
| 翻译后修饰 | A proteolytic cleavage generates a new N-terminus that functions as a tethered ligand. |
| 相似性 | Belongs to the G-protein coupled receptor 1 family. |
| 功能 | Receptor for activated thrombin or trypsin coupled to G proteins that stimulate phosphoinositide hydrolysis. May play a role in platelets activation. |
| 保存条件 | Shipped at 4℃. Store at -20℃ for one year. Avoid repeated freeze/thaw cycles. |
| 注意事项 | This product as supplied is intended for research use only, not for use in human, therapeutic or diagnostic applications. |
| 背景资料 | Coagulation factor II (thrombin) receptor-like 3 (F2RL3) is a member of the large family of 7-transmembrane-region receptors that couple to guanosine-nucleotide-binding proteins. F2RL3 is also a member of the protease-activated receptor family. F2RL3 is activated by proteolytic cleavage of its extracellular amino terminus. The new amino terminus functions as a tethered ligand and activates the receptor. F2RL3 is activated by thrombin and trypsin. [provided by RefSeq, Jul 2008] |
| 应用 | 推荐稀释比例 |
| {WB} | {1:500-2000} |

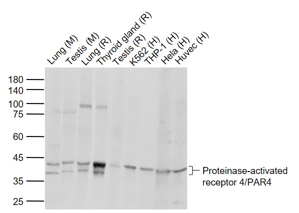
Lane 1: Mouse Lung tissue lysates
Lane 2: Mouse Testis tissue lysates
Lane 3: Rat Lung tissue lysates
Lane 4: Rat Thyroid gland tissue lysates
Lane 5: Rat Testis tissue lysates
Lane 6: Human K562 cell lysates
Lane 7: Human THP-1 cell lysates
Lane 8: Human Hela cell lysates
Lane 9: Human Huvec cell lysates
Primary: Anti-Proteinase-activated receptor 4/PAR4 (bs-1196R) at 1/1000 dilution
Secondary: IRDye800CW Goat Anti-Rabbit IgG at 1/20000 dilution
Predicted band size: 41 kD
Observed band size: 41/38 kD
风险提示:丁香通仅作为第三方平台,为商家信息发布提供平台空间。用户咨询产品时请注意保护个人信息及财产安全,合理判断,谨慎选购商品,商家和用户对交易行为负责。对于医疗器械类产品,请先查证核实企业经营资质和医疗器械产品注册证情况。
文献和实验[IF={{ 3.61 }}] {Oláh, Zita, et al. "Proteomic Analysis of Cerebrospinal Fluid in Alzheimers Disease: Wanted Dead or Alive." Journal of Alzheimers Disease (2014).} {WB} {="Human"}
= NAL), appears to form upon oxidative cyclization of the nonfluorescent 2:1 lysine-HNE Michael adduct-Schiff base cross-link (Scheme 1). Polyclonal antibody (PAb) to the NAL-HNE fluorophore was raised in rabbit and found to be highly specific
GE Healthcare Benzamidine Sepharose™ 6B is p-aminobenzamidine covalently attached to Sepharose 6B by the epoxy coupling method. p-Aminobenzamidine (PAB), is a synthetic inhibitor of trypsin-like serine protease. Trypsin and trypsin
Nucleic Acid Programmable Protein Arrays: Versatile Tools for Array‐Based Functional Protein Studies
.g., Sigma) 50 mg/ml bis‐sulfosuccinimdylsuberate (BS3 ;Pierce, cat. no. PI 21580) in dimethylsulfoxide (DMSO) 5 mg/ml
技术资料暂无技术资料 索取技术资料






