相关产品推荐更多 >

CD101 Rabbit pAb, PE conjugated(bs-10727R-PE)-100ul
¥2980
IGF1R Rabbit pAb, PerCP-Cy7 conjugated(bs-0227R-PerCP-Cy7)-100ul
¥2980
MCT1 Rabbit pAb, PerCP-Cy7 conjugated(bs-10249R-PerCP-Cy7)-100ul
¥2980
phospho-IKB alpha (Ser32) Rabbit pAb, BF405 conjugated(bs-18128R-BF405)-100ul
¥2980
IFIH1 Rabbit pAb(bs-18740R)-50ul/100ul/200ul
¥1180
万千商家帮你免费找货
0 人在求购买到急需产品
- 详细信息
- 文献和实验
- 技术资料
- 应用范围:
产品信息以Bioss网站为准
- 规格:
50ul/100ul/200ul
| 规格: | 50ul | 产品价格: | ¥1180.0 |
|---|---|---|---|
| 规格: | 100ul | 产品价格: | ¥1980.0 |
| 规格: | 200ul | 产品价格: | ¥2800.0 |
| 产品编号 | bs-6061R |
| 英文名称 | PIGR Rabbit pAb |
| 中文名称 | 多聚免疫球蛋白受体抗体 |
| 英文别名 | Hepatocellular carcinoma associated protein TB6; Phosphatidylinositol glycan, class R; PIgR; Poly Ig receptor; Polymeric immunoglobulin receptor; PIGR_HUMAN. |
| 产品应用 | WB=1:500-2000, IHC-P=1:100-500, IHC-F=1:100-500, IF=1:100-500 Not yet tested in other applications. |
| 交叉反应 | Human (Mouse, Rat, Dog, Cow) |
| 抗体来源 | Rabbit |
| 免疫原 | KLH conjugated synthetic peptide derived from human PIGR |
| 亚型 | IgG |
| 性状 | Liquid |
| 纯化方法 | affinity purified by Protein A |
| 克隆类型 | Polyclonal |
| 理论分子量 | 81 kDa |
| 浓度 | 1mg/ml |
| 储存液 | 0.01M TBS (pH7.4) with 1% BSA, 0.02% Proclin300 and 50% Glycerol. |
| 研究领域 | Immunology > Immunoglobulins > Receptors |
| 亚细胞定位 | Cell membrane; Single-pass type I membrane protein. Secretory component: Secreted. |
| 翻译后修饰 | N-glycosylation is not necessary for Ig binding. |
| 相似性 | Contains 5 Ig-like V-type (immunoglobulin-like) |
| 功能 | This receptor binds polymeric IgA and IgM at the basolateral surface of epithelial cells. The complex is then transported across the cell to be secreted at the apical surface. During this process a cleavage occurs that separates the extracellular (known as the secretory component) from the transmembrane segment. |
| 保存条件 | Shipped at 4℃. Store at -20℃ for one year. Avoid repeated freeze/thaw cycles. |
| 注意事项 | This product as supplied is intended for research use only, not for use in human, therapeutic or diagnostic applications. |
| 背景资料 | This gene is a member of the immunoglobulin superfamily. The encoded poly-Ig receptor binds polymeric immunoglobulin molecules at the basolateral surface of epithelial cells; the complex is then transported across the cell to be secreted at the apical surface. A significant association was found between immunoglobulin A nephropathy and several SNPs in this gene.[provided by RefSeq, Sep 2009] |
| 应用 | 推荐稀释比例 |
| {WB} | {1:500-2000} |
| {IHC-P} | {1:100-500} |
| {IHC-F} | {1:100-500} |
| {IF} | {1:100-500} |

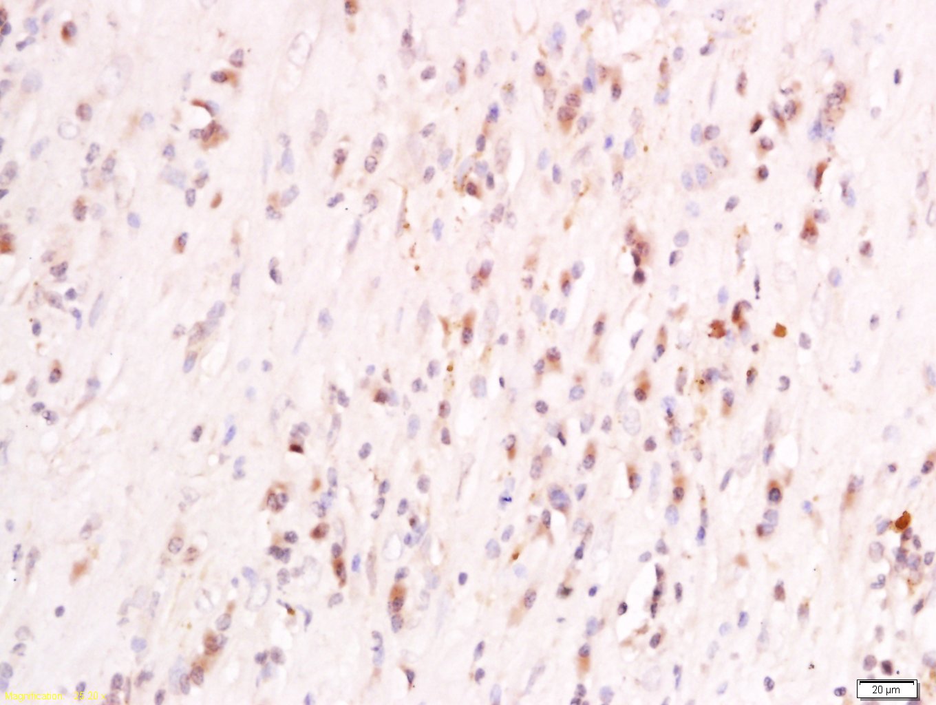
Paraformaldehyde-fixed, paraffin embedded (Human hepatocellular carcinoma); Antigen retrieval by boiling in sodium citrate buffer (pH6.0) for 15min; Block endogenous peroxidase by 3% hydrogen peroxide for 20 minutes; Blocking buffer (normal goat serum) at 37°C for 30min; Antibody incubation with (PIGR) Polyclonal Antibody, Unconjugated (bs-6061R) at 1:200 overnight at 4°C, followed by a conjugated secondary (sp-0023) for 20 minu

Sample:
293T(Human) Cell Lysate at 30 ug
Primary: Anti-PIGR (bs-6061R) at 1/500 dilution
Secondary: IRDye800CW Goat Anti-Rabbit IgG at 1/20000 dilution
Predicted band size: 81 kD
Observed band size: 131 kD
293T(Human) Cell Lysate at 30 ug
Primary: Anti-PIGR (bs-6061R) at 1/500 dilution
Secondary: IRDye800CW Goat Anti-Rabbit IgG at 1/20000 dilution
Predicted band size: 81 kD
Observed band size: 131 kD

Sample:
HepG2(Human) Cell Lysate at 30 ug
Primary: Anti-PIGR (bs-6061R) at 1/500 dilution
Secondary: IRDye800CW Goat Anti-Rabbit IgG at 1/20000 dilution
Predicted band size: 81 kD
Observed band size: 131 kD
HepG2(Human) Cell Lysate at 30 ug
Primary: Anti-PIGR (bs-6061R) at 1/500 dilution
Secondary: IRDye800CW Goat Anti-Rabbit IgG at 1/20000 dilution
Predicted band size: 81 kD
Observed band size: 131 kD
风险提示:丁香通仅作为第三方平台,为商家信息发布提供平台空间。用户咨询产品时请注意保护个人信息及财产安全,合理判断,谨慎选购商品,商家和用户对交易行为负责。对于医疗器械类产品,请先查证核实企业经营资质和医疗器械产品注册证情况。
文献和实验该产品被引用文献
[IF={{ 2.323 }}] {Bin Zeng. et al. Porcine Milk-Derived Small Extracellular Vesicles Promote Intestinal Immunoglobulin Production through pIgR. Animals-Basel. 2021 Jun;11(6):1522} {WB} {Mouse}
技术资料暂无技术资料 索取技术资料
文献支持
PIGR Rabbit pAb(bs-6061R)-50ul/100ul/200ul
¥1180 - 2800





