相关产品推荐更多 >

DHRS4 Rabbit pAb(bs-8264R)-50ul/100ul/200ul
¥1180
Blood Group Lewis b Rabbit pAb(bs-12871R)-50ul/100ul/200ul
¥1180
phospho-MYPT1 (Thr696) Rabbit pAb, PE conjugated(bs-3287R-PE)-100ul
¥2980
PCNA Rabbit pAb, PE-Cy5.5 conjugated(bs-2007R-PE-Cy5.5)-100ul
¥2980
DDIT3 Rabbit pAb, Biotin conjugated(bs-1361R-Bio)-100ul
¥2980
万千商家帮你免费找货
0 人在求购买到急需产品
- 详细信息
- 文献和实验
- 技术资料
- 应用范围:
产品信息以Bioss网站为准
- 规格:
50ul/100ul/200ul
| 规格: | 50ul | 产品价格: | ¥1180.0 |
|---|---|---|---|
| 规格: | 100ul | 产品价格: | ¥1980.0 |
| 规格: | 200ul | 产品价格: | ¥2800.0 |
| 产品编号 | bs-3633R |
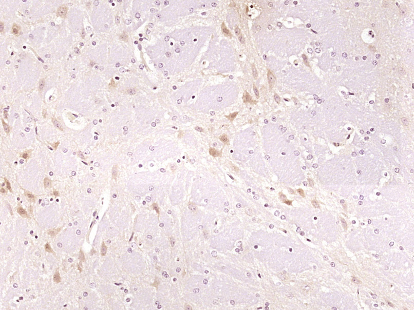
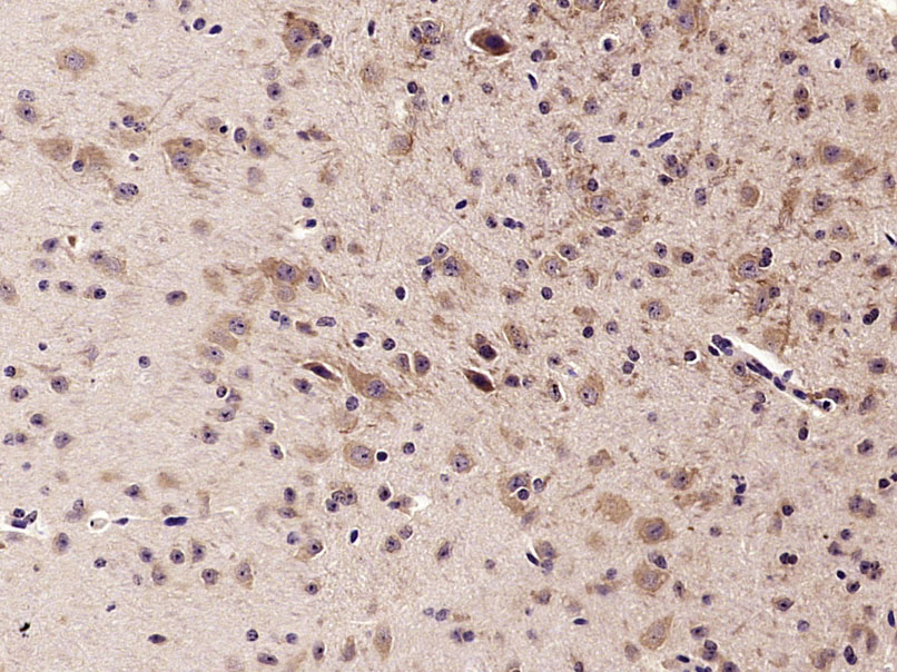
| 英文名称 | Synaptopodin Rabbit pAb |
| 中文名称 | 突触足蛋白抗体 |
| 英文别名 | 9030217H17RIK; 9130229N11; 9330140I15Rik; AW046661; SYNAPTOPODIN; KIAA1029; SYNPO; SYNPO_HUMAN. |
| 产品应用 | WB=1:500-2000, IHC-P=1:100-500, IHC-F=1:100-500, IF=1:100-500, Flow-Cyt=1μg /test Not yet tested in other applications. |
| 交叉反应 | Human, Mouse, Rat |
| 抗体来源 | Rabbit |
| 免疫原 | KLH conjugated synthetic peptide derived from human Synaptopodin |
| 亚型 | IgG |
| 性状 | Liquid |
| 纯化方法 | affinity purified by Protein A |
| 克隆类型 | Polyclonal |
| 理论分子量 | 102 kDa |
| 浓度 | 1mg/ml |
| 储存液 | 0.01M TBS (pH7.4) with 1% BSA, 0.02% Proclin300 and 50% Glycerol. |
| 研究领域 | Neuroscience > Cell Adhesion Proteins > Cytoskeletal Proteins > Regulation Neuroscience > Cell Type Marker > Neuron marker > Synapse marker |
| 亚基 | Interacts with BAIAP1. Interacts with actin (By similarity). Interacts (via PPxY motifs) with WWC1 (via WW domains). |
| 亚细胞定位 | Cytoplasm, cytoskeleton (By similarity). Cell junction, tight junction (By similarity). Perikaryon (By similarity). Cell projection, dendritic spine (By similarity). Cell junction, synapse, postsynaptic cell membrane, postsynaptic density (By similarity). Cell junction, synapse (By similarity). Note=Localized at the tight junction of cells. In brain, localized to the postsynaptic densities and in the perikarya. Asssociated with dendritic spines of a subset of synapses (By similarity). |
| 组织特异性 | Expressed in brain, namely in the olfactory bulb, cerebral cortex, striatum, and hippocampus, but not in the cerebellum. Also expressed in the podocytes of kidney glomeruli. In the hippocampus, mainly expressed in the principal cell layer of the dentate gyrus and Ammon's horn. |
| 相似性 | Belongs to the synaptopodin family. |
| 保存条件 | Shipped at 4℃. Store at -20℃ for one year. Avoid repeated freeze/thaw cycles. |
| 注意事项 | This product as supplied is intended for research use only, not for use in human, therapeutic or diagnostic applications. |
| 背景资料 | Synaptopodin is an actin-associated protein that may play a role in actin-based cell shape and motility. May be essential for the formation of spine apparatuses in spines of telencephalic neurons, involved in synaptic plasticity. The name synaptopodin derives from the protein's associations with postsynaptic densities and dendritic spines and with renal podocytes. |
| 应用 | 推荐稀释比例 |
| {WB} | {1:500-2000} |
| {IHC-P} | {1:100-500} |
| {IHC-F} | {1:100-500} |
| {IF} | {1:100-500} |
| {Flow-Cyt} | {1μg /test} |


Isotype Control Antibody: Rabbit IgG; Secondary Antibody: Goat anti-rabbit IgG-FITC; Dilution: 1:200 in 1 X PBS containing 0.5% BSA
Primary Antibody catalog number: bs-3633R; Dilution: 1μg in 100 μl 1X PBS containing 0.5% BSA

Primary: Anti-Synaptopodin (bs-3633R) at 1/300 dilution
Secondary: IRDye800CW Goat Anti-Rabbit IgG at 1/20000 dilution
Predicted band size: 102 kD
Observed band size: 102 kD

Primary: Anti-Synaptopodin (bs-3633R) at 1/300 dilution
Secondary: IRDye800CW Goat Anti-Rabbit IgG at 1/20000 dilution
Predicted band size: 102 kD
Observed band size: 76 kD


Primary Antibody (green line): Rabbit Anti-Synaptopodin antibody (bs-3633R)
Dilution:1ug/Test;
Secondary Antibody(white blue line): Goat anti-rabbit IgG-AF488
Dilution: 0.5ug/Test.
Isotype control(orange line): Normal Rabbit IgG
Protocol
The cells were fixed with 4% PFA (10min at room temperature)and then permeabilized with 90% ice-cold methanol for 20 min at -20℃, The cells were then incubated in 5%BSA to block non-specific protein-protein interactions for 30 min at room temperature .Cells stained with Primary Antibody for 30 min at room temperature. The secondary antibody used for 40 min at room temperature. Acquisition of 20,000 events was performed.
风险提示:丁香通仅作为第三方平台,为商家信息发布提供平台空间。用户咨询产品时请注意保护个人信息及财产安全,合理判断,谨慎选购商品,商家和用户对交易行为负责。对于医疗器械类产品,请先查证核实企业经营资质和医疗器械产品注册证情况。
文献和实验[IF={{ 3.73 }}] {Zhang, Xueming, et al. "Resolvin D1 Protects Podocytes in Adriamycin-Induced Nephropathy through Modulation of 14-3-3β Acetylation." PLOS ONE 8.6 (2013): e67471.} {IP} {="Mouse"}
[IF={{ 0 }}] {Garovic, Vesna D., and Muthuvel Jayachandran. "DETECTING PODOCYTE INJURY IN DIABETIC NEPHROPATHY AND GLOMERULONEPHRITIS." U.S. Patent No. 20,170,003,299. 5 Jan. 2017.} {Other} {="Human"}
= NAL), appears to form upon oxidative cyclization of the nonfluorescent 2:1 lysine-HNE Michael adduct-Schiff base cross-link (Scheme 1). Polyclonal antibody (PAb) to the NAL-HNE fluorophore was raised in rabbit and found to be highly specific
GE Healthcare Benzamidine Sepharose™ 6B is p-aminobenzamidine covalently attached to Sepharose 6B by the epoxy coupling method. p-Aminobenzamidine (PAB), is a synthetic inhibitor of trypsin-like serine protease. Trypsin and trypsin
Nucleic Acid Programmable Protein Arrays: Versatile Tools for Array‐Based Functional Protein Studies
.g., Sigma) 50 mg/ml bis‐sulfosuccinimdylsuberate (BS3 ;Pierce, cat. no. PI 21580) in dimethylsulfoxide (DMSO) 5 mg/ml
技术资料暂无技术资料 索取技术资料






