相关产品推荐更多 >

8-OHdG (DNA/RNA Damage) Rabbit pAb, FITC conjugated(bs-1278R-FITC)-100ul
¥2980
MMP-2 Rabbit pAb, PerCP-Cy5.5 conjugated(bs-4599R-PerCP-Cy5.5)-100ul
¥2980
ZNF571 Rabbit pAb, AP conjugated(bs-19524R-AP)-100ul
¥2980
A1BG Rabbit pAb(bs-6772R)-50ul/100ul/200ul
¥1180
C6orf106 Rabbit pAb(bs-15213R)-50ul/100ul/200ul
¥1180
万千商家帮你免费找货
0 人在求购买到急需产品
- 详细信息
- 文献和实验
- 技术资料
- 应用范围:
产品信息以Bioss网站为准
- 规格:
50ul/100ul/200ul
| 规格: | 50ul | 产品价格: | ¥1180.0 |
|---|---|---|---|
| 规格: | 100ul | 产品价格: | ¥1980.0 |
| 规格: | 200ul | 产品价格: | ¥2800.0 |
| 产品编号 | bs-1098R |
| 英文名称 | Urokinase Rabbit pAb |
| 中文名称 | 尿激酶型纤溶酶原激活因子抗体 |
| 英文别名 | Urokinase; ATF; ATF uPA; PLAU; UPA; Plasminogen activator; Plasminogen activator urinary; Plasminogen activator urokinase; u PA; U plasminogen activator; UPA; URK; Urokinase plasminogen activator; Urokinase type plasminogen activator; Urokinase type plasminogen activator precursor. |
| 产品应用 | WB=1:500-2000, IHC-P=1:100-500, IHC-F=1:100-500, IF=1:100-500 Not yet tested in other applications. |
| 交叉反应 | Mouse, Rat (Human) |
| 抗体来源 | Rabbit |
| 免疫原 | KLH conjugated synthetic peptide derived from human PLAU |
| 亚型 | IgG |
| 性状 | Liquid |
| 纯化方法 | affinity purified by Protein A |
| 克隆类型 | Polyclonal |
| 理论分子量 | 49 kDa |
| 浓度 | 1mg/ml |
| 储存液 | 0.01M TBS (pH7.4) with 1% BSA, 0.02% Proclin300 and 50% Glycerol. |
| 研究领域 | Cancer > Cancer Metabolism > Response to hypoxia Cardiovascular > Blood > Fibrinolysis / Thrombolysis Metabolism > Pathways and Processes > Metabolism processes > Hypoxia Metabolism > Types of disease > Neurodegenerative disease Neuroscience > Neurology process > Neurodegenerative disease > Alzheimer's disease > Proteases |
| 亚细胞定位 | Secreted. |
| 组织特异性 | Expressed in the prostate gland and prostate cancers. |
| 翻译后修饰 | Phosphorylation of Ser-158 and Ser-323 abolishes proadhesive ability but does not interfere with receptor binding. |
| 相似性 | Belongs to the peptidase S1 family.
Contains 1 EGF-like domain. Contains 1 kringle domain. Contains 1 peptidase S1 domain. |
| 功能 | Specifically cleave the zymogen plasminogen to form the active enzyme plasmin. |
| 保存条件 | Shipped at 4℃. Store at -20℃ for one year. Avoid repeated freeze/thaw cycles. |
| 注意事项 | This product as supplied is intended for research use only, not for use in human, therapeutic or diagnostic applications. |
| 背景资料 | Urokinase is a serine protease involved in degradation of the extracellular matrix and possibly tumor cell migration and proliferation. A specific polymorphism in the Urokinase gene may be associated with late onset Alzheimer disease and also with decreased affinity for fibrin binding. This protein converts plasminogen to plasmin by specific cleavage of an Arg Val bond in plasminogen. The proprotein is cleaved at a Lys Ile bond by plasmin to form a two chain derivative in which a single disulfide bond connects the amino terminal A chain to the catalytically active, carboxy terminal B chain. This two chain derivative is also called HMW uPA (high molecular weight uPA). HMW uPA can be further processed into LMW uPA (low molecular weight uPA) by cleavage of chain A into a short chain A (A1) and an amino terminal fragment. LMW uPA is proteolytically active but does not bind to the uPA receptor. |
| 应用 | 推荐稀释比例 |
| {WB} | {1:500-2000} |
| {IHC-P} | {1:100-500} |
| {IHC-F} | {1:100-500} |
| {IF} | {1:100-500} |

Cerebrum (Mouse) Lysate at 40 ug
Primary: Anti-Urokinase (bs-1098R) at 1/300 dilution
Secondary: IRDye800CW Goat Anti-Rabbit IgG at 1/20000 dilution
Predicted band size: 49 kD
Observed band size: 49 kD

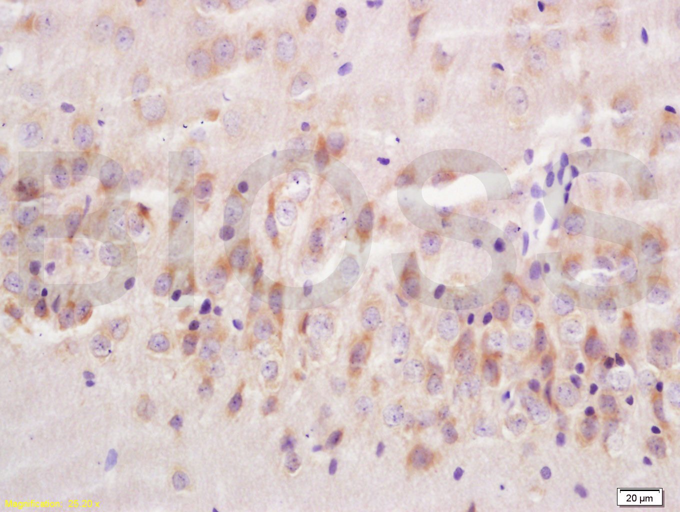
Antigen retrieval: citrate buffer ( 0.01M, pH 6.0 ), Boiling bathing for 15min; Block endogenous peroxidase by 3% Hydrogen peroxide for 30min; Blocking buffer (normal goat serum,C-0005) at 37℃ for 20 min;
Incubation: Anti-PLAU/UPA/Urokinase Polyclonal Antibody, Unconjugated(bs-1098R) 1:200, overnight at 4°C, followed by conjugation to the secondary antibody(SP-0023) and DAB(C-0010) staining

Cerebrum (mouse) Lysate at 40 ug
Cerebrum (Rat) Lysate at 40 ug
Primary: Anti-Urokinase (bs-1098R)at 1/300 dilution
Secondary: IRDye800CW Goat Anti-Rabbit IgG at 1/20000 dilution
Predicted band size: 49kD
Observed band size: 48kD

Lane 1: Placenta (Mouse) Lysate at 40 ug
Lane 2: Liver (Mouse) Lysate at 40 ug
Lane 3: Lung (Mouse) Lysate at 40 ug
Lane 4: Spleen (Mouse) Lysate at 40 ug
Lane 5: Liver (Rat) Lysate at 40 ug
Lane 6: Lung (Rat) Lysate at 40 ug
Lane 7: Spleen (Rat) Lysate at 40 ug
Primary: Anti-Urokinase (bs-1098R) at 1/1000 dilution
Secondary: IRDye800CW Goat Anti-Rabbit IgG at 1/20000 dilution
Predicted band size: 40-80 kD
Observed band size: 45 kD
风险提示:丁香通仅作为第三方平台,为商家信息发布提供平台空间。用户咨询产品时请注意保护个人信息及财产安全,合理判断,谨慎选购商品,商家和用户对交易行为负责。对于医疗器械类产品,请先查证核实企业经营资质和医疗器械产品注册证情况。
文献和实验[IF={{ 5.123 }}] {Liu XP et al. A Label-free Photoelectrochemical Biosensor for Urokinase-type Plasminogen Activator Detection Based on a gC 3 N 4/CdS Nanocomposite.Analytica Chimica Acta.1025;99-107.} {Other} {}
[IF={{ 1.7 }}] {Wen-Qi Zhang. et al. Regulation of Fuzheng Huayu capsule on inhibiting the fibrosis-associated hepatocellular carcinogenesis. J ASIAN NAT PROD RES. 2024 五月 23} {IHC} {Human}
= NAL), appears to form upon oxidative cyclization of the nonfluorescent 2:1 lysine-HNE Michael adduct-Schiff base cross-link (Scheme 1). Polyclonal antibody (PAb) to the NAL-HNE fluorophore was raised in rabbit and found to be highly specific
GE Healthcare Benzamidine Sepharose™ 6B is p-aminobenzamidine covalently attached to Sepharose 6B by the epoxy coupling method. p-Aminobenzamidine (PAB), is a synthetic inhibitor of trypsin-like serine protease. Trypsin and trypsin
【资源】全面归类网址:毕赤酵母表达各种来源蛋白(细菌,真菌,植物,人类等)
, 366, 369, 371, 372Mouse Fv heterodimerS, 4 mg/L, α-MF, active564Mouse CC ChemokineS, α-MF, active394Murine endostatinS, 700 mg/L, α-MF170, 510, 515Mouse epidermal growth factorS, 450 mg/L, α-MF[162]Mouse gelatinase BS, 10 mg/L, α-MF[163]Mouse P
技术资料暂无技术资料 索取技术资料





