相关产品推荐更多 >

Anti-human ERBB2 / HER2 / CD340 (BioMab patent Anti-Her2 Biosimilar)(BIO0840SM)-1mg/5mg/20mg
¥3200
Clusterin Rabbit pAb(bs-1354R)-50ul/100ul/200ul
¥1180
GLUT4 Rabbit pAb, APC conjugated(bs-0384R-APC)-100ul
¥2980
phospho-H2AX (Tyr143) Rabbit pAb(bs-5360R)-50ul/100ul/200ul
¥1180
EIF2S1 Mouse mAb(bsm-51644M)-50ul/100ul
¥1180
万千商家帮你免费找货
0 人在求购买到急需产品
- 详细信息
- 文献和实验
- 技术资料
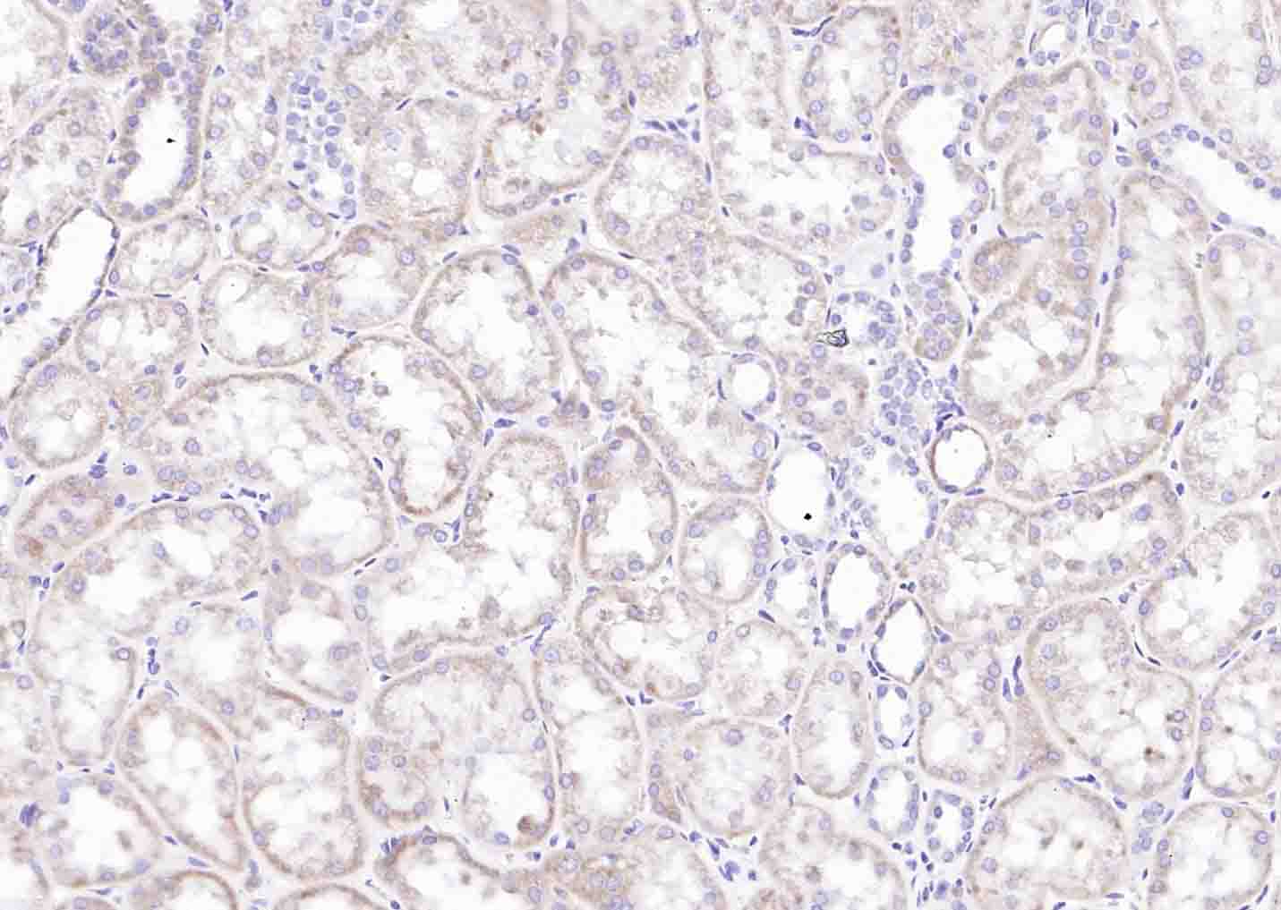
- 应用范围:
产品信息以Bioss网站为准
- 规格:
50ul/100ul/200ul
| 规格: | 50ul | 产品价格: | ¥1180.0 |
|---|---|---|---|
| 规格: | 100ul | 产品价格: | ¥1980.0 |
| 规格: | 200ul | 产品价格: | ¥2800.0 |
| 产品编号 | bs-1290R |
| 英文名称 | CCN1 Rabbit pAb |
| 中文名称 | 富半胱氨酸肝素结合蛋白61抗体 |
| 英文别名 | Cyr61; IGFBP10; cysteine rich protein 61; 3CH61; CCN 1; CCN1; CYR 61; CYR61; CYR61 protein; CYR61 protein precursor; Cysteine rich angiogenic inducer 61; Cysteine rich heparin binding protein 61; GIG 1; GIG1; GIG1; Igfbp 10; IGFBP10; Insulin like growth factor binding protein 10; Protein CYR61; Protein GIG1; AI325051; cysteine rich 61; CYR61_HUMAN . |
| 产品应用 | WB=1:500-2000, IHC-P=1:100-500, IHC-F=1:100-500, IF=1:100-500 Not yet tested in other applications. |
| 交叉反应 | Human (Mouse, Rat, Dog, Cow, Horse, Sheep) |
| 抗体来源 | Rabbit |
| 免疫原 | KLH conjugated synthetic peptide derived from human Cyr61 |
| 亚型 | IgG |
| 性状 | Liquid |
| 纯化方法 | affinity purified by Protein A |
| 克隆类型 | Polyclonal |
| 理论分子量 | 42 kDa |
| 浓度 | 1mg/ml |
| 储存液 | 0.01M TBS (pH7.4) with 1% BSA, 0.02% Proclin300 and 50% Glycerol. |
| 研究领域 | Cardiovascular > Angiogenesis > Adhesion / ECM > Extracellular Matrix Cardiovascular > Angiogenesis > Adhesion / ECM > Integrins Immunology > Secreted Molecules > CCN Family Stem Cells > Mesenchymal Stem Cells > Secreted Molecules |
| 亚细胞定位 | Secreted. |
| 相似性 | Belongs to the CCN family. Contains 1 CTCK (C-terminal cystine knot-like) domain. Contains 1 IGFBP N-terminal domain. Contains 1 TSP type-1 domain. Contains 1 VWFC domain. |
| 功能 | Promotes cell proliferation, chemotaxis, angiogenesis and cell adhesion. Appears to play a role in wound healing by up-regulating, in skin fibroblasts, the expression of a number of genes involved in angiogenesis, inflammation and matrix remodeling including VEGA-A, VEGA-C, MMP1, MMP3, TIMP1, uPA, PAI-1 and integrins alpha-3 and alpha-5. CYR61-mediated gene regulation is dependent on heparin-binding. Down-regulates the expression of alpha-1 and alpha-2 subunits of collagen type-1. Promotes cell adhesion and adhesive signaling through integrin alpha-6/beta-1, cell migration through integrin alpha-v/beta-5 and cell proliferation through integrin alpha-v/beta-3. |
| 保存条件 | Shipped at 4℃. Store at -20℃ for one year. Avoid repeated freeze/thaw cycles. |
| 注意事项 | This product as supplied is intended for research use only, not for use in human, therapeutic or diagnostic applications. |
| 背景资料 | The secreted protein encoded by this gene is growth factor-inducible and promotes the adhesion of endothelial cells. The encoded protein interacts with several integrins and with heparan sulfate proteoglycan. This protein also plays a role in cell proliferation, differentiation, angiogenesis, apoptosis, and extracellular matrix formation. [provided by RefSeq, Sep 2011] |
| 应用 | 推荐稀释比例 |
| {WB} | {1:500-2000} |
| {IHC-P} | {1:100-500} |
| {IHC-F} | {1:100-500} |
| {IF} | {1:100-500} |

Primary: Anti-CCN1 (bs-1290R) at 1/300 dilution
Secondary: IRDye800CW Goat Anti-Rabbit IgG at 1/20000 dilution
Predicted band size: 42 kD
Observed band size: 48 kD

DU145(Human) Cell Lysate at 30 ug
Primary: Anti- CCN1 (bs-1290R) at 1/1000 dilution
Secondary: IRDye800CW Goat Anti-Rabbit IgG at 1/20000 dilution
Predicted band size: 42 kD
Observed band size: 42 kD

Lane 1: Human Huvec cell lysates
Lane 2: Human A431 cell lysates
Primary: Anti-CCN1 (bs-1290R) at 1/1000 dilution
Secondary: IRDye800CW Goat Anti-Rabbit IgG at 1/20000 dilution
Predicted band size: 42 kDa
Observed band size: 42 kDa

风险提示:丁香通仅作为第三方平台,为商家信息发布提供平台空间。用户咨询产品时请注意保护个人信息及财产安全,合理判断,谨慎选购商品,商家和用户对交易行为负责。对于医疗器械类产品,请先查证核实企业经营资质和医疗器械产品注册证情况。
文献和实验[IF={{ 4.6 }}] {Jiaxu Zhou. et al. JTE-013 Alleviates Pulmonary Fibrosis by Affecting the RhoA/YAP Pathway and Mitochondrial Fusion/Fission. PHARMACEUTICALS-BASE. 2023 Oct;16(10):1444} {IHC,WB} {Mouse}
[IF={{ 2.014 }}] {Fang-Fang CHEN. et al. Tao-Hong-Si-Wu Decoction promotes angiogenesis after cerebral ischaemia in rats via platelet microparticles. Chin J Nat Medicines. 2020 Aug;18:620} {WB} {Rat}
[IF={{ 0.786 }}] {Dong QQ et al. SMYD3-associated pathway is involved in the anti-tumor effects of sulforaphane on gastric carcinoma cells. Food Sci Biotechnol. 2018 Mar 22;27(4):1165-1173.} {WB} {Human}
= NAL), appears to form upon oxidative cyclization of the nonfluorescent 2:1 lysine-HNE Michael adduct-Schiff base cross-link (Scheme 1). Polyclonal antibody (PAb) to the NAL-HNE fluorophore was raised in rabbit and found to be highly specific
GE Healthcare Benzamidine Sepharose™ 6B is p-aminobenzamidine covalently attached to Sepharose 6B by the epoxy coupling method. p-Aminobenzamidine (PAB), is a synthetic inhibitor of trypsin-like serine protease. Trypsin and trypsin
Nucleic Acid Programmable Protein Arrays: Versatile Tools for Array‐Based Functional Protein Studies
.g., Sigma) 50 mg/ml bis‐sulfosuccinimdylsuberate (BS3 ;Pierce, cat. no. PI 21580) in dimethylsulfoxide (DMSO) 5 mg/ml
技术资料暂无技术资料 索取技术资料






