相关产品推荐更多 >

5HT3A Receptor Rabbit pAb(bs-12051R)-50ul/100ul/200ul
¥1180
Vimentin Rabbit pAb, PerCP-Cy7 conjugated(bs-8533R-PerCP-Cy7)-100ul
¥2980
DRD1 Rabbit pAb, HRP conjugated(bs-1007R-HRP)-100ul
¥2980
phospho-Tau (Ser262) Rabbit pAb(bs-4049R)-50ul/100ul/200ul
¥1180
HSPA12A Rabbit pAb, BF555 conjugated(bs-18076R-BF555)-100ul
¥2980
万千商家帮你免费找货
0 人在求购买到急需产品
- 详细信息
- 文献和实验
- 技术资料
- 应用范围:
产品信息以Bioss网站为准
- 规格:
50ul/100ul/200ul
| 规格: | 50ul | 产品价格: | ¥1180.0 |
|---|---|---|---|
| 规格: | 100ul | 产品价格: | ¥1980.0 |
| 规格: | 200ul | 产品价格: | ¥2800.0 |
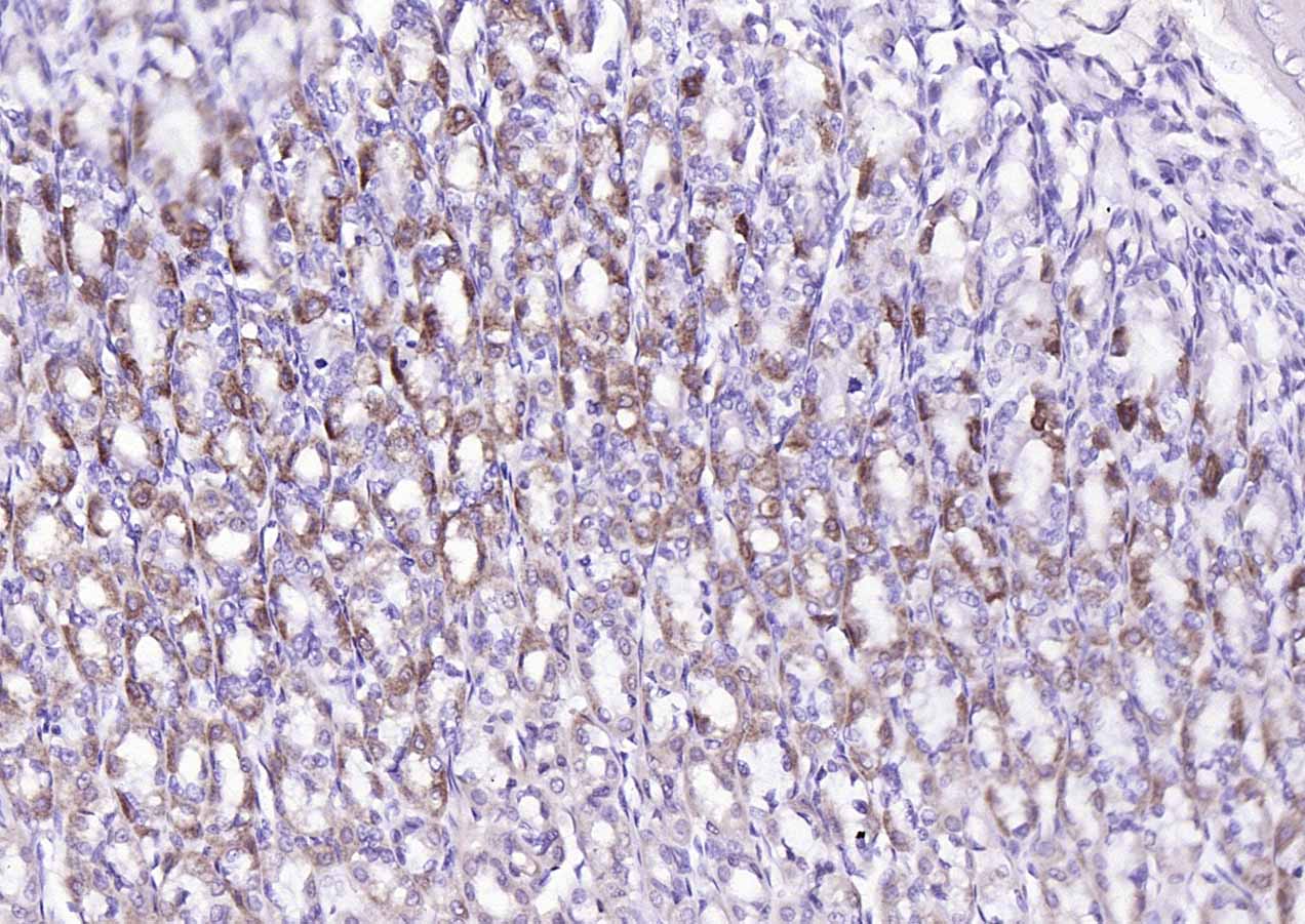
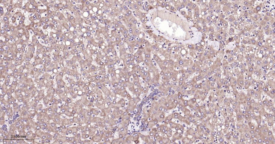
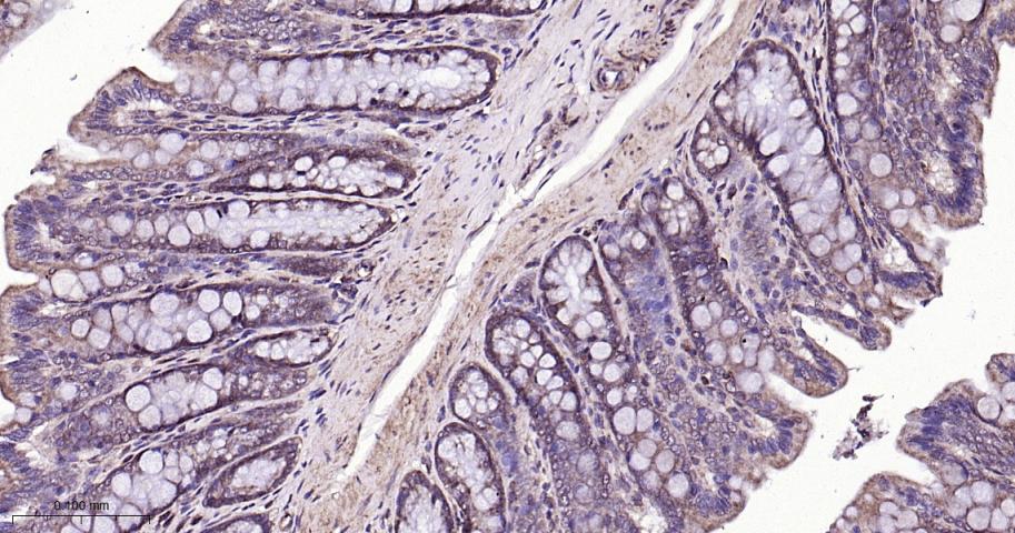
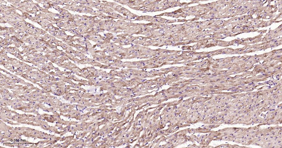
| 产品编号 | bs-6105R |
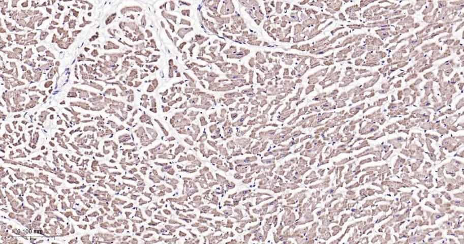
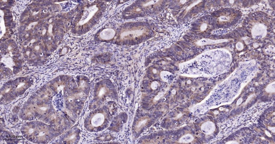
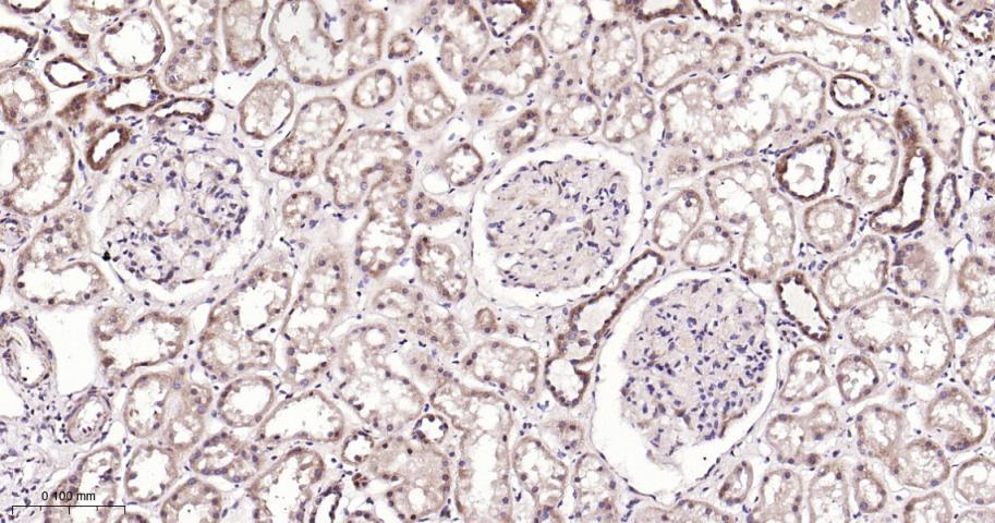
| 英文名称 | SIRT3 Rabbit pAb |
| 中文名称 | 线粒体乙酰化酶3抗体 |
| 英文别名 | hSIRT3; hSIRT 3; hSIRT3; Mitochondrial nicotinamide adenine dinucleotide dependent deacetylase; NAD dependent deacetylase sirtuin 3 mitochondrial; NAD-dependent deacetylase sirtuin-3, mitochondrial; Silent mating type information regulation 2 S.cerevisiae homolog 3; Sir 2 like 3; SIR 2 like protein 3; SIR 3; SIR2 L3; Sir2 like 3; SIR2 like protein 3; SIR2-like protein 3; SIR2L3; SIRT 3; SIRT3_HUMAN; Sirtuin 3; Sirtuin silent mating type information regulation 2 homolog 3(S. cerevisiae); Sirtuin type 3; Sirtuin3. |
| 产品应用 | IHC-P=1:100-500, IHC-F=1:100-500, IF=1:100-500 Not yet tested in other applications. |
| 交叉反应 | Human, Rat, heart, heart, heart, heart, stomach, stomach, stomach, stomach, heart, heart, heart |
| 抗体来源 | Rabbit |
| 免疫原 | KLH conjugated synthetic peptide derived from human SIRT3 |
| 亚型 | IgG |
| 性状 | Liquid |
| 纯化方法 | affinity purified by Protein A |
| 克隆类型 | Polyclonal |
| 理论分子量 | 43 kDa |
| 浓度 | 1mg/ml |
| 储存液 | 0.01M TBS (pH7.4) with 1% BSA, 0.02% Proclin300 and 50% Glycerol. |
| 研究领域 | Cancer > Oncoproteins/suppressors > Tumor suppressors Cardiovascular > Heart > Cardiac metabolism Cell Biology > Cell Cycle > Cell Division > Other cell division antibodies Epigenetics and Nuclear Signaling > Chromatin Modifying Enzymes > Acetylation Epigenetics and Nuclear Signaling > Chromatin Modifying Enzymes > Acetylation > HDACs > Class III / Sir2 class Metabolism > Types of disease > Obesity |
| 亚基 | Interacts with NDUFA9, ACSS1, IDH2 and GDH. |
| 亚细胞定位 | Mitochondrion matrix. |
| 组织特异性 | Widely expressed. |
| 翻译后修饰 | Processed by mitochondrial processing peptidase (MPP) to give a 28 kDa product. Such processing is probably essential for its enzymatic activity. |
| 相似性 | Belongs to the sirtuin family. Contains 1 deacetylase sirtuin-type domain. |
| 功能 | NAD-dependent protein deacetylase. Activates mitochondrial target proteins, including ACSS1, IDH2 and GDH by deacetylating key lysine residues. Contributes to the regulation of the cellular energy metabolism. Important for regulating tissue-specific ATP levels. |
| 保存条件 | Shipped at 4℃. Store at -20℃ for one year. Avoid repeated freeze/thaw cycles. |
| 注意事项 | This product as supplied is intended for research use only, not for use in human, therapeutic or diagnostic applications. |
| 背景资料 | SIRT3 encodes a member of the sirtuin family of class III histone deacetylases, homologs to the yeast Sir2 protein. The encoded protein is found exclusively in mitochondria, where it can eliminate reactive oxygen species, inhibit apoptosis, and prevent the formation of cancer cells. SIRT3 has far-reaching effects on nuclear gene expression, cancer, cardiovascular disease, neuroprotection, aging, and metabolic control. [provided by RefSeq, May 2019] |
| 应用 | 推荐稀释比例 |
| {IHC-P} | {1:100-500} |
| {IHC-F} | {1:100-500} |
| {IF} | {1:100-500} |








风险提示:丁香通仅作为第三方平台,为商家信息发布提供平台空间。用户咨询产品时请注意保护个人信息及财产安全,合理判断,谨慎选购商品,商家和用户对交易行为负责。对于医疗器械类产品,请先查证核实企业经营资质和医疗器械产品注册证情况。
文献和实验[IF={{ 6.9 }}] {Lichun Qiao. et al. T-2 toxin induces cardiac fibrosis by causing metabolic disorders and up-regulating Sirt3/FoxO3α/MnSOD signaling pathway-mediated oxidative stress. J ENVIRON SCI-CHINA. 2024 Mar;:} {WB} {Rat}
[IF={{ 4.546 }}] {Su ShiJie. et al. Kai-Xin-San protects against mitochondrial dysfunction in Alzheimer’s disease through SIRT3/NLRP3 pathway. CHIN MED-UK. 2023 Dec;18(1):1-16} {WB,IF,ICC} {Mouse}
[IF={{ 4.5 }}] {Jianhui Liu. et al. Melatonin ameliorates PM2.5-induced spermatogenesis disorder by preserving H3K9 methylation and SIRT3. ENVIRON TOXICOL. 2023 Nov;:} {WB} {Mouse}
[IF={{ 3.448 }}] {Liu L et al. Melatonin ameliorates cerebral ischemia/reperfusion injury through SIRT3 activation. Life Sci. 2019 Nov 4;239:117036.} {IHC} {Mouse}
[IF={{ 0.496 }}] {Chuanjiang He. et al. MiRNA-494 specifically inhibits SIRT3-mediated microglia activation in sepsis-associated encephalopathy. TRANSL CANCER RES. 2022 Jul; 11(7): 2299–2309} {WB,IHC} {Rat}
技术资料暂无技术资料 索取技术资料





