相关产品推荐更多 >

GFR alpha 3 Rabbit pAb(bs-11501R)-50ul/100ul/200ul
¥1180
beta Amyloid 1-42 Rabbit pAb, APC-Cy7 conjugated(bs-0107R-APC-Cy7)-100ul
¥2980
HSP90 alpha Rabbit pAb, BF594 conjugated(bs-10100R-BF594)-100ul
¥2980
SET Recombinant Rabbit mAb(bsm-54264R)-50ul/100ul
¥1400
GBA3 Rabbit pAb(bs-13298R)-50ul/100ul/200ul
¥1180
万千商家帮你免费找货
0 人在求购买到急需产品
- 详细信息
- 文献和实验
- 技术资料
- 应用范围:
产品信息以Bioss网站为准
- 规格:
50ul/100ul/200ul
| 规格: | 50ul | 产品价格: | ¥1180.0 |
|---|---|---|---|
| 规格: | 100ul | 产品价格: | ¥1980.0 |
| 规格: | 200ul | 产品价格: | ¥2800.0 |
| 产品编号 | bs-6154R |
| 英文名称 | RAC1+RAC2 Rabbit pAb |
| 中文名称 | GTP结合蛋白RAC1+RAC2抗体 |
| 英文别名 | RAC2_HUMAN; Ras-related C3 botulinum toxin substrate 2; GX; Small G protein; p21-Rac2; EN-7; Gx; HSPC022; RAC1_HUMAN; Ras-related C3 botulinum toxin substrate 1; Cell migration-inducing gene 5 protein; Ras-like protein TC25; p21-Rac1; MIG5; Rac-1; TC-25. |
| 产品应用 | IHC-P=1:100-500, IHC-F=1:100-500, IF=1:100-500, Flow-Cyt=1ug/test Not yet tested in other applications. |
| 交叉反应 | Human, Mouse (Rat, Chicken, Dog, Pig, Cow, Horse, Rabbit, Sheep, GuineaPig) |
| 抗体来源 | Rabbit |
| 免疫原 | KLH conjugated synthetic peptide derived from human RAC1/RAC2. |
| 亚型 | IgG |
| 性状 | Liquid |
| 纯化方法 | affinity purified by Protein A |
| 克隆类型 | Polyclonal |
| 理论分子量 | 21 kDa |
| 浓度 | 1mg/ml |
| 储存液 | 0.01M TBS (pH7.4) with 1% BSA, 0.02% Proclin300 and 50% Glycerol. |
| 研究领域 | Cancer > Signal transduction > G protein signaling > Small G proteins > Ras family Immunology > Innate Immunity > TLR Signaling Signal Transduction > Signaling Pathway > G Protein Signaling > Small G Proteins > Ras Family |
| 亚基 | Interacts with NISCH. Interacts with PIP5K1A. Interacts with the GTP-bound form of RAB7A. Interacts with SRGAP2. Interacts with CYFIP1/SRA-1. Interacts with PLXNB3. Interacts with ARHGDIA; the interaction is induced by SEMA5A and mediated through PLXNB3 (By similarity). Interacts (GTP-bound form preferentially) with PKN2 (via the REM repeats); the interaction stimulates autophosphorylation and phosphorylation of PKN2. Interacts with the GEF proteins PREX1, RASGRF2, FARP1, FARP2, DOCK1, DOCK2 and DOCK7, which promote the exchange between GDP and GTP, and therefore activate it. Interacts with PARD6A, PARD6B and PARD6G in a GTP-dependent manner. Part of a quaternary complex containing PARD3, some PARD6 protein (PARD6A, PARD6B or PARD6G) and some atypical PKC protein (PRKCI or PRKCZ), which plays a central role in epithelial cell polarization. Found in a trimeric complex composed of DOCK1 and ELMO1, which plays a central role in phagocytosis of apoptotic cells. Interacts with RALBP1 via its effector domain. Interacts with PLXNB1. Probably found in a ternary complex composed of DSCAM, PAK1 and RAC1. Interacts with DSCAM; the interaction requires PAK1. Part of a complex with MAP2K3, MAP3K3, CCM2 and DEF6. Interacts with BAIAP2, BAIAP2L1 and DEF6. Interacts with Y.pseudotuberculosis YPKA and PLCB2. Interacts with NOXA1. Interacts with ARHGEF2. Interacts with TBC1D2. Interacts with UNKL. Interacts with USP6. Interacts with SPATA13. Interacts with ARHGEF16; mediates activation of RAC1 by EPHA2. Interacts with ITGB4. Interacts with S100A8 and calprotectin (S100A8/9). Interacts with PACSIN2. Interacts with ITGB1BP1. |
| 亚细胞定位 | Cell membrane; Lipid-anchor; Cytoplasmic side (By similarity). Melanosome. Cytoplasm (By similarity). Note=Inner surface of plasma membrane possibly with attachment requiring prenylation of the C-terminal cysteine (By similarity). Identified by mass spectrometry in melanosome fractions from stage I to stage IV. Found in the ruffled border (a late endosomal-like compartment in the plasma membrane) of bone-resorbing osteoclasts (By similarity). |
| 组织特异性 | Isoform B is predominantly identified in skin and epithelial tissues from the intestinal tract. Its expression is elevated in colorectal tumors at various stages of neoplastic progression, as compared to their respective adjacent tissues. |
| 翻译后修饰 | AMPylation at Tyr-32 and Thr-35 are mediated by bacterial enzymes in case of infection by H.somnus and V.parahaemolyticus, respectively. AMPylation occurs in the effector region and leads to inactivation of the GTPase activity by preventing the interaction with downstream effectors, thereby inhibiting actin assembly in infected cells. It is unclear whether some human enzyme mediates AMPylation; FICD has such ability in vitro but additional experiments remain to be done to confirm results in vivo. GTP-bound active form is ubiquitinated by HACE1, leading to its degradation by the proteasome. |
| 相似性 | Belongs to the small GTPase superfamily. Rho family. |
| 功能 | Plasma membrane-associated small GTPase which cycles between active GTP-bound and inactive GDP-bound states. In its active state, binds to a variety of effector proteins to regulate cellular responses such as secretory processes, phagocytosis of apoptotic cells, epithelial cell polarization and growth-factor induced formation of membrane ruffles. Rac1 p21/rho GDI heterodimer is the active component of the cytosolic factor sigma 1, which is involved in stimulation of the NADPH oxidase activity in macrophages (By similarity). Essential for the SPATA13-mediated regulation of cell migration and adhesion assembly and disassembly. Stimulates PKN2 kinase activity. In concert with RAB7A, plays a role in regulating the formation of RBs (ruffled borders) in osteoclasts. In glioma cells, promotes cell migration and invasion. Isoform B has an accelerated GEF-independent GDP/GTP exchange and an impaired GTP hydrolysis, which is restored partially by GTPase-activating proteins. It is able to bind to the GTPase-binding domain of PAK but not full-length PAK in a GTP-dependent manner, suggesting that the insertion does not completely abolish effector interaction. |
| 保存条件 | Shipped at 4℃. Store at -20℃ for one year. Avoid repeated freeze/thaw cycles. |
| 注意事项 | This product as supplied is intended for research use only, not for use in human, therapeutic or diagnostic applications. |
| 背景资料 | The protein encoded by this gene is a GTPase which belongs to the RAS superfamily of small GTP-binding proteins. Members of this superfamily appear to regulate a diverse array of cellular events, including the control of cell growth, cytoskeletal reorganization, and the activation of protein kinases. Two transcript variants encoding different isoforms have been found for this gene. [provided by RefSeq, Mar 2009] |
| 应用 | 推荐稀释比例 |
| {IHC-P} | {1:100-500} |
| {IHC-F} | {1:100-500} |
| {IF} | {1:100-500} |
| {Flow-Cyt} | {1ug/test} |

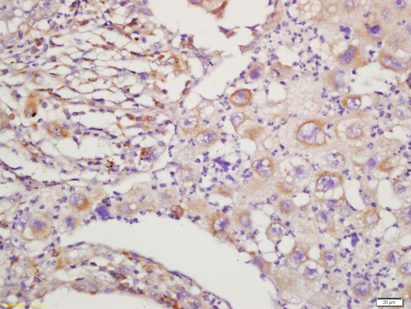
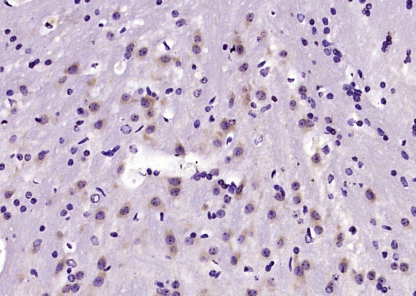
Antigen retrieval: citrate buffer ( 0.01M, pH 6.0 ), Boiling bathing for 15min; Block endogenous peroxidase by 3% Hydrogen peroxide for 30min; Blocking buffer (normal goat serum,C-0005) at 37℃ for 20 min;
Incubation: Anti-RAC1+RAC2 Polyclonal Antibody, Unconjugated(bs-6154R) 1:200, overnight at 4°C, followed by conjugation to the secondary antibody(SP-0023) and DAB(C-0010) staining

Primary Antibody (green line): Rabbit Anti-RAC1+RAC2 antibody (bs-6154R)
Dilution: 1μg /10^6 cells;
Isotype Control Antibody (orange line): Rabbit IgG .
Secondary Antibody : Goat anti-rabbit IgG-AF488
Dilution: 1μg /test.
Protocol
The cells were fixed with 4% PFA (10min at room temperature)and then permeabilized with 0.1% PBST for 20 min at room temperature. The cells were then incubated in 5%BSA to block non-specific protein-protein interactions for 30 min at room temperature .Cells stained with Primary Antibody for 30 min at room temperature. The secondary antibody used for 40 min at room temperature. Acquisition of 20,000 events was performed.

Primary Antibody (green line): Rabbit Anti-RAC1+RAC2 antibody (bs-6154R)
Dilution: 2μg /10^6 cells;
Isotype Control Antibody (orange line): Rabbit IgG .
Secondary Antibody : Goat anti-rabbit IgG-AF488
Dilution: 1μg /test.
Protocol
The cells were fixed with 4% PFA (10min at room temperature)and then permeabilized with 0.1% PBST for 20 min at room temperature. The cells were then incubated in 5%BSA to block non-specific protein-protein interactions for 30 min at room temperature .Cells stained with Primary Antibody for 30 min at room temperature. The secondary antibody used for 40 min at room temperature. Acquisition of 20,000 events was performed.

风险提示:丁香通仅作为第三方平台,为商家信息发布提供平台空间。用户咨询产品时请注意保护个人信息及财产安全,合理判断,谨慎选购商品,商家和用户对交易行为负责。对于医疗器械类产品,请先查证核实企业经营资质和医疗器械产品注册证情况。
文献和实验[IF={{ 7.3 }}] {Shi Xin. et al. The bone marrow endothelial progenitor cell response to septic infection. FRONT IMMUNOL. 2024 Apr;15:} {IF} {Mouse}
= NAL), appears to form upon oxidative cyclization of the nonfluorescent 2:1 lysine-HNE Michael adduct-Schiff base cross-link (Scheme 1). Polyclonal antibody (PAb) to the NAL-HNE fluorophore was raised in rabbit and found to be highly specific
GE Healthcare Benzamidine Sepharose™ 6B is p-aminobenzamidine covalently attached to Sepharose 6B by the epoxy coupling method. p-Aminobenzamidine (PAB), is a synthetic inhibitor of trypsin-like serine protease. Trypsin and trypsin
Nucleic Acid Programmable Protein Arrays: Versatile Tools for Array‐Based Functional Protein Studies
.g., Sigma) 50 mg/ml bis‐sulfosuccinimdylsuberate (BS3 ;Pierce, cat. no. PI 21580) in dimethylsulfoxide (DMSO) 5 mg/ml
技术资料暂无技术资料 索取技术资料






