相关产品推荐更多 >
万千商家帮你免费找货
0 人在求购买到急需产品
- 详细信息
- 文献和实验
- 技术资料
- 供应商:
上海康朗生物科技有限公司
- 库存:
大量
- 目录编号:
kl-6153R
- 克隆性:
多克隆
- 抗原来源:
Rabbit
- 保质期:
12个月
- 抗体英文名:
RAC1 + RAC2 antibody
- 抗体名:
G蛋白P21 RAC2抗体
- 宿主:
Rabbit
- 适应物种:
Human, Mouse, Rat, Chicken, Cow, Horse, Rabbit, Sheep,
- 免疫原:
KLH conjugated synthetic peptide derived from human RAC2:89-180/192
- 亚型:
IgG
- 形态:
冻干粉或液体
- 应用范围:
ELISA=1:500-1000 IHC-P=1:400-800 IHC-F=1:400-800 IF=1:100-500
- 浓度:
1mg/ml
- 保存条件:
-20 °C
- 规格:
100ul 200ul
| 中文名称 | G蛋白P21 RAC2抗体 |
| 别 名 | RAC2_HUMAN; Ras-related C3 botulinum toxin substrate 2; GX; Small G protein; p21-Rac2; EN-7; Gx; HSPC022; RAC1_HUMAN; Ras-related C3 botulinum toxin substrate 1; Cell migration-inducing gene 5 protein; Ras-like protein TC25; p21-Rac1; MIG5; Rac-1; TC-25. |
| 规格价格 | 100ul/1380元 购买 200ul/2200元 购买 大包装/询价 |
| 说 明 书 | 100ul 200ul |
| 研究领域 | 肿瘤 细胞生物 免疫学 细胞凋亡 G蛋白偶联受体 |
| 抗体来源 | Rabbit |
| 克隆类型 | Polyclonal |
| 交叉反应 | Human, Mouse, Rat, Chicken, Cow, Horse, Rabbit, Sheep, |
| 产品应用 | ELISA=1:500-1000 IHC-P=1:400-800 IHC-F=1:400-800 IF=1:100-500 (石蜡切片需做抗原修复) not yet tested in other applications. optimal dilutions/concentrations should be determined by the end user. |
| 分 子 量 | 21kDa |
| 细胞定位 | 细胞浆 细胞膜 |
| 性 状 | Lyophilized or Liquid |
| 浓 度 | 1mg/ml |
| 免 疫 原 | KLH conjugated synthetic peptide derived from human RAC2:89-180/192 |
| 亚 型 | IgG |
| 纯化方法 | affinity purified by Protein A |
| 储 存 液 | 0.01M TBS(pH7.4) with 1% BSA, 0.03% Proclin300 and 50% Glycerol. |
| 保存条件 | Store at -20 °C for one year. Avoid repeated freeze/thaw cycles. The lyophilized antibody is stable at room temperature for at least one month and for greater than a year when kept at -20°C. When reconstituted in sterile pH 7.4 0.01M PBS or diluent of antibody the antibody is stable for at least two weeks at 2-4 °C. |
| PubMed | PubMed |
| 产品介绍 | background: This gene encodes a member of the Ras superfamily of small guanosine triphosphate (GTP)-metabolizing proteins. The encoded protein localizes to the plasma membrane, where it regulates diverse processes, such as secretion, phagocytosis, and cell polarization. Activity of this protein is also involved in the generation of reactive oxygen species. Mutations in this gene are associated with neutrophil immunodeficiency syndrome. There is a pseudogene for this gene on chromosome 6. [provided by RefSeq, Jul 2013]. Function: Plasma membrane-associated small GTPase which cycles between active GTP-bound and inactive GDP-bound states. In its active state, binds to a variety of effector proteins to regulate cellular responses such as secretory processes, phagocytosis of apoptotic cells, epithelial cell polarization and growth-factor induced formation of membrane ruffles. Rac1 p21/rho GDI heterodimer is the active component of the cytosolic factor sigma 1, which is involved in stimulation of the NADPH oxidase activity in macrophages (By similarity). Essential for the SPATA13-mediated regulation of cell migration and adhesion assembly and disassembly. Stimulates PKN2 kinase activity. Isoform B has an accelerated GEF-independent GDP/GTP exchange and an impaired GTP hydrolysis, which is restored partially by GTPase-activating proteins. It is able to bind to the GTPase-binding domain of PAK but not full-length PAK in a GTP-dependent manner, suggesting that the insertion does not completely abolish effector interaction. Subunit: nteracts (GTP-bound form preferentially) with PKN2 (via the REM repeats); the interaction stimulates autophosphorylation and phosphorylation of PKN2. Interacts with the GEF proteins PREX1, RASGRF2, DOCK1, DOCK2 and DOCK7, which promote the exchange between GDP and GTP, and therefore activate it. Interacts with PARD6A, PARD6B and PARD6G in a GTP-dependent manner. Part of a quaternary complex containing PARD3, some PARD6 protein (PARD6A, PARD6B or PARD6G) and some atypical PKC protein (PRKCI or PRKCZ), which plays a central role in epithelial cell polarization. Found in a trimeric complex composed of DOCK1 and ELMO1, which plays a central role in phagocytosis of apoptotic cells. Interacts with RALBP1 via its effector domain. Interacts with PLXNB1. Probably found in a ternary complex composed of DSCAM, PAK1 and RAC1. Interacts with DSCAM; the interaction requires PAK1. Part of a complex with MAP2K3, MAP3K3, CCM2 and DEF6. Interacts with BAIAP2, BAIAP2L1, CYFIP1/SRA-1 and DEF6. Interacts with Y.pseudotuberculosis YPKA and PLCB2. Interacts with NOXA1. Interacts with ARHGEF2. Interacts with NISCH (By similarity). Interacts with TBC1D2. Interacts with UNKL. Interacts with USP6. Interacts with SPATA13. Interacts with ARHGEF16; mediates activation of RAC1 by EPHA2. Interacts with ITGB4. Interacts with PIP5K1A (By similarity). Subcellular Location: Cell membrane; Lipid-anchor; Cytoplasmic side. Melanosome. Tissue Specificity: Isoform B is predominantly identified in skin and epithelial tissues from the intestinal tract. Its expression is elevated in colorectal tumors at various stages of neoplastic progression, as compared to their respective adjacent tissues. Post-translational modifications: AMPylation at Tyr-32 and Thr-35 are mediated by bacterial enzymes in case of infection by H.somnus and V.parahaemolyticus, respectively. AMPylation occurs in the effector region and leads to inactivation of the GTPase activity by preventing the interaction with downstream effectors, thereby inhibiting actin assembly in infected cells. It is unclear whether some human enzyme mediates AMPylation; FICD has such ability in vitro but additional experiments remain to be done to confirm results in vivo. GTP-bound active form is ubiquitinated by HACE1, leading to its degradation by the proteasome. Similarity: Belongs to the small GTPase superfamily. Rho family. SWISS: P63000 Gene ID: 5880 Database links: Entrez Gene: 5879 Human Entrez Gene: 5880 Human Entrez Gene: 19353 Mouse Entrez Gene: 19354 Mouse Entrez Gene: 363875 Rat Entrez Gene: 366957 Rat Omim: 602048 Human Omim: 602049 Human SwissProt: P15153 Human SwissProt: P63000 Human SwissProt: P63001 Mouse SwissProt: Q05144 Mouse SwissProt: Q6RUV5 Rat Important Note: This product as supplied is intended for research use only, not for use in human, therapeutic or diagnostic applications. |
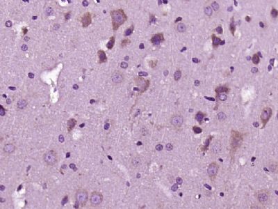
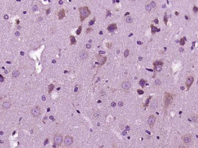
| 产品图片 | ![]() Paraformaldehyde-fixed, paraffin embedded (Rat brain); Antigen retrieval by boiling in sodium citrate buffer (pH6.0) for 15min; Block endogenous peroxidase by 3% hydrogen peroxide for 20 minutes; Blocking buffer (normal goat serum) at 37°C for 30min; Antibody incubation with (RAC1 + RAC2) Polyclonal Antibody, Unconjugated (bs-6153R) at 1:400 overnight at 4°C, followed by operating according to SP Kit(Rabbit) (sp-0023) instructionsand DAB staining. |
风险提示:丁香通仅作为第三方平台,为商家信息发布提供平台空间。用户咨询产品时请注意保护个人信息及财产安全,合理判断,谨慎选购商品,商家和用户对交易行为负责。对于医疗器械类产品,请先查证核实企业经营资质和医疗器械产品注册证情况。
文献和实验antibody 进行Western blot. 有人使用这个试剂盒对贴壁细胞(人动脉内皮细胞,鼠动脉平滑肌细胞)、非贴壁细胞(鼠的淋巴细胞)、以及整个组织样本(猪的心). 试剂盒对贴壁细胞和非贴壁细胞的说明非常清楚,但是对在组织中的使用却并不明确. 下面是在一篇文章中的实际应用 Pull-Down Assay for GTP-Rac1 HCE cells 在铺设了fibronectin和加或不加BSA 的100-mm dishes培养45分钟,在 0.5 mL of a solution中裂解
Assessment of the Role for Rho Family GTPases in NADPH Oxidase Activation
1, Rac facilitates superoxide production by Nox3, which is responsible in the inner ear for formation of otoconia, tiny mineralized structures that are required for sensing balance and gravity. All the three mammalian homologs of Rac (Rac1, Rac2, and Rac
, GAB2, GNG2, GRB2, HRAS, INDO, KRAS2, KSR, MADH1, MADH2, MADH3, MADH4, MADH5, MADH6, MADH7, MADH9, MAPK8IP1, MCM5, MIZ1, NRAS, OSM, PAK1, PAK3, PIAS1, PIAS3, PIASY, PIM1, PREX1, PTPN1, PTPNS1, PTPRC, RAC1, RAC2, SOCS1, SOCS2, SOCS3, SOCS4, SOCS5, SOCS
技术资料暂无技术资料 索取技术资料











