相关产品推荐更多 >

Connexin 31.1 Rabbit pAb, Biotin conjugated(bs-13734R-Bio)-100ul
¥2980
FABP3/H-FABP Rabbit pAb(bs-11283R)-50ul/100ul/200ul
¥1180
phospho-OXSR1 (Thr185) Rabbit pAb(bs-17580R)-50ul/100ul/200ul
¥1180
DYX1C1 Rabbit pAb(bs-13043R)-50ul/100ul/200ul
¥1180
StAR Rabbit pAb, RBITC conjugated(bs-20388R-RBITC)-100ul
¥2980
万千商家帮你免费找货
0 人在求购买到急需产品
- 详细信息
- 文献和实验
- 技术资料
- 应用范围:
产品信息以Bioss网站为准
- 规格:
50ul/100ul/200ul
| 规格: | 50ul | 产品价格: | ¥1180.0 |
|---|---|---|---|
| 规格: | 100ul | 产品价格: | ¥1980.0 |
| 规格: | 200ul | 产品价格: | ¥2800.0 |
| 产品编号 | bs-0201R |
| 英文名称 | GDNFRA Rabbit pAb |
| 中文名称 | GDNF家族受体α-1抗体 |
| 英文别名 | GDNF Receptor alpha 1; GFRa-1; GFR alpha; GDNFR alpha; TmR1; GFR alpha-1; RETL1; RET ligand 1; TGF-beta related neurotrophic factor receptor-1; AU042498; DKFZp313E1012; DKFZp686J0156; FLJ10561; FLJ31546; GDNFR; Gdnfr alpha; GFR-ALPHA-1; GFRA1; GRFA1; LOC143381; MGC23045; Ret; RET1L; RETL1; TRNR1; GFRA1_HUMAN; GDNF family receptor alpha-1; GDNF receptor alpha-1; GDNFR-alpha-1; TGF-beta-related neurotrophic factor receptor 1. |
| 中文别名 | TGF-β related neurotrophic factor receptor-1; |
| 产品应用 | WB=1:500-2000, IHC-P=1:100-500, IHC-F=1:100-500, IF=1:100-500 Not yet tested in other applications. |
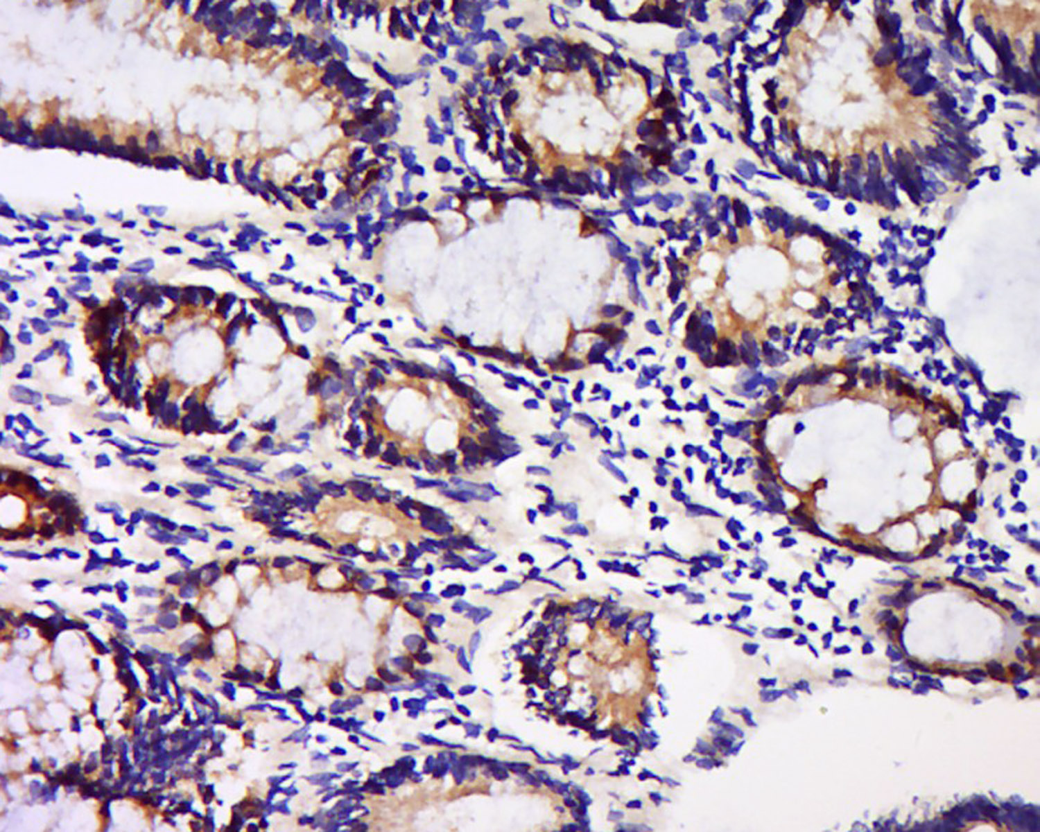
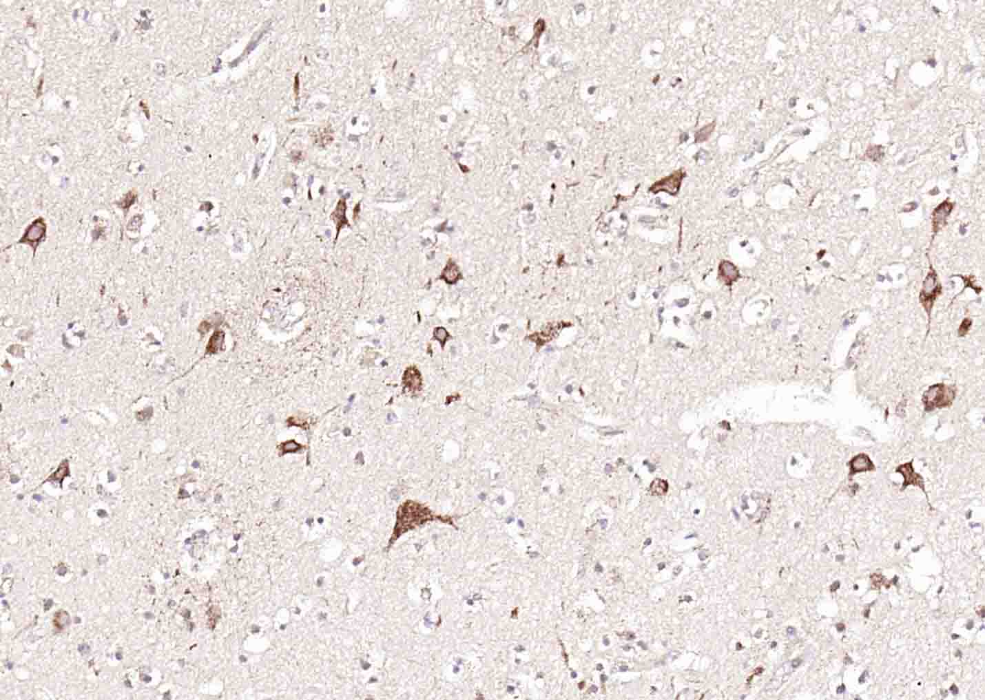
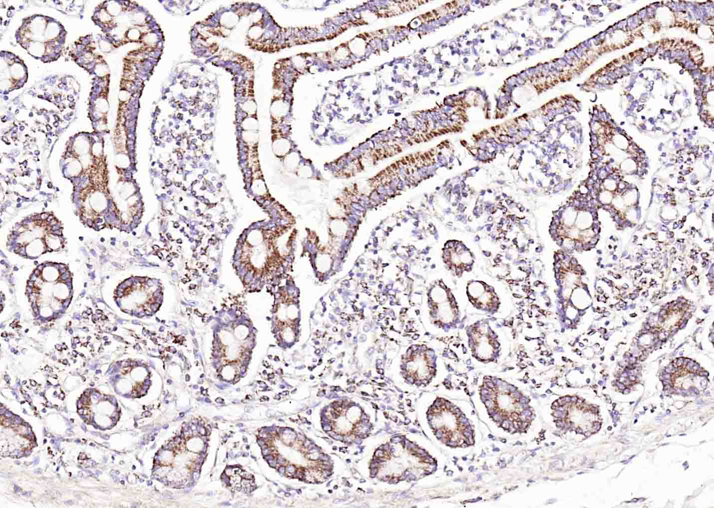
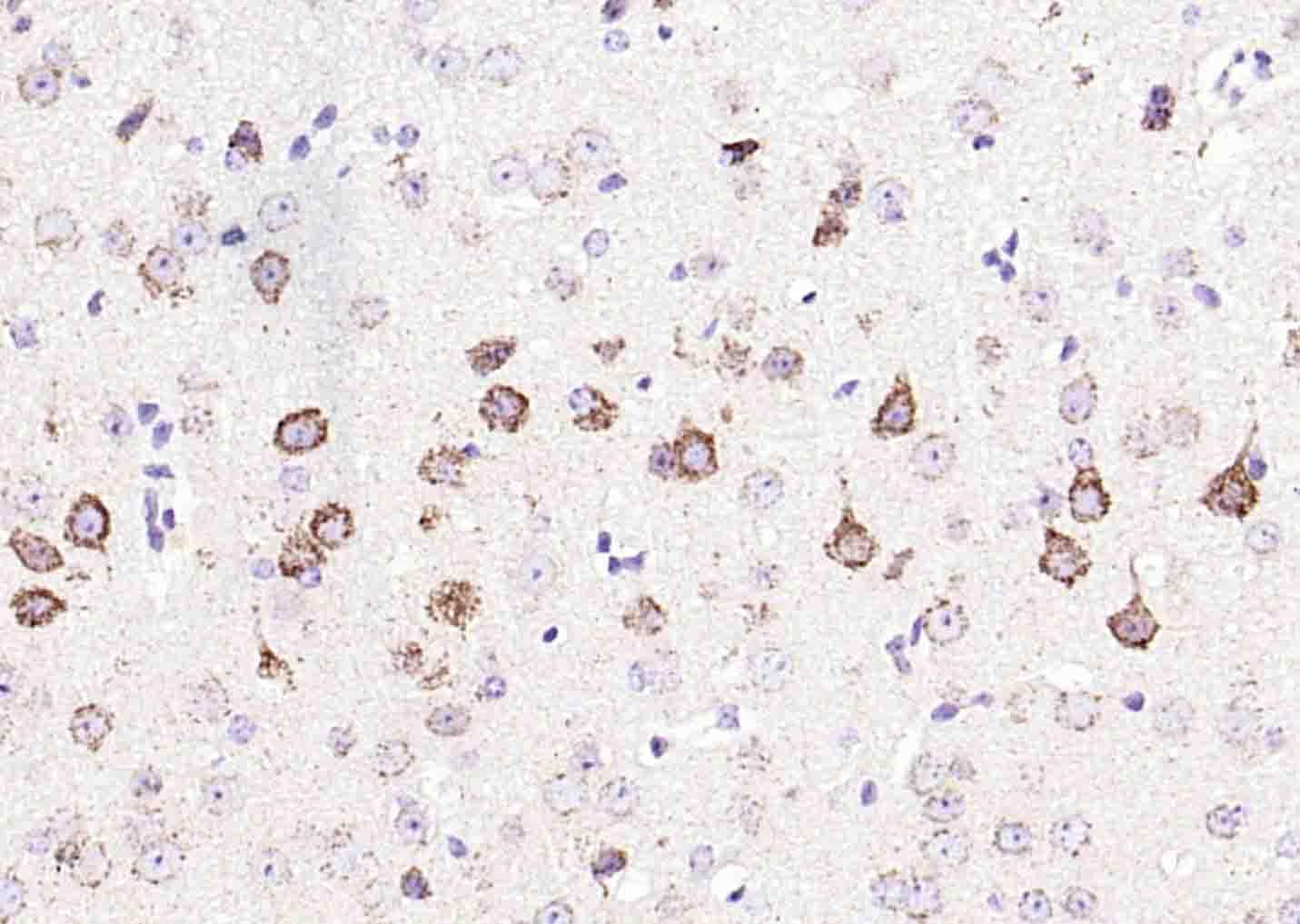
| 交叉反应 | Human, Mouse, Rat, Cerebrum, Human duodenum, Human duodenum (Dog, Pig, Cow, Horse) |
| 抗体来源 | Rabbit |
| 免疫原 | KLH conjugated synthetic peptide derived from human GFR Alpha-1 |
| 亚型 | IgG |
| 性状 | Liquid |
| 纯化方法 | affinity purified by Protein A |
| 克隆类型 | Polyclonal |
| 理论分子量 | 44 kDa |
| 浓度 | 1mg/ml |
| 储存液 | 0.01M TBS (pH7.4) with 1% BSA, 0.02% Proclin300 and 50% Glycerol. |
| 研究领域 | Neuroscience > Neurology process > Growth and Development > Neurotrophins |
| 亚基 | 2 molecules of GDNFR-alpha are thought to form a complex with the disulfide-linked GDNF dimer and with 2 molecules of RET. |
| 亚细胞定位 | Cell membrane; Lipid-anchor, GPI-anchor. |
| 相似性 | Belongs to the GDNFR family. |
| 功能 | Receptor for GDNF. Mediates the GDNF-induced autophosphorylation and activation of the RET receptor. |
| 保存条件 | Shipped at 4℃. Store at -20℃ for one year. Avoid repeated freeze/thaw cycles. |
| 注意事项 | This product as supplied is intended for research use only, not for use in human, therapeutic or diagnostic applications. |
| 背景资料 | Glial cell line-derived neurotrophic factor (GDNF) and neurturin (NTN) are two structurally related, potent neurotrophic factors that play key roles in the control of neuron survival and differentiation. The protein encoded by this gene is a member of the GDNF receptor family. It is a glycosylphosphatidylinositol(GPI)-linked cell surface receptor for both GDNF and NTN, and mediates activation of the RET tyrosine kinase receptor. This gene is a candidate gene for Hirschsprung disease. Multiple alternatively spliced transcript variants have been described for this gene. [provided by RefSeq] |
| 应用 | 推荐稀释比例 |
| {WB} | {1:500-2000} |
| {IHC-P} | {1:100-500} |
| {IHC-F} | {1:100-500} |
| {IF} | {1:100-500} |

Antigen retrieval: citrate buffer ( 0.01M, pH 6.0 ), Boiling bathing for 15min; Block endogenous peroxidase by 3% Hydrogen peroxide for 30min; Blocking buffer (normal goat serum,C-0005) at 37℃ for 20 min;
Incubation: Anti-GDNFRA Polyclonal Antibody, Unconjugated(bs-0201R) 1:200, overnight at 4°C, followed by conjugation to the secondary antibody(SP-0023) and DAB(C-0010) staining




Lane 1: Mouse Cerebrum tissue lysates
Lane 2: Mouse Testis tissue lysates
Lane 3: Rat Cerebrum tissue lysates
Primary: Anti-GDNFRA (bs-0201R) at 1/1000 dilution
Secondary: IRDye800CW Goat Anti-Rabbit IgG at 1/20000 dilution
Predicted band size: 44 kDa
Observed band size: 47 kDa

Lane 1: Human HeLa cell lysates
Lane 2: Human HepG2 cell lysates
Lane 3: Human MOLT4 cell lysates
Lane 4: Human A549 cell lysates
Primary: Anti-GDNFRA (bs-0201R) at 1/1000 dilution
Secondary: IRDye800CW Goat Anti-Rabbit IgG at 1/20000 dilution
Predicted band size: 44 kDa
Observed band size: 47 kDa
风险提示:丁香通仅作为第三方平台,为商家信息发布提供平台空间。用户咨询产品时请注意保护个人信息及财产安全,合理判断,谨慎选购商品,商家和用户对交易行为负责。对于医疗器械类产品,请先查证核实企业经营资质和医疗器械产品注册证情况。
文献和实验[IF={{ 5.432 }}] {Lin Liu. et al. Aberrantly expressed GFRα-1/RET in patients with lacrimal adenoid cystic carcinoma is associated with high recurrence risk: a retrospective study of 51 LACC cases. Cancer Biol Med. 2021 Feb 15; 18(1): 199–205} {IHC} {Human}
[IF={{ 5.23 }}] {Ma, Fanglin, et al. "Lin28a promotes self-renewal and proliferation of dairy goat spermatogonial stem cells (SSCs) through regulation of mTOR and PI3K/AKT." Scientific Reports 6 (2016): 38805.} {ICC} {="Goat"}
[IF={{ 40.8 }}] {Chao Liu. et al.Molecular classification of hormone receptor-positive /HER2-positive breast cancer reveals potential neoadjuvant therapeutic strategies..Signal Transduction and Targeted Therapy.2025 Mar 26;10(1):97.} {IHC} {Human}
= NAL), appears to form upon oxidative cyclization of the nonfluorescent 2:1 lysine-HNE Michael adduct-Schiff base cross-link (Scheme 1). Polyclonal antibody (PAb) to the NAL-HNE fluorophore was raised in rabbit and found to be highly specific
/96T 2000/3000 进口分装 F0021 骨成型蛋白-9(BMP-9) ELISA 48T/96T 2000/3000 进口分装 F0022 BMP-R1A ELISA 48T/96T 2000/3000 进口分装 F0023 BMP-R2 ELISA 48T/96T 2000/3000 进口分装 F0024 BTC ELISA 48T/96T 2000/3100 进口分装 F0030 CAE-Ab ELISA 96
/96T 2000/3000 进口分装 F0021 骨成型蛋白-9(BMP-9) ELISA 48T/96T 2000/3000 进口分装 F0022 BMP-R1A ELISA 48T/96T 2000/3000 进口分装 F0023 BMP-R2 ELISA 48T/96T 2000/3000 进口分装 F0024 BTC ELISA 48T/96T 2000/3100 进口分装 F0030 CAE-Ab ELISA 96
技术资料暂无技术资料 索取技术资料





