相关产品推荐更多 >

HIV2 gp41 + gp160 Rabbit pAb(bs-10481R)-50ul/100ul/200ul
¥1180
Anti-CD3 & TPBG Reference Antibody (Gen1044 Biosimilar)(BIO0986SM)-100ug/1mg/5mg
¥2160
phospho-eNOS (Ser117) Rabbit pAb(bs-13072R)-50ul/100ul/200ul
¥1180
TYMS Recombinant Rabbit mAb(bsm-60680R)-50ul/100ul/25ul
¥800
E2F1 Rabbit pAb, BF647 conjugated(bs-0599R-BF647)-100ul
¥2980
万千商家帮你免费找货
0 人在求购买到急需产品
- 详细信息
- 文献和实验
- 技术资料
- 应用范围:
产品信息以Bioss网站为准
- 规格:
50ul/100ul/200ul
| 规格: | 50ul | 产品价格: | ¥1180.0 |
|---|---|---|---|
| 规格: | 100ul | 产品价格: | ¥1980.0 |
| 规格: | 200ul | 产品价格: | ¥2800.0 |
| 产品编号 | bs-0764R |
| 英文名称 | CCK8 Rabbit pAb |
| 中文名称 | 胆囊收缩素8抗体 |
| 英文别名 | CCK 8; CCK; CCK8; CCK-8; Cholecystokinin 8; Cholecystokinin; Cholecystokinin preproprotein; Cholecystokinin8; Cholecystokinins precursor; MGC117187; Procholecystokinin precursor; CCKN_HUMAN. |
| 产品应用 | IHC-P=1:100-500, IHC-F=1:100-500, IF=1:100-500 Not yet tested in other applications. |
| 交叉反应 | Mouse, Rat (Human, Chicken, Pig, Cow) |
| 抗体来源 | Rabbit |
| 免疫原 | KLH conjugated synthetic peptide derived from human CCK8 |
| 亚型 | IgG |
| 性状 | Liquid |
| 纯化方法 | affinity purified by Protein A |
| 克隆类型 | Polyclonal |
| 理论分子量 | 12.6 kDa |
| 浓度 | 1mg/ml |
| 储存液 | 0.01M TBS (pH7.4) with 1% BSA, 0.02% Proclin300 and 50% Glycerol. |
| 研究领域 | Metabolism > Types of disease > Obesity Signal Transduction > Growth Factors/Hormones > Hormones |
| 亚基 | Binds to CCK-A receptors in the pancreas and CCK-B receptors in the brain. |
| 亚细胞定位 | Secreted. |
| 组织特异性 | The shortest form (CCK8) is predominantly found in the brain, whereas the larger ones are found in the intestine. |
| 翻译后修饰 | The precursor is cleaved by proteases to produce a number of active cholecystokinins. |
| 相似性 | Belongs to the gastrin/cholecystokinin family. |
| 功能 | Cholecystokinin (CCK) is one of the most important hormone regulators of the digestive process. The peptide is concentrated in the proximal small intestine (CCK cells) and is secreted into the blood in response to the ingestion of proteins and fats, where its actions include the stimulation of pancreatic secretion, the modulation of insulin output, the regulation of gastric emptying, and gallbladder contraction. In the central nervous system CCKergic fibres are widespread, being particularly abundant in the cerebral cortex. In some mesolimbic neurons projecting to the nucleus accumbens, CCK is colocalised with dopamine and it has been suggested that CCK might facilitate the function of dopamine in events such as stimulusreward associative behaviour. Secretion of CCK from the murine tumour cell line STC1 has been shown to be stimulated by pituitary adenylate cyclase activating protein (PACAP) and has raised the possibility that PACAP may function as a neuromodulator of CCK release from gut endocrine cells in vivo. |
| 保存条件 | Shipped at 4℃. Store at -20℃ for one year. Avoid repeated freeze/thaw cycles. |
| 注意事项 | This product as supplied is intended for research use only, not for use in human, therapeutic or diagnostic applications. |
| 背景资料 | Cholecystokinin is a brain/gut peptide. In the gut, it induces the release of pancreatic enzymes and the contraction of the gallbladder. In the brain, its physiologic role is unclear. The cholecystokinin pro-hormone is processed by endo- and exo-proteolytic cleavages. Two transcript variants encoding the same protein have been found for this gene. [provided by RefSeq, Mar 2010]. |
| 应用 | 推荐稀释比例 |
| {IHC-P} | {1:100-500} |
| {IHC-F} | {1:100-500} |
| {IF} | {1:100-500} |



风险提示:丁香通仅作为第三方平台,为商家信息发布提供平台空间。用户咨询产品时请注意保护个人信息及财产安全,合理判断,谨慎选购商品,商家和用户对交易行为负责。对于医疗器械类产品,请先查证核实企业经营资质和医疗器械产品注册证情况。
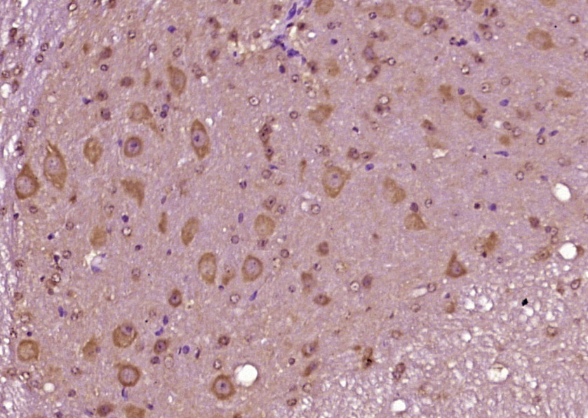
文献和实验[IF={{ 11.685 }}] {Kristine Elisabeth Eberhard. et al. Neurotransmitter and Neurotransmitter Receptor Expression in the Saccule of the Human Vestibular System. Prog Neurobiol. 2022 Jan;:102238} {IHC} {Human}
[IF={{ 1.52 }}] {Liang Q et al. Evaluation of a modified rat model for functional dyspepsia.Saudi J Gastroenterol. 2018 Jul-Aug;24(4):228-235.} {IHC} {Rat}
= NAL), appears to form upon oxidative cyclization of the nonfluorescent 2:1 lysine-HNE Michael adduct-Schiff base cross-link (Scheme 1). Polyclonal antibody (PAb) to the NAL-HNE fluorophore was raised in rabbit and found to be highly specific
GE Healthcare Benzamidine Sepharose™ 6B is p-aminobenzamidine covalently attached to Sepharose 6B by the epoxy coupling method. p-Aminobenzamidine (PAB), is a synthetic inhibitor of trypsin-like serine protease. Trypsin and trypsin
Nucleic Acid Programmable Protein Arrays: Versatile Tools for Array‐Based Functional Protein Studies
.g., Sigma) 50 mg/ml bis‐sulfosuccinimdylsuberate (BS3 ;Pierce, cat. no. PI 21580) in dimethylsulfoxide (DMSO) 5 mg/ml
技术资料暂无技术资料 索取技术资料






