相关产品推荐更多 >
万千商家帮你免费找货
0 人在求购买到急需产品
- 详细信息
- 文献和实验
- 技术资料
- 供应商:
上海康朗生物科技有限公司
- 库存:
大量
- 目录编号:
kl-4975R
- 克隆性:
多克隆
- 抗原来源:
Rabbit
- 保质期:
12个月
- 抗体英文名:
CCK8 antibody
- 抗体名:
胆囊收缩素8抗体
- 宿主:
Rabbit
- 适应物种:
Human, Mouse, Rat, Chicken, Pig, Cow,
- 免疫原:
KLH conjugated synthetic peptide derived from human CCK8:96-103/115
- 亚型:
IgG
- 形态:
冻干粉或液体
- 应用范围:
ELISA=1:500-1000 IHC-P=1:400-800 IHC-F=1:400-800 ICC=1:100-500 IF=1:100-500
- 浓度:
1mg/ml
- 保存条件:
-20 °C
- 规格:
50ul 100ul 200ul
| 中文名称 | 胆囊收缩素8抗体 |
| 别 名 | CCK 8; CCK; CCK8; CCK-8, Cholecystokinin 8; Cholecystokinin;Cholecystokinin preproprotein; Cholecystokinin8; Cholecystokinins precursor; MGC117187; Procholecystokinin precursor. |
| 规格价格 | 50ul/780元 购买 100ul/1380元 购买 200ul/2200元 购买 大包装/询价 |
| 说 明 书 | 50ul 100ul 200ul |
| 研究领域 | 信号转导 生长因子和激素 内分泌病 新陈代谢 |
| 抗体来源 | Rabbit |
| 克隆类型 | Polyclonal |
| 交叉反应 | Human, Mouse, Rat, Chicken, Pig, Cow, |
| 产品应用 | ELISA=1:500-1000 IHC-P=1:400-800 IHC-F=1:400-800 ICC=1:100-500 IF=1:100-500 (石蜡切片需做抗原修复) not yet tested in other applications. optimal dilutions/concentrations should be determined by the end user. |
| 分 子 量 | 12.6kDa |
| 细胞定位 | 分泌型蛋白 |
| 性 状 | Lyophilized or Liquid |
| 浓 度 | 1mg/ml |
| 免 疫 原 | KLH conjugated synthetic peptide derived from human CCK8:96-103/115 |
| 亚 型 | IgG |
| 纯化方法 | affinity purified by Protein A |
| 储 存 液 | 0.01M TBS(pH7.4) with 1% BSA, 0.03% Proclin300 and 50% Glycerol. |
| 保存条件 | Store at -20 °C for one year. Avoid repeated freeze/thaw cycles. The lyophilized antibody is stable at room temperature for at least one month and for greater than a year when kept at -20°C. When reconstituted in sterile pH 7.4 0.01M PBS or diluent of antibody the antibody is stable for at least two weeks at 2-4 °C. |
| PubMed | PubMed |
| 产品介绍 | background: Cholecystokinin is a brain/gut peptide. In the gut, it induces the release of pancreatic enzymes and the contraction of the gallbladder. In the brain, its physiologic role is unclear. The cholecystokinin pro-hormone is processed by endo- and exo-proteolytic cleavages. Two transcript variants encoding the same protein have been found for this gene. [provided by RefSeq, Mar 2010]. Function: Cholecystokinin (CCK) is one of the most important hormone regulators of the digestive process. The peptide is concentrated in the proximal small intestine (CCK cells) and is secreted into the blood in response to the ingestion of proteins and fats, where its actions include the stimulation of pancreatic secretion, the modulation of insulin output, the regulation of gastric emptying, and gallbladder contraction. In the central nervous system CCKergic fibres are widespread, being particularly abundant in the cerebral cortex. In some mesolimbic neurons projecting to the nucleus accumbens, CCK is colocalised with dopamine and it has been suggested that CCK might facilitate the function of dopamine in events such as stimulusreward associative behaviour. Secretion of CCK from the murine tumour cell line STC1 has been shown to be stimulated by pituitary adenylate cyclase activating protein (PACAP) and has raised the possibility that PACAP may function as a neuromodulator of CCK release from gut endocrine cells in vivo. Subunit: Binds to CCK-A receptors in the pancreas and CCK-B receptors in the brain. Subcellular Location: Secreted. Tissue Specificity: The shortest form (CCK8) is predominantly found in the brain, whereas the larger ones are found in the intestine. Similarity: Belongs to the gastrin/cholecystokinin family. SWISS: P06307 Gene ID: 855 Database links: Entrez Gene: 885 Human Omim: 118440 Human SwissProt: P06307 Human Important Note: This product as supplied is intended for research use only, not for use in human, therapeutic or diagnostic applications. |
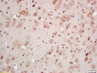
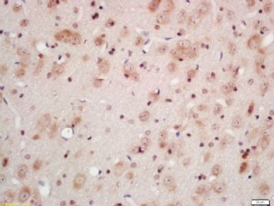
| 产品图片 | ![]() Tissue/cell: rat brain tissue; 4% Paraformaldehyde-fixed and paraffin-embedded; Antigen retrieval: citrate buffer ( 0.01M, pH 6.0 ), Boiling bathing for 15min; Block endogenous peroxidase by 3% Hydrogen peroxide for 30min; Blocking buffer (normal goat serum,C-0005) at 37℃ for 20 min; Incubation: Anti-CCK8 Polyclonal Antibody, Unconjugated(bs-4975R) 1:200, overnight at 4°C, followed by conjugation to the secondary antibody(SP-0023) and DAB(C-0010) staining |
风险提示:丁香通仅作为第三方平台,为商家信息发布提供平台空间。用户咨询产品时请注意保护个人信息及财产安全,合理判断,谨慎选购商品,商家和用户对交易行为负责。对于医疗器械类产品,请先查证核实企业经营资质和医疗器械产品注册证情况。
文献和实验写在前面: 一直都像个新手,从未老道过。所有新手的迷茫与无奈我最能体会。看到园子里有一些同学在问有关CCK8试验的事情,当初我也和他们一样,像个被蜘蛛丝缠住头的迷茫苍蝇一头扎进园子里,期待能找到些解决谜团的只言片语。希望我写的这些非专业文字能够帮助那些在实验室里没有前行者指点迷津的筒子们。当然仁者见仁智者见智,我写的只是个人实验心得,仅供参考。欢迎大家拍砖共同进步。实验是简单的,道路是曲折的,时间就是用来浪费的,科研就是自娱自乐使劲折腾。 我没有做过MTT实验,但其实原理及目的都是
一直都像个新手,从未老道过。所有新手的迷茫与无奈我最能体会。看到园子里有一些同学在问有关CCK8试验的事情,当初我也和他们一样,像个被蜘蛛丝缠住头的迷茫苍蝇一头扎进园子里,期待能找到些解决谜团的只言片语。希望我写的这些非专业文字能够帮助那些在实验室里没有前行者指点迷津的筒子们。当然仁者见仁智者见智,我写的只是个人实验心得,仅供参考。欢迎大家拍砖共同进步。实验是简单的,道路是曲折的,时间就是用来浪费的,科研就是自娱自乐使劲折腾。 我没有做过MTT实验,但其实原理及目的都是一样的(反应
Generation of Antibody Molecules Through Antibody Engineering
been overcome to a large extent using genetic-engineering techniques to produce chimeric mouse/human and completely human antibodies. Such an approach is particularly suitable because of the domain structure of the antibody molecule ( 2 ), where functional
技术资料暂无技术资料 索取技术资料










