相关产品推荐更多 >

phospho-NPM (Thr95) Rabbit pAb, HRP conjugated(bs-3309R-HRP)-100ul
¥2980
CD62p Recombinant Rabbit mAb(bsm-56209R)-50ul/100ul/25ul
¥800
PDGFRA Rabbit pAb, PE-Cy7 conjugated(bs-0231R-PE-Cy7)-100ul
¥2980
JNK1 Recombinant Rabbit mAb(bsm-61084R)-50ul/100ul/25ul
¥800
FGF2 Recombinant Rabbit mAb(bsm-34016R)-50ul/100ul
¥1400
万千商家帮你免费找货
0 人在求购买到急需产品
- 详细信息
- 文献和实验
- 技术资料
- 应用范围:
产品信息以Bioss网站为准
- 规格:
50ul/100ul/200ul
| 规格: | 50ul | 产品价格: | ¥1180.0 |
|---|---|---|---|
| 规格: | 100ul | 产品价格: | ¥1980.0 |
| 规格: | 200ul | 产品价格: | ¥2800.0 |
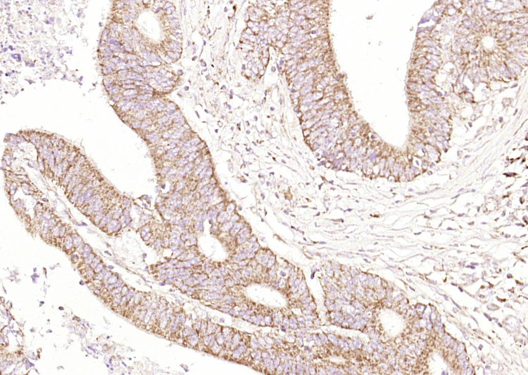
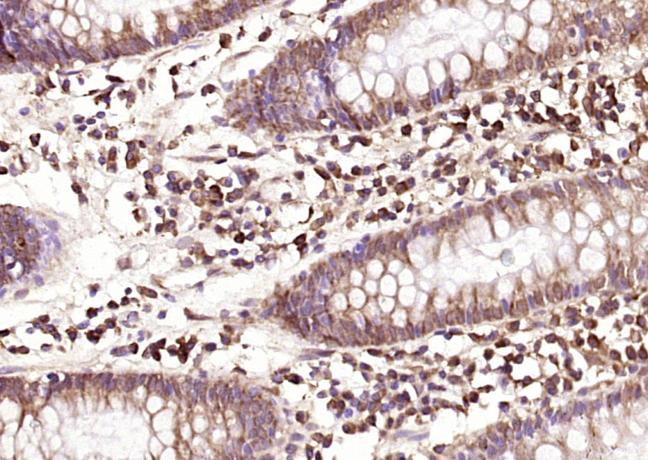
| 产品编号 | bs-0744R |
| 英文名称 | CEAcam8 Rabbit pAb |
| 中文名称 | 癌胚抗原相关细胞粘附分子8抗体 |
| 英文别名 | Carcinoembryonic Antigen CGM6; Carcinoembryonic antigen gene family member 6; Carcinoembryonic Antigen Related Cell Adhesion Molecule 8; CD 66b; CD 67; CD66b antigen; CD67; CD67 antigen; CEACAM 8; CEACAM8; CGM 6; CGM6; NCA 95; NCA95; Nonspecific cross reacting antigen NCA 95; Non-specific-reacting antigen NCA-95; Nonspecific cross reacting antigen NCA95; CEAM8_HUMAN; Carcinoembryonic antigen-related cell adhesion molecule 8; CD66b. |
| 产品应用 | IHC-P=1:100-500, IHC-F=1:100-500, IF=1:100-500, Flow-Cyt=1ug/Test Not yet tested in other applications. |
| 交叉反应 | Human |
| 抗体来源 | Rabbit |
| 免疫原 | KLH conjugated synthetic peptide derived from human CEAcam8 |
| 亚型 | IgG |
| 性状 | Liquid |
| 纯化方法 | affinity purified by Protein A |
| 克隆类型 | Polyclonal |
| 理论分子量 | 38 kDa |
| 浓度 | 1mg/ml |
| 储存液 | 0.01M TBS (pH7.4) with 1% BSA, 0.02% Proclin300 and 50% Glycerol. |
| 亚细胞定位 | Cell membrane; Lipid-anchor, GPI-anchor. |
| 组织特异性 | Expressed in leukocytes of chronic myeloid Leukemia patients and bone marrow. |
| 相似性 | Belongs to the immunoglobulin superfamily. CEA family.
Contains 2 Ig-like C2-type (immunoglobulin-like) domains. Contains 1 Ig-like V-type (immunoglobulin-like) domain. |
| 保存条件 | Shipped at 4℃. Store at -20℃ for one year. Avoid repeated freeze/thaw cycles. |
| 注意事项 | This product as supplied is intended for research use only, not for use in human, therapeutic or diagnostic applications. |
| 背景资料 | Carcinoembryonic antigen-related cell adhesion molecule 8 (CEACAM8) is a highly glycosylated protein expressed only in neutrophils and eosinophils in humans. The precise function of CEACAM8 remains unclear. As a member of the family of carcinoembryonic antigen (CEA), it may play a role in the interaction between granulocytes or between granulocytes and epithelial cells. Expressed in leukocytes of chronic myeloid Leukemia patients and bone marrow. |
| 应用 | 推荐稀释比例 |
| {IHC-P} | {1:100-500} |
| {IHC-F} | {1:100-500} |
| {IF} | {1:100-500} |
| {Flow-Cyt} | {1ug/Test} |


风险提示:丁香通仅作为第三方平台,为商家信息发布提供平台空间。用户咨询产品时请注意保护个人信息及财产安全,合理判断,谨慎选购商品,商家和用户对交易行为负责。对于医疗器械类产品,请先查证核实企业经营资质和医疗器械产品注册证情况。
文献和实验[IF={{ 8.537 }}] {Zhan et al. Optimization of optical excitation of upconversion nanoparticles for rapid microscopy and deeper tissue imaging with higher quantum yield. (2013) Theranostics. 3:306-16} {Other} {Human}
[IF={{ 12.2 }}] {Fangfang Chen. et al. Fusobacterium nucleatum-driven CX3CR1+ PD-L1+ phagocytes route to tumor tissues and reshape tumor microenvironment. GUT MICROBES. 2024 Dec 22} {IF} {Human}
= NAL), appears to form upon oxidative cyclization of the nonfluorescent 2:1 lysine-HNE Michael adduct-Schiff base cross-link (Scheme 1). Polyclonal antibody (PAb) to the NAL-HNE fluorophore was raised in rabbit and found to be highly specific
GE Healthcare Benzamidine Sepharose™ 6B is p-aminobenzamidine covalently attached to Sepharose 6B by the epoxy coupling method. p-Aminobenzamidine (PAB), is a synthetic inhibitor of trypsin-like serine protease. Trypsin and trypsin
Nucleic Acid Programmable Protein Arrays: Versatile Tools for Array‐Based Functional Protein Studies
.g., Sigma) 50 mg/ml bis‐sulfosuccinimdylsuberate (BS3 ;Pierce, cat. no. PI 21580) in dimethylsulfoxide (DMSO) 5 mg/ml
技术资料暂无技术资料 索取技术资料





