相关产品推荐更多 >

Caspase-1 p20 Rabbit pAb, BF680 conjugated(bs-10442R-BF680)-100ul
¥2980
RUVBL1 Rabbit pAb, Biotin conjugated(bs-19936R-Bio)-100ul
¥2980
Vimentin Rabbit pAb, AP conjugated(bs-8533R-AP)-100ul
¥2980
KDM1/LSD1 Rabbit pAb, BF405 conjugated(bs-10166R-BF405)-100ul
¥2980
HSP70 Rabbit pAb, PE-Cy5.5 conjugated(bs-0126R-PE-Cy5.5)-100ul
¥2980
万千商家帮你免费找货
0 人在求购买到急需产品
- 详细信息
- 文献和实验
- 技术资料
- 应用范围:
产品信息以Bioss网站为准
- 规格:
50ul/100ul/200ul
| 规格: | 50ul | 产品价格: | ¥1180.0 |
|---|---|---|---|
| 规格: | 100ul | 产品价格: | ¥1980.0 |
| 规格: | 200ul | 产品价格: | ¥2800.0 |
| 产品编号 | bs-1475R |
| 英文名称 | Gremlin Rabbit pAb |
| 中文名称 | 骨形态形成蛋白拮抗蛋白抗体 |
| 英文别名 | CKTSF1B1; GREMLIN-1; GREMLIN 1; GREMLIN1; Cysteine knot superfamily BMP antagonist 1; DAND2; DRM; GREMLIN; Gremlin1; Gremlin 1; Gremlin-1; IHG2; PIG2; proliferation inducing gene 2 protein. |
| 产品应用 | WB=1:500-2000, IHC-P=1:100-500, IHC-F=1:100-500, IF=1:100-500 Not yet tested in other applications. |
| 交叉反应 | Human, Mouse, Rat (Chicken, Dog, Cow, Horse, Rabbit) |
| 抗体来源 | Rabbit |
| 免疫原 | KLH conjugated synthetic peptide derived from human gremlin |
| 亚型 | IgG |
| 性状 | Liquid |
| 纯化方法 | affinity purified by Protein A |
| 克隆类型 | Polyclonal |
| 理论分子量 | 21 kDa |
| 浓度 | 1mg/ml |
| 储存液 | 0.01M TBS (pH7.4) with 1% BSA, 0.02% Proclin300 and 50% Glycerol. |
| 亚基 | Interacts with SLIT1 and SLIT2 in a glycosylation-dependent manner. |
| 亚细胞定位 | Secreted. |
| 组织特异性 | Highly expressed in small intestine, fetal brain and colon. Weakly expressed in brain, ovary, prostate, pancreas and skeletal muscle. In brain found in the region localized around the internal capsule in the large subcortical nuclei, including caudate, putamen, substantia nigra, thalamus and subthalamus. Predominantly expressed in normal cells including neurons, astrocytes and fibroblasts. |
| 相似性 | Belongs to the DAN family. Contains 1 CTCK (C-terminal cystine knot-like) domain. |
| 功能 | Cytokine that may play an important role during carcinogenesis and metanephric kidney organogenesis, as a BMP antagonist required for early limb outgrowth and patterning in maintaining the FGF4-SHH feedback loop. Down-regulates the BMP4 signaling in a dose-dependent manner. Acts as inhibitor of monocyte chemotaxis. |
| 保存条件 | Shipped at 4℃. Store at -20℃ for one year. Avoid repeated freeze/thaw cycles. |
| 注意事项 | This product as supplied is intended for research use only, not for use in human, therapeutic or diagnostic applications. |
| 背景资料 | In Xenopus, Gremlin 1 belongs to a novel gene family that act as BMP antagonists in embryonic explants. The human homolog of Gremlin 1(CKTFS1B1) is localized on human chromosome 15q13--> q15. Gremlin 1-specific mRNA is expressed in different human tissues, including brain, ovary, intestine and colon. It has been suggested that down-regulation of Gremlin 1 is associated with tumor progression, and support the hypothesis that human Gremlin 1 may play an important role during both neuroembryological development and carcinogenesis. |
| 应用 | 推荐稀释比例 |
| {WB} | {1:500-2000} |
| {IHC-P} | {1:100-500} |
| {IHC-F} | {1:100-500} |
| {IF} | {1:100-500} |

intestine (Mouse) Lysate at 40 ug
skin (Mouse) Lysate at 40 ug
Primary: Anti-Gremlin (Bs-1475R) at 1/300 dilution
Secondary: IRDye800CW Goat Anti-Rabbit IgG at 1/20000 dilution
Predicted band size: 21 kD
Observed band size: 24 kD

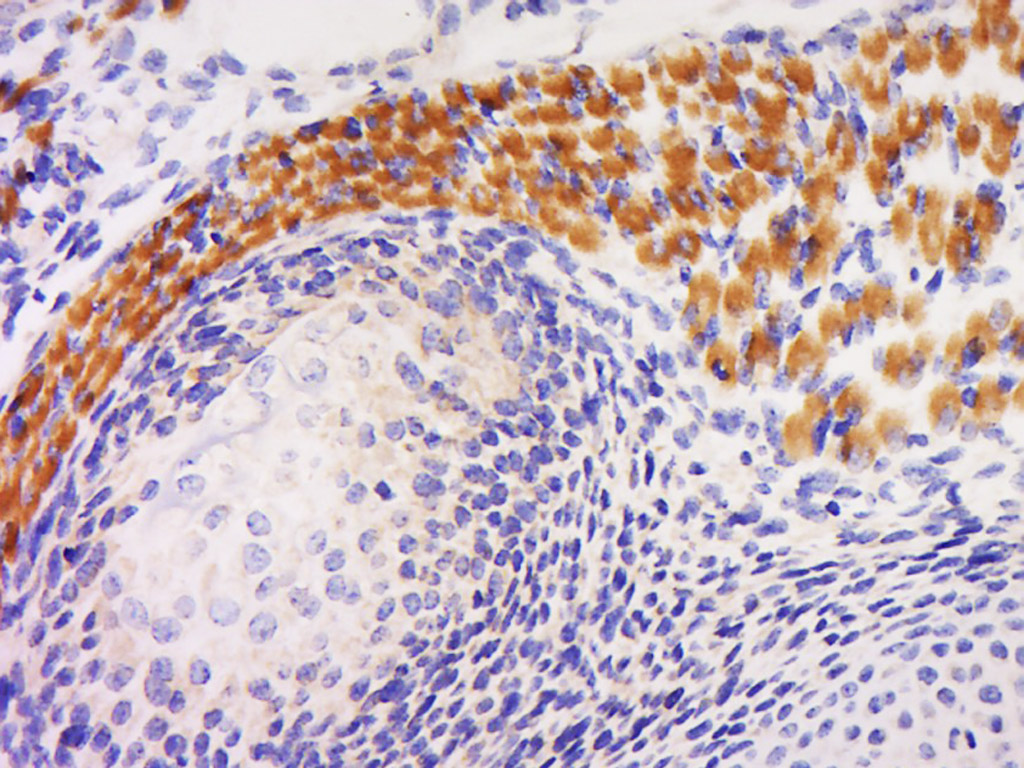
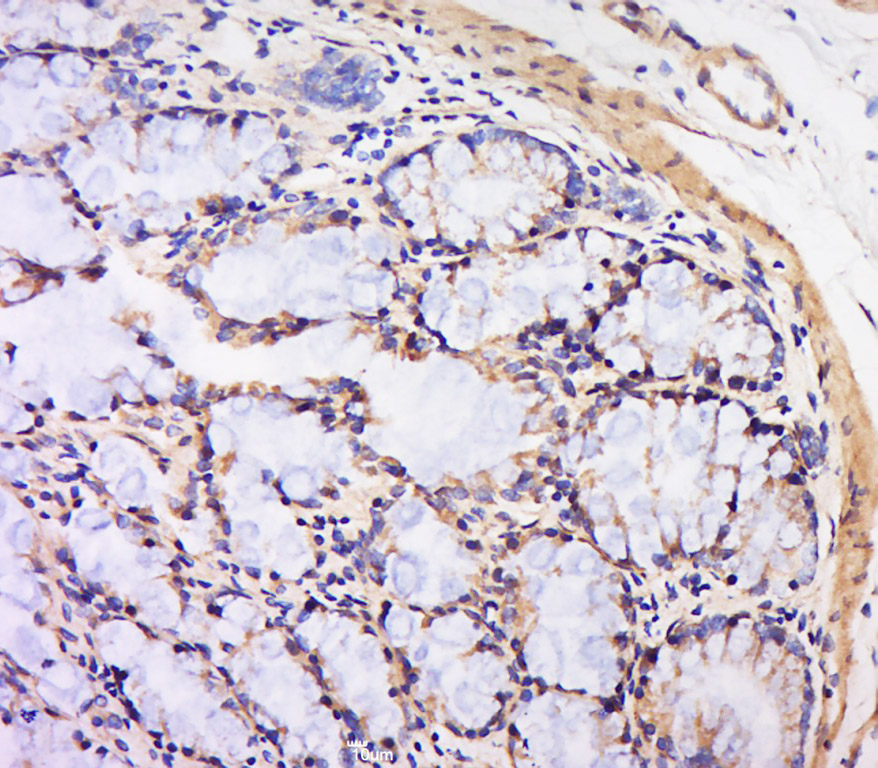
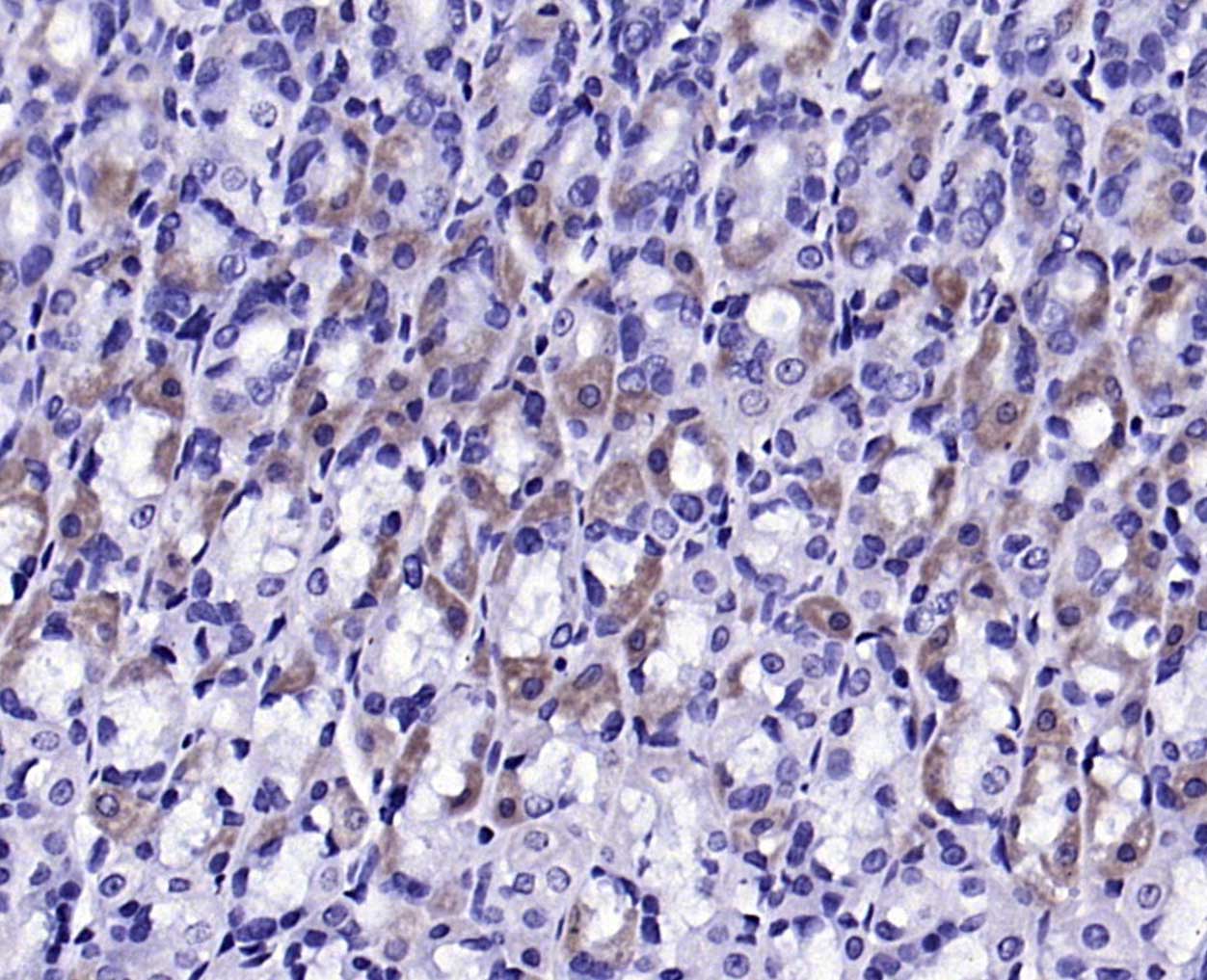
Antigen retrieval: citrate buffer ( 0.01M, pH 6.0 ), Boiling bathing for 15min; Block endogenous peroxidase by 3% Hydrogen peroxide for 30min; Blocking buffer (normal goat serum,C-0005) at 37℃ for 20 min;
Incubation: Anti-Gremlin Polyclonal Antibody, Unconjugated(bs-1475R) 1:200, overnight at 4°C, followed by conjugation to the secondary antibody(SP-0023) and DAB(C-0010) staining


Testis (Mouse) Lysate at 40 ug
Primary: Anti- Gremlin (bs-1475R) at 1/1000 dilution
Secondary: IRDye800CW Goat Anti-Rabbit IgG at 1/20000 dilution
Predicted band size: 21 kD
Observed band size: 21 kD


风险提示:丁香通仅作为第三方平台,为商家信息发布提供平台空间。用户咨询产品时请注意保护个人信息及财产安全,合理判断,谨慎选购商品,商家和用户对交易行为负责。对于医疗器械类产品,请先查证核实企业经营资质和医疗器械产品注册证情况。
文献和实验[IF={{ 4.6 }}] {Takahashi Ikufumi. et al. Histological and immunohistochemical analyses of articular cartilage during onset and progression of pre- and early-stage osteoarthritis in a rodent model. SCI REP-UK. 2024 May;14(1):1-10} {IHC} {Rat}
[IF={{ 3.7 }}] {Wellbrock, Jasmin, et al. "Overexpression of Gremlin-1 in Patients with Loeys-Dietz Syndrome: Implications on Pathophysiology and Early Disease Detection." PLoS one 9.8 (2014): e104742.} {IHC} {="Human"}
[IF={{ 3.3 }}] {Matilda H. C. Sheng. et al.Conditional Deletion of Gremlin-1 in Cathepsin K-expressing Mature Osteoclasts Altered the Skeletal Response to Calcium Depletion in Sex-Dependent Manner.CALCIFIED TISSUE INTERNATIONAL.2025 Jan 9;116(1):28.} {Ihc} {Mouse}
[IF={{ 3 }}] {Xiaoyue Guan. et al. The possible role of Gremlin1 in inflammatory apical periodontitis. ARCH ORAL BIOL. 2023 Nov;:105848} {CoIP,IHC,IF} {Human,Rat}
[IF={{ 2.9 }}] {Xiao-yue Guan. et al. Blocking Gremlin1 inhibits M1 macrophage polarization through Notch1/Hes1 signaling pathway in apical periodontitis. IMMUNOPHARM IMMUNOT. 2024 八月 27} {IHC} {Rat}
= NAL), appears to form upon oxidative cyclization of the nonfluorescent 2:1 lysine-HNE Michael adduct-Schiff base cross-link (Scheme 1). Polyclonal antibody (PAb) to the NAL-HNE fluorophore was raised in rabbit and found to be highly specific
GE Healthcare Benzamidine Sepharose™ 6B is p-aminobenzamidine covalently attached to Sepharose 6B by the epoxy coupling method. p-Aminobenzamidine (PAB), is a synthetic inhibitor of trypsin-like serine protease. Trypsin and trypsin
The Mouse as Model System to Study Host‐Pathogen Interactions in Influenza A Infections
) Secondary antibody (biotin‐labeled rabbit α‐goat IgG H+L, KPL, http://www.kpl.com/) Streptavidin‐HRP (Zytomed Systems
技术资料暂无技术资料 索取技术资料






