相关产品推荐更多 >
万千商家帮你免费找货
0 人在求购买到急需产品
- 详细信息
- 文献和实验
- 技术资料
- 应用范围:
产品信息以Bioss网站为准
- 规格:
50ul/100ul/200ul
| 规格: | 50ul | 产品价格: | ¥1180.0 |
|---|---|---|---|
| 规格: | 100ul | 产品价格: | ¥1980.0 |
| 规格: | 200ul | 产品价格: | ¥2800.0 |
| 产品编号 | bs-1109R |
| 英文名称 | IQGAP1 Rabbit pAb |
| 中文名称 | 支架蛋白抗体 |
| 英文别名 | IQ motif containing GTPase activating protein 1; KIAA0051; p195; Ras GTPase activating like protein 1; IQGA1_HUMAN. |
| 产品应用 | IHC-P=1:100-500, IHC-F=1:100-500, IF=1:100-500, Flow-Cyt=2ug/Test Not yet tested in other applications. |
| 交叉反应 | Human, Rat, Rabbit (Mouse) |
| 抗体来源 | Rabbit |
| 免疫原 | KLH conjugated synthetic peptide derived from human IQGAP1 |
| 亚型 | IgG |
| 性状 | Liquid |
| 纯化方法 | affinity purified by Protein A |
| 克隆类型 | Polyclonal |
| 理论分子量 | 189 kDa |
| 浓度 | 1mg/ml |
| 储存液 | 0.01M TBS (pH7.4) with 1% BSA, 0.02% Proclin300 and 50% Glycerol. |
| 研究领域 | Cancer > Signal transduction Signal Transduction > Adapters > Cytoplasmic Signal Transduction > Signaling Pathway > G Protein Signaling > Small G Proteins > Regulators |
| 亚基 | Interacts with CDC42; the interaction is demonstrated with IQGAP1 in GTP-bound and in nucleotide-free state. Interacts with RAC1. Does not interact with RHOA. Interacts with TSG101. Interacts with PAK6. |
| 亚细胞定位 | Cell membrane. |
| 组织特异性 | Expressed in the placenta, lung, and kidney. A lower level expression is seen in the heart, liver, skeletal muscle and pancreas. |
| 翻译后修饰 | Phosphorylation of Ser-1443 by PKC/PRKCE prevents interaction between C1 and C2, allowing binding of nucleotide-free CDC42. Ser-1443 phosphorylation enhances the ability to promote neurite outgrowth. |
| 相似性 | Contains 1 CH (calponin-homology) domain.
Contains 4 IQ domains. Contains 1 Ras-GAP domain. Contains 1 WW domain. |
| 功能 | Binds to activated CDC42 but does not stimulate its GTPase activity. It associates with calmodulin. Could serve as an assembly scaffold for the organization of a multimolecular complex that would interface incoming signals to the reorganization of the actin cytoskeleton at the plasma membrane. May promote neurite outgrowth. |
| 保存条件 | Shipped at 4℃. Store at -20℃ for one year. Avoid repeated freeze/thaw cycles. |
| 注意事项 | This product as supplied is intended for research use only, not for use in human, therapeutic or diagnostic applications. |
| 背景资料 | IQGAP1 is a widely expressed protein than interacts with components of the cytoskeleton, with cell adhesion molecules, and with several signaling molecules to regulate cell morphology. It binds to activated CDC42 but does not stimulate its GTPase activity. It associates with calmodulin. Could serve as an assembly scaffold for the organization of a multimolecular complex that would interface incoming signals to the reorganization of the actin cytoskeleton at the plasma membrane. May promote neurite outgrowth. |
| 应用 | 推荐稀释比例 |
| {IHC-P} | {1:100-500} |
| {IHC-F} | {1:100-500} |
| {IF} | {1:100-500} |
| {Flow-Cyt} | {2ug/Test} |

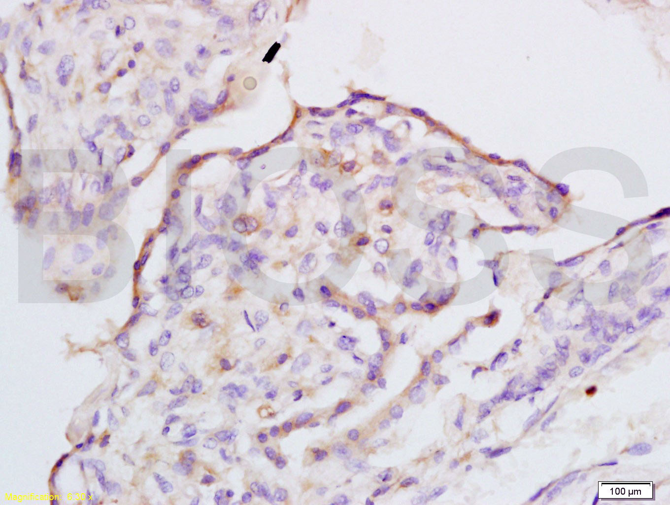
Antigen retrieval: citrate buffer ( 0.01M, pH 6.0 ), Boiling bathing for 15min; Block endogenous peroxidase by 3% Hydrogen peroxide for 30min; Blocking buffer (normal goat serum,C-0005) at 37℃ for 20 min;
Incubation: Anti-IQGAP1 Polyclonal Antibody, Unconjugated(bs-1109R) 1:200, overnight at 4°C, followed by conjugation to the secondary antibody(SP-0023) and DAB(C-0010) staining

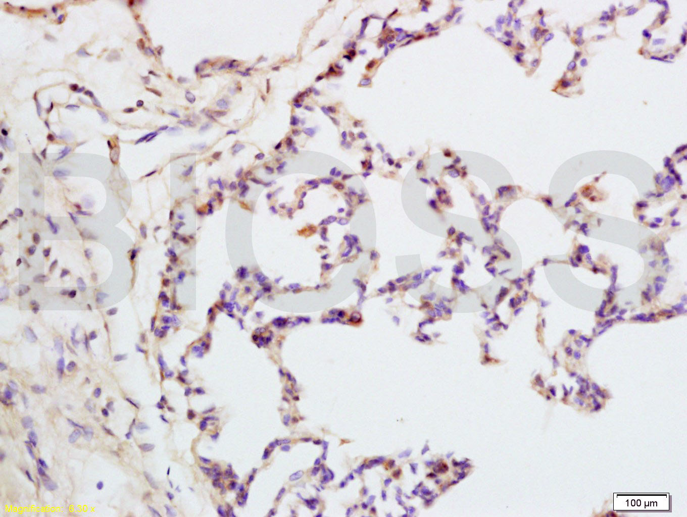
Antigen retrieval: citrate buffer ( 0.01M, pH 6.0 ), Boiling bathing for 15min; Block endogenous peroxidase by 3% Hydrogen peroxide for 30min; Blocking buffer (normal goat serum,C-0005) at 37℃ for 20 min;
Incubation: Anti-IQGAP1 Polyclonal Antibody, Unconjugated(bs-1109R) 1:200, overnight at 4°C, followed by conjugation to the secondary antibody(SP-0023) and DAB(C-0010) staining

Primary Antibody (green line): Rabbit Anti-IQGAP1 antibody (bs-1109R)
Dilution: 2ug/Test;
Secondary Antibody : Goat anti-rabbit IgG-FITC
Dilution: 0.5ug/Test.
Protocol
The cells were incubated in 5%BSA to block non-specific protein-protein interactions for 30 min at room temperature .Cells stained with Primary Antibody for 30 min at room temperature. The secondary antibody used for 40 min at room temperature. Acquisition of 20,000 events was performed.
风险提示:丁香通仅作为第三方平台,为商家信息发布提供平台空间。用户咨询产品时请注意保护个人信息及财产安全,合理判断,谨慎选购商品,商家和用户对交易行为负责。对于医疗器械类产品,请先查证核实企业经营资质和医疗器械产品注册证情况。
文献和实验[IF={{ 5.942 }}] {Sheen YS et al. Purpuric drug eruptions induced by EGFR tyrosine kinase inhibitors are associated with IQGAP1‐mediated increase in vascular permeability. J Pathol. 2020 Feb 7.} {ICC} {Human}
[IF={{ 4.67 }}] {Fang, Jing, et al. "PAX6 down-regulates miR-124 expression to promote cell migration during embryonic stem cell differentiation." Stem Cells and Development (2014).} {Other} {="Mouse"}
= NAL), appears to form upon oxidative cyclization of the nonfluorescent 2:1 lysine-HNE Michael adduct-Schiff base cross-link (Scheme 1). Polyclonal antibody (PAb) to the NAL-HNE fluorophore was raised in rabbit and found to be highly specific
GE Healthcare Benzamidine Sepharose™ 6B is p-aminobenzamidine covalently attached to Sepharose 6B by the epoxy coupling method. p-Aminobenzamidine (PAB), is a synthetic inhibitor of trypsin-like serine protease. Trypsin and trypsin
Nucleic Acid Programmable Protein Arrays: Versatile Tools for Array‐Based Functional Protein Studies
.g., Sigma) 50 mg/ml bis‐sulfosuccinimdylsuberate (BS3 ;Pierce, cat. no. PI 21580) in dimethylsulfoxide (DMSO) 5 mg/ml
技术资料暂无技术资料 索取技术资料







