相关产品推荐更多 >
万千商家帮你免费找货
0 人在求购买到急需产品
- 详细信息
- 技术资料
- 应用范围:
产品信息以Bioss网站为准
- 规格:
50ul/100ul/200ul
| 规格: | 50ul | 产品价格: | ¥1180.0 |
|---|---|---|---|
| 规格: | 100ul | 产品价格: | ¥1980.0 |
| 规格: | 200ul | 产品价格: | ¥2800.0 |
| 产品编号 | bs-20293R |
| 英文名称 | phospho-Kv4.2 (Thr607) Rabbit pAb |
| 中文名称 | 磷酸化电压门控性钾通道蛋白Kv4.2抗体 |
| 英文别名 | p-KCND2/Kv4.2(Thr607); p-Kv4.2(Thr607); Potassium voltage-gated channel subfamily D member 2; KCD2; KCND 2; KCND2; KCND2_HUMAN; KIAA1044; Potassium voltage gated channel Shal related subfamily member 2; RK 5; RK5; Voltage gated potassium channel Kv4.2; Voltage gated potassium channel subunit Kv4.2; Voltage sensitive potassium channel; voltage-gated potassium channel Kv4.2; Voltage-gated potassium channel subunit Kv4.2; voltage-sensitive potassium channel. |
| 产品应用 | IHC-P=1:100-500, IHC-F=1:100-500, IF=1:100-500 Not yet tested in other applications. |
| 交叉反应 | Rat (Human, Mouse, Pig, Cow, Rabbit) |
| 抗体来源 | Rabbit |
| 免疫原 | KLH conjugated synthesised phosphopeptide derived from human KCND2 around the phosphorylation site of Thr607 |
| 亚型 | IgG |
| 性状 | Liquid |
| 纯化方法 | affinity purified by Protein A |
| 克隆类型 | Polyclonal |
| 理论分子量 | 70 kDa |
| 浓度 | 1mg/ml |
| 储存液 | Preservative: 0.02% Proclin300, Constituents: 1% BSA, 0.01M PBS, pH7.4. |
| 亚基 | Homotetramer or heterotetramer with KCND1 and/or KCND3. Interacts with DPP6, DLG4 and NCS1/FREQ (By similarity). Interacts with DLG1. Associates with the regulatory subunits KCNIP1, KCNIP2, KCNIP3 and KCNIP4. Probably part of a complex consisting of KCNIP1, KCNIP2 isoform 3 and KCND2. The KCND2-KCNIP2 channel complex contains four KCND2 and four KCNIP2 subunits. Interacts with FLNA, FLNC and DPP10. |
| 亚细胞定位 | Cell membrane; Multi-pass membrane protein. Cell projection, dendrite. Note=Detected in dendrites in cultured hippocampal neurons. Association with KCNIP2 probably enhances cell surface expression. |
| 组织特异性 | Highly expressed throughout the brain. Expression is very low or absent in other tissues. |
| 翻译后修饰 | Phosphorylated on serine and threonine residues. |
| 相似性 | Belongs to the potassium channel family. D (Shal) (TC 1.A.1.2) subfamily. Kv4.2/KCND2 sub-subfamily. |
| 功能 | Pore-forming (alpha) subunit of voltage-gated rapidly inactivating A-type potassium channels. May contribute to I(To) current in heart and I(Sa) current in neurons. Channel properties are modulated by interactions with other alpha subunits and with regulatory subunits. |
| 保存条件 | Shipped at 4℃. Store at -20℃ for one year. Avoid repeated freeze/thaw cycles. |
| 注意事项 | This product as supplied is intended for research use only, not for use in human, therapeutic or diagnostic applications. |
| 背景资料 | Voltage-gated K+ channels in the plasma membrane control the repolarization and the frequency of action potentials in neurons, muscles, and other excitable cells. Pore-forming (alpha) subunit of voltage-gated rapidly inactivating A-type potassium channels. May contribute to I(To) current in heart and I(Sa) current in neurons. Channel properties are modulated by interactions with other alpha subunits and with regulatory subunits. |
| 应用 | 推荐稀释比例 |
| {IHC-P} | {1:100-500} |
| {IHC-F} | {1:100-500} |
| {IF} | {1:100-500} |

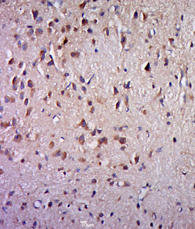
Paraformaldehyde-fixed, paraffin embedded (Rat brain); Antigen retrieval by boiling in sodium citrate buffer (pH6.0) for 15min; Block endogenous peroxidase by 3% hydrogen peroxide for 20 minutes; Blocking buffer (normal goat serum) at 37°C for 30min; Antibody incubation with (phospho-Kv4.2 (Thr607)) Polyclonal Antibody, Unconjugated (bs-20293R) at 1:400 overnight at 4°C, followed by a conjugated secondary (sp-0023) for 20 minutes and DAB staining.
风险提示:丁香通仅作为第三方平台,为商家信息发布提供平台空间。用户咨询产品时请注意保护个人信息及财产安全,合理判断,谨慎选购商品,商家和用户对交易行为负责。对于医疗器械类产品,请先查证核实企业经营资质和医疗器械产品注册证情况。
技术资料暂无技术资料 索取技术资料
phospho-Kv4.2 (Thr607) Rabbit pAb(bs-20293R)-50ul/100ul/200ul
¥1180 - 2800








