相关产品推荐更多 >

IMPAD1 Rabbit pAb(bs-6248R)-50ul/100ul/200ul
¥1180
PMS2 Rabbit pAb, Biotin conjugated(bs-10398R-Bio)-100ul
¥2980
phospho-TIRAP (Tyr86) Rabbit pAb, PerCP-Cy5.5 conjugated(bs-7562R-PerCP-Cy5.5)-100ul
¥2980
CD59 Rabbit pAb(bs-1638R)-50ul/100ul/200ul
¥1180
EIF2S2 Rabbit pAb, AP conjugated(bs-8723R-AP)-100ul
¥2980
万千商家帮你免费找货
0 人在求购买到急需产品
- 详细信息
- 文献和实验
- 技术资料
- 应用范围:
产品信息以Bioss网站为准
- 规格:
50ul/100ul/200ul
| 规格: | 50ul | 产品价格: | ¥1180.0 |
|---|---|---|---|
| 规格: | 100ul | 产品价格: | ¥1980.0 |
| 规格: | 200ul | 产品价格: | ¥2800.0 |
| 产品编号 | bs-3666R |
| 英文名称 | Calmodulin 1/2/3 Rabbit pAb |
| 中文名称 | 钙调节素/钙调蛋白/钙调素抗体 |
| 英文别名 | CALM 1; CALM 2; CALM 3; CALM; CALM1; CALM2; CALM3; CALML2; Calmodulin 1; Calmodulin1; CAM 1; CAM 2; CAM 3; CaM; CAM I; CAM1; CAM2; CAM3; CAMB; CAMC; CAMI; CAMIII; DD132; PHKD; phosphorylase kinase delta; phosphorylase kinase delta subunit; Calmodulin1; Calmodulin 1; Calmodulin-1; Calmodulin2; Calmodulin 2; Calmodulin-2; Calmodulin3; Calmodulin 3; Calmodulin-3; Calmodulin; CALM1_HUMAN. |
| 产品应用 | WB=1:500-2000, IHC-P=1:100-500, IHC-F=1:100-500, IF=1:100-500, Flow-Cyt=1ug/Test Not yet tested in other applications. |
| 交叉反应 | Human, Mouse, Rat (Chicken, Dog, Cow, Horse) |
| 抗体来源 | Rabbit |
| 免疫原 | KLH conjugated synthetic peptide derived from human Calmodulin |
| 亚型 | IgG |
| 性状 | Liquid |
| 纯化方法 | affinity purified by Protein A |
| 克隆类型 | Polyclonal |
| 理论分子量 | 16-20 kDa |
| 浓度 | 1mg/ml |
| 储存液 | 0.01M TBS (pH7.4) with 1% BSA, 0.02% Proclin300 and 50% Glycerol. |
| 研究领域 | Cancer > Cancer Metabolism > Metabolic signaling pathway > Metabolism of carbohydrates Cardiovascular > Atherosclerosis > Apoptosis Cardiovascular > Heart > Cardiac metabolism Metabolism > Pathways and Processes > Metabolic signaling pathways > Carbohydrate metabolism Metabolism > Types of disease > Cancer Metabolism > Types of disease > Heart disease Signal Transduction > Signaling Pathway > Calcium Signaling > Calcium Binding Proteins Signal Transduction > Signaling Pathway > Calcium Signaling > Calmodulin Pathway |
| 亚基 | Interacts with MYO1C and RRAD. Interacts with MYO10 (By similarity). Interacts with CEP97, CEP110, TTN/titin and SRY. Interacts with USP6; the interaction is calcium dependent. Interacts with CDK5RAP2. Interacts with SCN5A. Interacts with RYR1 and RYR2. |
| 亚细胞定位 | Cytoplasm, cytoskeleton, spindle. Cytoplasm, cytoskeleton, spindle pole. Note=Distributed throughout the cell during interphase, but during mitosis becomes dramatically localized to the spindle poles and the spindle microtubules. |
| 翻译后修饰 | Ubiquitination results in a strongly decreased activity. Phosphorylation results in a decreased activity. |
| 相似性 | Belongs to the calmodulin family. Contains 4 EF-hand domains. |
| 保存条件 | Shipped at 4℃. Store at -20℃ for one year. Avoid repeated freeze/thaw cycles. |
| 注意事项 | This product as supplied is intended for research use only, not for use in human, therapeutic or diagnostic applications. |
| 背景资料 | Calmodulin consists of two glycoproteins, 34 and 39 kDa, sometimes designated epithelial antigen, epithelial specific antigen, and epithelial glycoprotein. The glycoproteins are located on the cell membrane surface and in the cytoplasm of virtually all epithelial cells with the exception of most squamous epithelia, hepatocytes, renal proximal tubular cells, gastric parietal cells and myoepithelial cells. Epithelial Calmodulin is found in the large majority of adenocarcinomas of most sites (50-100% in various studies; as well as neuroendocrine tumours, including small cell carcinoma. Renal cell carcinoma and hepatocellular carcinoma stain in about 30% of the cases. Calmodulin mediates the control of a large number of enzymes and other proteins by Ca(2+). Among the enzymes to be stimulated by the calmodulin Ca(2+) complex are a number of protein kinases and phosphatases. Calmodulin has four functional calcium binding sites. |
| 应用 | 推荐稀释比例 |
| {WB} | {1:500-2000} |
| {IHC-P} | {1:100-500} |
| {IHC-F} | {1:100-500} |
| {IF} | {1:100-500} |
| {Flow-Cyt} | {1ug/Test} |

Lane1: Brain(Rat) Lysate at 30 ug
Lane2: Liver(Rat) Lysate at 30 ug
Primary: Anti-Calmodulin (bs-3666R) at 1:200 dilution;
Secondary: HRP conjugated Goat Anti-Rabbit IgG(bs-0295G-HRP) at 1: 3000 dilution;
Predicted band size : 16kD
Observed band size : 20kD


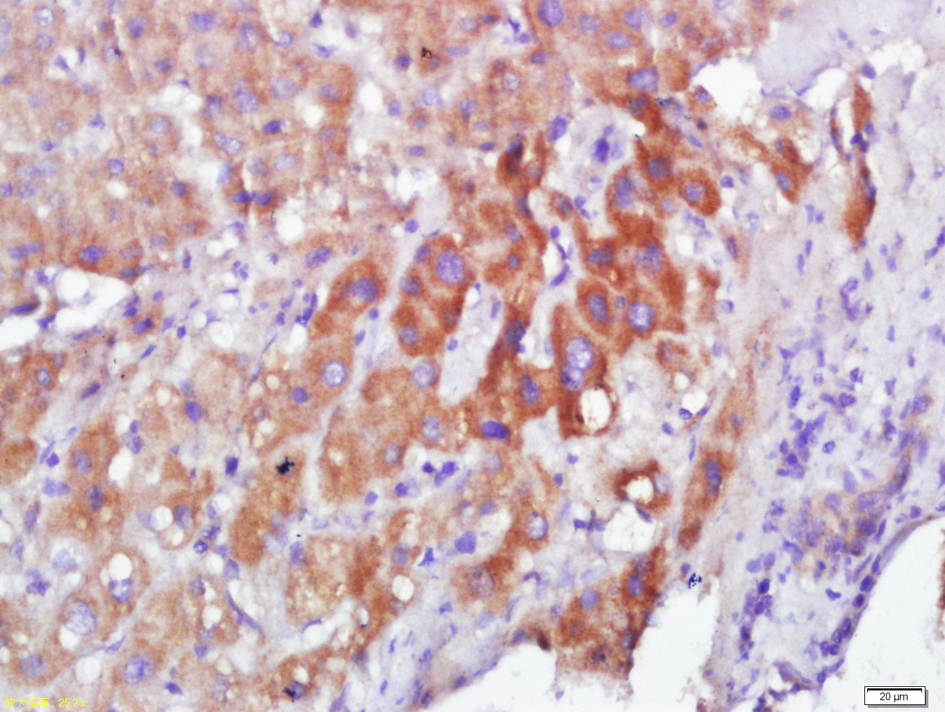
Antigen retrieval: citrate buffer ( 0.01M, pH 6.0 ), Boiling bathing for 15min; Block endogenous peroxidase by 3% Hydrogen peroxide for 30min; Blocking buffer (normal goat serum,C-0005) at 37℃ for 20 min;
Incubation: Anti-Calmodulin Polyclonal Antibody, Unconjugated(bs-3666R) 1:400, overnight at 4°C, followed by conjugation to the secondary antibody(SP-0023) and DAB(C-0010) staining




Primary Antibody (green line): Rabbit Anti-Calmodulin 1/2/3 antibody (bs-3666R)
Dilution:1ug/Test;
Secondary Antibody(white blue line): Goat anti-rabbit IgG-AF488
Dilution: 0.5ug/Test.
Isotype control(orange line): Normal Rabbit IgG
Protocol
The cells were fixed with 4% PFA (10min at room temperature)and then permeabilized with 90% ice-cold methanol for 20 min at -20℃, The cells were then incubated in 5%BSA to block non-specific protein-protein interactions for 30 min at room temperature .Cells stained with Primary Antibody for 30 min at room temperature. The secondary antibody used for 40 min at room temperature. Acquisition of 20,000 events was performed.

Primary Antibody (green line): Rabbit Anti-Calmodulin 1/2/3 antibody (bs-3666R)
Dilution:1ug/Test;
Secondary Antibody(white blue line): Goat anti-rabbit IgG-AF488
Dilution: 0.5ug/Test.
Isotype control(orange line): Normal Rabbit IgG
Protocol
The cells were fixed with 4% PFA (10min at room temperature)and then permeabilized with 90% ice-cold methanol for 20 min at -20℃, The cells were then incubated in 5%BSA to block non-specific protein-protein interactions for 30 min at room temperature .Cells stained with Primary Antibody for 30 min at room temperature. The secondary antibody used for 40 min at room temperature. Acquisition of 20,000 events was performed.
风险提示:丁香通仅作为第三方平台,为商家信息发布提供平台空间。用户咨询产品时请注意保护个人信息及财产安全,合理判断,谨慎选购商品,商家和用户对交易行为负责。对于医疗器械类产品,请先查证核实企业经营资质和医疗器械产品注册证情况。
文献和实验[IF={{ 7.5 }}] {HaiShan Li. et al. Corylifol A suppresses osteoclastogenesis and alleviates ovariectomy-induced bone loss via attenuating ROS production and impairing mitochondrial function. BIOMED PHARMACOTHER. 2024 Feb;171:116166} {WB} {Mouse}
[IF={{ 5.561 }}] {Lei Wu. et al. Ethanol Extract of Mao Jian Green Tea Attenuates Gastrointestinal Symptoms in a Rat Model of Irritable Bowel Syndrome with Constipation via the 5-hydroxytryptamine Signaling Pathway. FOODS. 2023 Jan;12(5):1101} {WB} {Rat}
[IF={{ 5.201 }}] {Hua Y et al. Enterohemorrhagic Escherichia coli Effector Protein EspF Interacts With Host Protein ANXA6 and Triggers Myosin Light Chain Kinase (MLCK)-Dependent Tight Junction DysregulationFront Cell Dev Biol.2020 Dec 23;8:613061.} {WB} {Human}
[IF={{ 4.4 }}] {Kai Tang. et al.Neoandrographolide inhibits mature osteoclast differentiation to alleviate bone loss and treat osteoporosis.FRONTIERS IN PHARMACOLOGY.2025 Feb 11:16:1466057.} {Western Blot} {Mouse}
[IF={{ 3.448 }}] {Xu B et al. Excessive mechanical stress induces chondrocyte apoptosis through TRPV4 in an anteriorcruciate ligament-transected rat osteoarthritis model. Life Sci. 2019 Jul 1;228:158-166.} {IHC,WB} {Rat}
GE Healthcare Benzamidine Sepharose™ 6B is p-aminobenzamidine covalently attached to Sepharose 6B by the epoxy coupling method. p-Aminobenzamidine (PAB), is a synthetic inhibitor of trypsin-like serine protease. Trypsin and trypsin
secondary antibody review -- data from 99 publications
data
Nucleic Acid Programmable Protein Arrays: Versatile Tools for Array‐Based Functional Protein Studies
.g., Sigma) 50 mg/ml bis‐sulfosuccinimdylsuberate (BS3 ;Pierce, cat. no. PI 21580) in dimethylsulfoxide (DMSO) 5 mg/ml
技术资料暂无技术资料 索取技术资料






