相关产品推荐更多 >
万千商家帮你免费找货
0 人在求购买到急需产品
- 详细信息
- 询价记录
- 文献和实验
- 技术资料
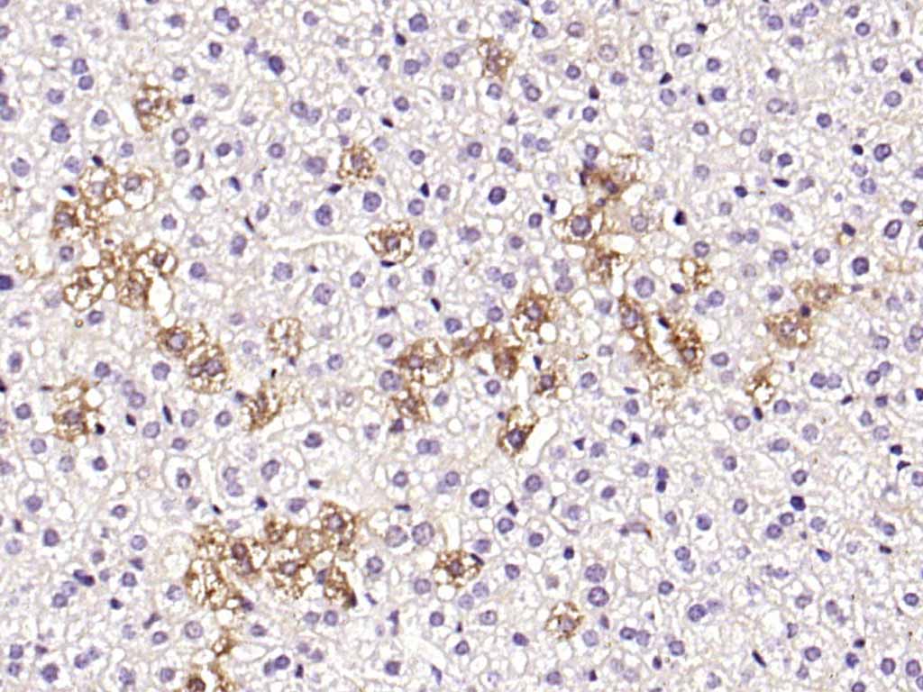
- 应用范围:
产品信息以Bioss网站为准
- 规格:
50ul/100ul/200ul
| 规格: | 50ul | 产品价格: | ¥1180.0 |
|---|---|---|---|
| 规格: | 100ul | 产品价格: | ¥1980.0 |
| 规格: | 200ul | 产品价格: | ¥2800.0 |
| 产品编号 | bs-2974R |
| 英文名称 | Factor VIII Rabbit pAb |
| 中文名称 | 凝血因子8/第八凝血因子/第八因子相关抗原抗体 |
| 英文别名 | coagulation factor VIII; Ahf; Antihemophilic factor; Coagulation factor VIII; Coagulation factor VIII associated protein b; Coagulation factor VIII isoform b; Coagulation factor VIII procoagulent component; Coagulation factor VIIIc; Dna segment on chromosome x unique 1253 expressed sequence; Dxs1253e; F8; F8 protein; F8b; F8c; Factor VIII F8b; FactorVIII; FVIII; Hema coagulation factor VIIIc procoagulent component; Hemophilia a; Hemophilia classic; OTTHUMP00000061446; Procoagulant component; FⅧ-Ag; Factor VIIIa heavy chain, 200 kDa isoform; Factor VIIIa heavy chain, 92 kDa isoform; Factor VIII B chain; AHF; DXS1253E; F8B; F8C; FVIII; HEMA; FA8_HUMAN. |
| 产品应用 | IHC-P=1:100-500, IHC-F=1:100-500, IF=1:100-500 Not yet tested in other applications. |
| 交叉反应 | Mouse (Human, Rat, Dog, Pig, Cow, Rabbit) |
| 抗体来源 | Rabbit |
| 免疫原 | KLH conjugated synthetic peptide derived from Rabbit Factor VIII |
| 亚型 | IgG |
| 性状 | Liquid |
| 纯化方法 | affinity purified by Protein A |
| 克隆类型 | Polyclonal |
| 理论分子量 | 200/259 kDa |
| 浓度 | 1mg/ml |
| 储存液 | 0.01M TBS (pH7.4) with 1% BSA, 0.02% Proclin300 and 50% Glycerol. |
| 研究领域 | Cardiovascular > Blood > Coagulation > Intrinsic |
| 亚基 | Interacts with vWF. vWF binding is essential for the stabilization of F8 in circulation. |
| 亚细胞定位 | Secreted, extracellular space. |
| 翻译后修饰 | Sulfation on Tyr-1699 is essential for binding vWF. |
| 相似性 | Belongs to the multicopper oxidase family.
Contains 3 F5/8 type A domains. Contains 2 F5/8 type C domains. Contains 6 plastocyanin-like domains. |
| 功能 | Factor VIII, along with calcium and phospholipid, acts as a cofactor for factor IXa when it converts factor X to the activated form, factor Xa. |
| 保存条件 | Shipped at 4℃. Store at -20℃ for one year. Avoid repeated freeze/thaw cycles. |
| 注意事项 | This product as supplied is intended for research use only, not for use in human, therapeutic or diagnostic applications. |
| 背景资料 | This gene encodes coagulation factor VIII, which participates in the intrinsic pathway of blood coagulation; factor VIII is a cofactor for factor IXa which, in the presence of Ca+2 and phospholipids, converts factor X to the activated form Xa. This gene produces two alternatively spliced transcripts. Transcript variant 1 encodes a large glycoprotein, isoform a, which circulates in plasma and associates with von Willebrand factor in a noncovalent complex. This protein undergoes multiple cleavage events. Transcript variant 2 encodes a putative small protein, isoform b, which consists primarily of the phospholipid binding domain of factor VIIIc. This binding domain is essential for coagulant activity. Defects in this gene results in hemophilia A, a common recessive X-linked coagulation disorder. [provided by RefSeq, Jul 2008]. |
| 应用 | 推荐稀释比例 |
| {IHC-P} | {1:100-500} |
| {IHC-F} | {1:100-500} |
| {IF} | {1:100-500} |

风险提示:丁香通仅作为第三方平台,为商家信息发布提供平台空间。用户咨询产品时请注意保护个人信息及财产安全,合理判断,谨慎选购商品,商家和用户对交易行为负责。对于医疗器械类产品,请先查证核实企业经营资质和医疗器械产品注册证情况。
- 作者
- 内容
- 询问日期
文献和实验[IF={{ 5.818 }}] {Xiaoxiao Song. et al. Effects of Highly Pathogenic Porcine Reproductive and Respiratory Syndrome Virus Infection on the Surface Glycoprofiling of Porcine Pulmonary Microvascular Endothelial Cells. VIRUSES-BASEL. 2022 Nov;14(11):2569} {IF} {Pig}
[IF={{ 5.201 }}] {Qiong Li. et al. CD73+ Mesenchymal Stem Cells Ameliorate Myocardial Infarction by Promoting Angiogenesis. Front Cell Dev Biol. 2021; 9: 637239} {WB,IHC} {Rat}
[IF={{ 4.75 }}] {Zhao, Yuechao, et al. "Estrogen-Induced CCN1 is Critical for Establishment of Endometriosis-like Lesions in Mice." Molecular Endocrinology (2014).} {IHC} {="Mouse"}
[IF={{ 4.51 }}] {Ning et al. Calcyclin-binding protein inhibits proliferation, tumorigenicity, and invasion of gastric cancer. (2007) Mol.Cancer.Re. 5:1254-62} {IHC} {Mouse}
[IF={{ 2.81 }}] {Zhu et al. Stereoselective Regulation of P-gp Activity by Clausenamide Enantiomers in Caco-2, KB/KBv and Brain Microvessel Endothelial Cells. (2015) PLoS.On. 10:e0135866} {ICC} {Rat}
Rinse with PSA 3x 0.3% hydrogen peroxide in PBS, 30min. Then rinse in PBS 3x 5% normal goad serum in PBS at RT for 1 hour. Rabbit anti-Human Factor VIII Related Antigen diluted to 1:500 with 1% NGS in PBS, incubated
Mapping Protein Distributions on Polytene Chromosomes by Immunostaining
dilutions for rabbit polyclonal antibodies range between 1:50 and 1:500. For double-labeling experiments, use primary antibodies raised in two different species. Antibodies, secondary Secondary antibodies are diluted in PBS containing 2% normal
secondary antibody review -- data from 99 publications
data
技术资料暂无技术资料 索取技术资料











