相关产品推荐更多 >
万千商家帮你免费找货
0 人在求购买到急需产品
- 详细信息
- 文献和实验
- 技术资料
- 应用范围:
产品信息以Bioss网站为准
- 规格:
50ul/100ul/200ul
| 规格: | 50ul | 产品价格: | ¥1180.0 |
|---|---|---|---|
| 规格: | 100ul | 产品价格: | ¥1980.0 |
| 规格: | 200ul | 产品价格: | ¥2800.0 |
| 产品编号 | bs-0679R |
| 英文名称 | SYVN1 Rabbit pAb |
| 中文名称 | 滑膜细胞凋亡抑制物1抗体 |
| 英文别名 | 1200010C09Rik; HRD1; KIAA1810; MGC40372; Synovial apoptosis inhibitor 1 synoviolin; Synoviolin 1 isoform b; SYVN1_HUMAN; DER3; E3 ubiquitin-protein ligase synoviolin; HMG coA reductase degradation 1 homolog; OTTHUMP00000230429; OTTHUMP00000230430; OTTHUMP00000230431; OTTHUMP00000230432; Synovial apoptosis inhibitor 1; Synoviolin 1 isoform b; SYNOVIOLIN; SYVN1. |
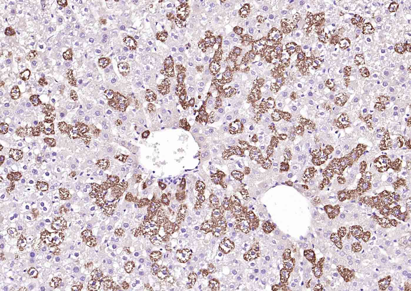
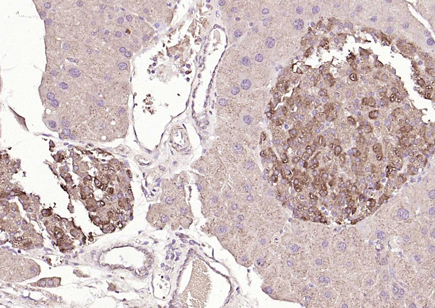
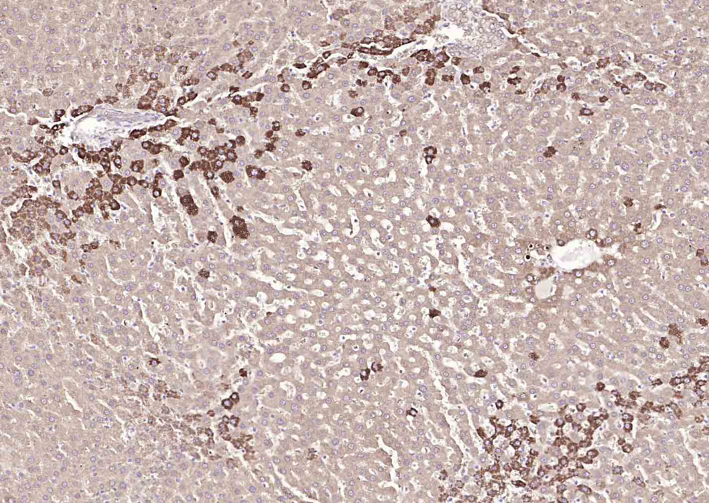
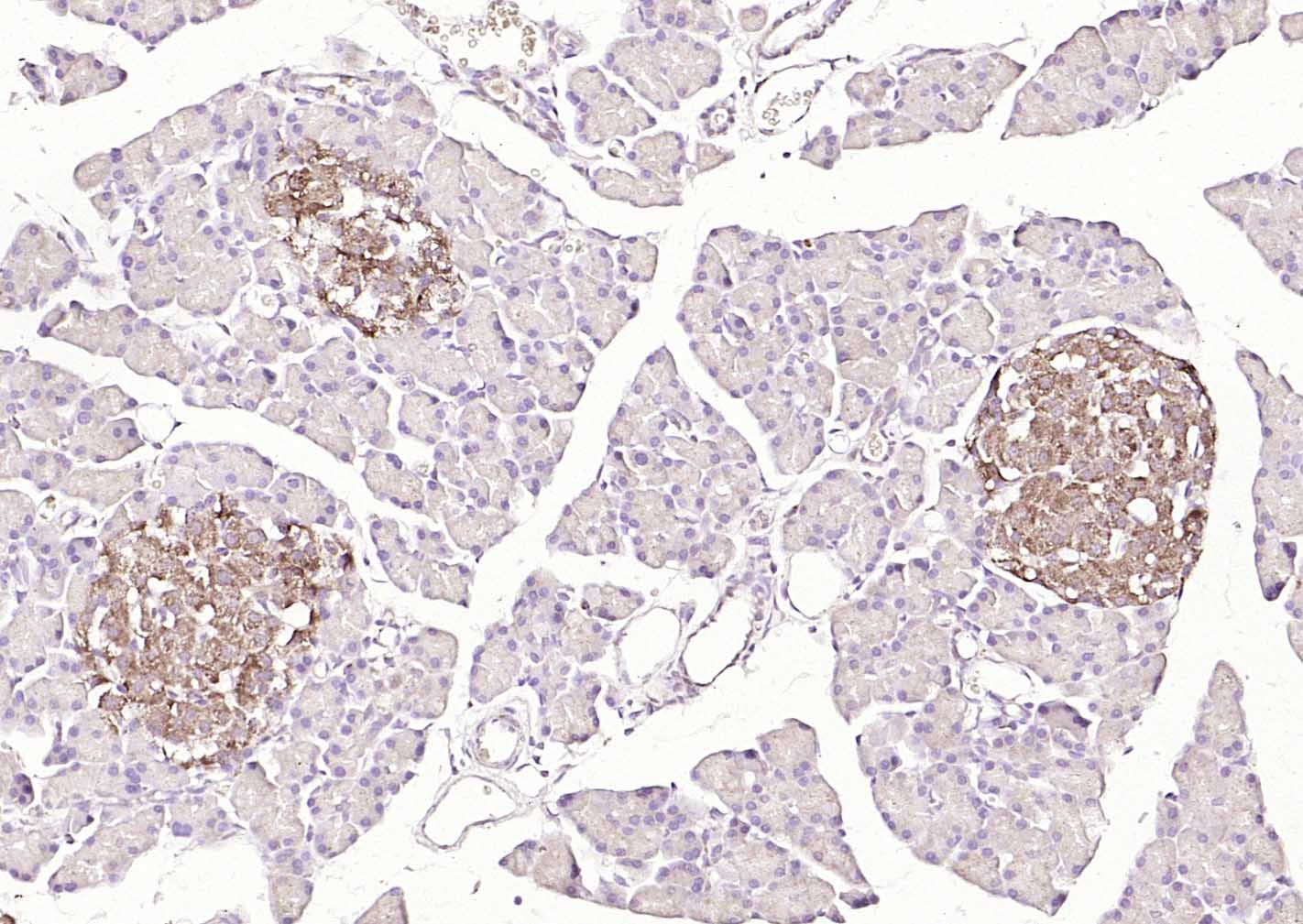
| 产品应用 | WB=1:500-2000, IHC-P=1:100-500, IHC-F=1:100-500, IF=1:100-500, Flow-Cyt=3μg/Test Not yet tested in other applications. |
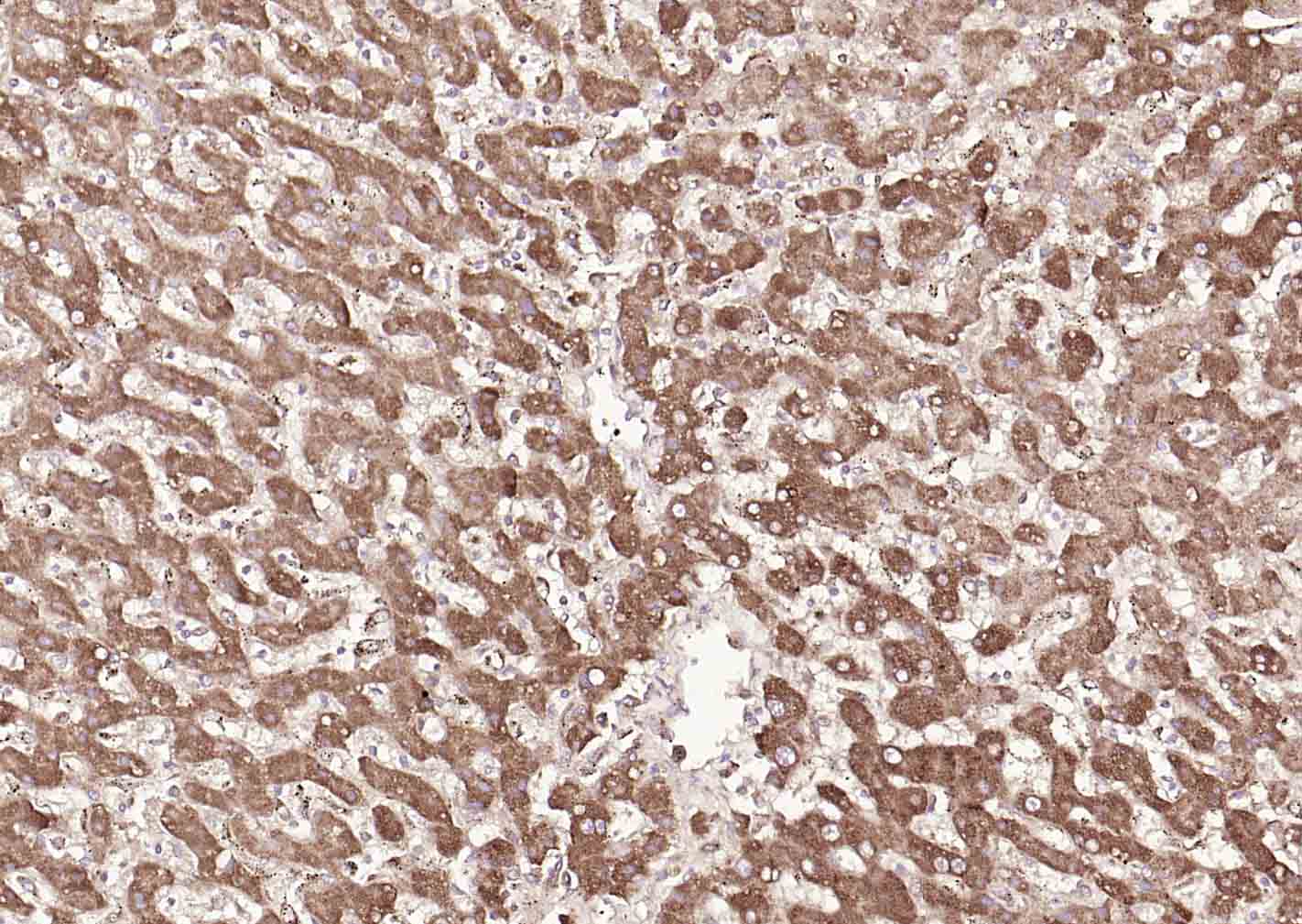
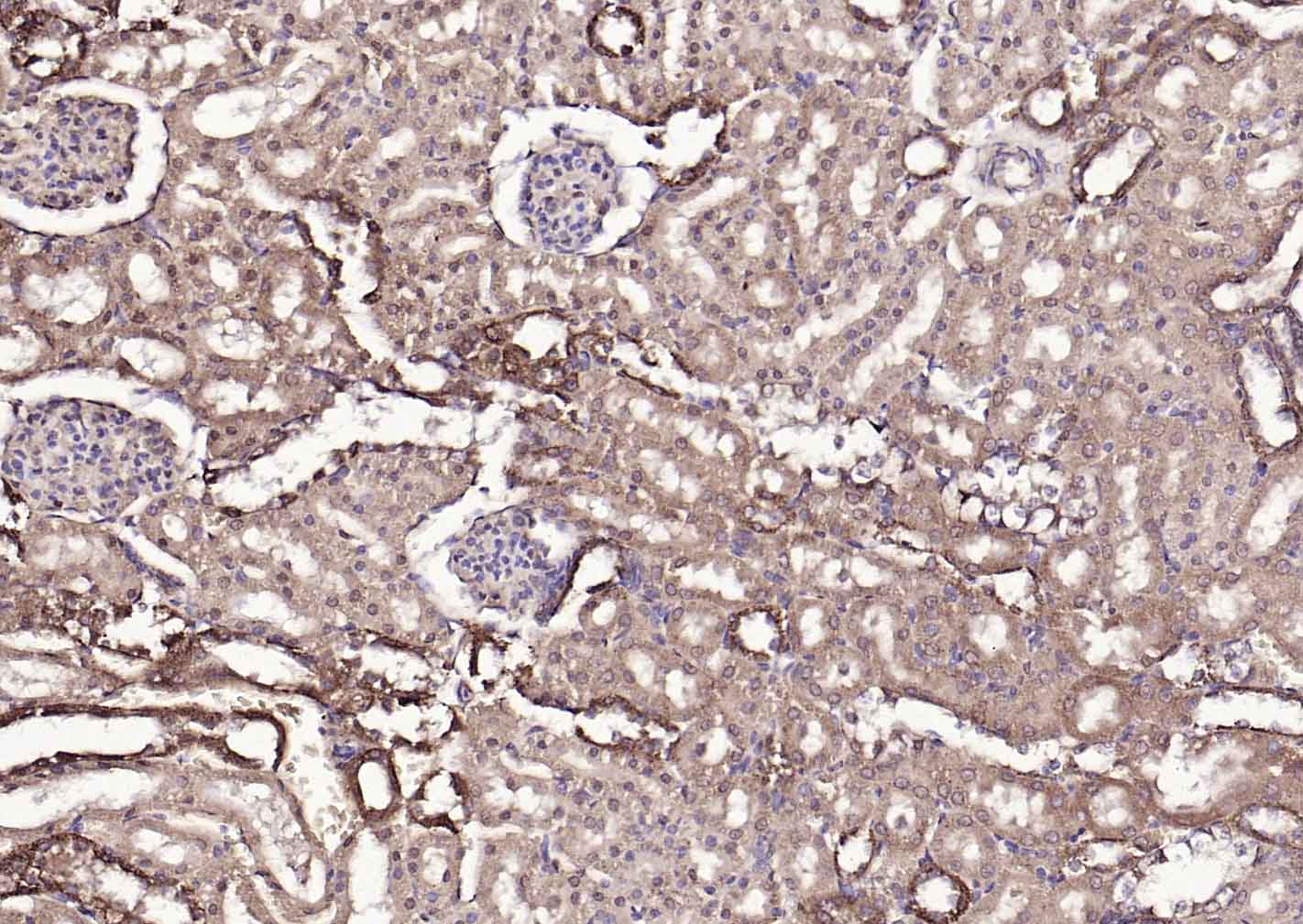
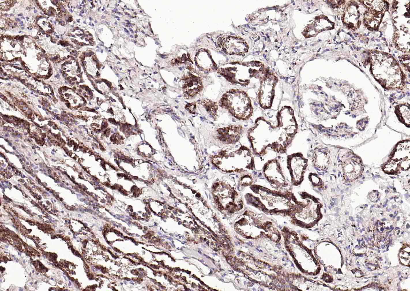
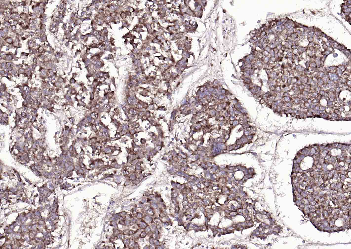
| 交叉反应 | Human, Mouse, Rat, 肾, 肾, 肾, 肾, 肝, 肝, 肝, 肝 (Dog, Cow) |
| 抗体来源 | Rabbit |
| 免疫原 | KLH conjugated synthetic peptide derived from human SYVN1 |
| 亚型 | IgG |
| 性状 | Liquid |
| 纯化方法 | affinity purified by Protein A |
| 克隆类型 | Polyclonal |
| 理论分子量 | 65 kDa |
| 浓度 | 1mg/ml |
| 储存液 | 0.01M TBS (pH7.4) with 1% BSA, 0.02% Proclin300 and 50% Glycerol. |
| 研究领域 | Cell Biology > Apoptosis > Intracellular > Survivin / IAPs Cell Biology > Proteolysis / Ubiquitin > Proteasome / Ubiquitin > Ubiquitin E3 Enzymes > RING Finger E3 Ligase Epigenetics and Nuclear Signaling > Ubiquitin & Ubiquitin Like Modifiers > E3 Ubiquitin Ligases |
| 亚基 | Homodimer. Interacts with p53/TP53 and HTT. Interacts with VCP, HERPUD1 and DERL1. Part of a complex containing SYVN1, HERPUD1, SELS and DERL1; which probably transfer misfolded proteins from the ER to VCP. Part of a complex containing SYVN1, SEL1L and DERL2. Interacts with UBXN6. Interacts with SEL1L; recruits ERLEC1 and OS9. May form a complex with ERLEC1; HSPA5; OS9 AND SEL1L. |
| 亚细胞定位 | Endoplasmic reticulum membrane; Multi-pass membrane protein. |
| 组织特异性 | Ubiquitously expressed, with highest levels in liver and kidney (at protein level). Up-regulated in synovial tissues from patients with rheumatoid arthritis (at protein level). |
| 翻译后修饰 | Not N-glycosylated. Auto-ubiquitinated. |
| 相似性 | Belongs to the HRD1 family. Contains 1 RING-type zinc finger. |
| 功能 | Acts as an E3 ubiquitin-protein ligase which accepts ubiquitin specifically from endoplasmic reticulum-associated UBC7 E2 ligase and transfers it to substrates, promoting their degradation. Component of the endoplasmic reticulum quality control (ERQC) system also called ER-associated degradation (ERAD) involved in ubiquitin-dependent degradation of misfolded endoplasmic reticulum proteins. Also promotes the degradation of normal but naturally short-lived proteins such as SGK. Protects cells from ER stress-induced apoptosis. Protects neurons from apoptosis induced by polyglutamine-expanded huntingtin (HTT) or unfolded GPR37 by promoting their degradation. Sequesters p53/TP53 in the cytoplasm and promotes its degradation, thereby negatively regulating its biological function in transcription, cell cycle regulation and apoptosis. |
| 保存条件 | Shipped at 4℃. Store at -20℃ for one year. Avoid repeated freeze/thaw cycles. |
| 注意事项 | This product as supplied is intended for research use only, not for use in human, therapeutic or diagnostic applications. |
| 背景资料 | This gene encodes a protein involved in endoplasmic reticulum (ER)-associated degradation. The encoded protein removes unfolded proteins, accumulated during ER stress, by retrograde transport to the cytosol from the ER. This protein also uses the ubiquitin-proteasome system for additional degradation of unfolded proteins. Sequence analysis identified two transcript variants that encode different isoforms. [provided by RefSeq, May 2011] |
| 应用 | 推荐稀释比例 |
| {WB} | {1:500-2000} |
| {IHC-P} | {1:100-500} |
| {IHC-F} | {1:100-500} |
| {IF} | {1:100-500} |
| {Flow-Cyt} | {3μg/Test} |

The blue histogram is unstained cells.
The Wathet Blue histogram is cells stained with secondary antibody (bs-0295G-FITC) alone.
The Orange histogram is cells stained with rabbit IgG isotype control antibody(bs-0295P)plus secondary antibody.
The green histogram is cells stained with Rabbit Anti-SYVN1 antibody (bs-0679R) plus secondary antibody.
Positive control: Hepg2 cells
Concentration: 1:50

Kidney (Mouse) Lysate at 40 ug
Liver (Mouse) Lysate at 40 ug
Primary: Anti-SYVN1 (bs-0679R) at 1/1000 dilution
Secondary: IRDye800CW Goat Anti-Rabbit IgG at 1/20000 dilution
Predicted band size: 65 kD
Observed band size: 65/70 kD








风险提示:丁香通仅作为第三方平台,为商家信息发布提供平台空间。用户咨询产品时请注意保护个人信息及财产安全,合理判断,谨慎选购商品,商家和用户对交易行为负责。对于医疗器械类产品,请先查证核实企业经营资质和医疗器械产品注册证情况。
文献和实验[IF={{ 5.064 }}] {Dong J et al. Ginsenoside Rb1 alleviates colitis in mice via activation of endoplasmic reticulum-resident E3 ubiquitin ligase Hrd1 signaling pathwayActa Pharmacol Sin.2020 Dec 2.} {IHC,IF} {Mouse}
[IF={{ 4.65 }}] {Zemoura, Khaled, et al. "Endoplasmic Reticulum Associated Degradation (ERAD) Controls Cell Surface Expression of GABAB Receptors." Journal of Biological Chemistry (2013): jbc-M113.} {Other} {="Human"}
[IF={{ 4.26 }}] {Yang et al. Experimental study of the protective effects of SYVN1 against diabetic retinopathy. (2015) Sci.Re. 5:14036} {WB} {Mouse}
[IF={{ 1.89 }}] {Yan, Shu, et al. "Expression of endoplasmic reticulum stress-related factors in the retinas of diabetic rats." Experimental diabetes research 2012 (2011).} {Other} {="Rat"}
= NAL), appears to form upon oxidative cyclization of the nonfluorescent 2:1 lysine-HNE Michael adduct-Schiff base cross-link (Scheme 1). Polyclonal antibody (PAb) to the NAL-HNE fluorophore was raised in rabbit and found to be highly specific
GE Healthcare Benzamidine Sepharose™ 6B is p-aminobenzamidine covalently attached to Sepharose 6B by the epoxy coupling method. p-Aminobenzamidine (PAB), is a synthetic inhibitor of trypsin-like serine protease. Trypsin and trypsin
Nucleic Acid Programmable Protein Arrays: Versatile Tools for Array‐Based Functional Protein Studies
.g., Sigma) 50 mg/ml bis‐sulfosuccinimdylsuberate (BS3 ;Pierce, cat. no. PI 21580) in dimethylsulfoxide (DMSO) 5 mg/ml
技术资料暂无技术资料 索取技术资料









