相关产品推荐更多 >

Beta catenin Rabbit pAb, PE-Cy7 conjugated(bs-1165R-PE-Cy7)-100ul
¥2980
Long wavelength-sensitive opsin Rabbit pAb(bs-10535R)-50ul/100ul/200ul
¥1180
CELSR1 Rabbit pAb, BF405 conjugated(bs-13831R-BF405)-100ul
¥2980
Notch1 Rabbit pAb(bs-1335R)-50ul/100ul/200ul
¥1180
Anti-human MUC16 (Sofituzumab vedotin Biosimilar)(BIO0913SM)-1mg/5mg/20mg
¥3200
万千商家帮你免费找货
0 人在求购买到急需产品
- 详细信息
- 文献和实验
- 技术资料
- 应用范围:
产品信息以Bioss网站为准
- 规格:
50ul/100ul/200ul
| 规格: | 50ul | 产品价格: | ¥1180.0 |
|---|---|---|---|
| 规格: | 100ul | 产品价格: | ¥1980.0 |
| 规格: | 200ul | 产品价格: | ¥2800.0 |
| 产品编号 | bs-1408R |
| 英文名称 | SMARCA4 Rabbit pAb |
| 中文名称 | 抑癌基因SNF2β抗体 |
| 英文别名 | SMCA4_HUMAN; Transcription activator BRG1; EC:3.6.4.-; ATP-dependent helicase SMARCA4; BRG1-associated factor 190A(BAF190A); Mitotic growth and transcription activator; Protein BRG-1; Protein brahma homolog 1; BAF190A; BRG1; SNF2B; SNF2L4; SWI/SNF related, matrix associated, actin dependent regulator of chromatin, subfamily a, member 4; CSS4; SNF2; SWI2; MRD16; RTPS2; BAF190; OTSC12; SNF2LB; hSNF2b; SNF2-beta; |
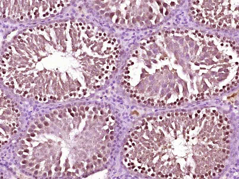
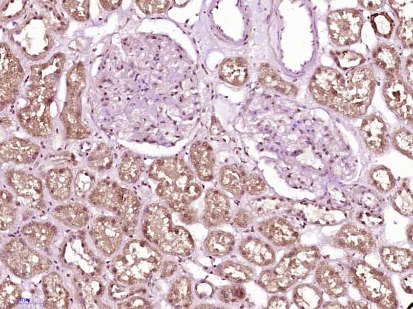
| 产品应用 | IHC-P=1:100-500, IHC-F=1:100-500, IF=1:100-500, Flow-Cyt=3ug/test Not yet tested in other applications. |
| 交叉反应 | Human, Rat (Mouse, Dog) |
| 抗体来源 | Rabbit |
| 免疫原 | KLH conjugated synthetic peptide derived from human SMARCA4 |
| 亚型 | IgG |
| 性状 | Liquid |
| 纯化方法 | affinity purified by Protein A |
| 克隆类型 | Polyclonal |
| 理论分子量 | 185 kDa |
| 浓度 | 1mg/ml |
| 储存液 | 0.01M TBS (pH7.4) with 1% BSA, 0.02% Proclin300 and 50% Glycerol. |
| 研究领域 | Cancer > Oncoproteins/suppressors > Tumor suppressors Epigenetics and Nuclear Signaling > Chromatin Remodeling > Swi / Snf Epigenetics and Nuclear Signaling > Chromatin Remodeling > Trithorax Neuroscience > Cell Type Marker > Neural Stem Cell marker Stem Cells > Signaling Pathways > Wnt > Nuclear |
| 亚基 | Belongs to the SNF2/RAD54 helicase family. Contains 1 bromo domain. Contains 1 helicase ATP-binding domain. Contains 1 helicase C-terminal domain. Contains 1 HSA domain. |
| 组织特异性 | Colocalizes with ZEB1 in E-cadherin-negative cells from established lines, and stroma of normal colon as well as in de-differentiated epithelial cells at the invasion front of colorectal carcinomas (at protein level). |
| 功能 | Transcriptional coactivator cooperating with nuclear hormone receptors to potentiate transcriptional activation. Component of the CREST-BRG1 complex, a multiprotein complex that regulates promoter activation by orchestrating a calcium-dependent release of a repressor complex and a recruitment of an activator complex. In resting neurons, transcription of the c-FOS promoter is inhibited by BRG1-dependent recruitment of a phospho-RB1-HDAC repressor complex. Upon calcium influx, RB1 is dephosphorylated by calcineurin, which leads to release of the repressor complex. At the same time, there is increased recruitment of CREBBP to the promoter by a CREST-dependent mechanism, which leads to transcriptional activation. The CREST-BRG1 complex also binds to the NR2B promoter, and activity-dependent induction of NR2B expression involves a release of HDAC1 and recruitment of CREBBP. Belongs to the neural progenitors-specific chromatin remodeling complex (npBAF complex) and the neuron-specific chromatin remodeling complex (nBAF complex). During neural development a switch from a stem/progenitor to a post-mitotic chromatin remodeling mechanism occurs as neurons exit the cell cycle and become committed to their adult state. |
| 保存条件 | Shipped at 4℃. Store at -20℃ for one year. Avoid repeated freeze/thaw cycles. |
| 注意事项 | This product as supplied is intended for research use only, not for use in human, therapeutic or diagnostic applications. |
| 背景资料 | The protein encoded by this gene is a member of the SWI/SNF family of proteins and is similar to the brahma protein of Drosophila. Members of this family have helicase and ATPase activities and are thought to regulate transcription of certain genes by altering the chromatin structure around those genes. The encoded protein is part of the large ATP-dependent chromatin remodeling complex SNF/SWI, which is required for transcriptional activation of genes normally repressed by chromatin. In addition, this protein can bind BRCA1, as well as regulate the expression of the tumorigenic protein CD44. Alternatively spliced transcripts have been found for this gene, but their full-length natures have not been determined. |
| 应用 | 推荐稀释比例 |
| {IHC-P} | {1:100-500} |
| {IHC-F} | {1:100-500} |
| {IF} | {1:100-500} |
| {Flow-Cyt} | {3ug/test} |

Primary Antibody (green line): Rabbit Anti-BRG-1 antibody (bs-1408R)
Dilution: 1μg /10^6 cells;
Isotype Control Antibody (orange line): Rabbit IgG .
Secondary Antibody : Goat anti-rabbit IgG-PE
Dilution: 3μg /test.
Protocol
The cells were fixed with 4% PFA (10min at room temperature)and then permeabilized with 90% ice-cold methanol for 20 min at-20℃. The cells were then incubated in 5% BSA to block non-specific protein-protein interactions for 30 min at at room temperature .Cells stained with Primary Antibody for 30 min at room temperature. The secondary antibody used for 40 min at room temperature. Acquisition of 20,000 events was performed.


风险提示:丁香通仅作为第三方平台,为商家信息发布提供平台空间。用户咨询产品时请注意保护个人信息及财产安全,合理判断,谨慎选购商品,商家和用户对交易行为负责。对于医疗器械类产品,请先查证核实企业经营资质和医疗器械产品注册证情况。
文献和实验[IF={{ 5.08 }}] {Chen, Luyue, et al. "SNORD76, a box C/D snoRNA, acts as a tumor suppressor in glioblastoma." Scientific reports 5 (2015).} {WB} {="Human"}
= NAL), appears to form upon oxidative cyclization of the nonfluorescent 2:1 lysine-HNE Michael adduct-Schiff base cross-link (Scheme 1). Polyclonal antibody (PAb) to the NAL-HNE fluorophore was raised in rabbit and found to be highly specific
Purification of DNA‐Binding Proteins Using Biotin/Streptavidin Affinity Systems
Literature Cited Literature Cited Chodosh, L.A., Carthew, R.W., and Sharp, P.A. 1986
GE Healthcare Benzamidine Sepharose™ 6B is p-aminobenzamidine covalently attached to Sepharose 6B by the epoxy coupling method. p-Aminobenzamidine (PAB), is a synthetic inhibitor of trypsin-like serine protease. Trypsin and trypsin
技术资料暂无技术资料 索取技术资料






