相关产品推荐更多 >

Anti-human PAR2 (PAR650097 Biosimilar)(BIO0396SM)-1mg/5mg/20mg
¥3200
CXCL13 Rabbit pAb, Cy7 conjugated(bs-2553R-Cy7)-100ul
¥2980
CD144/VE Cadherin Rabbit pAb, PerCP-Cy7 conjugated(bs-22363R-PerCP-Cy7)-100ul
¥2980
TRAF6 Rabbit pAb, AP conjugated(bs-2830R-AP)-100ul
¥2980
IL2 Receptor beta Rabbit pAb, PE-Cy7 conjugated(bs-1959R-PE-Cy7)-100ul
¥2980
万千商家帮你免费找货
0 人在求购买到急需产品
- 详细信息
- 文献和实验
- 技术资料
- 应用范围:
产品信息以Bioss网站为准
- 规格:
50ul/100ul/200ul
| 规格: | 50ul | 产品价格: | ¥1180.0 |
|---|---|---|---|
| 规格: | 100ul | 产品价格: | ¥1980.0 |
| 规格: | 200ul | 产品价格: | ¥2800.0 |
| 产品编号 | bs-1303R |
| 英文名称 | SFRP1 Rabbit pAb |
| 中文名称 | 分泌型卷曲相关蛋白1抗体 |
| 英文别名 | Secreted frizzled related protein 1; Frizzled related protein 1; FRP 1; SARP 2; SARP-2; Secreted apoptosis related protein 2; Secreted Apoptosis-related Protein 2; Secreted frizzled related protein; Secreted Frizzled-related Protein 1; Secreted frizzled-related protein; SFRP 1; sFRP-1; SFRP1; SFRP1_HUMAN; SFRP1; FRP; FRP-1; FRP1; FrzA; SARP2. |
| 产品应用 | WB=1:500-2000, IHC-P=1:100-500, IHC-F=1:100-500, IF=1:100-500 Not yet tested in other applications. |
| 交叉反应 | Human, Mouse, Rat |
| 抗体来源 | Rabbit |
| 免疫原 | KLH conjugated synthetic peptide derived from human SFRP1 |
| 亚型 | IgG |
| 性状 | Liquid |
| 纯化方法 | affinity purified by Protein A |
| 克隆类型 | Polyclonal |
| 理论分子量 | 33 kDa |
| 浓度 | 1mg/ml |
| 储存液 | 0.01M TBS (pH7.4) with 1% BSA, 0.02% Proclin300 and 50% Glycerol. |
| 研究领域 | Cell Biology > Proteolysis / Ubiquitin > Proteasome / Ubiquitin > Proteasome Developmental Biology > Organogenesis > Gut development > Gut specification Neuroscience > Neurology process > Growth and Development > Axonal Guidance Proteins Stem Cells > Signaling Pathways > Wnt > Secreted |
| 亚基 | Interacts with WNT1, WNT2 and FRZD6. Interacts with WNT4 and WNT8. |
| 亚细胞定位 | Secreted. Note=Cell membrane or extracellular matrix-associated. Released by heparin-binding. |
| 组织特异性 | Widely expressed. Absent from lung, liver and peripheral blood leukocytes. Highest levels in heart and fetal kidney. Also expressed in testis, ovary, fetal brain and lung, leiomyomal cells, myometrial cells and vascular smooth muscle cells. Expressed in foreskin fibroblasts and in keratinocytes. |
| 相似性 | Belongs to the secreted frizzled-related protein (sFRP) family. Contains 1 FZ (frizzled) domain. Contains 1 NTR domain. |
| 功能 | Soluble frizzled-related proteins (sFRPS) function as modulators of Wnt signaling through direct interaction with Wnts. They have a role in regulating cell growth and differentiation in specific cell types. SFRP1 decreases intracellular beta-catenin levels (By similarity). Has antiproliferative effects on vascular cells, in vitro and in vivo, and can induce, in vivo, an angiogenic response. In vascular cell cycle, delays the G1 phase and entry into the S phase (By similarity). In kidney development, inhibits tubule formation and bud growth in metanephroi (By similarity). Inhibits WNT1/WNT4-mediated TCF-dependent transcription. |
| 保存条件 | Shipped at 4℃. Store at -20℃ for one year. Avoid repeated freeze/thaw cycles. |
| 注意事项 | This product as supplied is intended for research use only, not for use in human, therapeutic or diagnostic applications. |
| 背景资料 | This gene encodes a member of the SFRP family that contains a cysteine-rich domain homologous to the putative Wnt-binding site of Frizzled proteins. Members of this family act as soluble modulators of Wnt signaling; epigenetic silencing of SFRP genes leads to deregulated activation of the Wnt-pathway which is associated with cancer. This gene may also be involved in determining the polarity of photoreceptor cells in the retina. [provided by RefSeq, Sep 2009] |
| 应用 | 推荐稀释比例 |
| {WB} | {1:500-2000} |
| {IHC-P} | {1:100-500} |
| {IHC-F} | {1:100-500} |
| {IF} | {1:100-500} |

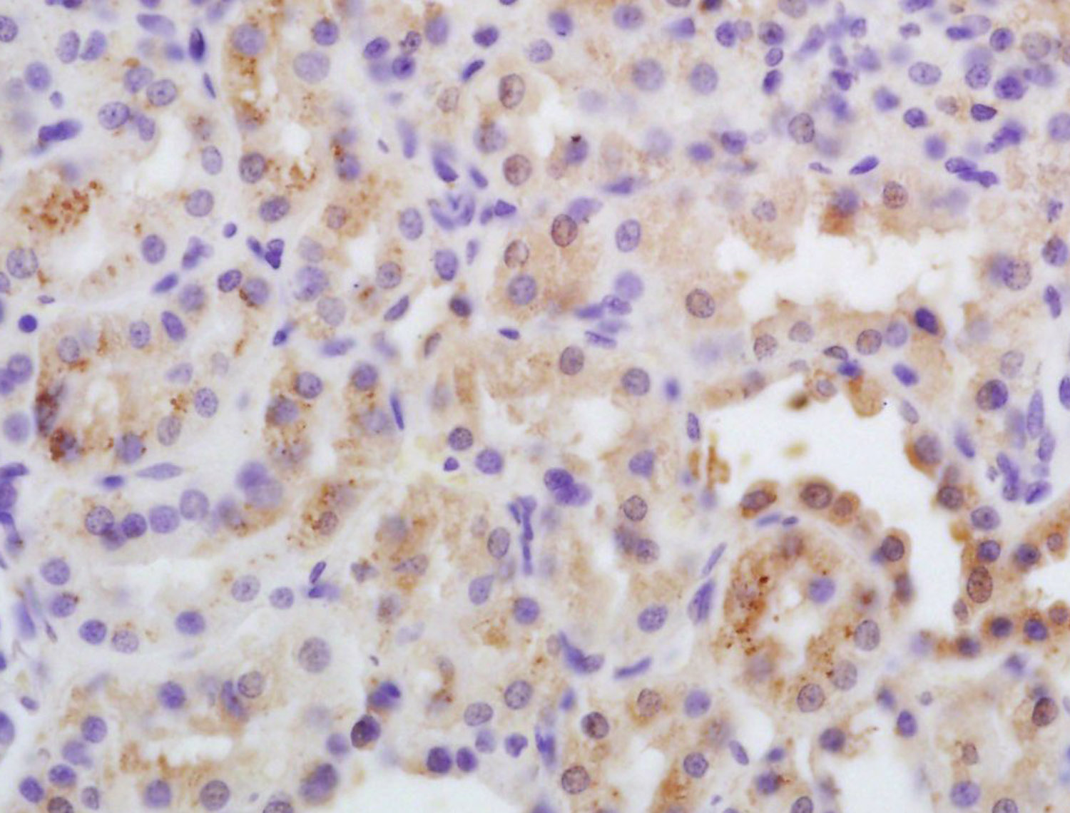
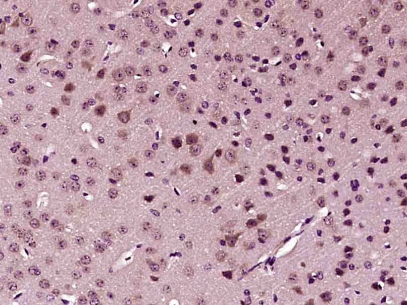
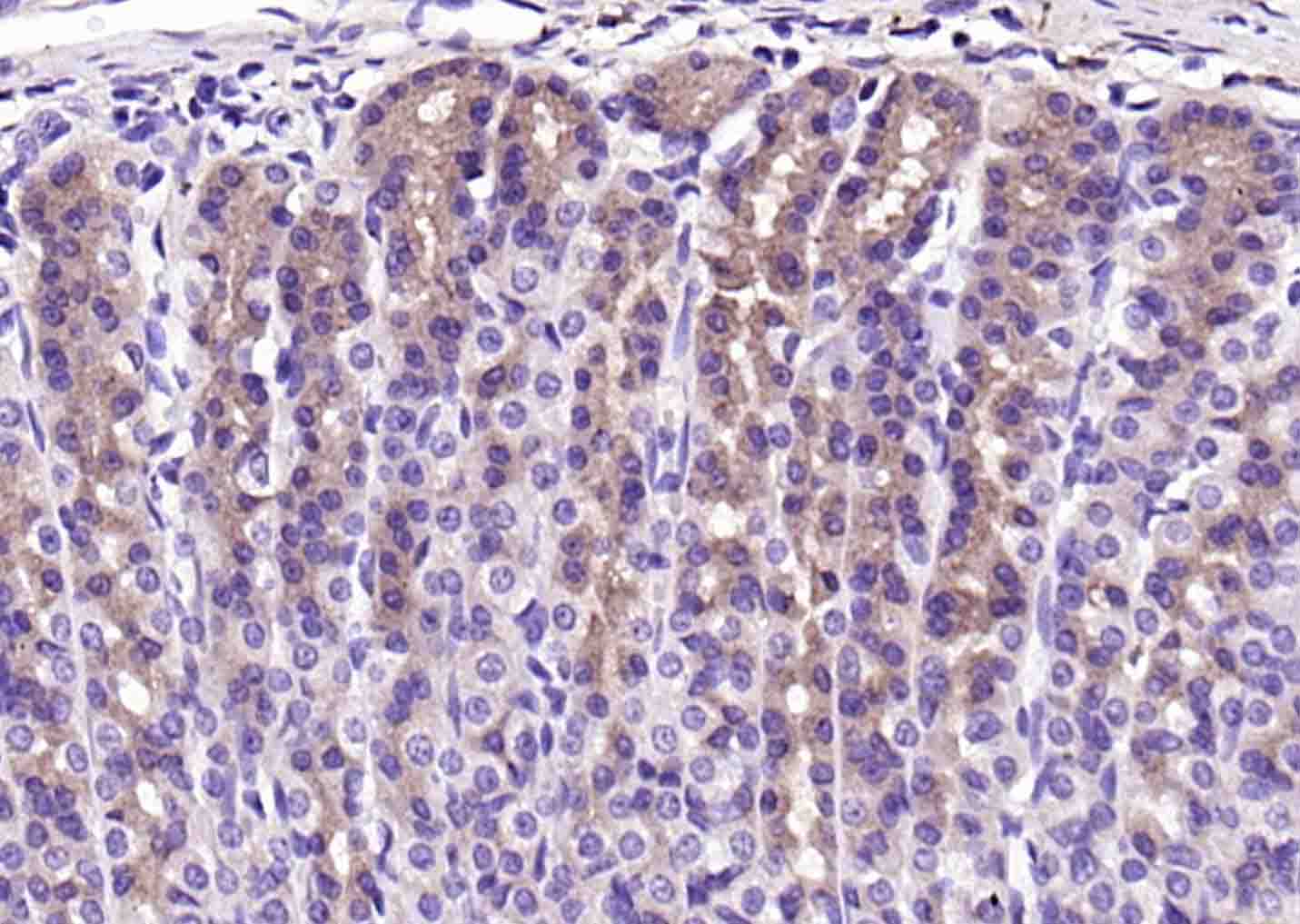
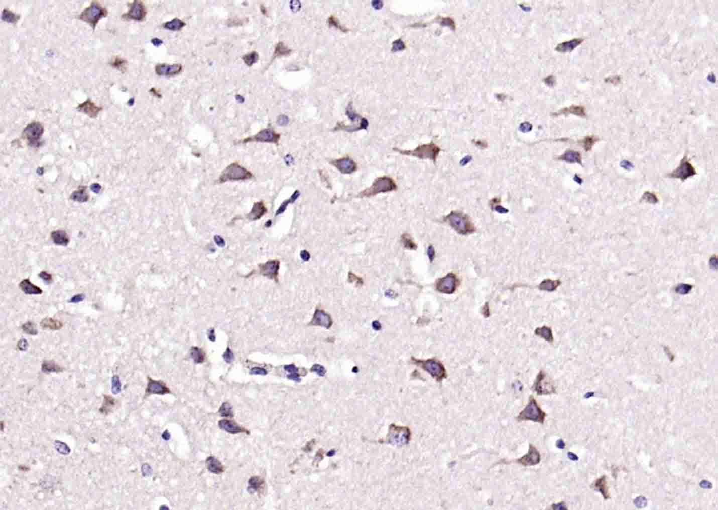
Antigen retrieval: citrate buffer ( 0.01M, pH 6.0 ), Boiling bathing for 15min; Block endogenous peroxidase by 3% Hydrogen peroxide for 30min; Blocking buffer (normal goat serum,C-0005) at 37℃ for 20 min;
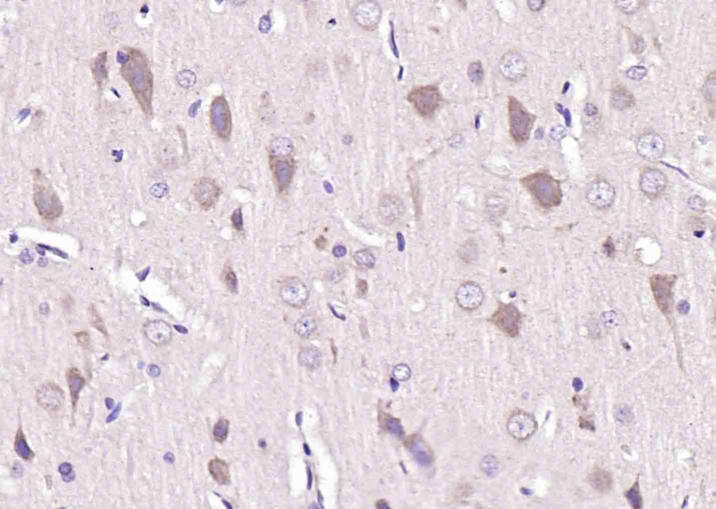
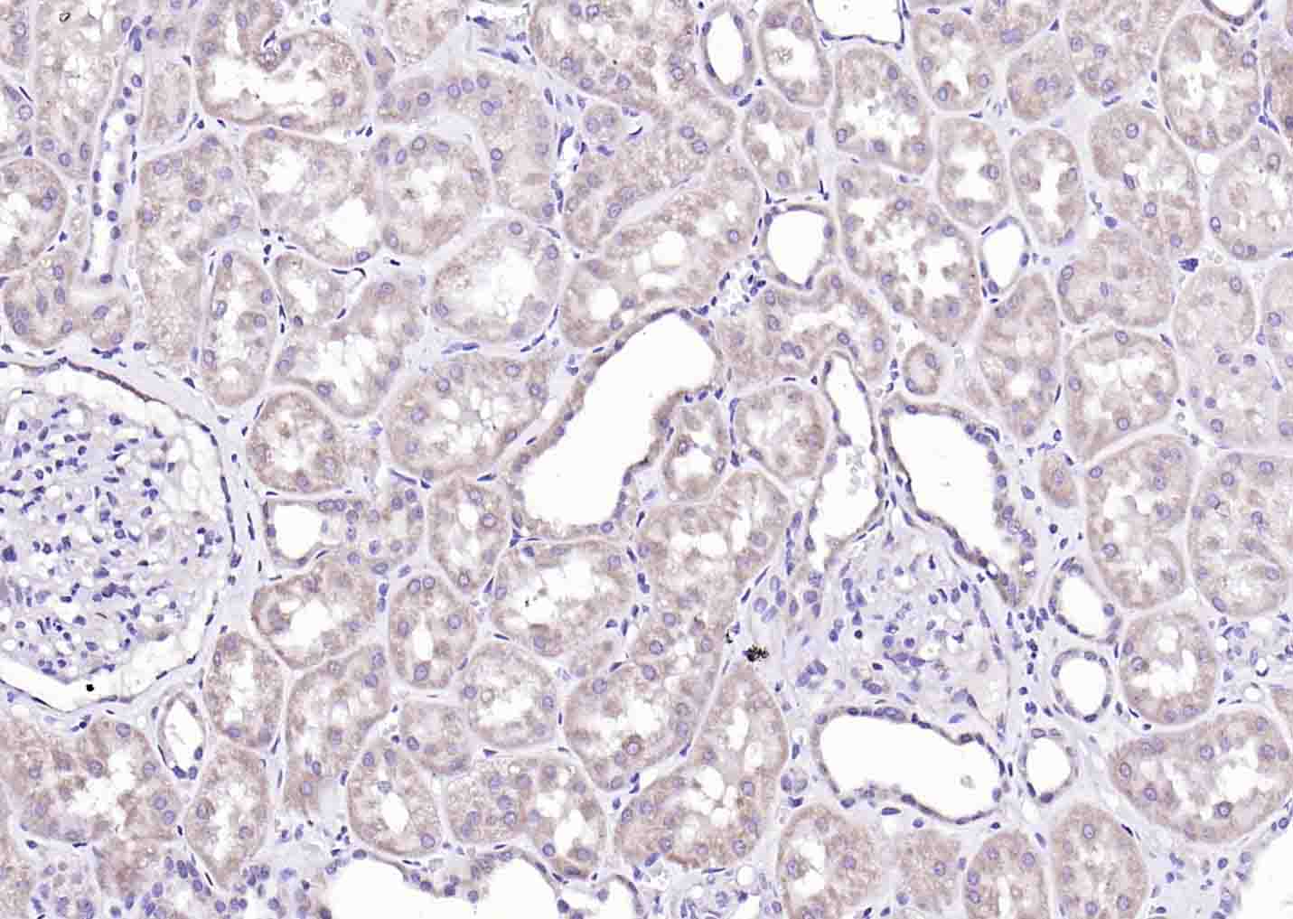
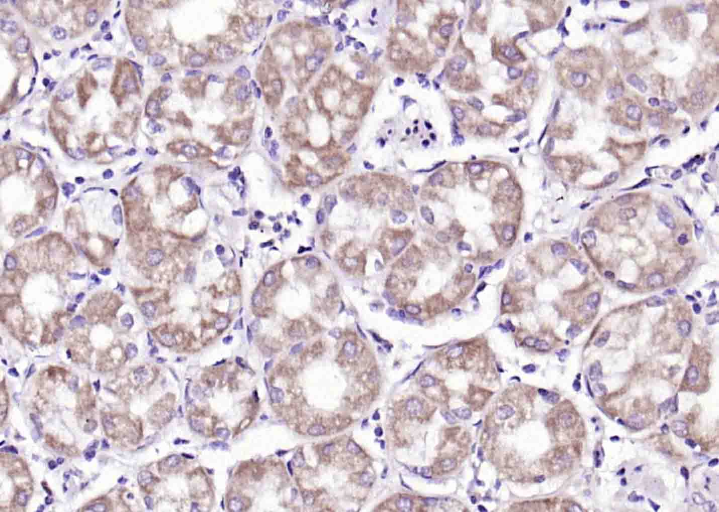
Incubation: Anti-SFRP1 Polyclonal Antibody, Unconjugated(bs-1303R) 1:200, overnight at 4°C, followed by conjugation to the secondary antibody(SP-0023) and DAB(C-0010) staining

Primary: Anti-SFRP1 (bs-1303R) at 1:300 dilution;
Secondary: HRP conjugated Goat-Anti-Rabbit IgG(bs-0295G-HRP) at 1: 5000 dilution;
Predicted band size : 33 kD
Observed band size :33 kD






风险提示:丁香通仅作为第三方平台,为商家信息发布提供平台空间。用户咨询产品时请注意保护个人信息及财产安全,合理判断,谨慎选购商品,商家和用户对交易行为负责。对于医疗器械类产品,请先查证核实企业经营资质和医疗器械产品注册证情况。
文献和实验[IF={{ 5.4 }}] {Mengwei Zhang. et al.A Novel Scaffold of Icariin/Porous Magnesium Alloy-Repaired Knee Cartilage Defect in Rat by Wnt/β-Catenin Signaling Pathway.ACS Biomaterials Science & Engineering.2024 Sep 9;10(9):5796-5806.} {IHC} {Rat}
[IF={{ 2.942 }}] {Shi M et al. MicroRNA-27a targets Sfrp1 to induce renal fibrosis in diabetic nephropathy by activating Wnt/β-Catenin signalling. Biosci Rep. 2020 Jun 26;40(6):BSR20192794.} {WB,ICC} {Rat}
[IF={{ 2.3 }}] {Chen Yu. et al. Inhibition of SFRP1 by microRNA‑206‑3p may be the underlying cause of osteosarcopenia. BIOMED REP. 2025 Jun;22(6):1-11} {WB} {Rat}
[IF={{ 1.52 }}] {Wang, Kun, et al. "MiR-27a regulates Wnt/beta-catenin signaling through targeting SFRP1 in glioma." NeuroReport 26.12 (2015): 695-702.} {WB} {="Human"}
[IF={{ 1.257 }}] {Hai Zhao. et al. Oxidative stress caused by a dysregulated Wnt/β-catenin signalling pathway is involved in abnormal placenta formation in pregnant mice with chronic fatigue syndrome. Zygote. 2020 Oct;:1-8} {WB,IHC} {Mouse}
= NAL), appears to form upon oxidative cyclization of the nonfluorescent 2:1 lysine-HNE Michael adduct-Schiff base cross-link (Scheme 1). Polyclonal antibody (PAb) to the NAL-HNE fluorophore was raised in rabbit and found to be highly specific
GE Healthcare Benzamidine Sepharose™ 6B is p-aminobenzamidine covalently attached to Sepharose 6B by the epoxy coupling method. p-Aminobenzamidine (PAB), is a synthetic inhibitor of trypsin-like serine protease. Trypsin and trypsin
v468.Chapter 3 分泌型跨膜相关蛋白提纯及Wnt抑制活性
rabbit polyclonalsFRP-1 antisera directed against either the full-lengthprotein or peptide segments; alternatively, one can use commerciallyavailable reagents such as a goat polyclonal antiserum(sc-7425; Santa Cruz Biotechnology, Santa Cruz, CA
技术资料暂无技术资料 索取技术资料






