相关产品推荐更多 >

LY6D Rabbit pAb(bs-18604R)-50ul/100ul/200ul
¥1180
SMARCB1 Rabbit pAb, BF555 conjugated(bs-6109R-BF555)-100ul
¥2980
GPCR ORF4/GPCR GPR137 Rabbit pAb, BF405 conjugated(bs-16270R-BF405)-100ul
¥2980
CK5+CK6 Rabbit pAb, PE-Cy5.5 conjugated(bs-20824R-PE-Cy5.5)-100ul
¥2980
Parvovirus Capsid protein VP1 Rabbit pAb(bs-4649R)-50ul/100ul/200ul
¥1180
万千商家帮你免费找货
0 人在求购买到急需产品
- 详细信息
- 文献和实验
- 技术资料
- 应用范围:
产品信息以Bioss网站为准
- 规格:
50ul/100ul/200ul
| 规格: | 50ul | 产品价格: | ¥1180.0 |
|---|---|---|---|
| 规格: | 100ul | 产品价格: | ¥1980.0 |
| 规格: | 200ul | 产品价格: | ¥2800.0 |
| 产品编号 | bs-0828R |
| 英文名称 | PAR1 Rabbit pAb |
| 中文名称 | 蛋白酶激活受体-1抗体 |
| 英文别名 | SAR; PAR-1; PAR 1; BXR; CF2R; F2R; HTR; TR; Proteinase-activated receptor 1 precursor; Proteinase activated receptor 1; Thrombin receptor; Coagulation factor II receptor; Prader-Willi/Angelman region-1; Coagulation factor II(thrombin) receptor; PAR1_HUMAN; |
| 产品应用 | WB=1:500-2000, IHC-P=1:100-500, IHC-F=1:100-500, IF=1:100-500 Not yet tested in other applications. |
| 交叉反应 | Human, Mouse, Rat |
| 抗体来源 | Rabbit |
| 免疫原 | KLH conjugated synthetic peptide derived from human PAR1 |
| 亚型 | IgG |
| 性状 | Liquid |
| 纯化方法 | affinity purified by Protein A |
| 克隆类型 | Polyclonal |
| 理论分子量 | 42 kDa |
| 浓度 | 1mg/ml |
| 储存液 | 0.01M TBS (pH7.4) with 1% BSA, 0.02% Proclin300 and 50% Glycerol. |
| 亚细胞定位 | Cell membrane; Multi-pass membrane protein. |
| 组织特异性 | Platelets and vascular endothelial cells. |
| 翻译后修饰 | A proteolytic cleavage generates a new N-terminus that functions as a tethered ligand. Phosphorylated; probably mediating desensitization prior to the uncoupling and internalization of the receptor. |
| 相似性 | Belongs to the G-protein coupled receptor 1 family. |
| 功能 | High affinity receptor for activated thrombin coupled to G proteins that stimulate phosphoinositide hydrolysis. May play a role in platelets activation and in vascular development. |
| 保存条件 | Shipped at 4℃. Store at -20℃ for one year. Avoid repeated freeze/thaw cycles. |
| 注意事项 | This product as supplied is intended for research use only, not for use in human, therapeutic or diagnostic applications. |
| 背景资料 | Coagulation factor II receptor is a 7-transmembrane receptor involved in the regulation of thrombotic response. Proteolytic cleavage leads to the activation of the receptor. F2R is a G-protein coupled receptor family member. [provided by RefSeq, Jul 2008] |
| 应用 | 推荐稀释比例 |
| {WB} | {1:500-2000} |
| {IHC-P} | {1:100-500} |
| {IHC-F} | {1:100-500} |
| {IF} | {1:100-500} |







风险提示:丁香通仅作为第三方平台,为商家信息发布提供平台空间。用户咨询产品时请注意保护个人信息及财产安全,合理判断,谨慎选购商品,商家和用户对交易行为负责。对于医疗器械类产品,请先查证核实企业经营资质和医疗器械产品注册证情况。
文献和实验[IF={{ 9.9 }}] {Lei Yao. et al. Ginsenoside Rh4 alleviates idiopathic pulmonary fibrosis by enhancing the CXCL9–CXCR3 axis. Food Frontiers. 2024 Mar;:} {WB} {Mouse}
[IF={{ 6 }}] {Yingchun Wang. et al. Therapeutic Effects of a Novel Aptamer on Coronaviral Infection-Induced Lung Injury and Systemic Inflammatory Responses. CELLS-BASEL. 2024 Jan;13(5):422} {WB} {Mouse}
[IF={{ 4.57 }}] {Daisuke Noguchi. et al. The impact of dabigatran treatment on sinusoidal protection against hepatic ischemia‐reperfusion injury in mice. 2020 Oct 27} {WB} {Mouse}
[IF={{ 3.53 }}] {Acton, David, and Gareth B. Miles. "Stimulation of Glia Reveals Modulation of Mammalian Spinal Motor Networks by Adenosine." PLOS ONE 10.8 (2015): e0134488.} {IHC} {="Mouse"}
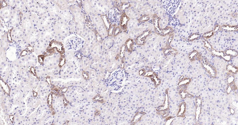
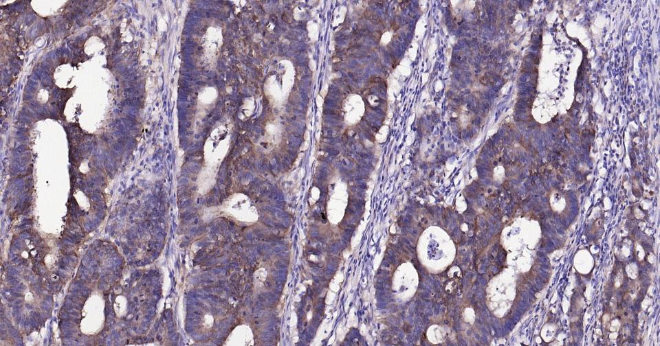
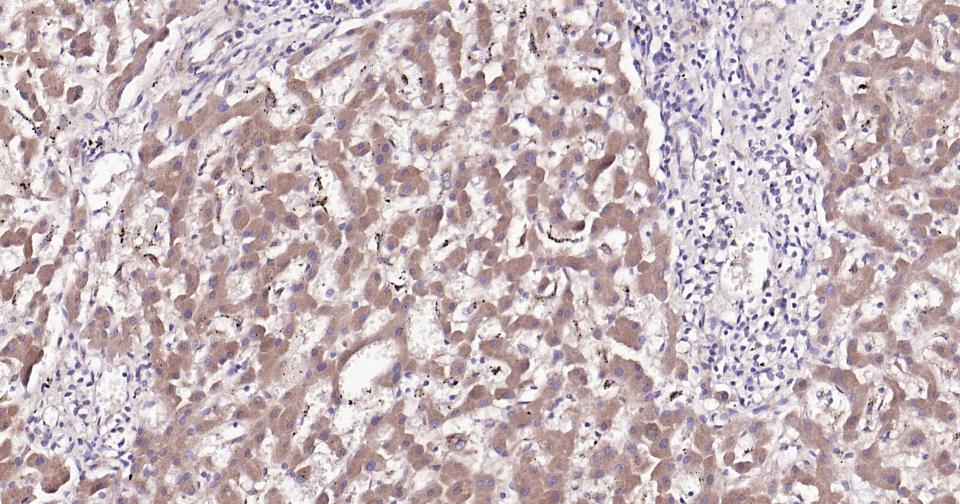
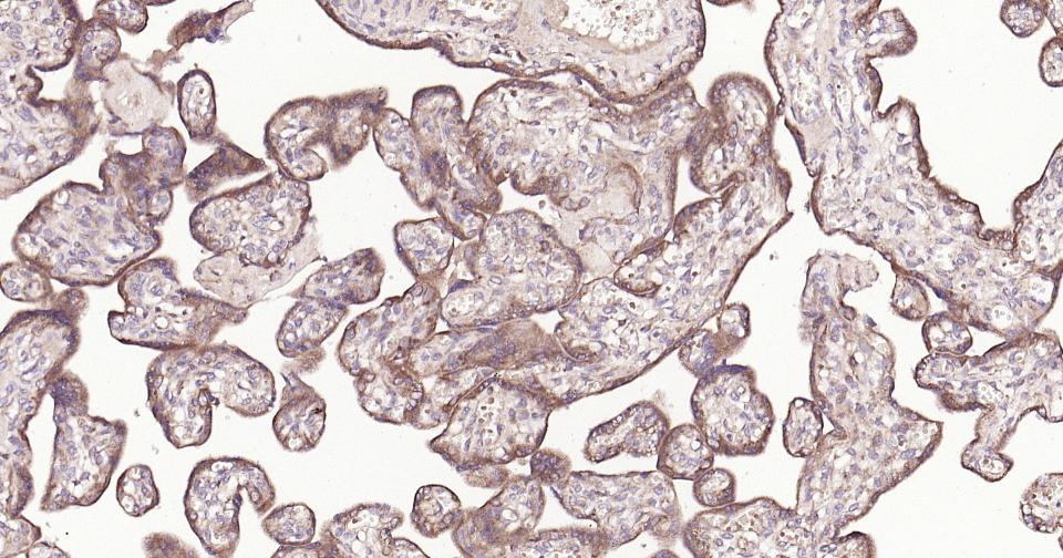
[IF={{ 3.294 }}] {Posthuma JJ et al. Protease-activated receptors are potential regulators in the development of arterial endofibrosis in high-performance athletes. (2018) J Vasc Surg.} {IHC} {Human}
= NAL), appears to form upon oxidative cyclization of the nonfluorescent 2:1 lysine-HNE Michael adduct-Schiff base cross-link (Scheme 1). Polyclonal antibody (PAb) to the NAL-HNE fluorophore was raised in rabbit and found to be highly specific
GE Healthcare Benzamidine Sepharose™ 6B is p-aminobenzamidine covalently attached to Sepharose 6B by the epoxy coupling method. p-Aminobenzamidine (PAB), is a synthetic inhibitor of trypsin-like serine protease. Trypsin and trypsin
Nucleic Acid Programmable Protein Arrays: Versatile Tools for Array‐Based Functional Protein Studies
.g., Sigma) 50 mg/ml bis‐sulfosuccinimdylsuberate (BS3 ;Pierce, cat. no. PI 21580) in dimethylsulfoxide (DMSO) 5 mg/ml
技术资料暂无技术资料 索取技术资料






