相关产品推荐更多 >

mGluR5 Rabbit pAb, Biotin conjugated(bs-1247R-Bio)-100ul
¥2980
NEDD4-2 Recombinant Rabbit mAb(bsm-61294R)-50ul/100ul/25ul
¥800
Arginase 1 Rabbit pAb, AP conjugated(bs-23837R-AP)-100ul
¥2980
CD84 Rabbit pAb, PE-Cy7 conjugated(bs-2520R-PE-Cy7)-100ul
¥2980
ET-1(2C4) Mouse mAb(bsm-0954M)-50ul/100ul/200ul/200ug
¥1180
万千商家帮你免费找货
0 人在求购买到急需产品
- 详细信息
- 文献和实验
- 技术资料
- 应用范围:
产品信息以Bioss网站为准
- 规格:
50ul/100ul/200ul
| 规格: | 50ul | 产品价格: | ¥1180.0 |
|---|---|---|---|
| 规格: | 100ul | 产品价格: | ¥1980.0 |
| 规格: | 200ul | 产品价格: | ¥2800.0 |
| 产品编号 | bs-2593R |
| 英文名称 | Caspase 3 precursor Rabbit pAb |
| 中文名称 | 半胱天冬酶-3酶原抗体 |
| 英文别名 | Caspase 3 precursor; APOPAIN; CASP3; Caspase 3 apoptosis related cysteine protease; Caspase3; CPP32; CPP32B; Cysteine protease CPP32; Human cysteine protease CPP32 isoform alpha mRNA complete cds; PARP cleavage protease; SCA 1; SCA1; SREBP cleavage activity 1; Yama; CASP3_HUMAN; Caspase-3; CASP-3; Apopain; Protein Yama; SREBP cleavage activity 1; SCA-1. |
| 产品应用 | WB=1:500-2000, ELISA=1:5000-10000 Not yet tested in other applications. |
| 交叉反应 | Human, Mouse, Rat |
| 抗体来源 | Rabbit |
| 免疫原 | KLH conjugated synthetic peptide derived from human Caspase 3 precursor |
| 亚型 | IgG |
| 性状 | Liquid |
| 纯化方法 | affinity purified by Protein A |
| 克隆类型 | Polyclonal |
| 理论分子量 | 32 kDa |
| 浓度 | 1mg/ml |
| 储存液 | 0.01M TBS (pH7.4) with 1% BSA, 0.02% Proclin300 and 50% Glycerol. |
| 研究领域 | Cancer > Cell Death > Apoptosis > Apoptosis Markers > Caspases Cancer > Cell Death > Apoptosis > Metabolism Cancer > Invasion/microenvironment > Apoptosis > Caspases Cell Biology > Apoptosis > Intracellular > Caspases etc > Caspases Cell Biology > Proteolysis / Ubiquitin > Proteolytic enzymes > Other proteases Metabolism > Pathways and Processes > Metabolism processes > Apoptosis |
| 亚基 | Heterotetramer that consists of two anti-parallel arranged heterodimers, each one formed by a 17 kDa (p17) and a 12 kDa (p12) subunit. Interacts with BIRC6/bruce. |
| 亚细胞定位 | Cytoplasm. |
| 组织特异性 | Highly expressed in lung, spleen, heart, liver and kidney. Moderate levels in brain and skeletal muscle, and low in testis. Also found in many cell lines, highest expression in cells of the immune system. |
| 翻译后修饰 | Cleavage by granzyme B, caspase-6, caspase-8 and caspase-10 generates the two active subunits. Additional processing of the propeptides is likely due to the autocatalytic activity of the activated protease. Active heterodimers between the small subunit of caspase-7 protease and the large subunit of caspase-3 also occur and vice versa.
S-nitrosylated on its catalytic site cysteine in unstimulated human cell lines and denitrosylated upon activation of the Fas apoptotic pathway, associated with an increase in intracellular caspase activity. Fas therefore activates caspase-3 not only by inducing the cleavage of the caspase zymogen to its active subunits, but also by stimulating the denitrosylation of its active site thiol. |
| 相似性 | Belongs to the peptidase C14A family. |
| 功能 | Involved in the activation cascade of caspases responsible for apoptosis execution. At the onset of apoptosis it proteolytically cleaves poly(ADP-ribose) polymerase (PARP) at a '216-Asp-|-Gly-217' bond. Cleaves and activates sterol regulatory element binding proteins (SREBPs) between the basic helix-loop-helix leucine zipper domain and the membrane attachment domain. Cleaves and activates caspase-6, -7 and -9. Involved in the cleavage of huntingtin. Triggers cell adhesion in sympathetic neurons through RET cleavage. |
| 保存条件 | Shipped at 4℃. Store at -20℃ for one year. Avoid repeated freeze/thaw cycles. |
| 注意事项 | This product as supplied is intended for research use only, not for use in human, therapeutic or diagnostic applications. |
| 背景资料 | The caspase family of cysteine proteases play a key role in apoptosis. Caspase 3 is the most extensively studied apoptotic protein among caspase family members. Caspase 3 is synthesized as inactive pro enzyme that is processed in cells undergoing apoptosis by self proteolysis and/or cleavage by other upstream proteases (e.g. Caspases 8, 9 and 10). The processed form of Caspase 3 consists of large (17kDa) and small (12kDa) subunits which associate to form an active enzyme. Caspase 3 is cleaved at Asp28 Ser29 and Asp175 Ser176. The active Caspase 3 proteolytically cleaves and activates other caspases (e.g. Caspases 6, 7 and 9), as well as relevant targets in the cells (e.g. PARP and DFF). Alternative splicing of this gene results in two transcript variants which encode the same protein. In immunohistochemical studies Caspase 3 expression has been shown to be widespread but not present in all cell types (e.g. commonly reported in epithelial cells of skin, renal proximal tubules and collecting ducts). Differences in the level of Caspase 3 have been reported in cells of short lived nature (eg germinal centre B cells) and those that are long lived (eg mantle zone B cells). Caspase 3 is the predominant caspase involved in the cleavage of amyloid beta 4A precursor protein, which is associated with neuronal death in Alzheimer's disease. |
| 应用 | 推荐稀释比例 |
| {WB} | {1:500-2000} |
| {ELISA} | {1:5000-10000} |

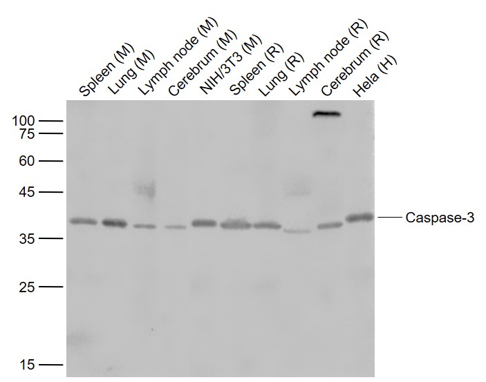
Lane 1: Spleen (Mouse) Lysate at 40 ug
Lane 2: Lung (Mouse) Lysate at 40 ug
Lane 3: Lymph node (Mouse) Lysate at 40 ug
Lane 4: Cerebrum (Mouse) Lysate at 40 ug
Lane 5: NIH/3T3 (Mouse) Cell Lysate at 30 ug
Lane 6: Spleen (Rat) Lysate at 40 ug
Lane 7: Lung (Rat) Lysate at 40 ug
Lane 8: Lymph node (Rat) Lysate at 40 ug
Lane 9: Cerebrum (Rat) Lysate at 40 ug
Lane 10: Hela (Human) Cell Lysate at 30 ug
Primary: Anti-Caspase-3 (bs-2593R) at 1/1000 dilution
Secondary: IRDye800CW Goat Anti-Rabbit IgG at 1/20000 dilution
Predicted band size: 35 kD
Observed band size: 37 kD

Lane 1: Raji (Human) Cell Lysate at 30 ug
Lane 2: NIH/3T3 (Mouse) Cell Lysate at 30 ug
Lane 3: Lung (Mouse) Lysate at 40 ug
Lane 4: Lung (Rat) Lysate at 40 ug
Primary: Anti-Caspase-3 (bs-2593R) at 1/1000 dilution
Secondary: IRDye800CW Goat Anti-Rabbit IgG at 1/20000 dilution
Predicted band size: 35 kD
Observed band size: 37 kD
风险提示:丁香通仅作为第三方平台,为商家信息发布提供平台空间。用户咨询产品时请注意保护个人信息及财产安全,合理判断,谨慎选购商品,商家和用户对交易行为负责。对于医疗器械类产品,请先查证核实企业经营资质和医疗器械产品注册证情况。
文献和实验[IF={{ 6.691 }}] {Barzegar-fallah, Anita. et al. Serotonin type-3 receptor antagonists selectively kill melanoma cells through classical apoptosis, microtubule depolymerisation, ERK activation, and NF-κB downregulation. 2021 Oct 15} {WB} {Human,Mouse}
[IF={{ 5.74 }}] {Duan, Xiaoxu, et al. "Antioxidant tert-butylhydroquinone ameliorates arsenic-induced intracellular damages and apoptosis through induction of Nrf2-dependent antioxidant responses as well as stabilization of anti-apoptotic factor Bcl− 2 in human keratinocytes." Free Radical Biology and Medicine(2016).} {WB} {="Human"}
[IF={{ 4.486 }}] {Mingying Han. et al. Verapamil inhibits early acute liver failure through suppressing the NLRP3 inflammasome pathway. 2021 May 24} {WB} {Mouse}
[IF={{ 4.2 }}] {Omer Dikici. et al. Time-Dependent Effects of Low-Intensity Pulsed Ultrasound on Apoptosis and Autophagy in Malignant Melanoma Stem Cells. J CELL MOL MED. 2025 Jun;29(12):e70687} {IF} {Human}
[IF={{ 3.9 }}] {Hatice KARABODUK. et al. The Ameliorative Effect of Naringenin on Fenamiphos Induced Hepatotoxicity and Nephrotoxicity in a Rat Model: Oxidative stress, Inflammatory markers, Biochemical, Histopathological, Immunohistochemical and Electron Microscopy Study. FOOD CHEM TOXICOL. 2024 Aug;:114911} {IHC} {Rat}
-277): sc-7148 SOURCE Caspase-3 (H-277) is a rabbit polyclonal antibody raised against a recombinant protein corresponding to amino acids 1-277 representing the full length precursor form of caspase-3 of human origin. SPECIFICITY Caspase-3 (H-277
【资源】全面归类网址:毕赤酵母表达各种来源蛋白(细菌,真菌,植物,人类等)
mg/L, active502Feline type I interferonsS, α-MF, active518Goat α-lactalbuminS, α-MF, 20 mg/L506Hen lysozymeS, 20 mg/L, α-MF[159]Herring antifreeze proteinS, α-MF, active377Mammalian amyloid precursor fusion proteinS, α-MF, active378Mammalian lipocalin
Studies of the Ubiquitin Proteasome System
Assays of E1 and E2 Activity Basic Protocol 1: Thiolester Formation Between Rabbit E1 and Ubiquitin Basic Protocol 2: Thiolester Formation Between E2 and Ubiquitin Binding of Ubiquitin‐Proteasome Proteins Basic Protocol 3: Binding of E2s to E3s Alternate
技术资料暂无技术资料 索取技术资料





