相关产品推荐更多 >
万千商家帮你免费找货
0 人在求购买到急需产品
- 详细信息
- 文献和实验
- 技术资料
- 应用范围:
产品信息以Bioss网站为准
- 规格:
50ul/100ul/200ul
| 规格: | 50ul | 产品价格: | ¥1180.0 |
|---|---|---|---|
| 规格: | 100ul | 产品价格: | ¥1980.0 |
| 规格: | 200ul | 产品价格: | ¥2800.0 |
| 产品编号 | bs-1360R |
| 英文名称 | GADD45A Rabbit pAb |
| 中文名称 | 生长抑制DNA损伤基因45抗体 |
| 英文别名 | Growth Arrest And DNA Damage Inducible alpha; DNA Damage-Inducible Transcript 1 Protein; DDIT-1; GADD45; DDIT1; Growth Arrest And DNA Damage-Inducible Protein GADD45 alpha; Growth Arrest And DNA-Damage-Inducible 45 alpha; Growth Arrest And DNA-Damage-Inducible, alpha; DNA Damage-Inducible Transcript-1; GA45A_HUMAN |
| 产品应用 | WB=1:500-2000, IHC-P=1:100-500, IHC-F=1:100-500, ICC/IF=1:100-500, IF=1:100-500, Flow-Cyt=3ug/Test Not yet tested in other applications. |
| 交叉反应 | Human, Mouse, Rat (Chicken, Pig, Cow) |
| 抗体来源 | Rabbit |
| 免疫原 | KLH conjugated synthetic peptide derived from human GADD45 |
| 亚型 | IgG |
| 性状 | Liquid |
| 纯化方法 | affinity purified by Protein A |
| 克隆类型 | Polyclonal |
| 理论分子量 | 18 kDa |
| 浓度 | 1mg/ml |
| 储存液 | 0.01M TBS (pH7.4) with 1% BSA, 0.02% Proclin300 and 50% Glycerol. |
| 研究领域 | Epigenetics and Nuclear Signaling > DNA / RNA > DNA Damage & Repair > Base Excision Repair |
| 亚基 | Interacts with MAPK14. Predominantly monomeric but also forms dimers and other oligomers as concentration increases. Interacts with GADD45GIP1. Interacts weakly with PCNA. Interacts with AURKA, likely to compete with dimerization. |
| 亚细胞定位 | Nucleus. |
| 相似性 | Belongs to the GADD45 family. |
| 功能 | In T-cells, functions as a regulator of p38 MAPKs by inhibiting p88 phosphorylation and activity. Might affect PCNA interaction with some CDK (cell division protein kinase) complexes; stimulates DNA excision repair in vitro and inhibits entry of cells into S phase. |
| 保存条件 | Shipped at 4℃. Store at -20℃ for one year. Avoid repeated freeze/thaw cycles. |
| 注意事项 | This product as supplied is intended for research use only, not for use in human, therapeutic or diagnostic applications. |
| 背景资料 | This gene is a member of a group of genes whose transcript levels are increased following stressful growth arrest conditions and treatment with DNA-damaging agents. The protein encoded by this gene responds to environmental stresses by mediating activation of the p38/JNK pathway via MTK1/MEKK4 kinase. The DNA damage-induced transcription of this gene is mediated by both p53 dependent and independent mechanisms. |
| 应用 | 推荐稀释比例 |
| {WB} | {1:500-2000} |
| {IHC-P} | {1:100-500} |
| {IHC-F} | {1:100-500} |
| {ICC/IF} | {1:100-500} |
| {IF} | {1:100-500} |
| {Flow-Cyt} | {3ug/Test} |


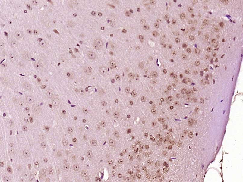
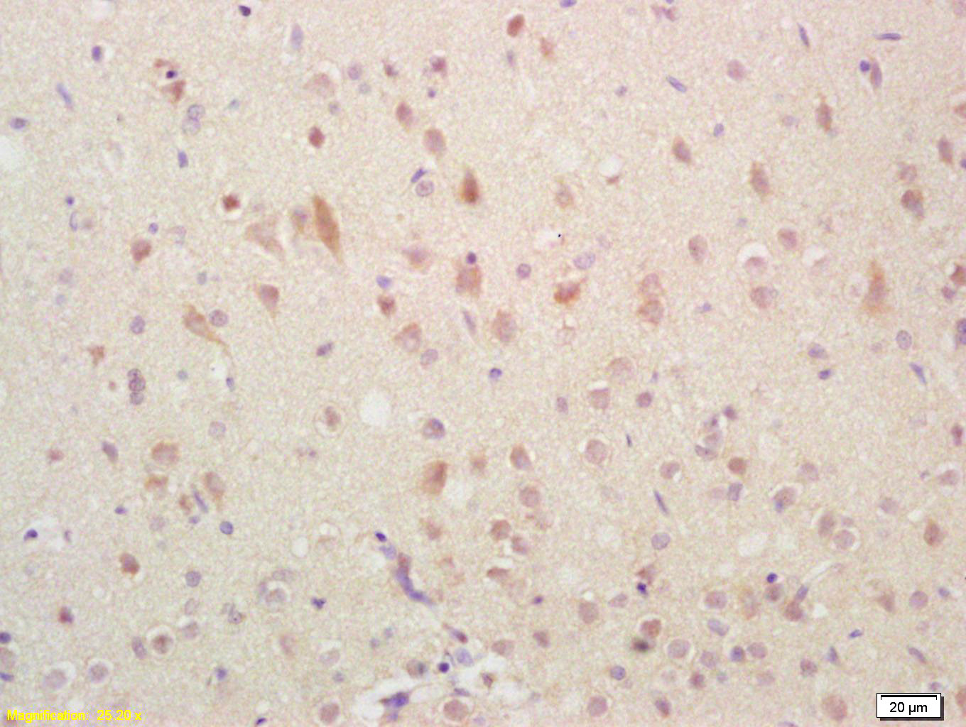
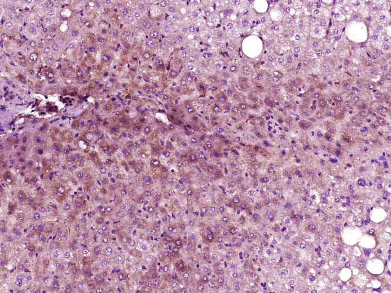
Antigen retrieval: citrate buffer ( 0.01M, pH 6.0 ), Boiling bathing for 15min; Block endogenous peroxidase by 3% Hydrogen peroxide for 30min; Blocking buffer (normal goat serum,C-0005) at 37℃ for 20 min;
Incubation: Anti-GADD45 Polyclonal Antibody, Unconjugated(bs-1360R) 1:200, overnight at 4°C, followed by conjugation to the secondary antibody(SP-0023) and DAB(C-0010) staining

Lane1: Brain (Rat) Lysate at 30 ug
Lane2:Kidney (Rat) Lysate at 30 ug
Primary: Anti-GADD45 (bs-1360R) at 1:200 dilution;
Secondary: HRP conjugated Goat-Anti-Rabbit IgG(bs-0295G-HRP) at 1: 3000 dilution;
Predicted band size : 18kD
Observed band size : 18kD
We are unsure as to the identity of these extra bands




Primary Antibody (green line): Rabbit Anti-GADD45 antibody (bs-1360R)
Dilution: 1μg /10^6 cells;
Isotype Control Antibody (orange line): Rabbit IgG .
Secondary Antibody: Goat anti-rabbit IgG-AF647
Dilution: 1μg /test.
Protocol
The cells were fixed with 4% PFA (10min at room temperature)and then permeabilized with 0.1% PBST for 20 min at room temperature. The cells were then incubated in 5%BSA to block non-specific protein-protein interactions for 30 min at room temperature .Cells stained with Primary Antibody for 30 min at room temperature. The secondary antibody used for 40 min at room temperature. Acquisition of 20,000 events was performed.
风险提示:丁香通仅作为第三方平台,为商家信息发布提供平台空间。用户咨询产品时请注意保护个人信息及财产安全,合理判断,谨慎选购商品,商家和用户对交易行为负责。对于医疗器械类产品,请先查证核实企业经营资质和医疗器械产品注册证情况。
文献和实验[IF={{ 7.419 }}] {Li Liu. et al. Nanosilver inhibits the progression of pancreatic cancer by inducing a paraptosis-like mixed type of cell death. BIOMED PHARMACOTHER. 2022 Sep;153:113511} {IHC} {Chicken}
[IF={{ 6.5 }}] {Yuan Zhang. et al. Boosting Hydroxyl Radical Generation with Nitrogen Vacancy–Modified Carbon Nitride for Triggering Dual Damage of Cancer Nucleus DNA–Mitochondria against Hypoxic Tumors. INT J NANOMED. 2025 七月 04} {IF,WB} {Human}
[IF={{ 5.6 }}] {Ming Xie. et al. GADD45A and GADD45B as Novel Biomarkers Associated with Chromatin Regulators in Renal Ischemia-Reperfusion Injury. INT J MOL SCI. 2023 Jan;24(14):11304} {WB,IHC,IF} {Mouse}
[IF={{ 4.489 }}] {Xin-Li Xiao. et al. Status epilepticus induced Gadd45b is required for augmented dentate neurogenesis. Stem Cell Res. 2020 Dec;49:102102} {IF} {Mouse}
[IF={{ 4.2 }}] {Yuan, Qing, et al. "Docetaxel-loaded solid lipid nanoparticles suppress breast cancer cells growth with reduced myelosuppression toxicity." International Journal of Nanomedicine 9 (2014): 4829.} {WB} {="Mouse"}
= NAL), appears to form upon oxidative cyclization of the nonfluorescent 2:1 lysine-HNE Michael adduct-Schiff base cross-link (Scheme 1). Polyclonal antibody (PAb) to the NAL-HNE fluorophore was raised in rabbit and found to be highly specific
GE Healthcare Benzamidine Sepharose™ 6B is p-aminobenzamidine covalently attached to Sepharose 6B by the epoxy coupling method. p-Aminobenzamidine (PAB), is a synthetic inhibitor of trypsin-like serine protease. Trypsin and trypsin
Nucleic Acid Programmable Protein Arrays: Versatile Tools for Array‐Based Functional Protein Studies
.g., Sigma) 50 mg/ml bis‐sulfosuccinimdylsuberate (BS3 ;Pierce, cat. no. PI 21580) in dimethylsulfoxide (DMSO) 5 mg/ml
技术资料暂无技术资料 索取技术资料








