相关产品推荐更多 >
万千商家帮你免费找货
0 人在求购买到急需产品
- 详细信息
- 文献和实验
- 技术资料
- 应用范围:
产品信息以Bioss网站为准
- 规格:
50ul/100ul/200ul
| 规格: | 50ul | 产品价格: | ¥1180.0 |
|---|---|---|---|
| 规格: | 100ul | 产品价格: | ¥1980.0 |
| 规格: | 200ul | 产品价格: | ¥2800.0 |
| 产品编号 | bs-0040R |
| 英文名称 | protein C Rabbit pAb |
| 中文名称 | 维生素K依赖的蛋白C重链抗体 |
| 英文别名 | Anticoagulant protein C; Autoprothrombin IIA; Blood coagulation factor XIV; EC 3.4.21.69; PC; PROC; PROC1; Vitamin K dependent protein C precursor; APC; EC 3.4.21.69; PC; proC; PROC_HUMAN; Protein C(inactivator of coagulation factors Va and VIIIa); Vitamin K dependent protein C; Vitamin K-dependent protein C; Anticoagulant protein C; Vitamin K-dependent protein C heavy chain. |
| 产品应用 | WB=1:500-2000, IHC-P=1:100-500, IHC-F=1:100-500, IF=1:100-500 Not yet tested in other applications. |
| 交叉反应 | Human, Mouse, Rat (Chicken, Dog, Pig, Cow) |
| 抗体来源 | Rabbit |
| 免疫原 | KLH conjugated synthetic peptide derived from human Vitamin K-dependent protein C heavy chain |
| 亚型 | IgG |
| 性状 | Liquid |
| 纯化方法 | affinity purified by Protein A |
| 克隆类型 | Polyclonal |
| 理论分子量 | 29/46 kDa |
| 浓度 | 1mg/ml |
| 储存液 | 0.01M TBS (pH7.4) with 1% BSA, 0.02% Proclin300 and 50% Glycerol. |
| 亚基 | Synthesized as a single chain precursor, which is cleaved into a light chain and a heavy chain held together by a disulfide bond. The enzyme is then activated by thrombin, which cleaves a tetradecapeptide from the amino end of the heavy chain; this reaction, which occurs at the surface of endothelial cells, is strongly promoted by thrombomodulin. |
| 组织特异性 | Plasma; synthesized in the liver. |
| 翻译后修饰 | The vitamin K-dependent, enzymatic carboxylation of some Glu residues allows the modified protein to bind calcium.
N- and O-glycosylated. Partial (70%) N-glycosylation of Asn-371 with an atypical N-X-C site produces a higher molecular weight form referred to as alpha. The lower molecular weight form, not N-glycosylated at Asn-371, is beta. O-glycosylated with core 1 or possibly core 8 glycans. The iron and 2-oxoglutarate dependent 3-hydroxylation of aspartate and asparagine is (R) stereospecific within EGF domains. May be phosphorylated on a Ser or Thr in a region (AA 25-30) of the propeptide. |
| 相似性 | Belongs to the peptidase S1 family.
Contains 2 EGF-like domains. Contains 1 Gla (gamma-carboxy-glutamate) domain. Contains 1 peptidase S1 domain. |
| 功能 | Protein C is a vitamin K-dependent serine protease that regulates blood coagulation by inactivating factors Va and VIIIa in the presence of calcium ions and phospholipids. |
| 保存条件 | Shipped at 4℃. Store at -20℃ for one year. Avoid repeated freeze/thaw cycles. |
| 注意事项 | This product as supplied is intended for research use only, not for use in human, therapeutic or diagnostic applications. |
| 背景资料 | This gene encodes a vitamin K-dependent plasma glycoprotein. The encoded protein is cleaved to its activated form by the thrombin-thrombomodulin complex. This activated form contains a serine protease domain and functions in degradation of the activated forms of coagulation factors V and VIII. Mutations in this gene have been associated with thrombophilia due to protein C deficiency, neonatal purpura fulminans, and recurrent venous thrombosis.[provided by RefSeq, Dec 2009]. |
| 应用 | 推荐稀释比例 |
| {WB} | {1:500-2000} |
| {IHC-P} | {1:100-500} |
| {IHC-F} | {1:100-500} |
| {IF} | {1:100-500} |

Antigen retrieval: citrate buffer ( 0.01M, pH 6.0 ), Boiling bathing for 15min; Blocking buffer (normal goat serum,C-0005) at 37℃ for 20 min;
Incubation: Anti-Activated protein C/PROC1 Polyclonal Antibody, Unconjugated(bs-0040R) 1:200, overnight at 4°C; The secondary antibody was Goat Anti-Rabbit IgG, PE conjugated (bs-0295G-PE)used at 1:200 dilution for 40 minutes at 37°C.

Antigen retrieval: citrate buffer ( 0.01M, pH 6.0 ), Boiling bathing for 15min; Block endogenous peroxidase by 3% Hydrogen peroxide for 30min; Blocking buffer (normal goat serum,C-0005) at 37℃ for 20 min;
Incubation: Anti-Activated protein C/PROC1 Polyclonal Antibody, Unconjugated(bs-0040R) 1:200, overnight at 4°C, followed by conjugation to the secondary antibody(SP-0023) and DAB(C-0010) staining

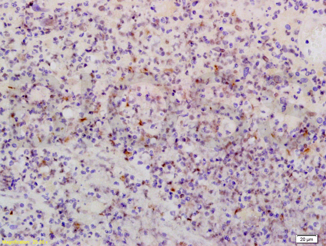
Antigen retrieval: citrate buffer ( 0.01M, pH 6.0 ), Boiling bathing for 15min; Block endogenous peroxidase by 3% Hydrogen peroxide for 30min; Blocking buffer (normal goat serum,C-0005) at 37℃ for 20 min;
Incubation: Anti-protein C Polyclonal Antibody, Unconjugated(bs-0040R) 1:200, overnight at 4°C, followed by conjugation to the secondary antibody(SP-0023) and DAB(C-0010) staining

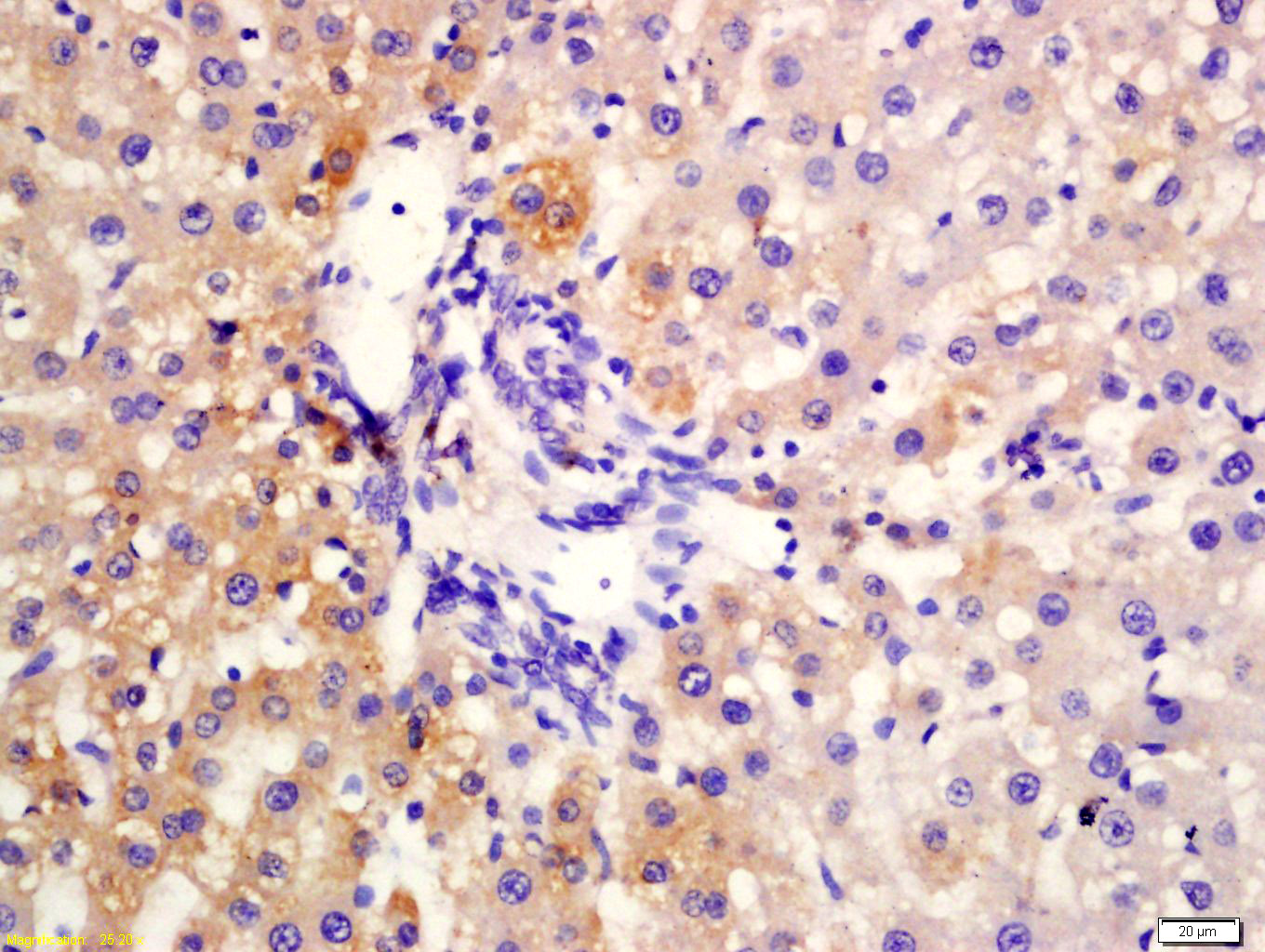
Antigen retrieval: citrate buffer ( 0.01M, pH 6.0 ), Boiling bathing for 15min; Block endogenous peroxidase by 3% Hydrogen peroxide for 30min; Blocking buffer (normal goat serum,C-0005) at 37℃ for 20 min;
Incubation: Anti-protein C Polyclonal Antibody, Unconjugated(bs-0040R) 1:200, overnight at 4°C, followed by conjugation to the secondary antibody(SP-0023) and DAB(C-0010) staining

Lane 1: Rat Kidney tissue lysates
Lane 2: Rat Colon tissue lysates
Lane 3: Rat H9C2 cell lysates
Primary: Anti-protein C (bs-0040R) at 1/1000 dilution
Secondary: IRDye800CW Goat Anti-Rabbit IgG at 1/20000 dilution
Predicted band size: 29/46 kDa
Observed band size: 52 kDa
风险提示:丁香通仅作为第三方平台,为商家信息发布提供平台空间。用户咨询产品时请注意保护个人信息及财产安全,合理判断,谨慎选购商品,商家和用户对交易行为负责。对于医疗器械类产品,请先查证核实企业经营资质和医疗器械产品注册证情况。
文献和实验Mapping Protein Distributions on Polytene Chromosomes by Immunostaining
INTRODUCTION The formidable size and structure of polytene chromosomes allow mapping of chromosomal protein distributions at very high resolution. This protocol describes the preparation of polytene chromosomes from Drosophila larvae
ANTIBODY BINDING TO PROTEIN A AND PROTEIN G
., Finstad, J., Williams, Jr., R. C. 1970. Phylogenetic insight into evolution of mammalian Fc fragment of g G globulin using staphylococcal protein A. J. Immunol. 104:140-147. Kronvall, G. 1973. A surface component in group A, C, and G streptococci
Phosphoinositides, Inositol Phosphates, and Phospholipase C in Embryonic Stem Cells
is involved in the release of intracellu-lar calcium from internal stores, whereas the lipophilic diacylglycerol is involved in protein kinase C activation. Inositol supplementation is essential for the in vitro growth of rabbit blastocysts, and studies
技术资料暂无技术资料 索取技术资料









