相关产品推荐更多 >

PHLP Rabbit pAb(bs-5812R)-50ul/100ul/200ul
¥1180
IGF2 Rabbit pAb, BF488 conjugated(bs-0015R-BF488)-100ul
¥2980
UGT1A7 Rabbit pAb, AP conjugated(bs-20068R-AP)-100ul
¥2980
Anti-CD28 & EGFR Reference Antibody (Regn7075 Biosimilar)(BIO0987SM)-100ug/1mg/5mg
¥2160
CD36 Rabbit pAb(bs-42054R)-50ul/100ul/200ul
¥1180
万千商家帮你免费找货
0 人在求购买到急需产品
- 详细信息
- 文献和实验
- 技术资料
- 应用范围:
产品信息以Bioss网站为准
- 规格:
50ul/100ul/200ul
| 规格: | 50ul | 产品价格: | ¥1180.0 |
|---|---|---|---|
| 规格: | 100ul | 产品价格: | ¥1980.0 |
| 规格: | 200ul | 产品价格: | ¥2800.0 |
| 产品编号 | bs-6654R |
| 英文名称 | Adenosine deaminase Rabbit pAb |
| 中文名称 | 腺苷脱氨酶(ADA)抗体 |
| 英文别名 | ADA; ADA1; ADA_HUMAN; Adenosine aminohydrolase; |
| 产品应用 | WB=1:500-2000, IHC-P=1:100-500, IHC-F=1:100-500, IF=1:100-500 Not yet tested in other applications. |
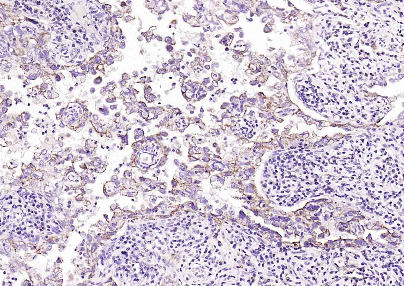
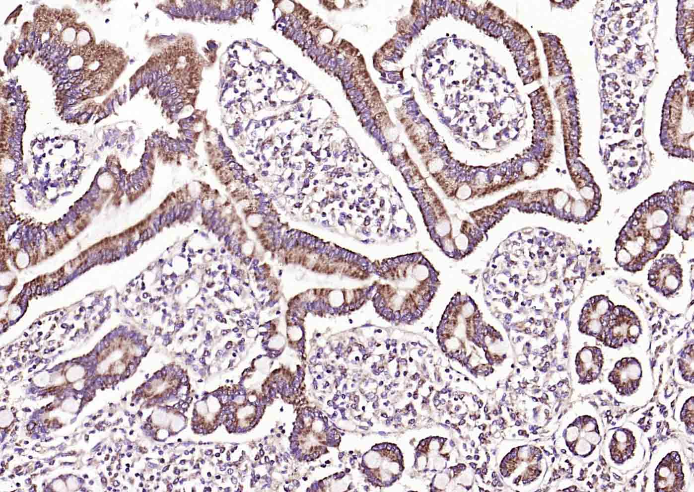
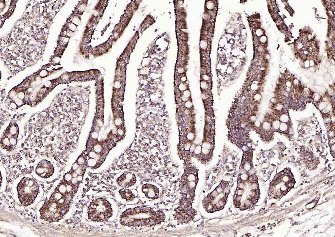
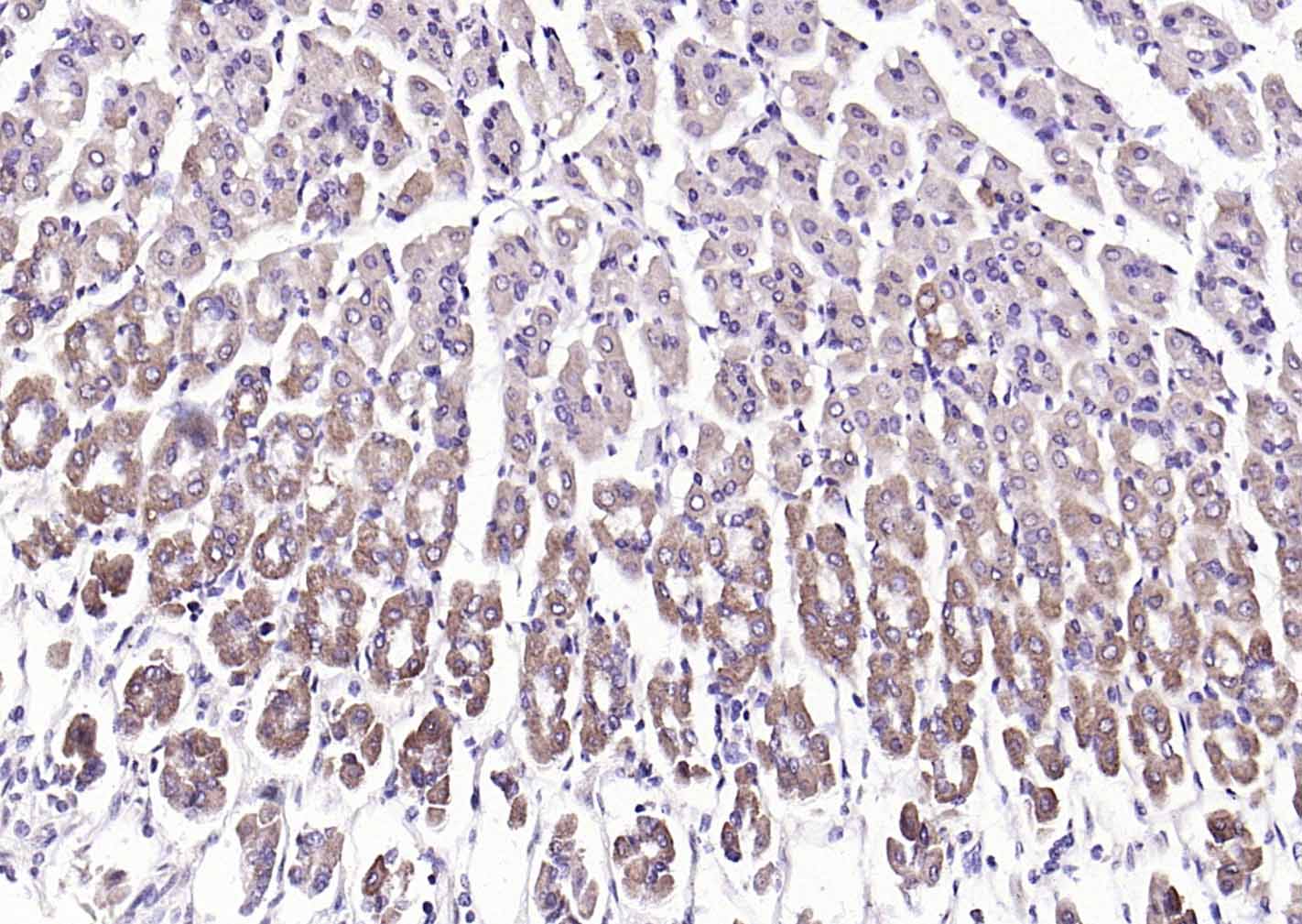
| 交叉反应 | Human, Mouse, Rat, human cervical carcinoma, human cervical carcinoma, human cervical carcinoma, human cervical carcinoma, stomach, stomach, stomach, stomach, intestine, intestine, intestine, intestine (Pig, Cow, Horse) |
| 抗体来源 | Rabbit |
| 免疫原 | KLH conjugated synthetic peptide derived from human Adenosine deaminase |
| 亚型 | IgG |
| 性状 | Liquid |
| 纯化方法 | affinity purified by Protein A |
| 克隆类型 | Polyclonal |
| 理论分子量 | 40 kDa |
| 浓度 | 1mg/ml |
| 储存液 | 0.01M TBS (pH7.4) with 1% BSA, 0.02% Proclin300 and 50% Glycerol. |
| 研究领域 | Cancer > Cancer Metabolism > Response to hypoxia Epigenetics and Nuclear Signaling > Chromatin Modifying Enzymes > Deamination Metabolism > Pathways and Processes > Metabolism processes > Hypoxia Metabolism > Types of disease > Cancer |
| 亚基 | Interacts with DPP4 (extracellular domain). |
| 亚细胞定位 | Cell membrane; Peripheral membrane protein; Extracellular side. Cell junction. Cytoplasmic vesicle lumen. Cytoplasm. |
| 组织特异性 | Found in all tissues, occurs in large amounts in T-lymphocytes and, at the time of weaning, in gastrointestinal tissues. |
| 翻译后修饰 | The Ser/Thr-rich domain is heavily O-glycosylated. |
| 相似性 | Belongs to the adenosine and AMP deaminases family. |
| 功能 | Catalyzes the hydrolytic deamination of adenosine and 2-deoxyadenosine. Plays an important role in purine metabolism and in adenosine homeostasis. Modulates signaling by extracellular adenosine, and so contributes indirectly to cellular signaling events. Acts as a positive regulator of T-cell coactivation, by binding DPP4. Its interaction with DPP4 regulates lymphocyte-epithelial cell adhesion. |
| 保存条件 | Shipped at 4℃. Store at -20℃ for one year. Avoid repeated freeze/thaw cycles. |
| 注意事项 | This product as supplied is intended for research use only, not for use in human, therapeutic or diagnostic applications. |
| 背景资料 | Catalyzes the hydrolytic deamination of adenosine and 2-deoxyadenosine. Plays an important role in purine metabolism and in adenosine homeostasis. Modulates signaling by extracellular adenosine, and so contributes indirectly to cellular signaling events. Acts as a positive regulator of T-cell coactivation, by binding DPP4. Its interaction with DPP4 regulates lymphocyte-epithelial cell adhesion. |
| 应用 | 推荐稀释比例 |
| {WB} | {1:500-2000} |
| {IHC-P} | {1:100-500} |
| {IHC-F} | {1:100-500} |
| {IF} | {1:100-500} |

Lane 1: Mouse Stomach tissue lysates
Lane 2: Rat Stomach tissue lysates
Primary: Anti-Adenosine deaminase (bs-6654R) at 1/1000 dilution
Secondary: IRDye800CW Goat Anti-Rabbit IgG at 1/20000 dilution
Predicted band size: 40 kDa
Observed band size: 40 kDa







风险提示:丁香通仅作为第三方平台,为商家信息发布提供平台空间。用户咨询产品时请注意保护个人信息及财产安全,合理判断,谨慎选购商品,商家和用户对交易行为负责。对于医疗器械类产品,请先查证核实企业经营资质和医疗器械产品注册证情况。
文献和实验[IF={{ 45.5 }}] {Jian Zhang. et al. A two-front nutrient supply environment fuels small intestinal physiology through differential regulation of nutrient absorption and host defense. CELL. 2024 Oct 19} {} {}
[IF={{ 3.184 }}] {Xie L et al. Integrated Proteomics and Metabolomics Reveal the Mechanism of Nephrotoxicity Induced by Triptolide. Chem Res Toxicol. 2020 Jul 20;33(7):1897-1906.} {WB} {Rat}
技术资料暂无技术资料 索取技术资料






