相关产品推荐更多 >

Malonyl-Histone H3 (Lys122) Recombinant Rabbit mAb(bsm-60210R)-50ul/100ul/25ul
¥800
RGC32 Rabbit pAb, AP conjugated(bs-23861R-AP)-100ul
¥2980
phospho-HER2 (Tyr1222) Rabbit pAb, Biotin conjugated(bs-13091R-Bio)-100ul
¥2980
CD62L Rabbit pAb(bs-1036R)-50ul/100ul/200ul
¥1180
HBP1 Rabbit pAb(bs-15418R)-50ul/100ul
¥1180
万千商家帮你免费找货
0 人在求购买到急需产品
- 详细信息
- 文献和实验
- 技术资料
- 应用范围:
产品信息以Bioss网站为准
- 规格:
50ul/100ul/200ul
| 规格: | 50ul | 产品价格: | ¥1180.0 |
|---|---|---|---|
| 规格: | 100ul | 产品价格: | ¥1980.0 |
| 规格: | 200ul | 产品价格: | ¥2800.0 |
| 产品编号 | bs-1318R |
| 英文名称 | IL-5 Rabbit pAb |
| 中文名称 | 白细胞介素5抗体 |
| 英文别名 | B Cell Differentiation Factor I; IL5; IL 5; Colony stimulating factor; Colony Stimulating Factor Eosinophil; EDF; Eosinophil; Eosinophil Differentiation Factor; IL 5; Interleukin 5; B-cell differentiation factor I; IL-5; IL5_RAT; Interleukin-5; T Cell Replacing Factor; T-cell replacing factor; Interleukin5; TRF. |
| 产品应用 | WB=1:500-2000, IHC-P=1:100-500, IHC-F=1:100-500, IF=1:100-500 Not yet tested in other applications. |
| 交叉反应 | Human, Rat (Mouse) |
| 抗体来源 | Rabbit |
| 免疫原 | KLH conjugated synthetic peptide derived from mouse IL-5 |
| 亚型 | IgG |
| 性状 | Liquid |
| 纯化方法 | affinity purified by Protein A |
| 克隆类型 | Polyclonal |
| 理论分子量 | 13 kDa |
| 浓度 | 1mg/ml |
| 储存液 | 0.01M TBS (pH7.4) with 1% BSA, 0.02% Proclin300 and 50% Glycerol. |
| 研究领域 | Cancer > Tumor immunology > Cytokines > Interleukins Immunology > Adaptive Immunity > B Cells > Non-CD Immunology > Innate Immunity > Cytokines > Interleukins |
| 亚基 | Homodimer; disulfide-linked. |
| 亚细胞定位 | Secreted. |
| 相似性 | Belongs to the IL-5 family. |
| 功能 | Factor that induces terminal differentiation of late-developing B-cells to immunoglobulin secreting cells. |
| 保存条件 | Shipped at 4℃. Store at -20℃ for one year. Avoid repeated freeze/thaw cycles. |
| 注意事项 | This product as supplied is intended for research use only, not for use in human, therapeutic or diagnostic applications. |
| 背景资料 | Interleukin 5 is a cytokine produced primarily by activated T lymphocytes. It exists as an antiparallel disulfide linked homodimeric glycoprotein with 115 amino acid residues in each chain. Known also as EDF (eosinophil differentiating factor), functions predominantly as an eosinophilopoietic factor. Analysis of its crystal structure reveals a novel two domain structure, with each domain showing significant homology to the cytokine fold in GMCSF, MCSF, IL2, IL4 and growth hormone. Human and mouse IL5 have 70% amino acid sequence homology. |
| 应用 | 推荐稀释比例 |
| {WB} | {1:500-2000} |
| {IHC-P} | {1:100-500} |
| {IHC-F} | {1:100-500} |
| {IF} | {1:100-500} |

Lovo Cell (Human) Lysate at 30 ug
Primary: Anti- IL-5 (bs-1318R)at 1/300 dilution
Secondary: IRDye800CW Goat Anti-Rabbit IgG at 1/20000 dilution
Predicted band size: 13kD
Observed band size: 10kD



风险提示:丁香通仅作为第三方平台,为商家信息发布提供平台空间。用户咨询产品时请注意保护个人信息及财产安全,合理判断,谨慎选购商品,商家和用户对交易行为负责。对于医疗器械类产品,请先查证核实企业经营资质和医疗器械产品注册证情况。
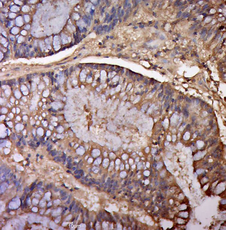
文献和实验[IF={{ 5.6 }}] {Yun Sun. et al. Inhibitory effects of catalpol on DNCB-induced atopic dermatitis and IgE-mediated mast cells reaction. INT IMMUNOPHARMACOL. 2024 Jan;126:111274} {ELISA,IHC} {Mouse}
[IF={{ 13.081 }}] {Xu Jun Yan. et al. Interleukin-5-induced eosinophil population improves cardiac function after myocardial infarction. CARDIOVASC RES. 2022 Jul;118(9):2165-2178} {WB} {Mouse}
[IF={{ 0.4 }}] {Araújo C.D.. et al. Comparison of KIT patterns and infiltration of eosinophils in canine mast cell tumor. ARQ BRAS MED VET ZOO. 2023 Nov;75(6):1047-1054} {IHC} {Human}
= NAL), appears to form upon oxidative cyclization of the nonfluorescent 2:1 lysine-HNE Michael adduct-Schiff base cross-link (Scheme 1). Polyclonal antibody (PAb) to the NAL-HNE fluorophore was raised in rabbit and found to be highly specific
ELISPOT (Enzyme-linked ImmunoSPOT)
Mouse Cytokine ELISPOT Set Catalog No. Capture mAb Detection mAb IFN-γ 88-7384 AN-18 R4-6A2 IL-1α 88-7813 ALF-161 Rabbit
GE Healthcare Benzamidine Sepharose™ 6B is p-aminobenzamidine covalently attached to Sepharose 6B by the epoxy coupling method. p-Aminobenzamidine (PAB), is a synthetic inhibitor of trypsin-like serine protease. Trypsin and trypsin
技术资料暂无技术资料 索取技术资料






