相关产品推荐更多 >

ErbB 4 Rabbit pAb, HRP conjugated(bs-22049R-HRP)-100ul
¥2980
Atrial natriuretic factor Rabbit pAb(bs-2040R)-50ul/100ul/200ul
¥1180
TRP2 Rabbit pAb, Biotin conjugated(bs-1511R-Bio)-100ul
¥2980
SIK1 Rabbit pAb, PE-Cy5.5 conjugated(bs-6252R-PE-Cy5.5)-100ul
¥2980
IRF1 Rabbit pAb, HRP conjugated(bs-21318R-HRP)-100ul
¥2980
万千商家帮你免费找货
0 人在求购买到急需产品
- 详细信息
- 文献和实验
- 技术资料
- 应用范围:
产品信息以Bioss网站为准
- 规格:
50ul/100ul/200ul
| 规格: | 50ul | 产品价格: | ¥1180.0 |
|---|---|---|---|
| 规格: | 100ul | 产品价格: | ¥1980.0 |
| 规格: | 200ul | 产品价格: | ¥2800.0 |
| 产品编号 | bs-1032R |
| 英文名称 | Inhibin Alpha Rabbit pAb |
| 中文名称 | 抑制素A/Inhibin α抗体 |
| 英文别名 | A inhibin subunit precursor; IHA; INHA; Inhibin alpha chain; Inhibin alpha chain precursor; Inhibin alpha subunit; INHA_HUMAN. |
| 产品应用 | WB=1:500-2000, IHC-P=1:100-500, IHC-F=1:100-500, IF=1:100-500 Not yet tested in other applications. |
| 交叉反应 | Mouse, Rat (Human) |
| 抗体来源 | Rabbit |
| 免疫原 | KLH conjugated synthetic peptide derived from mouse Inhibin Alpha |
| 亚型 | IgG |
| 性状 | Liquid |
| 纯化方法 | affinity purified by Protein A |
| 克隆类型 | Polyclonal |
| 理论分子量 | 15 kDa |
| 浓度 | 1mg/ml |
| 储存液 | 0.01M TBS (pH7.4) with 1% BSA, 0.02% Proclin300 and 50% Glycerol. |
| 研究领域 | Cancer > Growth factors > Hormones Signal Transduction > Growth Factors/Hormones > Hormones |
| 亚基 | Dimeric, linked by one or more disulfide bonds. Inhibin A is a dimer of alpha and beta-A. Inhibin B is a dimer of alpha and beta-B. |
| 亚细胞定位 | Secreted. |
| 组织特异性 | Originally found in ovary (granulosa cells) and testis (Sertoli cells), but widely distributed in many tissues including brain and placenta. In adrenal cortex expression is limited to the zona reticularis and the innermost zona fasciculate in the normal gland, extending centripetally into the zona fasciculata in hyperplasia. Also found in adrenocortical tumors. Also expressed in prostate epithelium of benign prostatic hyperplasia, in regions of basal cell hyperplasia and in nonmalignant regions of high grade prostate cancer. Only circulating inhibin B is found in male, whereas circulating inhibins A and B are found in female. |
| 翻译后修饰 | Proteolytic processing yields a number of bioactive forms. The 20/23 kDa forms consist solely of the mature alpha chain, the 26/29 kDa forms consist of the most N-terminal propeptide linked through a disulfide bond to the mature alpha chain, the 50/53 kDa forms encompass the entire proprotein. Each type can be furthermore either mono- or diglycosylated, causing the mass difference. |
| 相似性 | Belongs to the TGF-beta family. |
| 功能 | Inhibins and activins inhibit and activate, respectively, the secretion of follitropin by the pituitary gland. Inhibins/activins are involved in regulating a number of diverse functions such as hypothalamic and pituitary hormone secretion, gonadal hormone secretion, germ cell development and maturation, erythroid differentiation, insulin secretion, nerve cell survival, embryonic axial development or bone growth, depending on their subunit composition. Inhibins appear to oppose the functions of activins. |
| 保存条件 | Shipped at 4℃. Store at -20℃ for one year. Avoid repeated freeze/thaw cycles. |
| 注意事项 | This product as supplied is intended for research use only, not for use in human, therapeutic or diagnostic applications. |
| 背景资料 | The inhibin alpha subunit joins either the beta A or beta B subunit to form a pituitary FSH secretion inhibitor. Inhibin has been shown to regulate gonadal stromal cell proliferation negatively and to have tumour-suppressor activity. In addition, serum levels of inhibin have been shown to reflect the size of granulosa-cell tumors and can therefore be used as a marker for primary as well as recurrent disease. However, in prostate cancer, expression of the inhibin alpha-subunit gene was suppressed and was not detectable in poorly differentiated tumor cells. Furthermore, because expression in gonadal and various extragonadal tissues may vary severalfold in a tissue-specific fashion, it is proposed that inhibin may be both a growth/differentiation factor and a hormone. |
| 应用 | 推荐稀释比例 |
| {WB} | {1:500-2000} |
| {IHC-P} | {1:100-500} |
| {IHC-F} | {1:100-500} |
| {IF} | {1:100-500} |

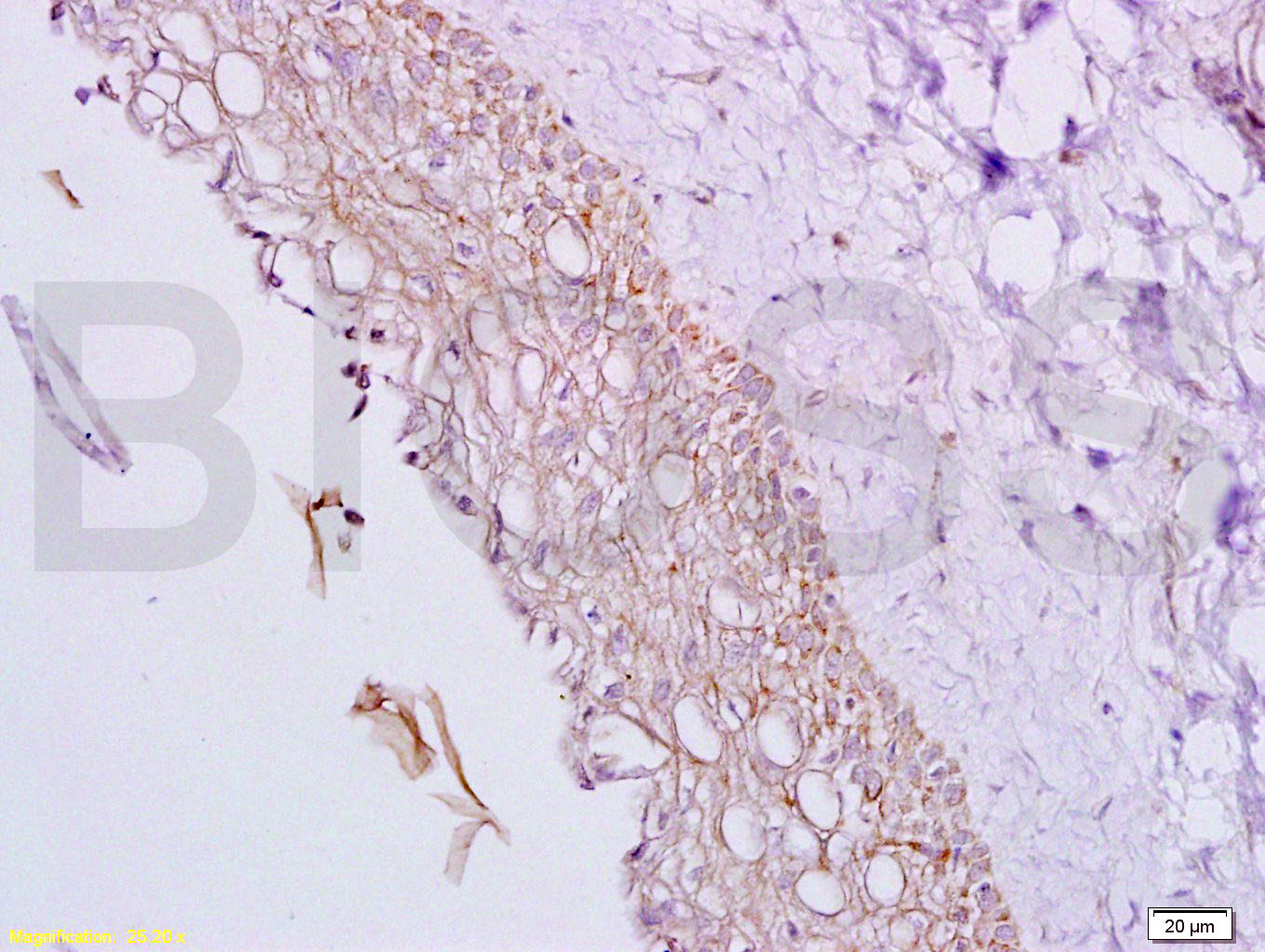
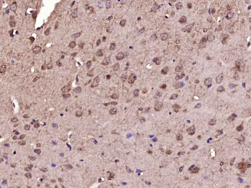
Antigen retrieval: citrate buffer ( 0.01M, pH 6.0 ), Boiling bathing for 15min; Block endogenous peroxidase by 3% Hydrogen peroxide for 30min; Blocking buffer (normal goat serum,C-0005) at 37℃ for 20 min;
Incubation: Anti-Inhibin Alpha Polyclonal Antibody, Unconjugated(bs-1032R) 1:200, overnight at 4°C, followed by conjugation to the secondary antibody(SP-0023) and DAB(C-0010) staining

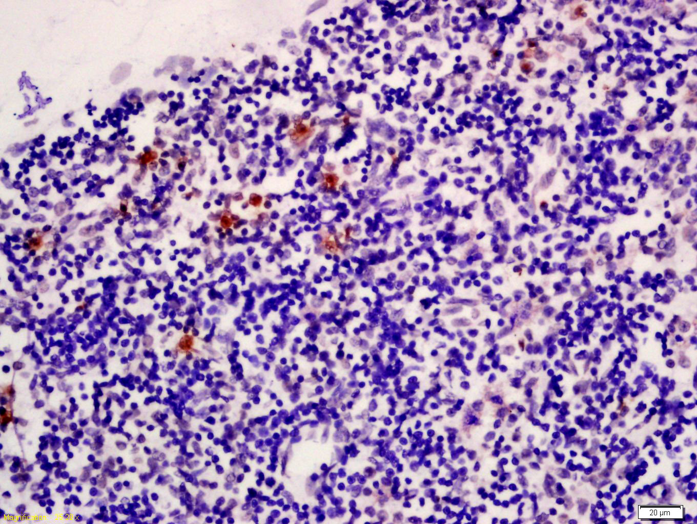
Antigen retrieval: citrate buffer ( 0.01M, pH 6.0 ), Boiling bathing for 15min; Block endogenous peroxidase by 3% Hydrogen peroxide for 30min; Blocking buffer (normal goat serum,C-0005) at 37℃ for 20 min;
Incubation: Anti-Inhibin Alpha Polyclonal Antibody, Unconjugated(bs-1032R) 1:200, overnight at 4°C, followed by conjugation to the secondary antibody(SP-0023) and DAB(C-0010) staining

Primary: Anti- Inhibin-α (bs-1032R) at 1/300 dilution
Secondary: IRDye800CW Goat Anti-Rabbit IgG at 1/20000 dilution
Predicted band size: 15 kD
Observed band size: 25 kD

风险提示:丁香通仅作为第三方平台,为商家信息发布提供平台空间。用户咨询产品时请注意保护个人信息及财产安全,合理判断,谨慎选购商品,商家和用户对交易行为负责。对于医疗器械类产品,请先查证核实企业经营资质和医疗器械产品注册证情况。
文献和实验[IF={{ 3.9 }}] {Weipu Mao. et al.Expression and distribution of activin-follistatin-inhibin axis in the urinary bladder..Frontiers in Molecular Biosciences.2025 Mar 12:12:1519977.} {IF} {Mouse}
/96T 2000/3000 进口分装 F0021 骨成型蛋白-9(BMP-9) ELISA 48T/96T 2000/3000 进口分装 F0022 BMP-R1A ELISA 48T/96T 2000/3000 进口分装 F0023 BMP-R2 ELISA 48T/96T 2000/3000 进口分装 F0024 BTC ELISA 48T/96T 2000/3100 进口分装 F0030 CAE-Ab ELISA 96
/96T 2000/3000 进口分装 F0021 骨成型蛋白-9(BMP-9) ELISA 48T/96T 2000/3000 进口分装 F0022 BMP-R1A ELISA 48T/96T 2000/3000 进口分装 F0023 BMP-R2 ELISA 48T/96T 2000/3000 进口分装 F0024 BTC ELISA 48T/96T 2000/3100 进口分装 F0030 CAE-Ab ELISA 96
Nucleic Acid Programmable Protein Arrays: Versatile Tools for Array‐Based Functional Protein Studies
.g., Sigma) 50 mg/ml bis‐sulfosuccinimdylsuberate (BS3 ;Pierce, cat. no. PI 21580) in dimethylsulfoxide (DMSO) 5 mg/ml
技术资料暂无技术资料 索取技术资料






